Antecedentes
El tumor papilar renal de células claras (TPRCC) (anteriormente denominado carcinoma papilar renal de células claras (OMS 2016) es una entidad reconocida en la última clasificación de tumores de células renales de la OMS del 2022 como una neoplasia de comportamiento indolente, habitualmente única, sin casos aislados de recurrencia o metástasis. Se caracteriza por presentar morfología e inmunofenotipo propios entre todos los tumores renales con células claras.1 Inicialmente se reconoció como un tumor exclusivamente asociado a enfermedad renal terminal,2 sin embargo, existen informes de casos no relacionados a nefropatía terminal. 3
Se presenta el caso de un hombre sin enfermedad renal previa conocida con tumor papilar renal de células claras bifocal.
Caso clínico
Hombre de 63 años con historia de tabaquismo activo de larga evolución, sin otros antecedentes patológicos conocidos, quien inició su padecimiento actual con sintomatología relacionada a enfermedad diverticular de colon complicada. En el abordaje de dicha patología se realizó tomografía axial computarizada de abdomen donde se identificaron, adicional a la patología base, dos lesiones en riñón derecho de aproximadamente 2 cm y 1 cm de eje mayor, localizadas en la región interpolar anterior (Figura 1). Debido a los hallazgos descritos se decidió realizar resección de colon por laparoscopia y nefrectomía parcial derecha asistida por robot.

Figura 1. A. Tomografía axial computarizada de abdomen con contraste oral, destacan dos lesiones en riñón derecho, la lesión principal es nodular, hipodensa, bien delimitada con zonas hiperdensas que corresponden posiblemente a calcificaciones. B. Foto macroscópica de tumor renal derecho que al corte es de color café-amarillo con áreas de aspecto hemorrágico. C. Fotomicrografía panorámica de tumor renal encapsulado (10x H y E). D. Arquitectura papilar y quística, las papilas son delgadas con septos fibrovasculares, revestidas por capa simple de células neoplásicas (100x H y E). E. Estroma eosinófilo irregular de tejido fibroconectivo con septos de músculo liso (100x H y E). F. Papilas delgadas revestidas por células neoplásicas, de citoplasma claro, con proyecciones apicales, de núcleos redondos, pequeños e hipercromáticos, sin nucléolos evidentes, dispuestos de forma lineal distantes a la membrana basal, fenómeno conocido como “polaridad inversa” (punta de flecha) (400x H y E).
Figura 1 Tomografía axial computarizada de abdomen con contraste oral
En el departamento de patología quirúrgica se recibieron dos lesiones renales. La primera correspondió a un fragmento de tejido de 2.2x1x0.6 cm, irregularmente ovoide, de superficie lisa, de color café claro y de consistencia blanda. La segunda referida como quiste renal derecho con varios fragmentos de tejido que midieron en conjunto 2.5x2x0.3 cm, irregulares, de aspecto de membrana, con áreas sólidas, de color café claro y de consistencia blanda. Al corte mostraron zonas sólidas de color café-amarillo entremezcladas con áreas quísticas, sin necrosis ni hemorragia (ver Figura 1).
En los cortes histológicos en ambas lesiones se identificaron patrones de crecimiento papilar, quístico y tubular, con estroma fibroso denso, septos desorganizados de músculo liso y vascularidad escasa. Las células neoplásicas estaban dispuestas en una sola capa sobre los septos y papilas fibrovasculares, con forma cúbica, de citoplasma claro, con proyecciones apicales, de núcleos pequeños, hipercromáticos, sin nucléolos evidentes (grado 1 (ISUP/OMS)), con disposición lineal y distante a la membrana basal (ver Figura 1).
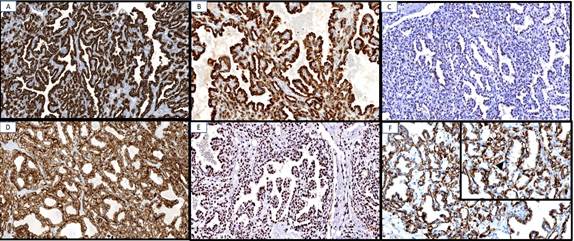
Por inmunohistoquímica las células neoplásicas fueron intensamente positivas para citoqueratina 7, citoqueratina 34βE12, PAX8, parafibromina y vimentina. Un hallazgo particular fue la tinción positiva y difusa para anhidrasa carbónica IX con patrón de tinción afín a la porción basal y lateral de las células neoplásicas, pero no en la membrana apical, característica descrita como patrón en copa (“cup-like pattern”) (ver Figura 2). El CD10, la AMACR, el RCC y el TFE3 fueron negativos.

A y B. Citoqueratina 7 positiva difusa e intensa en células neoplásicas al igual que la citoqueratina 34BE12 (A. 100x citoqueratina 7, B. 100x Citoqueratina 34βE12). C, D y E. PAX8, vimentina y parafibromina positivos en células neoplásicas (C. PAX8 100x, D. Vimentina 100x, E. Parafibromina 100x). F. Anhidrasa carbónica IX con patrón de tinción en copa (“cup-like” (punta de flecha)).
