Introducción
El menisco discoide es la variante morfológica congénita más común del menisco.1 En comparación con la forma medial, el menisco discoide en su forma lateral es más prevalente (1.2-5.2%) en la población general, mientras que en la forma medial su prevalencia es más baja (0.06-3%).2,3,4,5 Se ha documentado una alta incidencia de menisco discoide en países como Japón, India y Corea, con tasas de 30 a 50% mayores que en la población caucásica; sin embargo, esto incluye tanto presentaciones laterales como mediales.2,3,4,5 Esta condición se caracteriza por una hipertrofia central y un diámetro mayor que el menisco normal, lo que resulta en una forma anormal en C y una mayor cobertura del platillo tibial.2,6 El menisco discoide presenta desorganización en la composición de las fibras de colágeno y una formación atípica.3,7
En 1941, Cave y Staples documentaron el primer caso de menisco discoideo medial y, en 1956, Murdoch presentó el primer caso bilateral.6
En 1974, Weiner y Rosenberg demostraron que, a las 10 semanas de gestación, el desarrollo de la forma del cartílago es idéntico al de los adultos. Atribuyeron los cambios en el menisco discoide a alteraciones congénitas en la formación del platillo tibial.5 Varios estudios han propuesto que la causa del menisco discoide medial radica en la falta de separación entre el menisco medial y el ligamento cruzado anterior; ambos tienen su origen embriológico en el mismo tejido y normalmente se separan entre la novena y décima semana de gestación.6
Las funciones del menisco incluyen distribuir las fuerzas de carga en la articulación, estabilizar el contacto entre el fémur y la tibia, contribuir a la propiocepción y facilitar la lubricación de la articulación.6 El menisco discoide se asocia con tres anomalías generales: mala vascularización, aumento del grosor y, en ocasiones, una deficiente unión capsular posterior, lo que aumenta el riesgo de desgarros.8 Su forma más ancha y gruesa conduce a desgarros debido a fuerzas de cizallamiento.7 La inestabilidad del borde periférico es más comúnmente encontrada en el cuerno anterior, seguida por el cuerno posterior y el cuerpo. Es más frecuente en pacientes menores de 10 años, lo que sugiere que un menisco discoide inestable tiene más probabilidades de volverse sintomático a edades más tempranas que uno estable.9
El menisco discoide medial es generalmente asintomático, presentando síntomas de forma atraumática y progresiva. Esto se correlaciona con el aumento del grosor y la debilidad de su unión hacia la cápsula posterior.5
La presentación clínica en pacientes menores de 10 años suele incluir una sensación de chasquido sin antecedentes de mecanismo de lesión.1 Cuando hay inestabilidad, el menisco tiende a desplazarse intraarticularmente, ya sea en el surco intercondíleo o en la periferia, lo que provoca una protrusión dolorosa durante la flexión de la rodilla y bloqueo de la articulación.2
Las radiografías simples (proyección anteroposterior y lateral) son los primeros métodos de imagen a solicitar, aunque su objetivo principal es descartar otras patologías como fracturas, tumores u osteocondritis disecante.2 La resonancia magnética (RM) es el estudio preferido para esta condición. El «signo del corbatín», en el cual se observa continuidad entre los cuernos anterior y posterior del menisco en tres o más cortes consecutivos, es el signo clásico.1 La presencia de los tres cortes es muy útil para evaluar el desplazamiento o cambios de posición en casos de inestabilidad. Se sugiere que, a mayor inestabilidad, la presentación de síntomas clínicos tiende a ser a edades más tempranas de manera atraumática y postraumática en adolescentes y adultos.10
Se recomienda la cirugía para pacientes sintomáticos. Las técnicas actuales se centran en preservar la porción periférica del menisco. La saucerización del borde periférico es la técnica más comúnmente utilizada, seguida de la evaluación de las decisiones de estabilización periférica.1,9 En 2007, Good y sus colegas propusieron determinar un menisco como inestable si, durante la artroscopía, el cuerno anterior del menisco puede ser invertido o desplazado hacia la mitad posterior del platillo tibial, utilizando un gancho de palpación después de la saucerización.2
Presentación del caso
Se trata de un paciente masculino de nueve años de edad sin antecedentes médicos relevantes. Su padecimiento comenzó hace ocho meses, tras sufrir una lesión de contusión directa en la rodilla derecha, lo que provocó la aparición repentina de dolor en la zona de la articulación de la rodilla y la parte frontal de la misma. Este dolor se volvió progresivo, alcanzando una intensidad de 6/10 en la escala visual analógica del dolor (EVA). El dolor se agravaba al mover la rodilla y estaba acompañado de una limitación en los rangos de movimiento y la función de la articulación.
Durante la exploración física, se identificó dolor a la palpación en la línea articular medial de la rodilla derecha y se observó que la flexión activa de la rodilla estaba limitada a 90 grados, con dolor referido en la línea articular medial. No se presentó ningún retraso en la extensión ni crepitación durante la flexión y extensión. La fuerza de la rodilla se evaluó como 4/5 en la escala de Daniels. Además, las pruebas especiales de McMurray y Apley para el menisco medial resultaron positivas.
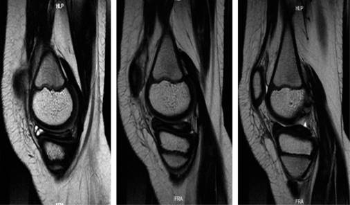
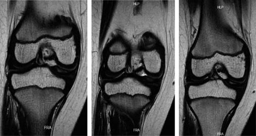
Se solicitó una resonancia magnética simple de la rodilla, que reveló una lesión de grado 3 en el menisco medial, bursitis suprarrotuliana y edema en los tejidos blandos de la parte anteromedial de la rodilla. Además, se identificó una lesión en el menisco medial con una morfología aparentemente discoidal, indicada por la presencia del «signo del corbatín» (Figuras 1 y 2).

