Introducción
El carcinoma adenoneuroendocrino mixto (MANEC, mixed adenoneuroendocrine carcinoma) es un tumor raro del tracto gastrointestinal que consiste en una diferenciación doble adenocarcinomatosa y neuroendocrina, y cada componente representa al menos el 30% del tumor1. Aunque no son comunes, estos tumores muestran un comportamiento agresivo y, en general, presagian un mal pronóstico. La estandarización del tratamiento en los MANEC ha sido históricamente difícil por la falta de clasificación histológica diagnóstica. Debido a su rareza, las recomendaciones de tratamiento actuales para el carcinoma mixto adenoneuroendocrino se basan en datos limitados y siguen las pautas generales para el tratamiento de los adenocarcinomas y las neoplasias neuroendocrinas2. La incertidumbre sobre la eficacia de las estrategias de tratamiento local y sistémico disponibles es un problema de composición. Incluso aquellos pacientes con enfermedad limitada localmente tienen una esperanza de vida relativamente corta. En 2010, la Organización Mundial de la Salud (OMS) finalmente reconoció esta condición poco común como una entidad específica para el cáncer de colon con la esperanza de especificar mejor las opciones de tratamiento en el futuro3. Los MANEC representan el 3-9.6% de todos los cánceres colorrectales y solo se han notificado ocho casos en el ciego hasta la fecha, por lo que el siguiente caso es excepcionalmente raro4.
Presentamos el caso de una paciente de 60 años, con cuadro clínico de abdomen agudo, quien se sometió a evento quirúrgico encontrando apendicitis aguda y como hallazgo operatorio un tumor de ciego y colon ascendente, notificado posteriormente por el área de patología como MANEC.
Caso clínico
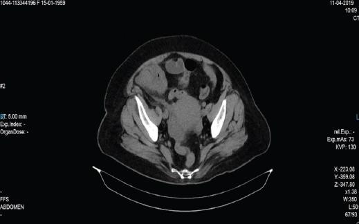
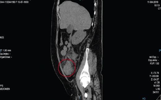
Mujer de 60 años, con antecedentes de diabetes tipo 2 e hipertensión arterial sistémica; niega antecedentes quirúrgicos. Inicia su padecimiento actual un día antes de su valoración con dolor de tipo cólico en el hipocondrio derecho, de intensidad 7/10 en la escala numérica del dolor, irradiado al cuadrante inferior derecho, acompañado de distensión abdominal, náusea llegando al vómito de contenido gastroalimentario en tres ocasiones, sin exacerbantes ni atenuantes; de manera ocasional, en las últimas 12 horas se presentó con dolor de tipo punzante, de intensidad 10/10 en la escala numérica del dolor, en la región de la fosa iliaca derecha. En la exploración física, neurológicamente íntegra, cardiopulmonar sin compromiso, abdomen globoso a expensas de panículo adiposo, peristalsis aumentada en intensidad y frecuencia, doloroso a la palpación en hipocondrio derecho y fosa iliaca derecha, Murphy negativo, McBurney positivo, con presencia de masa palpable en la fosa iliaca derecha, de aproximadamente 5 × 5 cm, móvil, no adherida a planos profundos y de consistencia firme; resto sin alteraciones. Laboratorios: leucocitos 12.67 103/μl, hemoglobina 14.1 g/dl, hematocrito 44.2 %, plaquetas 367,103/mm3, neutrófilos 82%, glucosa 24.2 mg/dl, urea 32.4 mg/dl, BUN 15.0 mg/dl, creatinina 1.0 mg/dl, sodio 137.0 mmol/l, potasio 4.6 mmol/l, cloro 98.8 mmol/l, bilirrubina total 0.18 mg/dl, bilirrubina directa 0.44 mg/dl, bilirrubina indirecta 0.26 mg/dl, DHL 357 U/l, AST 15.5 U/l, ALT 10.5 U/l, fosfatasa alcalina 107 U/l, ACE 2.13 ng/ml, C1-125 87.2 U/ml y AFP 3.54 U/ml. Tomografía abdominal en fase simple: imagen sugestiva de apendicitis aguda retrocecal complicada, con acentuados cambios inflamatorios y líquido libre en hueco pélvico, con engrosamiento nodular de la pared del ciego con múltiples ganglios ileocecales y retroperitoneales (paraórticos, intercavoaórticos y retrocrurales), el mayor de 17 mm, que pudieran ser por el proceso inflamatorio por contigüidad sin poder descartar una lesión subyacente del colon (Figs. 1 y 2). Se decide su tratamiento quirúrgico abierto, durante el cual se encuentra una tumoración a nivel de ciego y colon ascendente, de aproximadamente 10 cm, de consistencia firme, con tejido inflamatorio, y perforación a nivel de tercio medio, con salida de material fecal a la cavidad, así como proceso agudo en fase II a nivel apendicular. Se realizan hemicolectomía derecha e ileostomía, y se envía la pieza a patología. Se coloca drenaje de tipo laminar de media pulgada dirigido al hueco pélvico, el cual emerge a nivel del cuadrante inferior derecho (Figs. 3 y 4).

Figura 1 Tomografía abdominal en fase simple, corte axial, en la que se aprecia una tumoración aparentemente dependiente del ciego (círculo).

