INTRODUCCIÓN
El agente etiológico Pythium insidiosum (P. insidiosum) pertenece a la clase Oomycetes, cuyas zoosporas carecen de quitina y ergosterol en su composición celular, y causa una condición médica que se le conoce como pitiosis cutánea equina, la cual se presenta en regiones tropicales y subtropicales (Gaastra et al., 2010, Santos et al., 2011a, Cardona et al., 2013).
El equino es la especie con más casos notificados, aunque también hay reportes en cánidos (forma intestinal), felinos, animales silvestres, bovinos, ovinos (Loreto et al., 2014) y humanos (He et al., 2016, Chitasombat et al., 2020). Las lesiones cutáneas son más frecuentes en las partes distales de las extremidades, el abdomen ventral y lateral, la región pectoral y la boca, quizá por el mayor contacto de estas áreas con aguas potencialmente contaminadas con zoosporas. Las lesiones son ulcerativas granulomatosas, con bordes irregulares, trayectos fistulosos o cavitaciones y con presencia de masas necróticas duras que se desprenden fácilmente (Atiba et al., 2020, Souto et al., 2021).
El diagnóstico se basa primordialmente en la observación de las características clínicas de las lesiones cutáneas y la histopatología (Schanzembach et al., 2019). La resección quirúrgica de todo el tejido afectado, en combinación con un inmunoterapéutico que contiene antígenos de P. insidiosum, es uno de los tratamientos más eficaces que existen en la actualidad (Mendoza et al., 2003; Mendoza et al., 2004).
Este reporte se describe las características clínicas de un caso de pitiosis en un equino, con lesiones focalizadas en la región palpebral, su diagnóstico histopatológico y su tratamiento mediante inmunoterapia.
DESCRIPCIÓN DEL CASO
Una yegua Cuarto de milla, de 11 años, fue remitida al servicio ambulatorio del Hospital Veterinario para Grandes Especies de la Facultad de Medicina Veterinaria y Zootecnia de la Universidad Veracruzana, para evaluarle una lesión granulomatosa de crecimiento rápido y sin respuesta a tratamiento.
Durante la evaluación médica se pudo observar que la yegua presentaba una lesión ulcerativa granulomatosa, con tejido necrótico y exudado fibrinosanguinolento en la región palpebral del ojo izquierdo, de aproximadamente 20 cm x 16 cm (Figura 1). Durante la palpación de la zona afectada se pudo evidenciar la presencia de trayectos fistulosos y exudado caseificado de color blanco amarillento. La yegua presentaba prurito intenso, dolor en la región afectada, mucosas pálidas y pérdida de peso progresiva. En la citometría hemática los hallazgos relevantes fueron anemia y leucocitosis por neutrofilia.

Figura 1 Lesión ulcerativa granulomatosa, con tejido necrótico y exudado fibrinosanguinolento en la región palpebral del ojo izquierdo
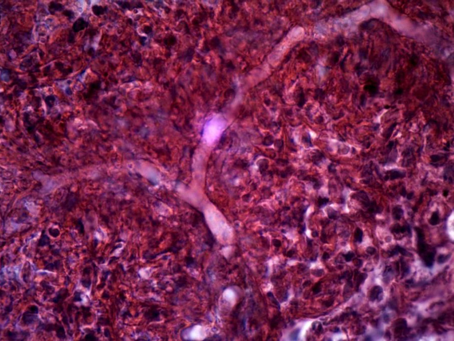
Se tomaron muestras de tejido, las cuales fueron conservadas en formol al 10% para su posterior análisis histopatológico. En la evaluación histopatológica se observó un intenso infiltrado de abundantes eosinófilos, mastocitos reactivos, presencia de zonas de necrosis multifocal y fenómeno de Splendore-Hoeppli (Figura 2); de igual forma, se identificó la presencia de hifas ocasionalmente septadas, ramificadas y de pared lisa que coincidían con P. insidiousum (Figura 3).

