SciELO - Scientific Electronic Library Online

 
vol.15 número4Frecuencia y tipos de fracturas clasificadas por la Asociación para el Estudio de la Osteosíntesis en el Hospital General de León durante un añoFibrosis pulmonar idiopática, tiroiditis de Hashimoto y miastenia gravis: asociación extraordinaria índice de autoresíndice de materiabúsqueda de artículos
Home Pagelista alfabética de revistas  

Servicios Personalizados

Revista

Articulo

Indicadores

Links relacionados

  • No hay artículos similaresSimilares en SciELO

Compartir


Acta médica Grupo Ángeles

versión impresa ISSN 1870-7203

Acta méd. Grupo Ángeles vol.15 no.4 México oct./dic. 2017

 

Artículo de revisión

Neumomediastino espontáneo. Revisión con un caso ilustrativo

Spontaneous pneumomediastinum. A review with an illustrative case report

Gregorio Arellano Aguilar1  * 

Jorge Mora Constantino2 

Jorge Magaña Reyes3 

José Humberto Diez de Sollano Gutiérrez4 

Luis Gerardo Domínguez Carrillo5 

1 Médico Internista. División de Medicina. Hospital Ángeles León. Guanajuato. México.

2 Radiólogo. Jefe del Departamento de Imagenología. Hospital Ángeles León. Guanajuato. México.

3 Radiólogo. Departamento de Imagenología. Hospital Ángeles León. Guanajuato. México.

4 Médico interno de pregrado. Hospital Ángeles León. Guanajuato. México.

5 Especialista en Medicina de Rehabilitación. Profesor de la Facultad de Medicina de León, Universidad de Guanajuato. México.


Resumen:

Introducción:

El neumomediastino espontáneo es una entidad poco frecuente que afecta con mayor frecuencia a varones jóvenes de entre 18 y 25 años de edad.

Caso clínico:

Masculino de 20 años, con antecedentes de tabaquismo desde los 16. Acudió por dolor retroesternal, transfictivo, irradiado a la región interescapular, que se incrementa con la inspiración, secundario a un acceso de tos. A la exploración: estatura 1.85 m; peso 87 kg; IMC 25.42; FC 85 lat./min; FR 18/min; TA 120/80; Temp. 36.6 oC; cuello normal; en el tórax, ruidos cardiacos rítmicos acompañados de crujido áspero sincrónico con el ritmo cardiaco, campos pulmonares con murmullo vesicular normal; resto normal, electrocardiograma normal y troponina cardiaca seriada indetectable. La tomografía de tórax mostró presencia de aire en el mediastino, extendiéndose caudalmente a la aorta descendente y a los vasos supraaórticos. Con el diagnóstico de neumomediastino espontáneo, se le manejó con reposo, analgésicos y oxígeno, 3 litros/min por 72 horas. Fue dado de alta asintomático.

Conclusiones:

El neumomediastino espontáneo es benigno y autolimitado, afecta a niños y adultos jóvenes; es ocasionado por asma, infecciones respiratorias, vómitos y/o tos intensa, y esfuerzos físicos con maniobras de Valsalva.

Palabras clave: Neumomediastino espontáneo; neumomediastino; dolor torácico

Abstract:

Background:

Spontaneous pneumomediastinum is a rare entity that most commonly affects young males between 18 and 25 years of age.

Case report:

Twenty-year-old male, with a history of smoking since he was 16. He presented with retrosternal, transfictive pain, irradiated to the interscapular region, which increased with inspiration, secondary to a cough access. Physical examination: height 1.85 m; weight 87 kg; BMI 25.42; HR 85 beats/min; RR 18/min; BP 120/80; Temp. 36.6 oC; normal neck; chest: rhythmic cardiac sounds accompanied by a rough crunching sound synchronous with the heartbeat, pulmonary fields with a normal vesicular murmur; normal electrocardiogram and undetectable serial cardiac troponin. The chest CT scan showed the presence of air in the mediastinum extending caudally to the descending aorta and supra-aortic vessels. With the diagnosis of spontaneous pneumomediastinum, he was managed with rest, analgesics and oxygen, 3 liters/min for 72 hours. He was discharged asymptomatic.

Conclusions:

Spontaneous pneumomediastinum is generally benign and self-limited; it affects children and young adults; triggers include asthma, respiratory tract infections, vigorous vomiting or coughing, intense physical effort, or Valsalva maneuver.

Key words: Spontaneum pneumomediastinum; pneumomediastinum; chest pain

Introducción

El neumomediastino (NM) es la presencia de aire o gas en el mediastino. Se le cataloga según su origen en dos formas: primario o secundario; el primario corresponde al neumomediastino espontáneo1 (NME) y el secundario al NM traumático. Este último es causado por traumatismo cerrado o abierto de tórax, iatrogenia durante una cirugía torácica o barotrauma por ventilación mecánica. El NM fue mencionado inicialmente en 1827 por Laennec;2 los trabajos experimentales de Macklin3 en 1937 proporcionaron las bases fisiopatológicas de su presentación, que fueron reportadas en 1944. La descripción inicial de NME correspondió a Louis Hamman4 en 1939. Es un cuadro muy poco frecuente del cual existen algunas series; sin embargo, en la literatura médica se le encuentra más comúnmente como casos aislados. Al presentarse un paciente en el que se llegó al diagnóstico de NME, siendo el primero en nuestra institución en 13 años de trabajo, realizamos esta comunicación, incluyendo una revisión al respecto.

