Introducción
Los lipomas son los tumores mesenquimales más frecuentes y están compuestos por adipocitos maduros.1 Representan el 50% y se categorizan en superficiales y profundos.2 Solamente 2% son de localización profunda, cuando se sitúan por debajo de la fascia que los envuelve.2),(3 Histológicamente se pueden dividir en tres tipos: infiltrativos, bien circunscritos y mixtos.3
La incidencia reportada en lipomas intramusculares es de 0 a 5% y de los intermusculares de 0.3 a 1.9%, siendo el cuádriceps femoral la localización más frecuente seguido del deltoides.4 La mayoría ocurre entre los 40 y 70 años de edad.3 La sintomatología es infrecuente, pero incluye dolor, limitación del rango de movimiento, edema y compresión nerviosa.2
Caso clínico
Masculino de 71 años de edad, refiere dolor moderado a intenso en hombro derecho de dos meses de evolución que incrementa al realizar movimientos de abducción y extensión, motivo por el cual se solicita estudio de resonancia magnética simple de hombro derecho. Como único antecedente el paciente refiere accidente en motocicleta hace 50 años con fractura de clavícula derecha recibiendo tratamiento conservador.
Hallazgos por imagen
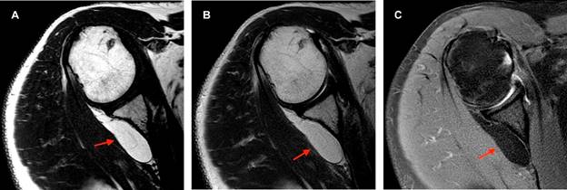
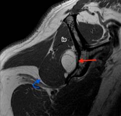
En el estudio de resonancia magnética entre fibras musculares del infraespinoso se observa imagen ovoidea, de márgenes bien delimitados, isointensa al tejido graso en secuencias T1, T2 y densidad protónica con saturación grasa, con diámetros aproximados en plano axial de 5.5 × 1.3 cm, en plano sagital de 3.1 × 1.4 cm y en coronal de 3.8 × 2.9 cm, con imágenes lineales internas hipointensas en todas las secuencias menores de 2 mm (Figura 1). La lesión se extiende por toda la fosa infraespinosa con involucro de algunas fibras musculares del redondo menor y desplaza levemente el infraespinoso (Figura 2).

Figura 1: Imágenes en plano axial. A) T1, B) T2 y C) densidad de protones con saturación grasa (DP FAT SAT). Muestran la lesión (flecha roja) ovoidea, de comportamiento graso, con delgadas líneas hipointensas en su periferia correspondientes a fibras musculares del infraespinoso.
Discusión
La resonancia magnética es el estudio de imagen óptimo para valoración de lesiones lipomatosas de localización profunda.1 Se valora el tamaño y morfología, homogeneidad, márgenes, si es uni o multinodular, presencia o ausencia de estructuras lineales y su grosor (delgados < 2 mm, gruesos > 2 mm).5 Su morfología puede ser redonda, oval, fusiforme, irregular poligonal o en forma de pesa y usualmente no encapsulados.3 Caracterización tisular: tienen alta intensidad de señal en T1 y T2 y suprimen similar a la grasa en secuencias de supresión grasa. Los intramusculares contienen fibras musculares entremezcladas, isointensas al músculo normal en T1 y T2. Estas interdigitaciones muestran una apariencia estriada patognomónica de estos lipomas.3
En ocasiones es difícil definir el origen exacto, especialmente cuando son grandes y con gran componente extramuscular que provienen de un músculo pequeño, de un lipoma intermuscular con infiltración secundaria al músculo adyacente.3
La escisión quirúrgica es el tratamiento de elección. Puede haber recurrencia en un rango de 14 meses a 19 años, con incidencia variable.3