Figura 3 Hifas de Pythium insidiosum ramificadas y moderadamente septadas (tinción con hematoxilina y eosina, 100X)
Después de la evaluación clínica y los resultados histopatológicos, se removió el tejido afectado mediante resección quirúrgica con la yegua en estación. Se mantuvo a la yegua en ayuno 12 horas previo al procedimiento quirúrgico, se colocó un catéter de 14 G en la vena yugular y se administró gentamicina (6.6 mg/kg IV), flunixin de meglumine (1.1 mg/kg IV) y vía intramuscular 22 000 UI/kg de penicilina procaínica.
Se mantuvo a la yegua sedada con un bolo inicial de 0.01 mg/kg de clorhidrato de detomidina y de mantenimiento con una infusión constante del mismo producto, a una dosis total de 10 mg en 250 mL de solución salina a efecto (0.04 mg/mL), y se realizaron bloqueos regionales con clorhidrato de lidocaína al 2%. El área afectada fue preparada con técnica aséptica con yodo povidona al 8% y agua estéril. Durante el procedimiento quirúrgico se pudo remover todo el tejido granulomatoso y las concreciones (“kunkers”) y se evitó la enucleación del globo ocular.
Debido a la extensión de las lesiones y el riesgo de que existieran hifas en tejidos profundos, se decidió utilizar un inmunoterapéutico comercial que se ha desarrollado a partir de proteínas de las hifas y los metabolitos de P. insidiosum. El tratamiento consistió en aplicar 1 mL vía subcutánea en el tercio distal del cuello los días 0 (día de la cirugía), 7 y 21 después del procedimiento quirúrgico, de acuerdo con las especificaciones del fabricante (Pan American Veterinary Laboratories, Lexington, Texas®). Posterior a la inoculación del inmunoterapéutico, no se observaron efectos secundarios en la zona de aplicación.
El tratamiento posquirúrgico consistió en un vendaje compresivo, con un patrón cruzado, para no interferir con el campo de visión del ojo contralateral y la limpieza de la herida se llevó a cabo utilizando solución isotónica cada 24 horas. Al mismo tiempo, se mantuvo en gentamicina (6.6 mg/kg IV), penicilina procaínica (22,000 UI/kg IM) y flunixin de meglumine (1.1 mg/kg IV) durante cinco días. Durante el posoperatorio se monitoreó la fase de proliferación de la herida, para asegurar adecuada formación de tejido de granulación y apropiadas epitelización y remodelación del tejido.
DISCUSIÓN
La mayoria de los casos reportados en equinos son en Sudamérica (Salas et al., 2012, Cardona et al., 2014, Dória et al., 2015, Schanzembach et al., 2019, Paz et al., 2021), lo cual se relaciona con sus regiones tropiales y subtropicales. El estado de Veracruz presenta condiciones ambientales similares, por ejemplo, abundantes lluvias que favorecen el estancamiento de agua en las praderas y temperaturas elevadas, que benefician al agente etiológico y su contacto con los equinos (Gaastra et al., 2010).
Las lesiones cutáneas encontradas en la region periorbital de la yegua concuerdan con la descripcion de las lesiones cutáneas granulomatosas descritas en otros informes de caso en diferentes países (Bezerra-Junior et al., 2010, Mosbah et al., 2012, Cardona et al., 2014, Tartor et al., 2020), en donde se reportan lesiones cutáneas en regiones anatómicas que se encuentran en contacto directo con aguas estancadas contaminadas con zoosporas de P. insidiosum, por lo que las lesiones en regiones altas de la cabeza no son comunes. Sin embargo, en Tailandia se notificó el primer caso con lesiones de pitiosis dentro de la cavidad nasal de una yegua gestante y anticuerpos para P. insidisum en tres caballos (Tonpitak et al., 2018, Mar Htun et al., 2021).
El diagnóstico de pitiosis se basa fundamentalmente en la observación de las características clínicas de las lesiones cutáneas. De igual forma, es importante establecer los diagnósticos diferenciales de estas lesiones, ya que a menudo se diagnostica erróneamente como habronemiasis cutánea, tejido de granulación exuberante o sarcoides, así que es importante llevar a cabo estudios histopatológicos para el diagnósitico definitivo.
Los hallazgos histopatológicos de este caso concuerdan con lo descrito por Márquez et al. (2010), donde se pudo obervar el fenómeno de Splendore-Hoeppli y la identificación de hifas septadas. Este fenómeno se considera una estrategia adaptativa del agente etiológico con el objetivo de asegurar su proliferación y sobrevivencia en el tejido del hospedero, lo cual se puede confirmar por la presencia de hifas viables dentro de la reacción eosinofílica (Martins et al., 2012).
El tratamiento de elección para P. insidiosum sigue siendo la resección quirúrgica de todo el tejido afectado. Sin embargo, algunos estudios han demostrado que la combinación de la resección quirúrgica y antibióticos sistémicos como la anfotericina B y el miconazol, administrados vía perfusión regional en las extremidades afectadas, obtuvo una resolución del 92% (Worster at al., 2000, Dória et al., 2012). En contraste, Pires et al. (2013) solamente obtuvieron un 60% de resolución de las lesiones cutáneas de pitiosis con la anfotericina B. Este tipo de combinación de terapias se lleva a cabo cuando la lesión ha invadido otro tipo de estructuras anatómicas, como músculos, tendones y huesos, que no pueden ser removidas quirúrgicamente.
En caso de que la resección quirúrgica sea parcial debido a la profundidad de la lesión, se puede utilizar inmunoterapia a base de proteínas de las hifas de P. insidiosum, la cual ha tenido una eficacia del 90% en casos de lesiones agudas menores a 60 días y del 20% en casos crónicos que superan los dos meses (Mendoza et al., 2003, Mendoza et al., 2005). La respuesta inmunológica fue similar a lo reportado por Pereira et al. (2011), en donde a los siete días de haber inoculado la primera dosis del inmunoterapéutico, la yegua ya no presentó evidencia de lesiones por P. insidiosum ni prurito e inició la fase de remodelación de la herida (Figura 4).

Figura 4 Fase inicial, proliferación y remodelación. (a) Lesión postquirúrgica inicial; (b-f) las imágenes muestran las fases de proliferación y remodelación. Al final del tratamiento solo se aprecia una lesión cicatricial con resolución completa del caso
El éxito de la inmunoterapia se basa en que propicia el cambio de una respuesta mediada por anticuerpos a una mediada por células. Normalmente, predomina una respuesta regulada por linfocitos colaboradores tipo 2 (Th2), con liberación de interleucinas (IL) 4 y 5 y activación de eosinófilos y mastocitos, que resulta en una inflamación eosinofílica. En contraparte, la inmunoterapia favorece una respuesta regulada por linfocitos colaboradores tipo 1 (Th1), con liberación de IL-2 e IFN-y y activación de linfocitos T y macrófagos, quienes destruyen a P. insidiosum (Loreto et al., 2014). A pesar de las propiedades curativas de la inmunoterapia, Santos et al. (2011b) reportaron que probablemente los anticuerpos que se producen no son suficientes para prevenir la reinfección a corto y largo plazo.
CONCLUSIÓN
El resultado exitoso de los tratamientos para la pitiosis cutánea depende fundamentalmente de un rápido diagnóstico y del tratamiento temprano, con terapias combinadas para tener un buen pronóstico. Este es el primer reporte de caso que documenta el diagnóstico de P. insidiousum en equinos en el estado de Veracruz.










texto en 