Caso clínico

Masculino de 20 años, estudiante, con antecedentes de tabaquismo desde los 16 años (20 cigarrillos/semana), alcoholismo ocasional, deporte tres horas/semana; negó alergias y toxicomanías. Acudió a urgencias manifestando dolor retroesternal moderado, transfictivo, que se irradiaba a la zona interescapular y se incrementaba con la inspiración, de presentación inmediata tras un acceso de tos al momento de levantarse de la cama. Refirió disfagia moderada a la ingestión de líquidos y sólidos. A la exploración: estatura 1.85 m; peso 87 kg; IMC 25.42; FC 85 lat./min; FR 18/min; TA 120/80; Temp. 36.6 oC; cráneo: cara normal; cuello normal sin ingurgitación yugular; tórax con ampliación y amplexación normales; ruidos cardiacos rítmicos acompañados de un crujido áspero sincrónico con el ritmo cardiaco, localizado en todos los focos cardiacos, siendo de mayor intensidad en decúbito lateral derecho (signo de Hamman); los campos pulmonares, con murmullo vesicular normal; el dolor se exacerbaba a la inspiración profunda; abdomen y extremidades normales. Se efectuó un electrocardiograma (normal) y troponina cardiaca seriada a las cuatro y seis horas (siendo indetectable). La tomografía de tórax (Figuras 1 y 2) mostró presencia de aire entre el tronco braquiocefálico y emergencia de la carótida común izquierda y en la ventana aortopulmonar, se extendía caudalmente en íntimo contacto con la aorta descendente y se proyectaba a los vasos supraaórticos (efecto Macklin). Se practicó tránsito esofágico (normal). Con el diagnóstico de neumomediastino espontáneo, se le manejó con reposo, evitando maniobras de Valsalva; se prescribió paracetamol a dosis de 500 mg/TID y oxígeno, tres litros/min por 72 horas. Fue dado de alta asintomático a los cinco días de hospitalización; el signo de Hamman desapareció.

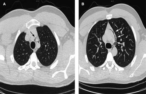
Figura 1: Tomografía computada con ventana para pulmón, cortes axiales (A y B) que muestran aire que se proyecta a los vasos supraaórticos (flechas); parénquima pulmonar sin evidencia de alteración estructural. Diagnóstico: Neumomediastino espontáneo provocado por un acceso de tos en masculino de 20 años de edad. 

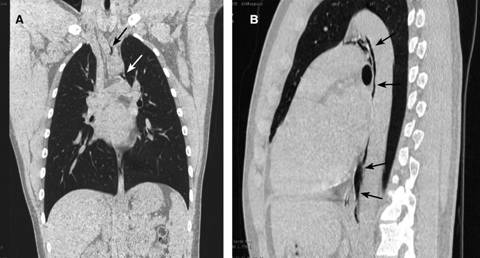
Figura 2: Imágenes de tomografía computada en plano coronal (A) y sagital (B), con presencia de gas entre el tronco braquiocefálico y emergencia de carótida común izquierda (flechas), así como en la ventana aortopulmonar; se extiende caudalmente en íntimo contacto con la aorta descendente (flechas). 

Discusión

El neumomediastino es la presencia de aire o gas en el mediastino; puede ser traumático, iatrogénico o espontáneo. Es una patología poco frecuente que puede presentarse en todas las edades; está relacionado directamente con lesión de las vías aéreas, así como ruptura esofágica (originada por aumento súbito de la presión intraabdominal, transmitida al esófago contra una glotis cerrada). El aumento de presión usualmente es producto de náuseas y vómitos, pero también puede ocurrir durante la defecación, el parto, convulsiones, halterofilia o estatus asmático. La etiología principal descrita corresponde al vómito, presente en más de un 75% de los casos en el denominado “síndrome de Boerhaave”5 y traumatismos abiertos o cerrados de tórax y abdomen. Puede ser ocasionado por cirugía torácica y cirugía laparoscópica de abdomen, barotrauma durante la ventilación mecánica, bacterias productoras de gas localizadas en el mediastino con vías de entrada por heridas abiertas, ya sean torácicas, abdominales, en el cuello, y en cirugías o enfermedades dentales. Por otra parte, el denominado neumomediastino espontáneo se clasifica como de tipo primario cuando no existe enfermedad de vías aéreas, y se le cataloga como secundario cuando es originado por enfermedades como la fibrosis quística o el asma.

Epidemiología

El NME es una entidad poco frecuente, con una incidencia estimada de 0.003 a 0.006%. Se considera que es subdiagnosticado. Afecta con mayor frecuencia a varones jóvenes de entre 18 y 25 años de edad.6

El NME puede observarse en el recién nacido; Hauri7 y sus colaboradores lo reportan en nueve neonatos durante un periodo de seis años, con una incidencia estimada en 1/1,000; anotan que un tercio de los casos había recibido soporte respiratorio previo al diagnóstico, por lo que solamente dos tercios pueden considerarse como NME primario.

