Introducción
El bruxismo es una condición oral asociada con numerosos problemas clínicos, incluyendo dolor orofacial, pérdida de sustancia dental y falla de tratamientos restauradores. En la octava edición del Glosario de Términos Prostodónticos se define como “hábito oral que consiste en rechinar o apretar rítmica o espasmódicamente los dientes durante movimientos no masticatorios, el cual puede ocasionar trauma oclusal”1-3. En el consenso internacional de expertos en bruxismo, publicado en el 20184, lo describen en dos tipos:
El bruxismo del sueño es una actividad muscular masticatoria durante el sueño que se caracteriza como rítmica (fásica) o no rítmica (tónica) y no es un trastorno del movimiento ni un trastorno del sueño en personas sanas.
El bruxismo de vigilia es una actividad de los músculos masticatorios mientras el individuo está despierto, que se caracteriza por un contacto dental repetitivo o sostenido.
Una aportación importante que surge del consenso internacional es considerar el bruxismo como un factor de riesgo en lugar de un trastorno en personas sanas y puede asociarse con otras condiciones clínicas (apnea del sueño u otros trastornos del sueño) o síntomas (xerostomía) sin una relación de causa y efecto.
El bruxismo se diferencia también por dos enfoques diagnósticos:
1. Sin instrumentos
Las características clínicas del bruxismo tanto de vigilia como del sueño incluyen la presencia de hipertrofia del músculo masticatorio, así como hendiduras en la lengua o el labio y/o una línea alba en la parte interna de la mejilla, daño a los tejidos dentales duros (dientes agrietados), fallas repetitivas del trabajo de restauraciones protésicas, o desgaste mecánico de los dientes3,5.
2. Con instrumentos
Los registros electromiográficos (EMG) pueden proporcionar evidencia clave de bruxismo, a pesar de su limitada disponibilidad. En cambio, la polisomnografía, es el estándar de oro para el diagnóstico del bruxismo, pero todavía estamos lejos de la evaluación ideal del bruxismo. Es necesario recopilar datos concurrentes sobre posibles factores etiológicos, de comorbilidad y de riesgo que pueden contribuir a la presencia del bruxismo ya que es un padecimiento con etiología multifactorial; es decir, puede relacionarse con diversas condiciones, como neurodiversidad (incluidos varios tipos de autismo), enfermedades neurológicas (incluidas las causas ambientales y traumáticas) y uso de diferentes medicamentos6.
Otros enfoques de tratamiento consisten en abordar el componente psicosocial incluyendo reducción del estrés, asesoramiento conductual, cambios en el estilo de vida y terapia. Sin embargo, deben ir acompañados de férulas oclusales que propicien estabilidad oclusal6.
Uno de los principales signos del bruxismo es la pérdida de sustancia dental, la cual se ha convertido en una patología bastante común. Su etiología es multifactorial. Puede ser causada por procesos químicos, erosión, atrición excesiva y abrasión, o incluso una combinación de éstas7-9. Turner & Missirilian 198410 definieron 3 categorías en los pacientes con pérdida de sustancia dental: Categoría uno: pérdida de sustancia dental excesiva con pérdida de dimensión vertical oclusal (DVO). Para la cual se debe realizar un análisis facial y fonético, y una vez determinada y colocada la nueva dimensión tiene que ser probada durante mínimo 2 semanas antes de las restauraciones finales para ver la adaptabilidad del paciente. Este incremento brindará espacio y propiciará restauraciones menos invasivas11; Categoría dos: pérdida de sustancia dental, sin pérdida de DVO con espacio disponible. No todos los pacientes que presentan patrones de desgaste dental presentan pérdida de dimensión vertical debido a la erupción compensatoria; y, por último, Categoría tres: pérdida de sustancia dental sin pérdida de DVO con espacio limitado10.
