Introducción
Esta presentación encausa fenómenos de hipercoagulabilidad que potencializan el riesgo de trombosis estando inmersas en la activación de serina proteasas frente a la deficiencia de antitrombina III coexistiendo con resistencia de la proteína C activada y con la presencia del factor V de Leiden. Se realizó revisión en la literatura en PubMed, Cochrane y Embase sin encontrarse esta asociación. La consideración de nuevos factores de riesgo de enfermedad pulmonar tromboembólica debe tenerse en cuenta especialmente en pacientes jóvenes, aún más con fenómenos infecciosos en medio de activación endotelial, inflamación y disfunción hematológica.
Presentación del caso
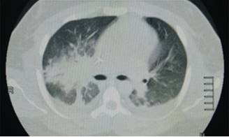
Paciente masculino en segunda década de la vida quien consulta al servicio de urgencia por cuadro clínico de 48 horas de evolución consistente en aumento del trabajo respiratorio e incremento de la clase funcional asociado a malestar general, fiebre no cuantificada y tendencia a la somnolencia con deterioro de los índices de oxigenación, por lo que se decide remitir a cuidados intensivos. Como único antecedente se refiere obesidad e hipertensión. Ingresa a la unidad de cuidados intensivos con tensión arterial de 60/30 mmHg, frecuencia respiratoria de 35 por minuto, frecuencia cardiaca de 150 latidos por minuto con registro en visoscopio sugestivo de fibrilación auricular, febril 39o con Glasgow de 10/15, saturación de 85% con Ventury al 50% con uso de músculos accesorios, por lo que se decide proteger vía aérea previa inducción de secuencia rápida con sedación y relajación, se realiza laringoscopia directa encontrando Cormack-Lehane III, se avanza tubo orotraqueal sin eventualidad1,2 monitoria de la ventilación mecánica, deterioro de propiedades pulmonares mecánicas dinámicas y estáticas con compliance en 28 cm de agua, presión meseta de 18 cm de agua, resistencias de la vía aérea en 6 cm3/litro/segundo, presión de conducción de 11 cm.3,4 Se accede vía central documentándose presiones de fin de lleno subóptimas con resistencias vasculares sistémicas en 450 dinas/superficie corporal/segundo. Información gasométrica con predicción aguda de bajo gasto por aumento del gradiente venoarterial de CO2 y predicción de hipoperfusión tisular por incremento del cociente metabólico anaeróbico, hiperlactatemia y acidemia metabólica importante.5,6 Se realiza electrocardiograma que documenta fibrilación auricular. Reportes de laboratorios de ingreso registrados en la Tabla 1. Se efectúan cultivos de vigilancia y se despliegan terapias tempranas dirigidas por objetivos.7,8 Es llevado a escanografía de tórax que documentan derrames pleurales bilaterales y consolidación más hepatización en el lóbulo medio (Figura 1). Se realiza ecocardiograma Doppler dúplex color transtorácico en virtud de hallazgos electrocardiográficos y marcadores de necrosis miocárdica referidos de ingreso, el cual reporta crecimiento del ventrículo izquierdo con fracción de eyección de 46% sin trastornos de la contractilidad, se descartó miocardiopatía inducida por sepsis con histonas negativas.9,10 Se decide estratificación de riesgo coronario con perfusión miocárdica isonitrilos, la cual revela miocardiopatía dilatada hibernante sin insuficiencia coronaria (Figura 2). Evoluciona con alto requerimiento de vasoactivos e inotrópicos con persistencia de falla circulatoria y marcadores de actividad inflamatoria en gases por hipercloremia e incremento de carboxihemoglobina, por lo que se decide escalamiento antibiótico.11 Presenta deterioro de la oxigenación y de la ventilación con deterioro de la mecánica ventilatoria, razón por la que se inicia protección pulmonar y ajuste de presión positiva por bucle presión volumen, meseta y fracción inspirada de oxígeno.12-14 Reportes de cultivos de vía aérea, hemocultivos y orina negativos; reporte de hisopado rectal documenta enterobacteria con resistencia extendida productora de muro péptidos e inductora de anhidromuropéptido codificado del gen C (AMPc), además mecanismos de resistencia nuclear por topoisomerasa IV y porción polirribosomal 50 s dando continuidad a carbapenémicos.15 Persiste fibrilación auricular e injuria pulmonar severa, por lo que se solicitan marcadores de actividad fibrinolítica con dímero D en 3.5 mg/dL. Es llevado a perfusión pulmonar documentándose defectos segmentarios de distribución vascular en los segmentos basales y laterales del lóbulo inferior izquierdo, así como segmento anterior del lóbulo superior ipsilateral y en segmento anterior del lóbulo superior derecho compatible con alta probabilidad de tromboembolismo pulmonar por criterios prospective investigative of study acute pulmonary embolism diagnosis (PISAPED) (Figura 3).16 Se documenta deficiencia de antitrombina III y mutación del factor V de Leiden en el escenario de estudios de hipercoagulabilidad y estudios autoinmunes negativos, los reportes se registran en la Tabla 2. Ante la persistencia de fibrilación auricular y choque obstructivo se decide trombólisis con lo cual se logra estabilidad hemodinámica y disminución en los parámetros ventilatorios. Evoluciona favorablemente con tolerancia a la suspensión del soporte farmacológico, se pasa a asa cerrada en asistencia proporcional con recuperación importante de la mecánica ventilatoria compliance total de 90 cm de agua, resistencias de 4 cm/litro/segundo, presión elástica alveolar de fin de espiración normal, elastancia de 20 cm de agua con trabajo respiratorio impuesto de 0.3 Jouls por litro, por lo que se realiza prueba única diaria con tubo en t sin predictores de falla de extubación, y se decide liberación de la ventilación mecánica.17,18 Es trasladado a piso para manejo por medicina interna y hematología.
