Introducción
Las alteraciones congénitas del tracto urinario superior (CAKUT del inglés congenital anomalies of the kidneys and urinary tract) son una variedad de desórdenes congénitos que van desde pequeñas alteraciones sin afectación a anormalidades con repercusiones severas.1 Se presentan entre 3-11% de la población,2 son poco caracterizadas y son hallazgos fortuitos cuando se busca otra patología ya que suelen relacionarse a otras malformaciones.
Dentro de las CAKUT encontramos relacionadas con la forma, como la lobulación fetal persistente que es la existencia de pequeñas hendiduras separadas por surcos entre las pirámides renales y que se presenta en el 4% de la población.1 En nuestro medio se desconoce la incidencia de esta variante anatómica pues es infradiagnosticada por su escasa relevancia clínica. Su importancia radica en la asociación con otras malformaciones y el diagnóstico diferencial con lesiones que aparentan neoplasias como pseudotumores.
No se tiene mucha claridad del por qué se producen estas alteraciones congénitas; sin embargo, pueden relacionarse con alteraciones de la vía de la proteína-quinasa; cuya actividad regula la inserción de la yema ureteral que dicta tamaño, forma, orientación y número de nefronas.3
Presentación del caso
Una mujer de 45 años ingresa a urgencias y es derivada a urología por dolor en hipogastrio, disuria de ardor en la micción, fiebre no cuantificada y hematuria. Tiene antecedente de nefrectomía derecha por hidronefrosis severa hace cuatro años. No se cuenta con la causa de esta; pero refiere que el hallazgo se hizo con ecografía de abdomen ordenada por sensación de masa en flanco derecho. La pérdida de la función requirió nefrectomía. Al examen físico: dolor a la palpación profunda en hipogastrio y percusión izquierda positiva en ángulo costovertebral. Con estos hallazgos se hace impresión diagnóstica de pielonefritis.
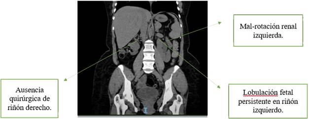
Se practica uroanálisis que evidencia esterasa leucocitaria y nitritos positivos, bacterias en sedimento; gram con bacilos gram negativos y urocultivo con E. coli. Se practica tomografía simple (UROTAC) que evidencia nefromegalia, malrotación izquierda y posible anomalía de fusión, dada su condición de monorrena se practica uroresonancia que confirma nefromegalia, malrotación, lobulación fetal persistente izquierda y ausencia quirúrgica de riñón derecho (Figuras 1 y 2).
Con diagnóstico de pielonefritis inicia cefazolina; recibió siete días de tratamiento intrahospitalario con resolución del cuadro y egreso.
Discusión
El desarrollo de las CAKUT viene desde la migración anómala a la región lumbar, que inicia en la semana cuatro y termina en la semana nueve de gestación; posteriormente la pelvis renal que estaba ubicada ventralmente rota medialmente 90°, cuando lo hace de manera inusual produce malrotación. Otra teoría dice que se produce por inserción de la yema ureteral en región inusual del blastema metanéfrico.4
Las CAKUT pueden producirse por alteraciones de la vía de la proteína-quinasa y su actividad mitótica ya que el desarrollo de varios tipos celulares depende de la señalización de esta. Cuando esta vía no es activada por citoquinas proinflamatorias no se activará el receptor tirosina-quinasa o el factor neurotrópico por lo que no activarán la vía RAS/RAF/MEK/ERK que activan la proteína P38 ayudando a la regulación celular y replicación del ADN.3 También sabemos que la señalización de las proteínas GDNF/RET previenen defectos renales severos. Todo con el fin de inducir cambios en el mesodermo donde se derivarán pronefros, mesonefros y metanefros.