Posteriormente al periodo neonatal, se reportan tres espigas de presentación: una en preescolares, la segunda en escolares (el grupo de Zhang,8 en China, reporta 18 casos, tres solamente en niñas, con edades entre los nueve y 17 años, debido a infecciones respiratorias frecuentes que ocasionaron aumento de las presiones dentro de las vías aéreas obstruidas [bronquiolitis] y/o por necrosis del parénquima pulmonar infectado; sin embargo, estrictamente hablando, estos casos serían NM secundarios) y la tercera durante la adolescencia; es notorio en este grupo de edad que los pacientes afectados se caracterizan por ser altos y delgados (similar al caso motivo de esta presentación), al igual que los casos reportados de neumotórax espontáneo,9,10 así como pacientes con anorexia nerviosa.11,12

En relación con el género y la edad en el adolescente y adulto joven, en el reporte de Campillo13 y colaboradores, en España, durante un periodo de ocho años, se detectaron 36 casos de NME; predominó el género masculino con 69.5%. Koullias14 y su equipo indicaron una serie de 24 pacientes con edad promedio de 17.5 años en un periodo de siete años; predominaron también los varones, con 18 casos. Por otra parte, Jougon15 y sus colegas, durante un periodo de 22 años en un hospital de Dijón, Francia, conjuntaron una serie de 12 casos con edad promedio de 25 años (rango de 16 a 46), en los que se encontró solamente una mujer, siendo la de mayor edad. Mondello16 y su grupo reportaron 18 casos con NMS, con edad promedio y DE de 25 ± 4.8 años; 10 pacientes fueron masculinos. Bakhos17 y su equipo conjuntaron una serie de 49 pacientes con NME con edad promedio y DE de 19 ± 9 años; en ella, el género masculino abarcó 26 casos (53%). Aguinaga18 y colaboradores reportaron 16 casos, nueve hombres y siete mujeres, con edades entre los 18 y 30 años. Cáceres19 y sus colegas detectaron 28 casos de NME dentro de un grupo de 78 NM. La serie más grande de pacientes adultos fue de 62 casos, reportada por Iyer20 y su equipo de la Clínica Mayo, en la que indicaron una edad promedio de 18 años, con dos tercios correspondiendo al género masculino. Por lo anterior, los reportes varían ampliamente desde 1/800 a 1/42,000, con preponderancia del género masculino y una mayor frecuencia en adolescentes y adultos jóvenes.

Etiología

La etiología del NM,21 en general, está relacionada directamente con lesión de las vías aéreas,22 como la ruptura esofágica de cualquier causa, así como, específicamente, con el síndrome de Boerhaave,4 vinculado directamente con el vómito; sin embargo, existen otras causas como la defecación, el trabajo de parto,23 crisis convulsivas, halterofilia,24 deportes25 y entrenamiento extenuante;26 y en niños, la presencia de crisis asmáticas.27 Otras etiologías corresponden a los traumatismos abiertos o cerrados de tórax y abdomen en accidentes automovilísticos y violencia; cirugía torácica y cirugía laparoscópica de abdomen, esta última por hiperinsuflación o escape del gas hacia el tórax; barotrauma durante la ventilación mecánica;28 así mismo, por bacterias productoras de gas localizadas en el mediastino con vías de entrada por heridas abiertas, ya sean torácicas, abdominales, en cuello y en cirugías dentales.29 Por otra parte, en el neumomediastino espontáneo propiamente, no existe enfermedad de vías aéreas; sin embargo, como factores predisponentes se encuentran el que el paciente sea alto, delgado y se encuentre en la adolescencia o sea adulto joven.9 Como factores precipitantes, se reporta asociado hasta en 75% de los casos a crisis asmáticas (20-30%), infecciones de vías respiratorias altas30 y bajas31 (10 a 20%), actividades en donde la maniobra de Valsalva está involucrada, ataques de tos, vómitos,32 cetoacidosis diabética, ruptura esofágica,5 aspiración de cuerpo extraño33,34 y maniobra de Heimlich, la inhalación de helio de manera recreativa,35,36 extracciones dentales, así como inmersiones y buceo; por otra parte, se ha reportado en pacientes con drogadicción por uso de tóxicos inhalados.37,38

Fisiopatología

El mecanismo fisiopatológico en la presencia de NME fue descrito por Charles Macklin3 en 1937; lo reportó en 1944. Demostró, en un estudio experimental en gatos, que la insuflación de aire a presión en el bronquio principal puede llegar a producir neumomediastino. Lo catalogó en tres etapas: a) ruptura alveolar por insuflación excesiva de la vía aérea, produciendo fuga de aire; b) formación de burbujas de aire que migran por las vainas arteriales y bronquiales; y c) disección del tejido conectivo por el aire a nivel del mediastino, con posibilidades (dependientes de la fuerza de insuflación) de llegar a cuello, axila y retroperitoneo. Por otra parte, el NME puede presentarse por escape de aire a nivel de vías respiratorias superiores, vías intratorácicas y perforación esofágica, así como por escape de gas hacia el tórax durante la cirugía laparoscópica,39,40 sin que exista propiamente daño a nivel alveolar. Dado que la presión a nivel del mediastino es negativa en relación con la presión existente en el parénquima pulmonar, ante la fuga de aire, éste tiende a desplazarse (por diferencias de presión) de manera centrípeta a lo largo de las vainas de los grandes vasos, por lo que el aire diseca al hilio pulmonar ipsilateral, extendiéndose hasta el mediastino a través de la fascia mediastinal; puede alcanzar a los tejidos subcutáneos del tórax, cuello y, dependiendo de la posición del sujeto, el retroperitoneo. Como dato interesante, el escape de aire del mediastino hacia el tejido subcutáneo previene el aumento de presión del primero; se han reportado casos de neumotórax y NM principalmente en recién nacidos, todos debido al uso de ventilación mecánica; en ocasiones, se ha observado presencia de neumopericardio41 al disecarse la membrana parietal del mismo. El llamado “efecto Macklin”42 ocurre con mayor frecuencia en los pacientes jóvenes debido a que el intersticio es más elástico y laxo; es por esta razón que el NME no es frecuente en personas mayores de 60 años de edad.

