Introducción
Los drenajes urinarios se pueden realizar con una amplia gama de materiales que existen hoy en día. La técnica y material empleado dependerá siempre del caso clínico y las circunstancias particulares del paciente.1 Durante los últimos años la radiología Intervencionista ha tenido un amplio desarrollo en este tema, llegando a ser una alternativa segura para complementar a la disciplina urológica.2 El paciente siempre debe estar informado de los beneficios y riesgos que conlleva someterse a un procedimiento combinado como los que expondremos a continuación. Es importante contemplar que todo paciente debe tener una valoración previa al procedimiento, que incluya la toma de laboratorios; ya que como contraindicación se encuentra un INR>1.5 y plaquetas <50 000 de forma general. Hay que mencionar que debe existir una comunicación continua entre el radiólogo y urólogo involucrados en el caso, ya que la decisión conjunta siempre proveerá mayor beneficio para el paciente.2
Estent nefroureteral
El estent nefroureteral es un catéter que integra la función de nefrostomía y catéter doble J en un solo dispositivo. La diferencia frente a la colocación de nefrostomía y catéter doble J de forma independiente es principalmente por la morfología del catéter, ya el estent nefroureteral integra los dos catéteres en uno solo. Tiene dos presentaciones con base en su longitud: 45 y 60 cm. Este catéter es ideal para pacientes postoperados de cistectomía radical con realización de conducto ileal, en el cual se prefiere drenar la orina de forma externa (nefrostomía) y posterior a un tiempo prueba, se reinicia la recolección de orina a través del reservorio. También puede ser útil en pacientes con obstrucción ureteral extrínseca, trauma ureteral, fístulas y en el manejo conjunto de la litiasis ureteral. Este es un catéter de reciente aparición y sus beneficios o diferencias frente a la colocación de los catéteres de nefrostomía y doble J de forma independiente deben estudiarse en los siguientes años.3
Nefrostomía
El catéter de nefrostomía, típicamente de 25 cm, es empleado para derivación urinaria externa. Este drenaje requiere el uso de bolsa recolectora externa y recambio ideal cada 3 meses. Su corto trayecto a la vía urinaria lo hace proclive a desplazamientos en el uso diario o incluso al retiro fortuito del catéter. En caso de que suceda un desplazamiento o salida incidental, se debe recolocar lo más pronto posible para evitar la pérdida del trayecto. Los pacientes con nefrostomías de novo, suelen formar un trayecto epitelizado posterior a 2-4 semanas, por lo que, si se cuenta con una nefrostomía de reciente instalación y con un periodo menor al referido, se puede perder el trayecto en caso de salida fortuita del catéter. Existen reportes de caso de uso del catéter nefroureteral con corte del pigtail la porción distal, por lo que únicamente se empleará la porción de nefrostomía proximal del catéter sumado a una porción de catéter que se prolongue al uréter medio sin llegar a formar el pigtail distal, con el fin de que este sea empleado como un empleado para alojar una curva pigtail proximal de sujeción y catéter de seguridad en el uréter. Este es empleado para evitar la pérdida de trayecto de nefrostomía ante una posible salida incidental del catéter.4
Catéter doble J
Éste, es un dispositivo preferido por el médico y paciente, ya que su cuidado es más fácil. En casos en que no se pueda avanzar de forma retrógrada debido a una obstrucción distal, el radiólogo intervencionista puede realizar un tracto de nefrostomía y avanzar una guía de forma anterógrada para vencer la obstrucción y colocar el catéter doble J de manera anterógrada. Es importante mencionar que previo a la colocación del catéter doble J por vía anterógrada, hay que asegurar que el paciente es susceptible a los recambios de los doble J por parte del servicio de urología vía vesical.3
En ocasiones, el paso de la guía requiere dilatación en el sitio de obstrucción distal para posteriormente realizar el intercambio con el catéter doble J. En caso de que falle y la guía no pueda avanzarse, se soluciona dejando un catéter de nefrostomía en el tracto realizado.3
Técnica para colocación de drenaje urinario
La realización de técnicas percutáneas para derivación de la vía urinaria son una alternativa a la cirugía, eficaz, segura y mínimamente invasiva, la cual es exitosa hasta en 90-95% de los casos.2
Independientemente del catéter empleado, todos requieren acceso renal y la técnica para colocación de nefrostomía guiado por imagen es la misma (Figura 1).