Figura 2 Tomografía abdominal en fase simple, corte transversal, en la que se aprecia una tumoración aparentemente dependiente del ciego (círculo).
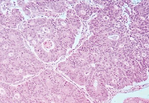
Posterior al evento quirúrgico, la paciente es enviada al área de hospitalización a cargo del servicio de cirugía general, donde se mantiene 24 horas en ayuno, con ileostomía funcional y herida quirúrgica sin complicaciones. Es manejada con antibioticoterapia: metronidazol 500 mg intravenoso cada 8 horas durante 14 días y ertapenem 1 g intravenoso cada 24 horas durante 7 días. Se inicia la vía oral, tolerándola adecuadamente, presentando gasto por ileostomía. Reporte de patología: adenocarcinoma moderadamente diferenciado con características histológicas de carcinoma mixto adenoneuroendocrino de grado 2 moderadamente diferenciado; apendicitis aguda ulcerada, abscesada, transmural, en apéndice posileal (Figs. 5 y 6). Se reporta estudio de inmunohistoquímica: MLH-1 intacto, MSH-6 intacto, CD56 positivo, sinaptofisina positivo, MSH-2 intacto, PMS-2 intacto y cromogranina positivo. Como parte del tratamiento clínico posoperatorio de la paciente se brinda terapia analgésica con base en celecoxib 100 mg por vía oral cada 12 horas por 14 días, así como diclofenaco 100 mg por vía oral cada 12 horas por 7 días. Se añadió tratamiento procinético de tipo cinitaprida 1 mg por vía oral cada 8 horas por 30 días. Igualmente se decide el envío de la paciente al área de oncología médica, donde actualmente continúa en seguimiento y en valoración para el inicio de quimioterapia.
Discusión
Los MANEC en el tracto gastrointestinal pueden aparecer en diversos órganos, como el esófago, el estómago y el colon, pero son más comunes en el recto5-7. Independientemente de la localización y del estadio del tumor, los MANEC parecen ser tumores muy malignos, con alto riesgo de metástasis a distancia. La agresividad parece depender del componente endocrino, sea cual sea su proporción2. El diagnóstico se basa principalmente en la citología y la arquitectura del tumor, y se completa mediante inmunotinción con marcadores neuroendocrinos específicos, como cromogranina, sinaptofisina y CD56 (para el componente neuroendocrino), combinados con marcadores de diferenciación no endocrina, como queratina 7. No está claro si el MANEC es biológicamente más similar al neuroendocrino o al adenocarcinoma. Sin embargo, es un tumor extremadamente raro, con la mayoría de los casos presentados en reportes aislados5. Estos tumores no exhibieron síntomas específicos ni las pruebas radiológicas o de laboratorio específicas de ellos revelaron hallazgos únicos; por lo tanto, el diagnóstico depende de los estudios histopatológicos e inmunohistoquímicos posoperatorios8. Debido a su rareza, se conocen pocos aspectos con respecto al origen y a las mejores opciones terapéuticas. Las últimas recomendaciones de la OMS sugieren que los MANEC deben tratarse como un adenocarcinoma; sin embargo, la evidencia reciente, según numerosos autores, indica que el tratamiento debe basarse en el componente histológico más agresivo9. Los MANEC requieren un manejo más complejo, incluida la administración de una quimioterapia adaptada al paciente de acuerdo con la histología de su tumor. La única estrategia terapéutica para los MANEC es la resección quirúrgica completa (resección R0) para tumor primario y metástasis. Debido a su naturaleza agresiva y alta tasa de recurrencia, la quimioterapia adyuvante constituye una parte crítica del tratamiento y mejora significativamente la supervivencia10. Los MANEC comprenden dos componentes claramente diferentes (adenocarcinomatosos y neuroendocrinos) que tienen distintas respuestas a la quimioterapia. Como resultado, la parte más onerosa y desafiante del tratamiento de los pacientes con MANEC es la elección de la quimioterapia adecuada, tanto para el tumor primario como para las metástasis a distancia11,12. En nuestro caso, la paciente presentó datos inespecíficos de abdomen agudo, relacionados principalmente con un padecimiento apendicular agudo, pero en la exploración física se vislumbró una masa aparentemente no dependiente del proceso agudo, y aunado a esto la imagen tomográfica identificó una tumoración que se encontraba proveniente de colon, decidiéndose su tratamiento quirúrgico; sin embargo, fue el estudio histopatológico el que reveló la estirpe tumoral.
Conclusiones
Debido a su rareza, todavía existe un importante debate sobre el tratamiento de los MANEC. Estos tumores no presentan síntomas ni hallazgos radiológicos o de laboratorio específicos; de este modo, el diagnóstico depende de los estudios histopatológicos e inmunohistoquímicos posoperatorios. Debido a los síntomas inespecíficos, la naturaleza altamente agresiva y el potencial metastásico de estos tumores, es vital que los médicos sigan teniendo conocimiento de los MANEC por sus diagnósticos diferenciales. La literatura sobre los MANEC es aún limitada y se basa principalmente en informes de casos únicos. El diagnóstico, el manejo quirúrgico y los criterios de seguimiento de estos tumores aún no están claros.


