Sintomatología

Dentro de los datos clínicos de los pacientes con NME, resultan de indudable valor para su sospecha algunos antecedentes; de acuerdo con algunas series: presencia de enfermedad pulmonar (reportada hasta en 58% de los casos), asma (en 66%), EPOC (en 33%), tabaquismo (en 33%), uso de tóxicos inhalados (en 2.8%); así como los fenómenos desencadenantes, como crisis asmática (11%), esfuerzo físico (5.6%), ataque agudo de tos, neumonía, inhalación de drogas (cocaína y éxtasis), inhalación de helio, aspiración de cuerpo extraño, haber recibido la maniobra de Heimlich, náusea y vómitos intensos y repetitivos, estar cerca de un área de explosión, y cualquier otra causa que implique maniobra de Valsalva que incremente la presión bronquio-alveolar.

Con respecto a la sintomatología, la presencia de dolor torácico a nivel restroesternal es la de mayor frecuencia (55-80%); sus características son las de un dolor tipo pleurítico que se exacerba con la inspiración profunda y que habitualmente es transfictivo, con irradiación a la zona interescapular; puede irradiarse a cuello, hombros y brazos; otro síntoma es disnea (presente en 30 a 60% de los pacientes, generalmente de medianos esfuerzos; se incrementa con aumento de la frecuencia respiratoria); la tos seca se observa en 32% de los casos; con menor frecuencia, se han reportado odinofagia y disfagia en 14 y 10%, respectivamente, así como dolor abdominal -por lo general, epigástrico-, sensación de mareo y fatiga (Cuadro 1).

Cuadro 1: Series reportadas de neumomediastino espontáneo. 

TE = Tiempo de estudio; N = Número de casos; M/F = Masculino/femenino; X = Promedio; Dx = Diagnóstico; T. hosp. = Tiempo de hospitalización; T. seg. = Tiempo de seguimiento; RX = Radiografías; TAC = Tomografía axial computarizada; NR = No registrado.

La exploración física puede ser normal en más del 30% de los pacientes; el signo de Hamman (que corresponde a crujido áspero localizado en el área precordial, sincronizado principalmente con la sístole y alterando los ruidos cardiacos habituales) se detecta, según algunos autores, en 12 a 50% de los pacientes; se ausculta mejor con el paciente en decúbito lateral izquierdo. Louis Hamman4 (famoso por el síndrome de Hamman-Rich, denominado actualmente neumonía intersticial aguda) lo describió en 1939. Por otra parte, la presencia de enfisema subcutáneo, observado en 30 a 90% de los casos, puede detectarse en el cuello y área precordial; se trata de un signo importante en NM, con moderada a alta especificidad para el diagnóstico.

Los signos relevantes en el diagnóstico1 son dolor torácico (en 54.6% de los casos), dolor en el cuello43 y ronquera (en 53.3%), disnea (en 41.2%) y enfisema subcutáneo (en 66.4%; se ha encontrado en el 100% en algunas series) (Cuadro 1); otro dato reportado menos frecuentemente es la rinolalia.44 El clásico signo de Hamman sólo se reporta en 11.6% de los pacientes.1

Varios datos clínicos y de exploración son de importancia para pensar en otras posibilidades diagnósticas,45,46 así como en NME complicado; la presencia de disnea importante puede estar causada por enfermedad pulmonar como neumonía, un cuerpo extraño en las vías aéreas o problemas cardiacos; raramente es causada por NM a tensión, el cual repercute comprimiendo las vías al retorno venoso; se manifiesta por hipotensión e ingurgitación yugular, por lo que esta posibilidad existe en pacientes con NME masivo y disnea, pero sin enfermedad pulmonar subyacente. La disminución o ausencia del murmullo vesicular respiratorio unilateral indica las posibilidades de neumotórax, neumonía, atelectasia, un cuerpo extraño que ocluya un bronquio principal. Debe anotarse que cuando existe enfisema subcutáneo torácico, los ruidos respiratorios y cardiacos pueden ser difíciles de auscultar. Por último, la detección de hipotensión y/o fiebre en presencia de NME debe hacer sospechar infección, tanto neumonía como las posibilidades de perforación esofágica.

Estudios diagnósticos

Los estudios para evaluar a pacientes en los que se sospecha NME son a) electrocardiograma, b) radiografías tele de tórax y lateral, con la inclusión de la región cervical, c) ultrasonografía y d) tomografía computada de tórax.

Electrocardiograma

En todo paciente con manifestaciones de dolor torácico debe realizarse un electrocardiograma (ECG) como parte de la exploración; en los casos de NME pueden existir anormalidades como elevación o depresión de ST, inversión de la onda T, desviación del eje, ya sea a la izquierda o a la derecha; la explicación de su presencia puede estar relacionada con el aislamiento del corazón por el aire o gas a nivel del mediastino.47 Además, el ECG auxilia en el diagnóstico diferencial de pericarditis, caracterizada en el ECG por elevación ST cóncava hacia arriba casi en todas las derivaciones.