Se avanza aguja tipo Chiba o punta diamante a cálices mayores del polo inferior renal bajo guía sonográfica (A). Posteriormente se realiza recambio por sistema Neff y se opacifica el sistema colector (B). Finalmente se realiza recambio por catéter de nefrostomía (C).
Figura 1 Colocación de nefrostomía
Se reconoce por guía sonográfica el sitio a puncionar con aguja tipo diamante o Chiba, ya sea que se trate de una vía urinaria dilatada (hidronefrosis, pionefrosis) o no dilatada (fístula o fuga urinaria). Si no se logra visualizar la vía urinaria por ultrasonido y se han realizado múltiples punciones fallidas, se pueden administrar 50 ml de contraste no iónico intravenoso y realizar una urografía excretora para reconocer por guía fluoroscópica el sitio a puncionar. Posteriormente, se avanza una aguja a través del parénquima renal, preferentemente al polo inferior y a través del plano avascular (espacio de Brodel) hasta llegar a la pelvis renal.5 Se corrobora con contraste el sitio de punción y se avanza la guía calibre 0.018” para realizar posteriormente dilatación del tracto con sistema triaxial tipo Neff cuyo calibre mayor es 6 Fr, tomando en cuenta siempre que el catéter de drenaje que se coloque debe abarcar el diámetro máximo con el que se realizó dicha dilatación (p. ej.: si se realiza una dilatación del tracto de hasta 7 Fr, se debe alojar un catéter de nefrostomía de 8.5 Fr). Una correcta praxis, incluye mandar cultivos de orina cuando exista sospecha de infección de vías urinarias, si se trata de un caso con instrumentación urinaria reciente o si el paciente tiene historia de anastomosis ureteroentérica.2
La hematuria postprocedimiento es uno de los hallazgos más comunes, que no debe considerarse como complicación. Dicho signo se trata de un proceso esperado y autolimitado del cual se debe alertar al paciente.4
Fallas de la técnica de drenaje urinario
Una de las situaciones que requieren un pronto reconocimiento es la presencia de una falsa vía, la cual suele ser reconocida con percepción táctil al encontrar una resistencia al paso de guía o dilatadores. La disección del tejido suburotelial también puede reconocerse en las imágenes de control con disparo de medio de contraste.2
Los recambios se recomiendan cada 3 meses. En el caso de dejar un catéter doble J, estos pacientes son referidos con el servicio de urología para la realización del recambio endourológico, que se aconseja en un periodo de 4 meses. En caso del estent nefroureteral y del catéter de nefrostomía se debe ser muy cauteloso en agendar las citas de recambio, ya que la incrustación de un catéter puede asociar a formación de litos que desarrollen un episodio de litiasis posterior al recambio (Figura 2) que dificulten el recambio de catéter (Figura 3 y 4) o incluso impidan la remoción de este por guía fluoroscópica, dejando como única opción la remoción quirúrgica.6

(A). En tomografía de control (B) se visualiza lito hiperdenso en pelvis renal (flecha), en íntima asociación con el catéter de nefrostomía izquierda. Posterior a recambio de nefrostomía acude a urgencias con cuadro de dolor agudo abdominal y se diagnostica litiasis ureteral izquierda obstructiva (circulo en C).
Figura 2 Paciente de 58 años portador de nefrostomía bilateral

(A) Se muestra imagen de control por retiro de catéter y recanulación del trayecto mediante opacificación de este con medio de contraste. Se avanza guía a través del trayecto trazado y se coloca nuevo catéter (B).
Figura 3 Paciente portador de nefrostomía derecha por más de 6 meses sin recambio del catéter
Hidronefrosis
Uno de los escenarios más comunes para realizar derivación de la vía urinaria es la hidronefrosis, que se define como la dilatación del sistema urinario del riñón (cálices, infundíbulos y pelvis). Se debe establecer la causa de esta, ya que en muchas ocasiones se trata de una etiología que puede tratarse y evita la progresión a daño renal. Las causas más comunes de hidronefrosis son urolitiasis, obstrucción secundaria de las uniones ureterovesicales y obstrucción maligna secundaria en diferentes niveles de la vía urinaria. En este contexto, el radiólogo intervencionista suele ser interconsultado para derivación de la vía urinaria mediante nefrostomías, y, dependiendo de la causa, será unilateral o bilateral.2,4 (Figura 5).

