Antecedentes
La glándula pineal es una estructura endócrina pequeña, localizada en el epitálamo, en la línea media cerebral, apenas rostral y posterior al techo del tercer ventrículo1. Dentro de algunas de sus funciones interviene en la función gonadal y el ritmo circadiano2,3. El 95% de las células glandulares son pinealocitos con procesos dendríticos y el otro 5% células de la neuroglia entre las cuales se encuentran los astrocitos3.
Los tumores cerebrales son las neoplasias sólidas más frecuentes en la infancia y la principal causa de muerte por cáncer 4. Los tumores de región pineal representan alrededor de 0.4 a 1% de todas las neoplasias intracraneales en la población general, incluyendo una gran variedad como tumores de células germinales, pinealocitomas, metástasis y tumores extrapineales dependientes de parénquima circundante4. En la población pediátrica representan aproximadamente de 3-11% de tumores cerebrales5.
Los gliomas en esta región son extremadamente poco frecuentes, representando el 14-22% de tumores pineales 5. Fueron clasificados en difusos y no difusos, con empleo de características moleculares incluyendo mutación IDH. Pueden originarse del propio tejido pineal o del tálamo6. Los astrocitomas crecen a partir de astrocitos de la propia glándula pineal. Los astrocitomas grado II son los más frecuentes con el 25%. Los Astrocitomas de alto grado (anaplásicos y glioblastoma) son muy poco frecuentes en esta región4,7. Se han reportado claras diferencias en supervivencia entre lesiones de bajo y alto grado2,8.
El astrocitoma anaplásico es un tumor primario del sistema nervioso central maligno, infiltrativo y difuso. El manejo del astrocitoma anaplásico, incluye resección máxima segura, seguido de quimioterapia y radioterapia (esta última en mayores de 3 años)6. La inmunoterapia representa una herramienta prometedora en el manejo de gliomas de alto grado2,6. El abordaje quirúrgico a la región pineal es elegido basado específicamente en la localización de la lesión y la preferencia del cirujano7,8.
Histologicamente el astrocitoma anaplásico, presenta una morfología heterogénea, con las siguientes características, alta celularidad, alto porcentaje de mitosis, pleomorfismo y atipia nuclear, presencia de marcadores glíales, ausencia de marcadores neuronales y por ultimo ausencia de necrosis y proliferación celular.
La recurrencia y progresión tumoral es muy frecuente y las alternativas terapéuticas son muy limitadas. Una segunda intervención puede ser considerada si el paciente presenta síntomas por efecto de masa, cuando la progresión no se encuentra en áreas elocuentes y el paciente presenta buenas condiciones clínicas. La cirugía presenta buenos resultados para el alivio de los síntomas, pero no es muy significativo en el impacto de la sobrevida. La radioterapia posterior a la cirugía es el tratamiento adyuvante establecido para gliomas malignos, demostrando una respuesta clínica favorable. La media de sobrevida del astrocitoma anaplásico se a descrito entre 21 a 25 meses y la media de progresión libre de enfermedad es entre 8.7 y 14.8 meses.
Presentación de caso
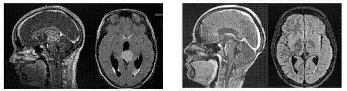
Paciente femenina de 16 años, presenta cuadro de cefalea, vomito, crisis convulsivas tónico clónicas generalizadas en junio de 2019. Se realiza estudio de resonancia (Figura 1 A) donde se observan datos de hidrocefalia y lesión en región pineal, por lo que se realizó derivación ventriculoperitoneal, se toman marcadores tumores en liquido cefalorraquídeo, los cuales resultan negativos. En el mes de agosto, se toma biopsia guiada por esterotaxia, la cual reporta astrocitoma anaplásico (Figura 2 A,B,C ). En septiembre, se somete a resección por abordaje supracerebeloso infratentorial realizando una resección total (Figura 1B). Posteriormente, se somete a 6 ciclos de quimioterapia con esquema ICE-T (Ifosfamida, carboplatino, etopósido con temozolamida) y radioterapia con 52 G y en 29 sesiones. Posterior a esto se realiza estudio de imagen de control en 2020, donde se sospecha de recidiva vs radionecrosis, concluyendo en esta última. Se decide ofrecer nuevo esquema de quimioterapia, bevacizumab e irinotecán con posterior seguimiento. En el último estudio de imagen realizado a finales de 2022, se observa libre de recidiva (Figura 1 C)

Figura 1A, Figura 1 BEstudios de resonancia magnetica de cerebro en donde se observa imagen compatible con tumoración en región pineal (Figura 1 A ) Último estudio de resonancia magnetica de diciembre 2022 en donde se evidencia presencia de tumor

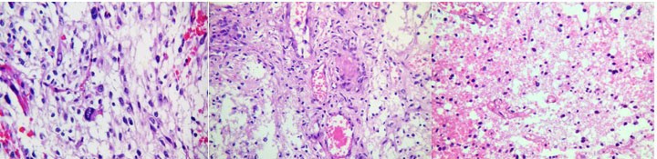
Figura 2 A. Hipercelularidad con células gliales altamente anaplásicas con atipia nuclear y pleomorfismo importante, asi como mitosis atípicas. (Tinción de H&E, 40x). Figura 2 B . Proliferación microvascular con hiperplasia endotelial: “Vasos glomeruloides” (Tinción de H&E, 40x) Figura 2 C . Necrosis en parches (sin empalizada periférica). Característica esencial en gliomas de alto grado (tinción de H&E, 40x).
Discusión
En el caso presentado, se tuvieron sospechas diagnósticas al observar el estudio de imagen inicial, así como los marcadores tumorales de líquido cefalorraquídeo negativos, por lo que se propuso la siguiente parte del protocolo del abordaje diagnóstico, terapéutico.
Los tumores de la región pineal son neoplasias intracraneales poco frecuentes. . Los gliomas de alto grado como lo son el astrocitoma anaplásico y el glioblastoma multiforme tienen un mal pronóstico4. Una publicación reciente por Li et al.
Comparó supervivencia de gliomas de bajo (Grado I y II de la OMS) y alto grado (Grado III y IV de la OMS) en región pineal. La media de supervivencia fue para los de bajo grado de 46% a 24 meses en contraste con los de alto grado menos de16% a 23 meses 6.
El tratamiento quirúrgico en algunas series6 no reporta una diferencia significativa en la sobrevida, siendo esta no mayor a 23 meses en pacientes con un glioma de alto grado. En nuestro caso la paciente tiene actualmente una sobrevida mayor a esta en donde nosotros consideramos que la resección quirúrgica presento una gran importancia en obtener estos resultados.
De los abordajes descritos para la resección quirúrgica de los tumores de la región pineal12, el abordaje supra cerebeloso infratentorial utilizado en este caso nos brindó un buen corredor quirúrgico para poder ofrecer una resección total, sin posterior déficit agregado. El uso del bevacizumab como terapia de segunda línea en las recidivas de los gliomas de alto grado demuestra un aumento en la sobrevida15. El hecho de haber realizado una resección total y el uso concomitante de bevacizumab en el caso presentado concuerda con lo descrito en la literatura internacional.
Conclusión
El astrocitoma anaplásico de la región pineal es un tumor poco frecuente cuya sobrevida es limitada. Probablemnte el haber realizado una resección quirúrgica completa, junto al manejo adyuvante, tuvo un gran impacto en la sobrevida de la paciente, superior al promedio. Al presentar este caso pretendemos aportar a las series un nuevo reporte de evolución libre de enfermedad, en el futuro y con la aplicación en nuestro medio de la clasificación del año 2021 propuesta por Cohen14.