Radiografías

Las radiografías simples de tórax en las proyecciones posteroanterior y lateral izquierda48 son el estudio de primera elección ante la sospecha clínica de un NME; hasta el 50% de los casos de neumomediastino pueden ser omitidos si sólo se realiza la posteroanterior. Los datos radiográficos de NME son abundantes,49 ya que el NM produce el despegamiento lateral de las dos hojas pleurales a nivel de los hilios, observándose en la radiografía PA de tórax a la pleura visible como una línea radiopaca paralela al contorno cardiomediastínico,50,51 que es más fácil de localizar en el margen izquierdo de la silueta cardiomediastínica. Las líneas radiopacas elevan la pleura mediastinal (signo de Naclerio52). También, con frecuencia, estas líneas se extienden al cuello o la pared torácica; en la vista lateral, puede delimitar a la aorta ascendente, el arco aórtico y las áreas retroesternal, precardiaca, periaórtica y peritraqueal, así como delinear al tronco braquiocefálico y las arterias carótidas primitivas. Al evaluar radiografías, siempre debe tomarse en cuenta un fenómeno óptico denominado “banda de Mach”,53 que consiste en la percepción de una banda en la zona de transición entre una banda luminosa o blanca y una oscura o negra por inhibición lateral de la retina; este efecto psicofisiológico de realce de los bordes puede simular un neumomediastino en determinado momento, para lo cual hay que buscar otros signos asociados. El signo denominado “anillo de la arteria pulmonar”54,55 es causado por el aire fugado que rodea a la porción mediastínica (extrapericárdica) de la arteria mencionada. Específicamente en el neonato, puede detectarse el signo de alas de ángel, también denominado “signo de vela de barco”56 (spinnaker, en idioma inglés), el cual se produce por elevación del timo con separación de la silueta cardiaca, semejando una vela de barco hinchada al viento; cuando es bilateral aparece como las alas abiertas de un ángel. Otras evidencias de NME incluyen enfisema subcutáneo visible en las radiografías laterales de cuello. Las radiografías permiten identificar al neumopericardio, al neumorretroperitoneo y al neumoperitoneo; permiten efectuar diagnóstico diferencial con neumonía, neumotórax (que es un diagnóstico clínico), atelectasias, cavitaciones pulmonares, derrame pulmonar y derrame pericárdico.

Ultrasonografía

El ultrasonido es una herramienta diagnóstica que muy frecuentemente se utiliza en los servicios de urgencias. En el caso de NME se puede llegar a apreciar una interfase ecogénica anterior al corazón, que impide la visualización adecuada de las estructuras cardiacas y origina un “parpadeo del corazón”; esto es, que aparece y desaparece de manera alternante con cada ciclo respiratorio, específicamente en la vista apical y paraesternal.57 Algunos autores proponen el ultrasonido como modalidad diagnóstica inicial en la evaluación del paciente con sospecha de neumomediastino en el contexto de un Servicio de Urgencias y emergencias; no obstante, sólo ha habido reportes de casos y, al tomar en cuenta las limitaciones físicas que ocasiona el gas en las imágenes de ultrasonido, en la actualidad no se recomienda su uso rutinario. Estos hallazgos deben ser confirmados siempre por radiografía y/o tomografía.

Tomografía computada de tórax

La tomografía computada (TC) de tórax es de gran ayuda para evaluar a aquellos pacientes en los que se sospecha enfermedad pulmonar. En el diagnóstico de NME, la TC con ventana pulmonar es la modalidad diagnóstica de elección: su sensibilidad es cercana al 100%.58 Se estima que cerca del 30% de los casos de NM no se visualizan en los estudios de radiología simple y sólo pueden ser diagnosticados con una TC; por otra parte, la extensión del proceso generalmente es subestimada en los estudios de radiología convencional. Los hallazgos descritos en la TC son la presencia de bandas y burbujas con densidad de aire que disecan los planos grasos del mediastino y las vainas peribroncovasculares del intersticio axial. El gas presente en el intersticio peribronquial es un reflejo indirecto del efecto Macklin subyacente y recibe el nombre de enfisema pulmonar intersticial. La localización típica del gas en un NME es en la porción superior del mediastino anterior, con extensión a los tejidos blandos del cuello y a los hilios pulmonares.59

Esofagograma

El esofagograma con contraste soluble en agua es de utilidad ante la sospecha de ruptura esofágica, en pacientes con antecedentes de vómitos severos y odinofagia marcada, hipotensión y/o derrame pleural. La esofagoscopia debe implementarse en caso de que el esofagograma demuestre salida del medio de contraste.60

Exámenes de laboratorio

En general, los exámenes de laboratorio no son de utilidad en el NME; no obstante, puede existir neutrofilia y elevación de la proteína C reactiva en suero.

Tratamiento

El tratamiento del NME no complicado es conservador;21 debe evitarse a toda costa la maniobra de Valsalva, así como toda espiración forzada, como la espirometría, que está estrictamente contraindicada en la evaluación de estos pacientes; se utilizan analgésicos y reposo. En caso de proceso asmático o enfermedad pulmonar, éstas se deberán tratar de manera específica. El oxígeno en altas concentraciones61,62 se ha utilizado para disminuir los niveles de nitrógeno; sin embargo, debe tenerse precaución si el paciente tiene una enfermedad crónica pulmonar que predispone a la atelectasia, ya que la terapia con oxígeno al 100% puede originar atelectasias de absorción.

En aquellos casos con NM y neumotórax,63 este último es lo principal a resolver, mediante la colocación de sonda pleural. En el caso de NM a tensión, debe realizarse punción o mediastinostomía; en caso de neumopericardio, que se presenta muy raramente en pacientes con NME, debe implementarse vigilancia estrecha por las posibilidades de tamponade, lo que requiere de punción pericárdica evacuadora.

