Introducción
El bloqueo neuroaxial proporciona a los pacientes un alivio óptimo del dolor, pero también pueden ocasionar daños. La complicación más común es la cefalea postpunción dural (CPPD) que se resuelve en su mayoría con analgésicos, hidratación y evitando la posición erguida.1 Una complicación rara a la anestesia neuroaxial es el hematoma subdural. De acuerdo con lo reportado por un informe sueco, en un periodo entre 1990 y 1999 se documentaron cinco casos de hematoma subdural craneal después de bloqueos neuroaxiales en 1’710,000 procedimientos entre bloqueos espinales y epidurales. El diagnóstico puede pasar desapercibido ya que los síntomas son similares a la CPPD, por lo que el tratamiento conlleva a un abordaje mínimo que puede culminar en alteraciones neurológicas severas.2 En este reporte, describimos la presentación clínica y el manejo de un paciente con hematoma subdural secundario a anestesia neuroaxial para un procedimiento quirúrgico por lesión de menisco.
Presentación del caso
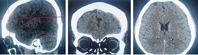
Hombre de 37 años sin antecedentes de relevancia para el caso. Ingresa por lesión de menisco, previo al procedimiento quirúrgico, se aplica anestesia neuroaxial con aguja calibre 20, en posición decúbito lateral derecho, a nivel de L2-L3, 48 horas posteriores presenta fotofobia, cefalea holocraneal intensa, 10 de 10, acompañada de náusea, vómito, que mejora con la posición decúbito, con criterios clínicos para diagnóstico de cefalea postpunción: orbitaria, temporal y acompañada de cervicalgia. Al ser la fotofobia un síntoma no común, se solicita estudio de tomografía axial computarizada (TAC) de cráneo simple, corroborando la presencia de un hematoma subdural (Figura 1).

Figura 1: Tomografía axial computarizada de cráneo simple. Se reporta hipotensión intracraneal hematoma subdural laminar en la región frontal izquierda, disminución en la amplitud de los ángulos interpeduncular y pontomesencefálico, así como disminución en la distancia mamilopontina.
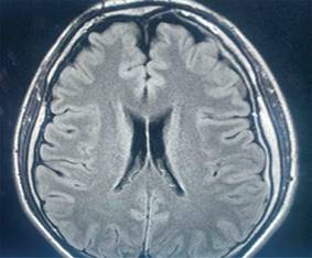
Además, se describen los hallazgos encontrados en la resonancia magnética (Figura 2).

Figura 2: Resonancia magnética. Hallazgos compatibles con hipotensión endocraneana con colecciones subdural frontal izquierda e interhemisférica, con realce paquimeníngeo y dilatación de senos venosos y venas corticales, sin evidencia de trombosis ni desplazamientos internos.
Para el tratamiento farmacológico, se implementó opioide de rescate con esteroide de tipo dexametasona y analgesia con ergotamina. En interconsulta, neurocirugía descarta manejo quirúrgico. Se realiza terapia de posición en la que el paciente muestra evolución favorable.
Discusión
Un rasgo de la CPPD es su relación con la postura, empeorando en posición erguida y mejorando en posición decúbito supino, debido a cambios en la presión intracraneal. El dolor de cuello, problemas auditivos, fotofobia o náusea pueden acompañarla. Los signos neurológicos o dolor de cabeza no postural deben excluir un hematoma subdural, el cual puede tratarse conservadora o quirúrgicamente acorde al tamaño y a los síntomas de cada paciente; el pronóstico es bueno diagnosticándose y tratándose a tiempo.3
Se desconocen los factores etiopatológicos que favorecen la aparición de un hematoma subdural, sin embargo, existen factores de riesgo como el embarazo, múltiples punciones y el uso de determinados calibres de aguja.4 Nuestro paciente no mostraba factores asociados, no obstante, un caso similar reportó el desarrollo de hematoma debido probablemente a la dinámica alterada del líquido cefalorraquídeo (LCR), ocasionando la ruptura de una vena cerebral.5
Conclusiones
Se describe la aparición de un hematoma subdural posterior a anestesia neuroaxial con una aguja fina en un paciente sin factores de riesgo para el sangrado. Se debe considerar a la CPPD intensa, acompañada de fotofobia, como señales de advertencia de un hematoma subdural, recomendando la implementación de TAC de cráneo simple además de una consulta neuroquirúrgica temprana.