Una vez diagnosticado, se debe valorar si el paciente debe ser tratado. Primero se debe observar la cantidad de tejido dental perdido (<1/3 de la corona se debe restaurar), y confirmar si es localizado o generalizado. El desarrollo de nuevos materiales en combinación con los avances en la adhesión ha permitido a los clínicos adoptar una forma más conservadora, en la cual el remanente dental se desgasta en cantidades mínimas, evitando las preparaciones retentivas tradicionales que requerían mayor desgaste dental12. En la odontología mínimamente invasiva, es de suma importancia la selección del material restaurador. A través del tiempo se han utilizado resinas directas e indirectas, aleaciones metálicas y distintas cerámicas, manteniendo cuidado en las técnicas adhesivas ya que, si hay gran pérdida de sustancia dental, estará expuesto el tejido dentinario13-16.
A continuación, se presenta el caso de un paciente masculino de 60 años con bruxismo de vigilia y del sueño, diagnosticado mediante un cuestionario y examen clínico. Presenta pérdida de sustancia dental generalizada y se ubica en categoría uno de Turner & Missirilian debido a la necesidad de aumentar la DVO.
Presentación del caso clínico
Paciente masculino de 60 años, su motivo de consulta: “Necesito muchos arreglos”, refierió ser diabético tipo II, con tratamiento de metformina. En el análisis extraoral presentó un biotipo facial mesocefálico. La línea interpupilar coincide con la línea intercomisural. La línea media facial mostró armonía. El tercio facial superior se encuentra disminuido mientras que el tercio medio e inferior son equivalentes. El tercio facial inferior, es dos veces mayor que el tercio superior y son simétricos, lo cual cumple con la norma de valores de análisis estético (Tabla 1; Figura 1 A). El paciente presenta bruxismo del sueño y de vigilia con etiología multifactorial.
Tabla 1 Medidas del Análisis Estético de Fradeani
| Medición | Valor | Norma |
|---|---|---|
| Perfil | 176º | 170º |
| Ángulo nasolabial | 108º | 90-95º |
| Línea E | Labios por detrás | Labios por detrás |
| Longitud de labio superior | 22mm | 20-22mm |
| Exposición dental en reposo | -0.2mm | -0.04mm |
| Curvatura de labio inferior | No coincide con curvatura dental | Debe coincidir con curvatura dental |
| Línea media facial y dental | Coincidente | Coincidente |

Figura 1 Estudios iniciales. A. Fotografías faciales iniciales de frente y perfil. B. Fotografías intraorales iniciales. C. Ortopantomografía.
En el análisis intraoral presentó arcos cuadrados en ambas arcadas y presencia de torus mandibulares, banda ancha de encía queratinizada generalizada en todos los sextantes. En el arco maxilar se observó exposición radicular de los dientes 17,16, 15, 14, 26 y 27, así como restauraciones defectuosas en los dientes 14-18, y 24-28, pérdida de sustancia dental en todos los dientes incluyendo sector anterior haciendo énfasis de abfracciones en dientes 24 y 25.
Además, se identificaron restauraciones defectuosas en dientes 35-37, 46 y 47, así como pérdida de sustancia dental en todos los dientes de la arcada mandibular, remarcando las abfracciones de los 4 premolares (Figura 1B). En la ortopantomografía se observaron los senos maxilares permeables y un correcto paralelismo radicular, ausencia de los dientes 38 y 48, así como ausencia de crestas óseas (Figura 1C).
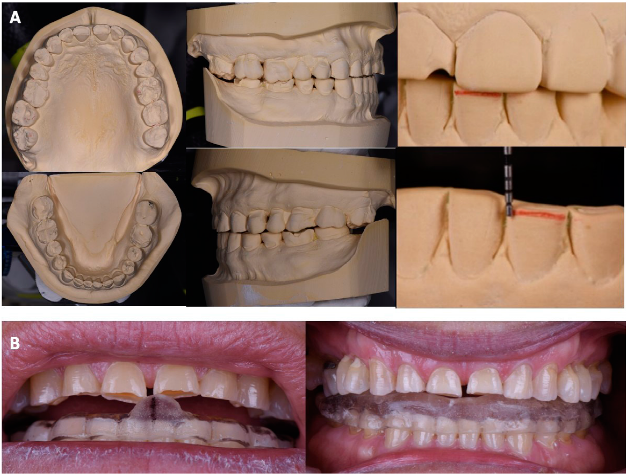
En el análisis oclusal, se observó relación canina y Clase I molar, sobremordida vertical 1mm y sobremordida horizontal 1mm, la DVO 61 y dimensión vertical en reposo (DVR) 66, el espacio libre interoclusal es de 5mm y la discrepancia entre máxima intercuspidación y relación céntrica es de 0.5mm (Figura 2A).