Pronóstico

El NME es, en general, una condición benigna con resolución espontánea entre dos y 15 días, habitualmente sin consecuencias, como puede observarse en las series anotadas en el Cuadro 1. No obstante, puede existir empeoramiento transitorio de los síntomas. Ocurren casos de recurrencia hasta en 5% de los pacientes (en las series reportadas sólo encontramos dos casos de recidiva); sin embargo, su pronóstico también es benigno, por lo que, en general, no requieren mayor seguimiento. Es aconsejable indicar al paciente que evite situaciones que predispongan al barotrauma, principalmente el buceo, ya sea con escafandra o con tanque de oxígeno, para prevenir y evitar recurrencia. El pronóstico de la asociación de NM y neumotórax es más serio, sobre todo cuando ha sido ocasionado por trauma cerrado de tórax,64 al igual que su asociación a enfermedad pulmonar crónica. En la revisión efectuada sólo se encontró un caso de defunción.

Referencias bibliográficas

1. Gasser CR, Pellaton R, Rochat CP. Pediatric spontaneous pneumomediastinum: narrative literature review. Pediatr Emerg Care. 2017; 33 (5): 370-374. [ Links ]

2. Laennec RTH. A treatise on the diseases of the chest and on mediate auscultation. Translated by John Forbes. 2nd ed. London: T & G Underwood; 1827. [ Links ]

3. Macklin MT, Macklin CC. Malignant interstitial emphysema of the lungs and mediastinum as an important occult complication in many respiratory diseases and other conditions: an interpretation of the clinical literature in the light of laboratory experiment. Medicine. 1944; 23 (4): 281-358. [ Links ]

4. Hamman L. Spontaneous mediastinal emphysema. Bull Johns Hopkins Hospital. 1939; 64: 1-21. [ Links ]

5. Boerhaave H. Atrocis nec descripti prius, morbi historia, Secundum mediciae artis leges conscripta. Lugd Bat Boutesteniana Leyeden; 1724. (English translation: Bull Med Library Assoc. 1955; 43: 217.) [ Links ]

6. Kim SH, Huh J, Song J, Kang IS. Spontaneous pneumomediastinum: a rare disease associated with chest pain in adolescents. Yonsei Med J. 2015; 56 (5): 1437-1442. [ Links ]

7. Hauri-Hohl A, Baenziger O, Frey B. Pneumomediastinum in the neonatal and paediatric intensive care unit. Eur J Pediatr. 2008; 167 (4): 415-418. [ Links ]

8. Zhang XY, Zhang WX, Sheng AQ, Zhang HL, Li CC. Diagnosis and prognosis of spontaneous pneumomediastinum in eighteen children. Zhonghua Er Ke Za Zhi. 2013; 51 (11): 849-851. [ Links ]

9. Noppen M, De Keukeleire T. Pneumothorax. Respiration. 2008; 76 (2): 121-127. [ Links ]

10. Amjadi K, Alvarez GG, Vanderhelst E, Velkeniers B, Lam M, Noppen M. The prevalence of blebs or bullae among young healthy adults: a thoracoscopic investigation. Chest. 2007; 132 (4): 1140-1145. [ Links ]

11. Coxson HO, Chan IH, Mayo JR, Hlynsky J, Nakano Y, Birmingham CL. Early emphysema in patients with anorexia nervosa. Am J Respir Crit Care Med. 2004; 170 (7): 748-752. [ Links ]

12. Hochlehnert A, Löwe B, Bludau HB, Borst M, Zipfel S, Herzog W. Spontaneous pneumomediastinum in anorexia nervosa: a case report and review of the literature on pneumomediastinum and pneumothorax. Eur Eat Disord Rev. 2010; 18 (2): 107-115. [ Links ]

13. Campillo-Soto A, Coll-Salinas A, Soria-Aledo V, Blanco-Barrio A, Flores-Pastor B, Candel-Arenas M et al. Neumomediastino espontáneo: estudio descriptivo de nuestra experiencia basada en 36 casos. Arch Bronconeumol. 2005; 41 (9): 528-531. [ Links ]

14. Koullias GJ, Korkolis DP, Wang XJ, Hammond GL. Current assessment and management of spontaneous pneumomediastinum: experience in 24 adult patients. Eur J Cardiothorac Surg. 2004; 25 (5): 852-855. [ Links ]

15. Jougon JB, Ballester M, Delcambre F, Mac Bride T, Dromer CE, Velly JF. Assessment of spontaneous pneumomediastinum: experience with 12 patients. Ann Thorac Surg. 2003; 75 (6): 1711-1714. [ Links ]

16. Mondello B, Pavia R, Ruggeri P, Barone M, Barresi P, Monaco M. Spontaneous pneumomediastinum: experience in 18 adult patients. Lung. 2007; 185 (1): 9-14. [ Links ]

17. Bakhos CT, Pupovac SS, Ata A, Fantauzzi JP, Fabian T. Spontaneous pneumomediastinum: an extensive workup is not required. J Am Coll Surg. 2014; 219 (4): 713-717. [ Links ]

18. Aguinaga IJS, Ubillos MMB. Neumomediastino espontáneo. Análisis de 16 casos. Emergencias. 2000; 12: 321-325. [ Links ]

19. Cáceres M, Ali SZ, Braud R, Weiman D, Garrett HE Jr. Spontaneous pneumomediastinum: a comparative study and review of the literature. Ann Thorac Surg. 2008; 86 (3): 962-966. [ Links ]

20. Iyer VN, Joshi AY, Ryu JH. Spontaneous pneumomediastinum: analysis of 62 consecutive adult patients. Mayo Clin Proc. 2009; 84 (5): 417-421. [ Links ]

21. Banki F, Estrera AL, Harrison RG, Miller CC 3rd, Leake SS, Mitchell KG et al. Pneumomediastinum: etiology and a guide to diagnosis and treatment. Am J Surg. 2013; 206 (6): 1001-1006; discussion 1006. [ Links ]