(A) Paciente femenino con antecedente de cáncer cervicouterino e hidronefrosis bilateral. (B y C) se realiza nefrostomía mediante guía sonográfica y fluoroscópica. (D) se coloca catéter de nefrostomía y se repite el procedimiento en riñón contralateral (E).
Figura 5
La obstrucción urinaria secundaria a litiasis es una indicación común de nefrostomía en caso de diferir el tratamiento de la litiasis por medio de procedimientos urológicos. La descompresión urinaria permite preservar la función renal, mejorar el dolor y tener un acceso para el tratamiento del lito una vez que el cuadro agudo haya desaparecido.4
En algunas ocasiones, sobre todo hablando de hidronefrosis secundaria a obstrucción que involucra la unión ureterovesical, el ascenso de catéter doble J de forma retrógrada puede ser difícil de conseguir. Por tal motivo, una de las causas más frecuentes en las que se interconsulta al radiólogo intervencionista es en estos casos y es para colocación de nefrostomías. Sin embargo, se puede realizar la colocación de catéteres doble J de forma anterógrada. La punción se realiza con la misma técnica empleada para nefrostomía, con la excepción de avanzar guía para flanquear el sitio de estenosis y conseguir el paso de la guía a la vejiga. Una vez conseguido el paso de la guía, dependiendo del grado de estenosis, puede intentarse colocar el catéter doble J o realizar plastía con catéter-balón del sitio de obstrucción previo a la colocación del catéter doble J (Figura 6). De forma excepcional se puede colocar un estent urinario en el sitio de estenosis.2 Una vez colocado el catéter doble J, la nefrostomía permanece como protección para el sitio de acceso, y se deja a derivación durante 48 horas, después se continúa cerrado durante 48 a 72 horas más, para finalmente ser retirado. Antes de ser retirado, se debe confirmar que el catéter doble J es funcional mediante una urografía.7 (Figura 7).

Paciente con antecedente de cáncer cervicouterino y obstrucción al paso del medio de contraste en unión ureterovesical (flecha en A). Se avanza guía hidrofílica con catéter multipropósito hasta flanquear la obstrucción (B) y conseguir el avance del sistema al interior vesical (C). Se intercambia el catéter multipropósito por catéter balón y se realiza plastía del sitio de estenosis (flecha en D).
Figura 6 Paciente con antecedente de cáncer cervicouterino y obstrucción al paso del medio de contraste en unión ureterovesical

(A) Paciente masculino portador de nefrostomías por antecedente de hidronefrosis secundaria a invasión vesical de cáncer de próstata. Durante el primer recambio de catéter muestra paso del medio de contraste a vejiga. (B) Se avanza guía 0.035” a vejiga y se intercambia por catéter doble J (C). Posteriormente se dejan nefrostomías a derivación durante 48 horas y después cerradas durante 72 horas más. (D) Se realiza urografía en la que se observa adecuado paso del medio de contraste desde nefrostomías a vejiga, a través de catéteres doble J. (E) Se decide retiro de nefrostomías.
Figura 7
La hidronefrosis puede perpetuarse y llevar a una condición clínica crónica como es la bolsa hidronefrótica, la cual incluso puede llegar a sobreinfectarse. En este tipo de patologías en la que la corteza renal se encuentra adelgazada se debe considerar la colocación de un catéter con técnica de trocar para poder descomprimir la bolsa hidronefrótica y debe ser manejado como un drenaje externo y no como una nefrostomía habitual.7
Pionefrosis
Se trata de una infección de la orina en el sistema colector, usualmente secundario a uropatía obstructiva. A veces suele describirse como “pus bajo presión”, la cual puede deteriorar el estado del paciente de forma súbita e incluso llevarlo a choque séptico.8
Con el fin de descomprimir la vía urinaria y obtener muestras para cultivo, los pacientes con sospecha de pionefrosis son sometidos a derivación urinaria mediante nefrostomía (Figura 8). Durante el acceso se debe cuidar administrar pequeñas cantidades de contraste, ya que al administrar mayor cantidad de líquido a la vía urinaria que ya se encuentra presurizada, se puede incrementar el riesgo de sepsis.9