Tabla 1: Laboratorios de ingreso.
| Hematología | Resultado | Química | Resultado |
|---|---|---|---|
| Globulos blancos (miles de celúlas por microlitro) | 22,000 | Nitrógeno ureico | 58 mg/dL |
| Globulos rojos (millones de células por microlitro) | 4,500,000 | Creatinina | 2.5 mg/dL |
| Hemoglobina | 13 g/dL | Aspartato aminotransferasa | 88 U/L |
| Hematocrito | 39% | Alanina aminotransferasa | 55 U/L |
| Plaquetas | 65,000 | Bilirrubina total | 2 mg/dL |
| Tiempo de protrombina | 19 s | Bilirrubina indirecta | 1.5 mg/dL |
| Tiempo de tromboplastina | 55 s | Fosfatasa alcalina | 110 U/L |
| Troponina I | 50 ng/dL |
Tabla 2: Reporte de glicoproteinas/resistencia proteína C activada.
| Glicoproteínas | Resultado | Valor de referencia |
|---|---|---|
| Proteína C (UI/dL) | 73 | 70-130 |
| Proteína S (UI/dL) | 82 | 62-110 |
| Antitrombina III (UI/dL) | 45 | 75-125 |
| Resistencia a la PC activada | Funcionalidad factor V Leiden: | |
| PCAT (tiempo de coagulación con PC) | 140 s | |
| PCAT/0 (tiempo de coagulación sin PC) | 73 s | |
| Radio | 1.9 | |
| Radio normalizado | 0.68 | Positivo menor a 0.7 |
PC = proteína C. PCAT = tiempo de coagulación con proteína C activada.
Discusión
Las causas más frecuentes de hipercoagulabilidad centran la atención del clínico en deficiencias o disfunciones de ciertas glicoproteínas, que aunado a enfermedades inmunológicas como el lupus eritematoso sistémico, diversas vasculitis o enfermedades tumorales productoras de mucina aumenta exponencialmente el riesgo de aparición y el riesgo de trombosis; no obstante, existen nuevos factores de riesgo de enfermedad aterosclerótica e hipercoagulabilidad que tienen relevancia en grupos etarios específicos tales como en jóvenes que involucran deficiencia de ácido siálico, hiperhomocisteinemia y presencia del factor V de Leiden, como se documentó en nuestro paciente. La hipercoagulabilidad o trombofilia constituye la tendencia incrementada a la formación de trombos. Una respuesta normal y saludable frente al sangrado para mantenimiento de la hemostasis involucra la formación de un coágulo estable bajo un proceso normal de coagulación; sin embargo, la hipercoagulabilidad describe estados patológicos de coagulación exagerada o coagulación en ausencia de sangrado y diferentes elementos de la sangre son los que interactúan en la creación del trombo. La trombosis arterial como el infarto agudo de miocardio y la enfermedad cerebrovascular son diferentes a las trombosis venosas como la trombosis venosa profunda o la enfermedad pulmonar tromboembólica. Fisiopatológica y terapéuticamente los abordajes entre una y otra difieren; no obstante, los factores de riesgo de ambas pueden estar sobrepuestos. El tromboembolismo venoso implica la migración de un trombo local a áreas distantes generando obstrucción luminal. Diferentes estados hipercoagulables y enfermedades trombofílicas causan hipercoagulabilidad como los descritos tempranamente en 1906 por Wasserman y colaboradores, quienes describieron por primera vez el síndrome antifosfolípidos, en 1965 Egeberg y colaboradores descubrieron la deficiencia de AT III (antitrombina III), durante la década de 1980 se introdujeron deficiencias de proteína C19 y de proteína S.20 Dahlbäck descubrió la resistencia a la proteína C activada en 1993, la cual con frecuencia es causada por la mutación del factor V de Leiden.21,22 La antitrombina es una serpina que actúa inhibiendo las serina proteasas de la coagulación, específicamente el factor Xa, el factor IX, el factor VII, y el factor II actuando como un potente anticoagulante. Por lo que la deficiencia congénita de antitrombina III se constituye como un estado mayor de trombofilia, de lejos el más severo siendo un potente inactivador de la trombina y de la tromboplastina de la plasma activada que genera el mayor efecto inhibidor de la coagulación sanguínea. Las deficiencias de AT III son poco frecuentes en la población general y su prevalencia oscila entre uno en 500 y uno en 5,000. Existen dos tipos de deficiencia de AT III (tipo I) o cualitativa (tipo II). La tipo II se subdivide en las más frecuentes, pero las menos trombogénicas tipo IIb causadas por un defecto en el sitio de acción de la antitrombina