22. Jennings S, Peeceeyen S, Horton M. Tension pneumomediastinum after blunt chest trauma. ANZ J Surg. 2015; 85 (1-2): 90-91. [ Links ]

23. Kouki S, Fares AA. Postpartum spontaneous pneumomediastinum 'Hamman's syndrome'. BMJ Case Rep. 2013; 2013. [ Links ]

24. Sadarangani S, Patel DR, Pejka S. Spontaneous pneumomediastinum and epidural pneumatosis in an adolescent precipitated by weight lifting: a case report and review. Phys Sportsmed. 2009; 37 (4): 147-153. [ Links ]

25. MacKnight JM, Mistry DJ. Chest pain in the athlete: differential diagnosis, evaluation, and treatment. In: Lawless CE. Sports cardiology essentials. New York: Springer; 2011. pp. 115-140. [ Links ]

26. Jones R, Kundrotas L. "HOOAH!" A case of pneumomediastinum in the military training environment; Hamman's sign 71 years later. Mil Med. 2011; 176 (3): 352-355. [ Links ]

27. Briassoulis GC, Venkataraman ST, Vasilopoulos AG, Sianidou LC, Papadatos JH. Air leaks from the respiratory tract in mechanically ventilated children with severe respiratory disease. Pediatr Pulmonol. 2000; 29 (2): 127-134. [ Links ]

28. Lee CY, Wu CC, Lin CY. Etiologies of spontaneous pneumomediastinum in children of different ages. Pediatr Neonatol. 2009; 50 (5): 190-195. [ Links ]

29. Yang SC, Chiu TH, Lin TJ, Chan HM. Subcutaneous emphysema and pneumomediastinum secondary to dental extraction: a case report and literature review. Kaohsiung J Med Sci. 2006; 22 (12): 641-645. [ Links ]

30. Lin HW, Kakarala K, Ostrower ST, Leonard DS. Laryngotracheobronchitis complicated by spontaneous pneumomediastinum. Int J Pediatr Otorhinolaryngol. 2010; 74 (2): 221-224. [ Links ]

31. Hasegawa M, Hashimoto K, Morozumi M, Ubukata K, Takahashi T, Inamo Y. Spontaneous pneumomediastinum complicating pneumonia in children infected with the 2009 pandemic influenza A (H1N1) virus. Clin Microbiol Infect. 2010; 16 (2): 195-199. [ Links ]

32. Bullimore DW, Cooke D. Cyclical vomiting with pneumomediastinum. Acta Paediatr Scand. 1982; 71 (4): 675-676. [ Links ]

33. Jhamb U, Sethi GR, Puri R, Kapoor S. Surgical emphysema: a rare presentation of foreign body inhalation. Pediatr Emerg Care. 2004; 20 (5): 311-313. [ Links ]

34. Lee CC, Chen TJ, Wu YH, Tsai KC, Yuan A. Spontaneous retropharyngeal emphysema and pneumomediastinum presented with signs of acute upper airway obstruction. Am J Emerg Med. 2005; 23 (3): 402-404. [ Links ]

35. Jeddy H, Rashid F, Bhutta H, Lorenzi B, Charalabopoulos A. Pneumomediastinum secondary to barotrauma after recreational nitrous oxide inhalation. Case Rep Gastrointest Med. 2016; 2016: 4318015. [ Links ]

36. McDermott R, Tsang K, Hamilton N, Belton M. Recreational nitrous oxide inhalation as a rare cause of spontaneous pneumomediastinum. BMJ Case Rep. 2015; 2015. [ Links ]

37. Alnas M, Altayeh A, Zaman M. Clinical course and outcome of cocaine-induced pneumomediastinum. Am J Med Sci. 2010; 339 (1): 65-67. [ Links ]

38. Marasco SF, Lim HK. Ecstasy-associated pneumomediastinum. Ann R Coll Surg Engl. 2007; 89 (4): 389-393. [ Links ]

39. Ibarra P, Riaño D. Hipercarbia secundaria a enfisema subcutáneo durante colecistectomía laparoscópica Rev Colomb Anestesiol. 2004; 32 (4): 288-289. [ Links ]

40. Chaparro-Mendoza K, Cruz-Suárez G, Suguimoto A. Crisis anestésica en cirugía laparoscópica: neumotórax espontáneo bilateral. Diagnóstico y manejo, reporte de caso. Rev Colomb Anestesiol. 2015; 43 (2): 163-166. [ Links ]

41. Vara-Cuesta OL, Sarmiento-Portal Y, Hernández-Castro M, Pérez-Lorenzo YB, Piloña-Ruiz SG. Neumopericardio espontáneo en el recién nacido a término. Rev Ciencias Médicas. 2014; 18 (4): 697-704. [ Links ]

42. Martín-Menjívar E, Vázquez-Minero JC, Ferrero-Balado E, Domínguez A. Efecto Macklin como causa de neumomediastino posterior a contusión torácica. Reporte de un caso. Trauma. 2007; 10 (2): 58-61. [ Links ]

43. Huon LK, Chang YL, Wang PC, Chen PY. Head and neck manifestations of spontaneous pneumomediastinum. Otolaryngol Head Neck Surg. 2012; 146 (1): 53-57. [ Links ]

44. Hoover LR, Febinger DL, Tripp HF. Rhinolalia: an underappreciated sign of pneumomediastinum. Ann Thorac Surg. 2000; 69 (2): 615-616. [ Links ]