Figura 1: Cortes sagitales de resonancia magnética de rodilla derecha en secuencia T2 en los que se observa «bow tie sign» o signo del corbatín en tres cortes consecutivos de menisco discoide medial.

Figura 2: Cortes coronales de resonancia magnética de rodilla derecha en secuencia T2 en los que se evidencia ligero aplanamiento del cóndilo femoral medial.
Se propuso un manejo mediante artroscopía de rodilla para continuar con el diagnóstico y el tratamiento. Antes de la cirugía, se evaluó al paciente utilizando la escala de puntuación de rodilla Tegner Lysholm, obteniendo 63 puntos, lo que se clasificó como una funcionalidad baja (65 puntos) con una limitación significativa en sus actividades diarias.
Durante la artroscopía de la rodilla derecha, se encontró una lesión compleja en el menisco medial, que fue diagnosticada como un menisco discoide. Además, se observó una abundante sinovitis y Hoffitis, así como la presencia de una banda fibrosa en la parte ventromedial (Figuras 3 y 4). Se realizó una plastía del menisco medial mediante saucerización y se determinó que el menisco medial estaba estable, por lo que no se requirió el uso de suturas meniscales (Figuras 5 a 7). También se realizó la resección de la banda fibrosa, sinovectomía y Hoffectomía.

Figura 3: Visión artroscópica donde se muestra la cobertura total del platillo tibial medial por el menisco discoide medial.

Figura 4: Visión artroscópica de ruptura de menisco discoide medial durante la realización de artroscopía diagnóstica.

