Individuo masculino de 67 años, campesino, con diagnóstico de adenocarcinoma pulmonar derecho con un año ocho meses de evolución. Se inició su manejo con pemetrex (500 mg/m2)/cisplatino (75 mg/m2) -de diciembre de 2015 a marzo de 2016-. Presentó síncope en marzo de 2016; se le realizó una angiotomografía, en la que se documentó progresión por trombo tumoral en la vena pulmonar superior derecha y la aurícula izquierda el 30 de marzo de 2016 (Figuras 1 a 3y video), por lo que se inició anticoagulación con apixabán en dosis de 5 mg dos veces por día desde ese día; se modificó a 2.5 mg dos veces por día hasta la fecha. En mayo de 2016 se inició su manejo con paclitaxel/carboplatino y ciclos de nivolumab en dosis de 3 mg/kg en ciclos cada 15 días. Actualmente (agosto del 2018), continúa con este último tratamiento y se encuentra en respuesta completa.

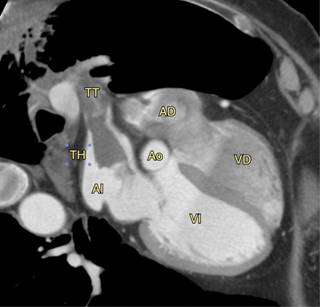
Figura 1: Angiotomografía que muestra TT = trombo tumoral en la vena pulmonar; TH = trombo hemático en la aurícula izquierda (AI); el resto de las cámaras cardiacas, aurícula derecha (AD), ventrículo derecho (VD), ventrículo izquierdo (VI) y aorta (Ao).

Figura 2: Angiotomografía que muestra un trombo tumoral vascularizado en la vena pulmonar superior derecha y su prolongación con trombo hemático homogéneo hacia la aurícula izquierda (flechas).

Figura 3: Angiotomografía que muestra la distribución de las venas pulmonares y la presencia de un trombo pulmonar localizado en la vena pulmonar superior derecha (VPSD) y su prolongación por trombo hemático hacia la aurícula izquierda.
(Video) http://www.medigraphic.com/videos/am191w.html
El evento tromboembólico es una de las principales complicaciones en los pacientes con cáncer; su incidencia varía entre los diferentes tipos de malignidades.1 Una persona con cáncer tendrá un riesgo incrementado en cuatro a siete veces de presentar tal evento; la mortalidad aumenta dos veces más al compararla con la de los pacientes con cáncer que no han presentado dicho evento.2,3 La génesis de la tromboembolia y su relación tan estrecha con cáncer y sus diversos tipos aún no se comprende por completo; existe la hipótesis de que el tumor per se adquiere la habilidad de encender diferentes sistemas de hemostasia, producir citocinas proinflamatorias, expresar factores proangiogénicos y moléculas de adhesión para reclutar plaquetas, células endoteliales y leucocitos, que son unos de los mecanismos que se activan para crear el estado protrombótico.4










nueva página del texto (beta)