45. Takada K, Matsumoto S, Hiramatsu T, Kojima E, Shizu M, Okachi S et al. Spontaneous pneumomediastinum: an algorithm for diagnosis and management. Ther Adv Respir Dis. 2009; 3 (6): 301-307. [ Links ]

46. Okada M, Adachi H, Shibuya Y, Ishikawa S, Hamabe Y. Diagnosis and treatment of patients with spontaneous pneumomediastinum. Respir Investig. 2014; 52 (1): 36-40. [ Links ]

47. Brearley WD Jr, Taylor L 3rd, Haley MW, Littmann L. Pneumomediastinum mimicking acute ST-segment elevation myocardial infarction. Int J Cardiol. 2007; 117 (2): e73-e75. [ Links ]

48. Zylak CM, Standen JR, Barnes GR, Zylak CJ. Pneumomediastinum revisited. Radiographics. 2000; 20 (4): 1043-1057. [ Links ]

49. Esayag Y, Furer V, Izbicki G. Spontaneous pneumomediastinum: is a chest X-ray enough? A single-center case series. Isr Med Assoc J. 2008; 10 (8-9): 575-578. [ Links ]

50. Bejvan SM, Godwin JD. Pneumomediastinum: old signs and new signs. AJR Am J Roentgenol. 1996; 166 (5): 1041-1048. [ Links ]

51. Levin B. The continuous diaphragm sign. A newly-recognized sign of pneumomediastinum. Clin Radiol. 1973; 24 (3): 337-338. [ Links ]

52. Naclerio EA. The "V sign" in the diagnosis of spontaneous rupture of the esophagus (an early roentgen clue). Am J Surg. 1957; 93 (2): 291-298. [ Links ]

53. Melo CP, Escaffi JA. Bandas de Mach en radiología. Rev Chil Radiol. 2010; 16 (2): 86-89. [ Links ]

54. Hammond DI. The "ring-around-the-artery" sign in pneumomediastinum. J Can Assoc Radiol. 1984; 35 (1): 88-89. [ Links ]

55. Agarwal PP. The ring-around-the-artery sign. Radiology. 2006; 241 (3): 943-944. [ Links ]

56. Lawal TA, Glüer S, Reismann M, Dördelmann M, Schirg E, Ure B. Spontaneous neonatal pneumomediastinum: the "spinnaker sail" sign. Eur J Pediatr Surg. 2009; 19 (1): 50-52. [ Links ]

57. Ng L, Saul T, Lewiss RE. Sonographic evidence of spontaneous pneumomediastinum. Am J Emerg Med. 2013; 31 (2): 462.e3-4. [ Links ]

58. Ho AS, Ahmed A, Huang JS, Menias CO, Bhalla S. Multidetector computed tomography of spontaneous versus secondary pneumomediastinum in 89 patients: can multidetector computed tomography be used to reliably distinguish between the 2 entities? J Thorac Imaging. 2012; 27 (2): 85-92. [ Links ]

59. Kaneki T, Kubo K, Kawashima A, Koizumi T, Sekiguchi M, Sone S. Spontaneous pneumomediastinum in 33 patients: yield of chest computed tomography for the diagnosis of the mild type. Respiration. 2000; 67 (4): 408-411. [ Links ]

60. Wu CH, Chen CM, Chen CC, Wong YC, Wang CJ, Lo WC et al. Esophagography after pneumomediastinum without CT findings of esophageal perforation: is it necessary? AJR Am J Roentgenol. 2013; 201 (5): 977-984. [ Links ]

61. Kim KS, Jeon HW, Moon Y, Kim YD, Ahn MI, Park JK et al. Clinical experience of spontaneous pneumomediastinum: diagnosis and treatment. J Thorac Dis. 2015; 7 (10): 1817-1824. [ Links ]

62. Fitzwater JW, Silva NN, Knight CG, Malvezzi L, Ramos-Irizarry C, Burnweit CA. Management of spontaneous pneumomediastinum in children. J Pediatr Surg. 2015; 50 (6): 983-986. [ Links ]

63. Dissanaike S, Shalhub S, Jurkovich GJ. The evaluation of pneumomediastinum in blunt trauma patients. J Trauma. 2008; 65 (6): 1340-1345. [ Links ]

64. Lee WS, Chong VE, Victorino GP. Computed tomographic findings and mortality in patients with pneumomediastinum from blunt trauma. JAMA Surg. 2015; 150 (8): 757-762. [ Links ]

65. Abolnik I, Lossos IS, Breuer R. Spontaneous pneumomediastinum. A report of 25 cases. Chest. 1991; 100 (1): 93-95. [ Links ]

66. Panacek EA, Singer AJ, Sherman BW, Prescott A, Rutherford WF. Spontaneous pneumomediastinum: clinical and natural history. Ann Emerg Med. 1992; 21 (10): 1222-1227. [ Links ]

67. Macia I, Moya J, Ramos R, Morera R, Escobar I, Saumench J et al. Spontaneous pneumomediastinum: 41 cases. Eur J Cardiothorac Surg. 2007; 31 (6): 1110-1114. [ Links ]

68. Panigrahi MK, Suresh-Kumar C, Jaganathan V, Vinod-Kumar S. Spontaneous pneumomediastinum: Experience in 13 adult patients. Asian Cardiovasc Thorac Ann. 2015; 23 (9): 1050-1055. [ Links ]

Aprobado: 21 de Abril de 2017

*Autor para correspondencia: Dr. Gregorio Arellano Aguilar. Correo electrónico: gregareag@gmail.com

Creative Commons License Este es un artículo publicado en acceso abierto bajo una licencia Creative Commons