Figura 5: Visión artroscópica de la revisión de la estabilidad del cuerpo del menisco medial con gancho palpador.
El paciente fue dado de alta un día después del procedimiento quirúrgico, sin complicaciones. Se indicó el inicio de la fisioterapia dos semanas después de la cirugía, con una evolución adecuada. En el seguimiento a las cuatro semanas, se evaluó nuevamente utilizando la escala de puntuación de rodilla Tegner Lysholm y se obtuvo un resultado de 84 puntos, clasificándose como bueno. A los cuatro meses de la cirugía, se realizó una tercera evaluación de esta escala y se obtuvo una puntuación de 91, lo que se clasifica como excelente (más de 90 puntos).
Discusión
Nuestro caso se trata de un paciente pediátrico que, a diferencia de la presentación clásica de menisco discoide medial, experimentó un mecanismo de lesión de contusión directa en la rodilla derecha antes de desarrollar síntomas dolorosos en la rodilla afectada. Posteriormente, el único síntoma clínico que manifestó fue el dolor, ya que no experimentó bloqueo articular ni chasquido. Dado que la edad de presentación del paciente se encuentra más cerca de la adolescencia y ocurrió después de un mecanismo de lesión, se orientó hacia un menisco discoide estable.10,11
En la literatura médica actual, no existen artículos publicados que sugieran un enfoque de manejo diferente para el menisco discoide medial en comparación con el menisco discoide lateral. Durante la cirugía, se siguieron las recomendaciones para la saucerización del menisco, lo que implicó la resección únicamente del tejido dañado y la preservación de un reborde de 6-8 mm.1 Las principales recomendaciones incluyen la saucerización del menisco discoide para mantener su función y evitar la meniscectomía total o subtotal,1,2 así como una revisión minuciosa de la inserción periférica del menisco, comenzando por su cuerno anterior, cuerpo y cuerno posterior, con la fijación cuando fuera necesario.9 En el caso de pacientes pediátricos con roturas menores a 3 mm en la zona roja, se sugiere un tratamiento conservador que evite deportes de pivoteo durante 12 semanas debido al alto potencial de curación en niños.12 En situaciones críticas en las que se requiere una meniscectomía total o subtotal en pacientes jóvenes, se ha recomendado el trasplante meniscal con resultados aceptables a los dos años, utilizando la técnica de aloinjerto meniscal con tapón de hueso.9
El seguimiento a corto plazo de los pacientes tratados con saucerización suele mostrar una recuperación completa de los arcos de movilidad, la fuerza y los resultados en escalas funcionales favorables.10 Sin embargo, existen importantes discrepancias en la literatura en cuanto al pronóstico a largo plazo de estos pacientes. En un seguimiento de hasta 19 meses, se informan resultados excelentes en casos tratados sólo con saucerización, pero los resultados funcionales disminuyen cuando se requieren suturas meniscales, siendo mejores en pacientes pediátricos de dos a siete años.5,13 A largo plazo, se ha observado una disminución en las escalas funcionales con la necesidad de reintervención en hasta 20-37% de los pacientes a los 11 años y resultados funcionales regulares en hasta 42% de ellos.3,13
Es ampliamente conocido que la anatomía microscópica de los meniscos discoides también se encuentra alterada en términos de la densidad de las fibras de colágeno, que son menos densas y están dispuestas de manera irregular, especialmente las fibras circunferenciales. Esto condiciona que los meniscos discoides carezcan de la función de proporcionar fuerza y soporte estructural adecuado para la rodilla, lo que los hace más susceptibles a las rupturas por fuerzas cizallantes.2,4,8,11,14,15 Es importante reconocer que estas alteraciones mencionadas previamente desempeñan un papel importante en la fisiopatología y el pronóstico de estos pacientes.
En conclusión, es necesario realizar revisiones específicas del tratamiento y pronóstico del menisco discoide medial, ya que actualmente no existe suficiente literatura médica al respecto. Es evidente que los tratamientos actuales no son completamente resolutivos, como se refleja en la disminución de los resultados funcionales y la necesidad de reintervención con el tiempo. Por lo tanto, es crucial abordar esta entidad teniendo en cuenta sus requerimientos y características mecánicas y anatómicas específicas en comparación con el menisco lateral. Además, es fundamental estudiarlo como una entidad separada en lugar de aplicar de manera generalizada toda la información disponible sobre el menisco lateral. También sería importante poder determinar el pronóstico del paciente en función de la cronicidad y el origen traumático o no del cuadro clínico, lo que podría abrir nuevas alternativas terapéuticas.
