sobre la heparina, siendo ésta la menos frecuente, pero la más trombogénica. Existe un tipo IIa causado por mutación en el sitio de acción de la trombina, y un tipo IIc que se identifica con características pleiotrópicas. En la evaluación de un individuo trombofílico, pruebas funcionales de actividad de AT III podrían ser útiles para el diagnóstico de deficiencia de AT III únicamente establecida después de que las causas adquiridas hayan sido descartadas, repitiendo la toma de AT III en una muestra adicional para ser procesada. Ulteriormente el resultado de una muestra antigénica de AT III lidera la diferenciación entre deficiencia tipo I y II. Estudios más especializados pueden ayudar a la subclasificación de las deficiencias tipo II, pero éstos no son costo-efectivos en la práctica clínica; no obstante, pueden discriminar aún más el riesgo de trombosis. La deficiencia de antitrombina III está asociada con un riesgo incrementado de tromboembolismo venoso y de pérdidas durante el embarazo. La asociación de deficiencia de AT III y trombosis arterial es muy débil.23-27 La deficiencia de AT III es una condición poco frecuente y es aún más cuando se asocia con el factor V de Leiden incluidos en grupos autosómicos dominantes relacionados con el gen de la mutación que lidera estados de hipercoagulabilidad como el generador de la resistencia a la proteína C activada G1691A y el factor II o protrombina G20210A.28 La importancia de los factores genéticos queda demostrada por el hecho de que en 20-40% de los pacientes existen antecedentes familiares de la enfermedad. Durante los últimos años se han identificado varios factores genéticos que predisponen a la trombosis; sin embargo, hasta el momento sólo dos de ellos tienen una alta prevalencia: el factor V Leiden y la protrombina 20210A. Debido a que ambos defectos son causados por una mutación puntual, el análisis genético se considera la base del diagnóstico de laboratorio,29,30 aún más cuando se presentan asociaciones poco frecuentes como la identificada en nuestro paciente. El factor V es parte del complejo protrombinasa que permite junto al factor Xa generar trombina, su control efectivo se da gracias a la acción de la proteína C activada (APC) en una de las tres zonas de clivaje que el factor presenta que son: Arg306, Arg679 y Arg506; se demuestra la importancia de la zona Arg 506 que asocia la mutación puntual por sustitución de arginina por glutamina en la región 506 (ahora Arg506Gln) generando falta de susceptibilidad a la inactivación por APC, y ausencia de clivaje en las zonas 306 y 679 por falta de exposición, lo cual conlleva a la presencia del factor V Leiden, que mantiene activo al factor VIII y la producción continua de trombina junto al factor Xa.31 El factor V Leiden es la mutación más frecuente, puede hallarse hasta en 25% de los pacientes con trombosis venosa y hasta en 50% en quienes tienen antecedentes familiares de trombosis; no obstante, existen ciertas poblaciones donde es extremadamente rara como en Asia Menor (frecuencia de 1.2%), o incluso ausente como en África y en poblaciones indígenas australianas. En Colombia la frecuencia de la mutación es de 10%. Estudios afines en otros países de Latinoamérica muestran estadísticas similares.32-37 Revisando en la literatura no encontramos asociaciones de deficiencia de AT III y del factor V de Leiden; debemos recordar además la gran variedad de causas patológicas generadoras de consumo en AT III; no obstante, durante la estancia del paciente se realizaron pruebas de actividad y antigénicas de AT III una vez resuelto el proceso infeccioso cuyos resultados validaron la deficiencia dando relevancia a nuestra presentación.
Conclusiones
Teniendo en cuenta las prevalencias en la trombofilia, y para no generar subregistros, debemos siempre sospechar deficiencia de AT III y del factor V de Leiden que la desencadenan; además resulta trascendental discernir etiologías entre tromboembolismo venoso y trombosis arterial que aporten elementos de juicio para el tratamiento oportuno de las trombofilias, de tal manera que la selección del anticoagulante sea la más efectiva, eficiente y eficaz en medio de la severidad del estado hipercoagulable.

