Figura 8. (A) Corte axial de tomografía computada en fase venosa que muestra estriación de la grasa perirrenal izquierda e incremento en las dimensiones de este. Ante la sospecha de pionefrosis posterior a caracterización por ultrasonido, se decide realizar nefrostomía (B) que en la imagen de control muestra defectos de llenado en el sistema colector. (C) Se obtuvieron muestras de apariencia purulenta que fueron enviadas a cultivo para determinar el tratamiento.
Figura 8
La sospecha de pionefrosis bilateral debe alertar al médico para considerar la colocación de nefrostomías bilaterales, aún en riñones que se muestren atróficos, para poder tener un control local del proceso infeccioso.8
Anastomosis ureteroentérica
El conducto ileal es una de las derivaciones urinarias predilectas hoy en día. Habitualmente, se realiza posterior a una cistectomía o cistoprostatectomía.10
En estos pacientes pueden existir complicaciones como recurrencia de la enfermedad tumoral, formación de cálculos, estenosis o fugas de cualquier sitio de anastomosis. Siendo, una de las más comunes, la estenosis en la unión ureteroentérica que sucede hasta en 15% de los casos.11 Ante cualquiera de estos escenarios se pueden realizar nefrostomías derivativas de la orina en un primer tiempo, con posterior resolución quirúrgica o con colocación de catéter ureteral en un segundo tiempo.10 (Figura 9).

(A) Urografía de paciente portador de neovejiga ileal. A la administración de contraste se observó dilatación del sistema colector, con sitio de disminución en calibre localizado en anastomosis ureteroileal. (B) Se realizó nefrostomía y paso de guía de forma anterógrada, que fue recuperado mediante cistoscopio (C). Se colocó catéter OpenEnd suturado al sitio de estoma para poder mantener permeable el uréter. (E) Reconstrucción MIP coronal de tomografía que muestra posición del catéter OpenEnd y (F) corte axial que muestra el extremo distal del catéter localizado en conducto ileal.
Figura 9
Otra alternativa a la técnica en dos tiempos es la colocación de un catéter nefroureteral en un tiempo, el cual cumple con la doble función de nefrostomía y catéter ureteral interno. El pigtail distal del catéter nefroureteral puede ser alojado en la bolsa recolectora, lo cual ayuda a minimizar la estasis de orina en el conducto ileal y a su vez disminuye el reflujo urinario que puede ocasionar infecciones de vías urinarias ascendentes. Además, diversos autores prefieren el uso de este catéter ya que la oclusión se observa en menor proporción, ya que estos catéteres se encuentran en calibre de 10 Fr y hasta 16 Fr, al comparar con los catéteres OpenEnd y doble J que pueden ser de hasta 8 Fr. Otra ventaja de emplear en catéter nefroureteral es poder contar con acceso fácil hasta el reservorio urinario para poder realizar otros procedimientos como plastía, colocación de estent ureteral, etcétera.
Fístula urinaria
Las fístulas vesicovaginales y vesicorectales son una comunicación continua de la vía urinaria con la vagina o el recto, respectivamente. Este tipo de casos se observan como complicaciones postquirúrgicas por histerectomías, prostatectomías, entre otras cirugías del hueco pélvico. También se pueden observar en procesos neoplásicos invasivos y pacientes con historia de radioterapia, ambos factores de riesgo para el desarrollo de fístulas al tracto urinario. El cuadro clínico suele presentarse como una pérdida involuntaria de orina a través de la vagina o el recto.12
Las nefrostomías son la opción de drenaje urinario empleada, con el fin de evitar la fuga urinaria que perpetúe el proceso fistuloso (Figura 10). Una vez realizada la derivación percutánea se debe planear el cierre de la fístula, ya sea de forma conservadora o quirúrgica.2

(A) En la tomografía contrastada se observa la neoplasia que compromete a la pared posterior vesical y el recto, por lo cual la paciente fue llevada a una resección quirúrgica extensa. (B) En el periodo postoperatorio cursa con salida de orina a través del recto. Se realiza tomografía computada en donde se visualiza trayecto fastuoso entre la pared posterior de la vejiga y el recto. (C) Se realiza nefrostomía y tras la administración de contraste a través del catéter se observa la fuga del medio de contraste al hueco pélvico. (D) Se realizó nefrostomía bilateral. (E) En la tomografía de control realizada a los 6 meses, se observa resolución del proceso fistuloso y cambios cicatriciales perirectales.
Figura 10 Paciente de 45 años con antecedente de cáncer cervicouterino
Fuga urinaria
La fuga urinaria al igual que la fístula urinaria, sucede en el marco de un paciente postquirúrgico. Se asocia en la mayoría de los casos a lesiones inadvertidas del uréter distal, que condicionan fuga de orina y formación de urinomas en la cavidad abdominal.12
Los urinomas pueden drenarse vía percutánea mediante catéteres multipropósito, que pueden ser colocados mediante guía sonográfica o tomográfica. Sin embargo, la resolución del urinoma no implica el tratamiento propiamente de la lesión ureteral. Los pacientes suelen llevarse a sala de uroscopia para colocar un catéter de forma retrógrada que ferulice el sitio de lesión. En algunas ocasiones la colocación de catéter puede fallar y requerirá de la colocación de un doble J anterógrado o de una nefrostomía derivativa con posterior resolución quirúrgica del sitio de lesión.2 (Figura 11).

