Introducción
Síndrome de Tolosa-Hunt: descrito originalmente por Tolosa y luego por Hunt a mediados del siglo XX, consiste en oftalmoplejía dolorosa unilateral con compromiso de los nervios craneales responsables del movimiento ocular y pérdida sensorial facial ipsilateral. Este síndrome puede presentarse a nivel del seno cavernoso o de la fisura orbitaria superior por múltiples causas, sin embargo, se ha catalogado como un proceso inflamatorio unilateral de etiología desconocida.1 Este reporte de caso pretende examinar una nueva etiología del síndrome de Tolosa-Hunt así como informar de un nuevo posible efecto secundario de la vacunación contra el COVID-19
Caso clínico
Presentamos el caso de una mujer de 76 años, residente de la Ciudad de México, con los siguientes antecedentes médicos: alergia a las quinolonas, hipertensión arterial sistémica, diabetes mellitus no insulinodependiente y síndrome de intestino irritable. La paciente completó el esquema de vacunación Coronavac/Sinovac (1ra dosis 21 de marzo de 2021, 2da dosis 5 de mayo de 2021) y acudió a urgencias el día de la aplicación de la primera dosis debido a una cefalea opresiva de intensidad leve y dolor en el sitio de punción.
Posteriormente, se presentó a urgencias cuatro veces más tras la aplicación de la segunda dosis; todos los casos fueron diagnosticados como emergencias hipertensivas y la paciente fue dada de alta con ajuste de sus medicamentos antihipertensivos. El 7 de junio de 2021 acudió por quinta vez a urgencias refiriendo cefalea opresiva, escala visual analógica (EVA) 9/10, fonofobia y dolor de oído derecho, entonces fue valorada por el servicio de neurología y le fue realizada una tomografía computarizada de cráneo, la cual reportó normal, descartándose causas estructurales. El 9 de junio de 2021 se presenta nuevamente en emergencias refiriendo fotofobia, ptosis derecha y dolor en ojo derecho que se exacerba con el movimiento; los exámenes de laboratorio mostraron hiponatremia severa (116 mmol/l), por lo que ingresó al servicio de medicina interna para protocolo de diagnóstico y tratamiento.
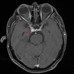
Durante su hospitalización fue valorada nuevamente por el servicio de neurología. Presentaba al examen físico facies dolorosa, hiporexia, cefalea hemicraneal derecha opresivapulsátil, EVA 7/10, fotofobia -que la condicionaba a llevar antifaz-, parálisis incompleta del tercer par craneal derecho sin afectación pupilar, parálisis del cuarto par craneal derecho, así como diplopía que mejoró con la maniobra de Bielschowsky, dolor al movimiento del ojo derecho e hipoestesia en V1 y V2 derechos. También se observó parálisis del sexto nervio derecho (Figura 1). Se realizaron estudios de laboratorio y punción lumbar, que mostraron una alteración única en los niveles de sodio previamente conocidos (Tabla 1). Se solicitó imagen por resonancia magnética (IRM), que evidenció realce del seno cavernoso derecho (Figura 2). Con los datos clínicos obtenidos mediante exploración física y estudios de imagen, así como la ausencia de alteraciones en los estudios de laboratorio, se estableció el diagnóstico de síndrome de Tolosa-Hunt. Se inició tratamiento con dosis altas de corticoides (dexametasona, vía intravenosa, 8 miligramos cada 8 horas), con mejoría de la sintomatología descrita previamente, siendo dada de alta con prednisona en esquema de reducción de dosis. La paciente tuvo una última consulta el 28 de junio de 2021, en la que se observó una mejoría de sus síntomas, y no se registró déficit de movimientos extraoculares (Figura 3).
