Introducción
Los tumores del estroma gastrointestinal (GIST, gastrointestinal stromal tumor) son tumores poco frecuentes del tracto gastrointestinal, de origen mesenquimal1. La mayoría de los estudios reportan una incidencia con relevancia clínica de 10-15 casos por millón de habitantes2.
Los GIST suelen localizarse en el estómago (56%), seguido del intestino delgado (32%), el colon-recto (6%) y el esófago (< 1%). Esporádicamente pueden afectar el omento, el mesenterio y el peritoneo. Sus síntomas iniciales pueden incluir náusea, vómito y plenitud abdominal, aunque el 30% de los casos son asintomáticos; sin embargo, es común la detección de lesiones pequeñas asintomáticas de forma incidental durante una cirugía abdominal o en estudios radiológicos y endoscópicos1,2.
La tinción inmunohistoquímica para el antígeno CD117 es positiva en el 95% de los GIST y se considera un pilar en el diagnóstico3.
La resección con márgenes negativos continúa siendo el tratamiento estándar para los pacientes con GIST. La localización anatómica del tumor es un factor pronóstico bien documentado posterior a la cirugía radical. Los tumores en el intestino delgado tienen un peor pronóstico que los gástricos, pero un mejor pronóstico que los colorrectales, siendo los de peor pronóstico los de localización extraintestinal4.
Caso clínico
Mujer de 69 años con antecedentes de histerectomía total abdominal hace 35 años por miomatosis uterina y resección de quiste renal izquierdo hace 13 años, sin complicaciones aparentes. Refiere múltiples transfusiones de paquetes globulares por anemia de origen desconocido. No presenta otros antecedentes de importancia para el padecimiento actual.
Inicia un cuadro clínico caracterizado por sangrado transrectal sin síntomas acompañantes, motivo por el cual se inicia protocolo diagnóstico. Se realiza colonoscopia en la que se reportan recto y sigmoides con abundantes coágulos y 12 divertículos no complicados localizados en el colon sigmoides; el resto del estudio sin alteraciones. Se diagnostica en ese momento con hemorragia de tubo digestivo bajo secundaria a enfermedad diverticular autolimitada. Sin embargo, la paciente continúa con un cuadro clínico caracterizado por múltiples evacuaciones de características melénicas, ameritando hospitalización a cargo del servicio de gastroenterología para protocolo diagnóstico y terapéutico. Se realizan tránsito intestinal, sin alteraciones, y enteroscopia anterógrada que muestra a nivel del yeyuno proximal una lesión mucosa engrosada de 7 mm con cambio de coloración y otra lesión a 10 cm de esta, sobreelevada, friable, ulcerada, de 20 mm de diámetro. Se realiza toma de biopsias, con posterior sangrado abundante de tipo arterial. Interconsultan a nuestro servicio durante el procedimiento sin ameritar intervención quirúrgica de urgencia por cese del sangrado posterior a la colocación de dos hemoclips, con vigilancia hospitalaria. Durante su estancia presenta otro episodio de sangrado de tubo digestivo bajo, con abundantes evacuaciones sanguinolentas y datos de choque hipovolémico, junto con disminución del nivel de hemoglobina de hasta 4.3 g/dl. Al identificar hemorragia masiva y datos de inestabilidad hemodinamica, se inicia tratamiento a base de transfusión de paquetes globulares y se procede a tratamiento quirúrgico con laparotomía exploradora, durante la cual se identifica un tumor en el yeyuno proximal de 4 × 2 cm de diámetro, hipervascularizado, localizado a 20 cm del ángulo de Treitz, no perforado (Fig. 1), con ausencia de líquido libre, sin otros datos de importancia. Se realiza resección intestinal de 10 cm a 10 cm del ángulo de Treitz y entero-enteroanastomosis latero-lateral mecánica. Se envía la pieza para estudio histopatológico definitivo. Durante el procedimiento quirúrgico se realiza transfusión de paquetes globulares, con reporte de hemoglobina posquirúrgica de 8.4 g/dl.
Posterior a la cirugía, la paciente reingresa a piso dependiente de aminas vasoactivas a base de norepinefrina a dosis de 0.08 μg/kg/min, y se mantiene en observación quedando en manejo conjunto por gastroenterología y cirugía digestiva. Con adecuada evolución clínica y aumento de la hemoglobina a valores normales, se decide su egreso hospitalario 8 días posteriores a la intervención y se cita a la consulta externa para seguimiento.