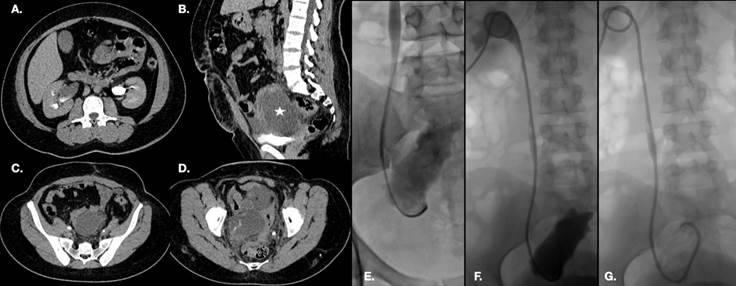
Se realiza tomografía computada con contraste intravenoso que muestra retardo en eliminación del riñón derecho (A), así como presencia de una colección de contenido líquido en hueco pélvico (estrella en B). Se identifica el trayecto ureteral bilateral hasta el tercio distal (C), con pérdida abrupta de la porción terminal del uréter derecho y fuga del medio de contraste a la colección descrita, lo cual es compatible con un urinoma (D). Se realiza tracto de nefrostomía y se avanza catéter multipropósito que evidencía la comunicación del uretero derecho con el urinoma (E). Se coloca estent nefroureteral (F) con el extremo distal en el urinoma, la J proximal en la pelvis renal y con extremo proximal del catéter conectado a una bolsa recolectora. En la imagen de control (G) se observa resolución del urinoma.
Figura 11 Paciente de 52 años con antecedente de histerectomía, que se presenta a urgencias con dolor abdominal
Si el catéter doble J no logra colocarse y la fuga persiste, se pueden emplear técnicas de oclusión ureteral para evitar que la fuga se perpetúe. Estas técnicas incluyen la colocación de un balón de oclusión o plugs en el trayecto del uréter para el control de la fuga urinaria distal, lo cual puede combinarse con la colocación de una nefrostomía para poder mantener la derivación de orina de forma externa.2
Recuperación de cuerpo extraño
Los cuerpos extraños en vía urinaria se pueden alojar de forma accidental posterior a un procedimiento o por migración de un catéter urinario interno (Figura 12). Ante la falla de recuperación de estos cuerpos extraños por complejidad técnica mediante abordaje endourológico, se debe optar por realizar un tracto de nefrostomía y recuperar dicho cuerpo extraño mediante un lazo (sistema Snare).2

(A). Se realizó tracto de nefrostomía para tener un sitio de acceso (B), se colocó introductor vascular 8 Fr (C). A través del introductor y con un sistema Snare se sujetó el catéter doble J que se encontraba alojado en la pelvis (D), y se retiró a través de dicho introductor (E y F). Finalmente se obtuvo el catéter doble J íntegro (G).
Figura 12 Paciente portadora de catéter doble J derecho. Durante un recambio se observó migración de este a la pelvis renal, sin poder recuperarlo por vía endoscópica
Conclusiones
Los drenajes urinarios están indicados para diversos casos y mediante múltiples técnicas de abordaje y material empleado. Frecuentemente se realizan para preservar la función renal, tratar infecciones, realizar una derivación urinaria y para obtener un acceso para intervención urológica. Los catéteres son diversos, van desde un drenaje externo como la nefrostomía, hasta catéteres internos como los doble J. El estent nefroureteral es un catéter de reciente aparición en el mercado mexicano, que tiene la doble función y permite ser seleccionado para ciertos casos, sobre todo en pacientes con unión ureteroentérica. Todos los catéteres requieren de un cuidado y recambio periódico, además de que impacta en el estilo de vida de los pacientes de forma diversa. Previo a la realización del procedimiento se requiere que tanto el médico como el paciente comprendan cuáles son los objetivos del catéter. Si el catéter debe ser usado por largos periodos de tiempo, es recomendable que el equipo multidisciplinario y el paciente se vean involucrados de forma activa en la toma de decisiones.










nueva página del texto (beta)