Figura 2
De acuerdo con las características morfológicas y de inmunomarcación se realizó el diagnóstico de tumor papilar renal de células claras bifocal.
El paciente no presentó complicaciones posquirúrgicas y a los dos meses de la cirugía se realizó PET-CT donde no se identificaron lesiones adicionales renales ni metástasis.
Discusión
El tumor papilar renal de células claras (TPRCC) es una neoplasia de comportamiento indolente, sin recurrencia o metástasis.1,2,3,4 Clínicamente los pacientes suelen ser asintomáticos como en el caso presentado y ocasionalmente tienen dolor en flanco abdominal. 4,5 Estos tumores representan entre el 1 al 3% de todas las neoplasias de células renales, ocupando el cuarto lugar en frecuencia. No se ha observado predilección por el género, el rango de edad es amplio, va de los 18 años hasta los 88 años.2 Estos tumores suelen detectarse de forma incidental en riñones funcionalmente normales como en un estudio realizado por Aron et al., donde describieron 64 casos de TPRCC no asociados a enfermedad renal terminal,5 o durante el seguimiento de enfermedad renal terminal (ERT), 3 debido a esta asociación se denominó por algunos autores como “carcinoma papilar renal de células claras de riñón en etapa terminal", siendo la enfermedad renal quística adquirida la más frecuente. También se ha descrito la asociación de estos tumores con neoplasias benignas (adenomas papilares) y malignas como el carcinoma renal de células claras de tipo convencional, el carcinoma renal papilar y el carcinoma de células renales de tipo cromófobo entre otros. 2,6
Estos tumores suelen ser únicos, circunscritos, pequeños (menores de 4 cm), usualmente encapsulados y limitados al riñón. Sin embargo, hay casos de tumores bilaterales y multifocales hasta en el 20% de los pacientes. Hay varios informes de casos con estas características, uno de ellos realizado por Anderson & Tretiakova quienes describen múltiples tumores papilares renales de células claras bilaterales asociados a tumor carcinoide. 4,7 En estos casos se debe descartar otro subtipo de neoplasia renal con características de células claras.
Morfológicamente los rasgos característicos de esta neoplasia son el patrón papilar con células monótonas, de citoplasma claro, de bajo grado, con polaridad invertida, además del estroma fibromuscular evidente. La importancia de reconocer este tipo de tumor radica en el comportamiento indolente y en el buen pronóstico, motivo por el cual actualmente ya no es clasificado como carcinoma.1
Por inmunohistoquímica tiene un patrón distintivo como el mostrado en el caso, donde tiene marcación difusa e intensa con citoqueratina 7, citoqueratina 34BE12, vimentina, PAX8, anhidrasa carbónica IX (patrón en copa), parafibromina, PAX2 y GATA3. Es negativa a RCC, CD10, TFE3 y AMACR.
A diferencia de otros tipos de carcinomas renales de células claras, el TPRCC no presenta alteraciones genéticas específicas y tiene una carga genética baja de mutaciones. Algunos estudios comparativos han demostrado un espectro heterogéneo de alteraciones moleculares en tumores papilares renales de células claras asociados a enfermedad renal terminal en relación con los de presentación esporádica, sin embargo, hasta el momento no se conoce su relevancia clínica. 8-10
Los diagnósticos diferenciales incluyen carcinoma renal de células claras convencional, carcinoma papilar renal, carcinoma de células renales asociado a translocación y la neoplasia quística multilocular de bajo potencial maligno. Cada una de estas tiene características morfológicas, inmunohistoquímicas y moleculares distintivas, por ejemplo, el carcinoma renal de células claras de tipo convencional es negativo o focalmente positivo a la citoqueratina 7 y es negativo a la AMACR. La expresión de anhidrasa carbónica IX (CAIX) es compartida en ambas neoplasias, sin embargo, difieren en su patrón, mientras que en el carcinoma renal de células claras la tinción es intensa y completa en la membrana celular, la positividad en el TPRCC tiene patrón conocido como “en copa” (“cup like pattern”) hasta en el 89% de los casos.
Hay ciertas características morfológicas compartidas con los carcinomas renales asociados a translocación, pero la tinción difusa por inmunohistoquímica para TFE3 es de utilidad, que de ser positiva deberá ser confirmada a través de FISH.
Un marcador que se ha estudiado y ha mostrado ser útil en el diagnóstico diferencial de neoplasias de células claras renales es la parafibromina, que es una proteína codificada por el gen HRTP2. Se ha informado positividad hasta en el 95% de los casos de TPRCC. 11
Conclusiones
La importancia de realizar el correcto diagnóstico del tumor papilar renal de células claras radica en que es una neoplasia con un curso y comportamiento clínico indolente, de bajo grado histológico y en estudios de seguimiento no se han reportado recurrencias, metástasis o muerte asociada a dicho tumor. La nefrectomía parcial o total es el tratamiento de primera línea mostrando un pronóstico excelente.















