Introducción
La hemorragia intracerebral (HIC) constituye aproximadamente el 15% de todos los tipos de enfermedad vascular cerebral y sus factores etiológicos más frecuentes incluyen microangiopatía hipertensiva, angiopatía amiloide cerebral, malformaciones arteriovenosas, trombosis venosa y coagulopatías1. Se postula que la HIC en general es el resultado de la degeneración en las arteriolas penetrantes del parénquima cerebral, siendo la lesión mecánica y la ruptura de la barrera hematoencefálica los principales mecanismos involucrados en la lesión tisular2.
Por su parte, el sildenafilo es un fármaco que estructuralmente imita el anillo de purina del monofosfato cíclico de guanosina (GMPc), cuyo mecanismo de actividad consiste en inhibir la degradación enzimática mediada por la fosfodiesterasa 5 (PDE5) de forma selectiva (afinidad > 10,000 sobre la PDE5 con respecto a las otras isoformas)3. El aumento del GMPc desencadena cambios en el potencial de membrana en reposo mediante la apertura de los canales de potasio y el cierre de los canales de calcio, propiciando la hiperpolarización y la relajación del leiomiocito. Actualmente, el sildenafilo está aprobado para el tratamiento de la disfunción eréctil y de la hipertensión arterial pulmonar4.
Este trabajo tiene como objetivo presentar el caso de un hombre de 47 años, cuyo ictus hemorrágico guardó una relación temporal directa con el consumo de sildenafilo, siendo descartadas otras causas durante su abordaje etiológico.
Caso clínico
Varón de 47 años que posterior a actividad sexual presentó cefalea en estallido, acompañada de náuseas, vómito, diaforesis, palidez, inestabilidad de la marcha con lateropulsión indistinta, incoordinación, somnolencia y disartria, por lo cual acudió a urgencias para su valoración. Negó antecedentes heredofamiliares de relevancia y entre sus antecedentes personales solo destacan el uso de sildenafilo 2 horas previas al evento e ingesta frecuente de bebidas alcohólicas.
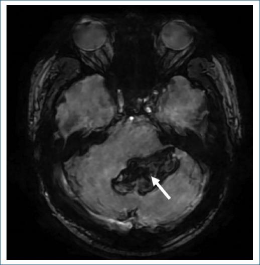
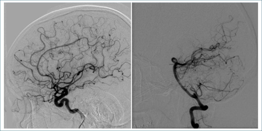
A su ingreso presentaba presión arterial de 110/80 mmHg, 88 lpm y 16 rpm. Al examen neurológico mostraba somnolencia, disartria escándida, dismetría y disdiadocosinesia de las cuatro extremidades, maniobra de Stewart-Holmes presente bilateral y rigidez de nuca; el resto de la exploración sin otros hallazgos patológicos. Se realizó tomografía computarizada (TC) de cráneo que corroboró una HIC involucrando el parénquima cerebeloso con predominio vermiano y en el hemisferio izquierdo, con un volumen estimado de 14 ml. Asimismo, se acompañaba de irrupción al espacio subaracnoideo, condicionando obliteración del IV ventrículo, sin requerir intervención quirúrgica. Durante su estancia se realizaron resonancia magnética (Fig. 1), angio-TC y angiografía diagnóstica por sustracción digital, sin evidencia de anomalía vascular estructural ni de lesiones parenquimatosas que sugirieran alguna causa de la HIC (Fig. 2). A su egreso el paciente persistió con dismetría en el hemicuerpo izquierdo, cuya mejoría sintomática le ha permitido el retorno a su actividad laboral.
Discusión
Se presenta el caso de un varón de 47 años con hemorragia cerebelosa asociada temporalmente al consumo de sildenafilo, en quien se descartaron otras causas de HIC. Aunque la asociación del sildenafilo con la HIC está muy poco documentada, existen reportes de su relación directa como factor desencadenante del evento5-8. Se postula que dicho efecto adverso podría ser secundario a la inhibición de la PDE en sus isoformas 1 y 2, siendo estas últimas las implicadas en el aumento del flujo sanguíneo cerebral, lo que conlleva una sobreactivación simpática5 y, por consiguiente, una infiltración hemática en el parénquima neuronal.
Citando otros reportes, Lucchese et al.5 describieron el caso de un hombre de 69 años cuya recurrencia de hemorragia lobar tuvo una asociación temporal con inhibidores de la PDE5 en los dos episodios5. Por su parte, Buxton et al.6 reportaron la aparición de HIC localizada en el lóbulo temporal izquierdo en un paciente de 44 años debido a una sobredosis de sildenafilo; el paciente falleció y en la necropsia no se hallaron anomalías neurovasculares6. Con respecto a su indicación para el tratamiento de la hipertensión pulmonar, Samada et al.7 notificaron la aparición de HIC en una paciente de 11 meses de edad y antecedentes de cardiopatía congénita, cuyo evento se desencadenó tras un brusco aumento de la dosis de sildenafilo.
Alpsan et al.8 reportaron el caso de un paciente de 62 años que refirió haber consumido sildenafilo por primera vez una hora previa a la aparición de los síntomas. No obstante, en este caso es cuestionable la existencia de una verdadera relación causal debido a que presentaba el antecedente de hipertensión arterial y negó la toma de medicamentos antihipertensivos. Se corroboró mediante TC que la hemorragia ocurrió a nivel talámico, cuyo patrón tiende a ser de los más prevalentes en la microangiopatía hipertensiva, y con ello inclinando la probabilidad hacia una causa alternativa al sildenafilo. Cabe señalar que no se han observado patrones de localización anatómica para la HIC secundaria al consumo de sildenafilo.
Conclusión
La HIC asociada al consumo de sildenafilo es un fenómeno muy poco frecuente, cuya relación solo podrá inferirse una vez descartadas las causas más frecuentes de hemorragia, tales como hipertensión, angiopatía amiloide cerebral o malformaciones arteriovenosas, además de la exclusión de otras causas secundarias según la edad en un paciente con ausencia de factores clásicos de riesgo. El sildenafilo solo podría catalogarse como agente causal de HIC si su consumo se realizó dentro de las 2 horas previas a la aparición de los síntomas, pues la concentración máxima del fármaco se alcanza en aproximadamente una hora (rango de 30 a 120 minutos)4,9, aunado a su corta vida media. No hay duda de que en todo paciente con HIC debe interrogarse de manera dirigida el consumo de fármacos con potencial riesgo para HIC.
Contribución de los autores
Conceptualización: V. Cano-Nigenda y A.A. Mercado-Pompa. Investigación: H. Rico-Hernández y A. Mercado-Pompa. Metodología: V. Cano-Nigenda. Administración del proyecto: C.A. Huamaní-Saldaña, A.A. Arauz-Góngora y A. Mercado Pompa. Recursos: C.A. Huamaní-Saldaña. Supervisión: V. Cano-Nigenda, A.A. Arauz-Góngora y A. Mercado Pompa. Visualización: V. Cano-Nigenda, A. Mercado-Pompa y A.A. Arauz Góngora. Redacción del borrador original: H. Rico-Hernández. Redacción, revisión y edición: V. Cano-Nigenda y A.A. Mercado-Pompa.
