Con estas vías de señalización se da lugar al pronefros que es el riñón primitivo, no cumple muchas funciones, y por su posición se conoce como cefálico. El mesonefros se conoce como riñón medio, es más grande y desarrollado que el anterior, es aquí donde se forman túbulos uriníferos que darán lugar a estructuras de importancia clínica.5 Por ultimo está el metanefros que es el definitivo, aparece de la ramificación de la yema ureteral que dará lugar al sistema colector y el blastema metanéfrico que da lugar al sistema excretor, todo esto concluye en el ascenso a la región lumbar.
Las CAKUT son una variedad de desórdenes que incluyen anomalías de fusión, estructura/forma, posición, número y del sistema colector; todas estas van desde pequeñas alteraciones que no generan afectaciones como la lobulación fetal persistente hasta aquellas que producen consecuencias permanentes en quien las padece como el riñón en herradura o agenesia renal; algunas de estas se asocian a hipertensión arterial, enfermedades cardiovasculares o enfermedad renal terminal. Estas alteraciones están en 1.6 por 1000 recién nacidos vivos, sin embargo, se ha observado relación entre malformaciones pues 2/3 de los pacientes con CAKUT tienen asociado otra CAKUT.
Avances en imágenes diagnósticas han permitido clasificar las CAKUT. Sin embargo en este artículo hablaremos con más profundidad de la lobulación fetal persistente que es la presencia de pequeñas hendiduras separadas por surcos entre las pirámides renales. Se presenta en el 4% de la población adulta.
Estas lobulaciones se mantienen durante el periodo fetal pues son indicador importante del desarrollo del feto y se hacen imperceptibles en el tercer trimestre para transformarse en una superficie lisa.6 Esta se deriva de la persistencia durante toda la adultez de una de las doce lobulaciones fetales.7 Se identifica por imágenes como la ecografía de vías urinarias. Estas lobulaciones están en el 8% de riñones derechos, 12% de riñones izquierdos y el resto en ambos riñones de quien las padece.8
También se identifican por imágenes como UROTAC o uroresonancia. Sin embargo, es clave recordar que la lobulación fetal persistente es un hallazgo fortuito en diversos procesos diagnósticos. No causan ninguna afectación a la vida cotidiana por sí mismas, pero su detección alerta sobre la posibilidad de otras CAKUT que si causan complicaciones graves; en este caso hidronefrosis con pérdida renal.
Por otro lado, la paciente tiene asociada malrotación, que es una malformación con una posición anormal con respecto al hilio, característicamente encontramos uréter lateralizado y un hilio anterior con respecto a su posición normal. Puede ser bilateral o unilateral y suele ser hallazgo fortuito. Como hallazgo aislado no tiene relevancia clínica y es asintomática; por lo cual tenemos datos en 1 de cada 2000 autopsias.
En la paciente observamos que tiene dos malformaciones que por sí mismas no causan mayores repercusiones en su salud, sin embargo, y teniendo en cuenta el antecedente de nefrectomía secundaria a hidronefrosis severa de la cual no se tiene causa clara, consideramos que posiblemente esté relacionadas a otra CAKUT que afecta el sistema colector que conlleva a anomalías como la estrechez de la unión pieloureteral y que es de las principales causas de hidronefrosis.9
Por último, se hace especial énfasis en el estudio de estas malformaciones ya que se suele confundir con otras entidades como los pseudotumores, que son alteraciones en la forma, que aparentan ser neoplasias como abscesos renales, malformaciones arteriovenosas o cicatrices renales.10
Conclusiones
La lobulación fetal persistente por sí misma no produce repercusiones en la salud.
Las CAKUT en la mayoría de casos se asocian con otras malformaciones y algunas de estas si producen repercusiones.
Las lobulaciones fetales persistentes tienen importancia al ser diagnóstico diferencial de patologías como los pseudotumores.
A pesar de los avances en ciencia molecular para encontrar la causa de las CAKUT aún queda mucho por descubrir debido a la complejidad de estas y las pocas vías de compresión que tenemos.

