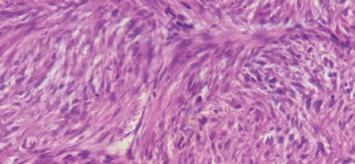
Acude a la consulta externa de cirugía digestiva con reporte histopatológico que concluye: tumor del estroma gastrointestinal de bajo grado (GIST) de 4 × 3 × 2.5 cm de diámetro, sin presencia de necrosis y bordes libres de neoplasia, con menos de 5 mitosis en 50 campos de alto poder. Se realiza tinción con hematoxilina y eosina (Fig. 2) e inmunohistoquímica, en donde se reportan marcadores DOG1 y CD 117 positivos (Fig. 3); CKAE1/AE3, S100 y actina de músculo liso negativos.

Figura 2 Tinción de hematoxilina-eosina con ampliación 40×. Células neoplásicas fusocelulares que se disponen en patrón sincitial, núcleo alargado y citoplasma eosinófilo.
Se solicita valoración por oncología médica, sin ameritar tratamiento adyuvante por resección tumoral R0 y ausencia de enfermedad metastásica en los estudios de extensión, motivo por el cual se mantiene en vigilancia médica.
Discusión
Los GIST localizados en el yeyuno son poco frecuentes, representando el 0.1-3% de todos los tumores gastrointestinales. Unos pocos casos se presentan con melena, hematemesis y anemia, debido a sangrado recurrente. El sangrado gastrointestinal agudo es una presentación común en la práctica médica y puede condicionar una emergencia que amenace la vida3,5.
Se ha reportado la presentación con hemorragia de tubo digestivo en casi el 25% de los GIST de yeyuno; aun así, es inusual que presenten hemorragia gastrointestinal masiva que requiera una intervención urgente5,6. En nuestro caso, la paciente cursa con hemorragia masiva, una presentación poco frecuente de este tumor, y requiere un procedimiento quirúrgico de urgencia en el que se detectado un tumor de yeyuno proximal.
La endoscopia superior e inferior continúa como estudio de primera línea en la hemorragia gastrointestinal. El sangrado derivado del intestino delgado se mantiene como un reto diagnóstico por ser una región poco accesible con endoscopia convencional. Es necesario realizar estudios de imagen complementarios posterior a la ausencia de datos de sangrado en la endoscopia superior e inferior, incluyendo cápsula endoscópica, angiografía por tomografía computarizada (TC), TC con contraste intravenoso o contraste oral, enteroscopia y enterorresonancia magnética3.
Microscópicamente, la mayoría de los GIST muestran tres subtipos histológicos principales: tipo de células fusiformes (el más común, 70%), tipo epitelioide (20%) y tipo mixto (10%). Para su diferenciación es necesario el estudio con inmunohistoquímica6,7.
Para el manejo de los GIST se utilizan diversas modalidades de tratamiento, incluyendo resección quirúrgica, terapias médicas dirigidas, quimioterapia y radioterapia; sin embargo, se prefiere la resección quirúrgica, debido a la respuesta indeseable de otras modalidades6. La resección quirúrgica es el tratamiento de elección en cualquier GIST potencialmente resecable con un tamaño mayor de 2 cm, si el tumor está localizado y sintomático o si se cuenta con datos de malignidad en el ultrasonido endoscópico8. Se recomienda únicamente vigilancia posquirúrgica si se logró una resección tumoral R0 (márgenes microscópicos negativos)1. En nuestro caso se realizó una resección quirúrgica completa de la lesión, con reporte histopatológico de GIST de células fusiformes con bordes libres de tumor, motivo por el cual se consideró como un tratamiento exitoso y la paciente se mantuvo solo en vigilancia.
El pronóstico de los GIST depende del tamaño, la localización anatómica, los hallazgos de imagen, las metástasis y la ruptura del tumor6. Numerosos estudios sugieren que la expresión inmunohistoquímica está relacionada con el pronóstico9. La estratificación del riesgo de Fletcher es un método establecido para clasificar el riesgo de recurrencia10.
Los inhibidores de la tirosina cinasa son de utilidad en el tratamiento de los GIST como terapia preoperatoria neoadyuvante durante 6 a 12 meses para la citorreducción tumoral de tumores de gran tamaño para hacerlos operables. Si se considera a los inhibidores de la tirosina cinasa como parte del plan de tratamiento, es altamente recomendable el análisis de mutación tumoral. Las mutaciones del gen KIT se encuentran en aproximadamente el 80% de los GIST11-13.
Conclusiones
Los GIST representan una afección con una incidencia baja, sobre todo los localizados en el yeyuno y aquellos que debutan con hemorragia gastrointestinal masiva. Debido a su agresividad y su presentación inespecífica, es importante contar con el conocimiento de este tipo de tumores, con la finalidad de establecer un diagnóstico temprano y otorgar un tratamiento oportuno, ya que tras una resección tumoral con márgenes libres se mejorará la supervivencia del paciente.
