Tabla 1 Pruebas de laboratorio.
| Prueba de laboratorio | Resultados |
|---|---|
| Leucocitos | 8.82 103/ul |
| Hemoglobina | 15.30 gr/dl |
| Hematocrito | 41.80 % |
| Plaquetas | 363 103/ul |
| Glucosa | 116 mg/dl |
| Hemoglobina glicosilada | 6.5 % |
| Urea | 19.9 mg/dl |
| Creatinina | 0.64 mg/dl |
| Aspartato aminotransferasa | 26 u/l |
| Alanina aminotransferasa | 14 u/l |
| Lactato deshidrogenasa | 164 u/l |
| Bilirrubina total | 0.53 mg/dl |
| Sodio | 121 mol/l |
| Potasio | 4.6 mmol/l |
| Cloruro | 86 mmol/l |
| Tiempo de protrombina | 17.2 segundos (70% activación) |
| Tiempo parcial de tromboplastina | 36.9 segundos |
| INR | 1.28 |
| Punción lumbar | |
| Aspecto | Trasparente |
| Total células | 2 cells/ul |
| Leucocitos | 2 cells/ul |
| Total proteínas | 21.2 mg/dl |
| Glucosa | 99.5 mg/dl |
| Tinción de Gram | negativo |
| Tinción de Ziehl-Neelsen | negativo |

Figura 2 Imagen por resonancia magnética. Vista axial potenciada en T1. Se nota realce del seno cavernoso derecho (flecha roja)
Discusión
La International Headache Society presenta en la tercera edición de su clasificación (ICHD-III) los criterios para el diagnóstico del síndrome de Tolosa-Hunt. Estos corresponden a cefalea unilateral o periorbitaria con evidencia por resonancia magnética o biopsia de inflamación granulomatosa del seno cavernoso, fisura orbitaria superior u órbita, así como paresia del III, IV y/o VI par craneal ipsilateral a la cefalea, no atribuible a otro diagnóstico de ICHD-III.2
El diagnóstico del síndrome de Tolosa-Hunt es de exclusión. En este caso se diagnosticó hiponatremia crónica como consecuencia de medicación prolongada con diuréticos. El síndrome de Tolosa-Hunt también se ha asociado con diabetes mellitus mal controlada; se ha reportado un caso clínico previo, sin embargo, el nivel de glucosa registrado fue superior al de nuestra paciente3 (hemoglobina glicosilada de 12.4% vs. 5.6%). Otro caso de oftalmoplejía dolorosa y ptosis ipsilateral se reportó en Papúa Nueva Guinea en un paciente diabético no diagnosticado previamente; se realizó el diagnóstico clínico de síndrome supraorbitario, sin embargo, el paciente no respondió a la prednisolona, por lo que no se confirmó el diagnóstico de síndrome de Tolosa-Hunt.4 La sarcoidosis es una de las principales causas del síndrome de Tolosa-Hunt, sin embargo, nuestra paciente no tenía un historial médico previo que sugiriera que había padecido dicha enfermedad antes de la vacunación: su examen médico no coincidió con los hallazgos clínicos de sarcoidosis.
Se ha informado previamente que la vacuna inactivada contra el SARS-CoV-2 de Sinovac causa trastornos neurológicos como encefalomielitis aguda diseminada, cefalea y mialgia.5 En enero de 2021 se reportó un caso de parálisis completa del nervio oculomotor dos semanas después de la aplicación de la vacuna contra la influenza; esta es similar a Sinovac, ya que ambas están inactivadas en las células Vero. Se sabe que dicha vacuna puede causar síndrome de GuillainBarré, polineuropatía desmielinizante y encefalomielitis diseminada, entre otros.6
Recientemente se informó un caso de síndrome de TolosaHunt, sin embargo, esto fue con la vacuna contra la COVID-19 de ARN mensajero (ARNm).7 Esto continúa la discusión sobre los efectos secundarios de las vacunas contra la COVID-19, ya sea que exacerben condiciones desconocidas previamente adquiridas o sean la causa de las mismas.
Creemos firmemente que los beneficios de la vacunación superan sus posibles efectos secundarios. No obstante, se debe realizar la documentación e investigación adecuada de los efectos secundarios, ya sea de la vacuna misma o de las condiciones atribuidas al paciente.
Conclusión
El diagnóstico del síndrome de Tolosa-Hunt es de exclusión. La aparición de síntomas tras la aplicación de la vacuna contra la COVID-19 -así como la ausencia de factores de riesgo, y la falta de información clínica, de laboratorio y/o imagen que sustente el diagnóstico de otro tipo de patología-, lleva a considerarla como una posible causante del síndrome de Tolosa-Hunt, y por tanto debe incluirse en el diagnóstico diferencial de dicha enfermedad.