Figura 2 Análisis de los modelos y férula oclusal A. Análisis de los modelos, sobremordida vertical u oclusal (clasificación molar y canina). B. Procedimiento de fabricación de férula oclusal de 3.5mm para determinar adaptación a la nueva dimensión vertical de oclusión.
Los objetivos de tratamiento fueron colocar 28 restauraciones de disilicato de litio en todos los dientes para reponer la DVO disminuida cumpliendo con los principios estéticos, biológicos y funcionales, así como tratamiento a la parafunción.
Mediante el encerado de diagnóstico, se optó por aumentar 3.5 la DVO en el vástago del articulador, propiciando un espacio adecuado para el material restaurador y dejando un espacio libre interoclusal de 1.5mm. Posteriormente se realizó una férula oclusal con 3.5mm de altura (Figura 2B), el paciente la utilizó durante 3 meses. Se comenzó retirando restauraciones defectuosas y lesiones cariosas (Figura 3A) en las cuales se colocó resin coating, para lo cual se utilizó grabado selectivo, adhesivo autoacondicionante (Single Bond 3MTM Espe, Alemania) y resina fluida (Filtek Z350 XT 3MTM Espe, Alemania) (Figura 3B). Una vez que el paciente confirmó la adaptación a la nueva DVO se procedió a probar el encerado en boca mediante un mock up (Protemp 3MTM Espe, Alemania), donde se evaluó: estética, fonética, plano oclusal, corredores bucales, oclusión, desoclusiones anteriores y aceptación del paciente (Figura 4A). Finalmente se procedió a la preparación de los dientes por medio de la maqueta pronóstica basada en el encerado para evitar desgastar más las piezas y preservando el espacio para el material restaurador. Las preparaciones consistieron en una corona completa del diente 37 con terminación en filo de cuchillo, carillas oclusales con biseles largos en los dientes 17, 16, 15, 25, 26, 27, 36, 46 y 47, vonlays en 14, 24, 35, 34, 44 y 45 así como carillas vestibulares en dientes anteriores mandibulares y preparación vertical de corona completa en dientes anteriores maxilares. Todas las restauraciones fueron elaboradas con e-max® Press High Transulcent (Ivoclar, Vivadent, Schaan, Liechtenstein) con técnica “Cut Back” en Carillas vestibulares y vonlays mientras que el resto de las restauraciones fueron maquilladas. Al momento de la cementación las carillas oclusales fueron acondicionadas con gel de ácido fluorhídrico débil 9.5% (Porcelain Etchant, Bisco Inc., Schaumburg, IL, Estados Unidos) durante 20 segundos, se lavó, se colocó ácido fosfórico al 35% con 60 segundos de fricción para eliminar residuos, seguido por un lavado de 20 segundos. Se secaron y se colocó silano (Clearfil ceramic primer, Bisco Inc., Schaumburg, IL, Estados Unidos) el cual se dejó secar por 60 segundos. Posteriormente se colocó adhesivo Universal (Clearfil Kuraray, Kurashiki, Japón) y cemento dual (Panavia V5 A2 Kuraray, Kurashiki, Japón).

Figura 3 Retiro de lesiones cariosas y defectuosas. A. Arcada maxilar y mandibular con caries y restauraciones defectuosas. B. Arcada maxilar y mandibular después de la eliminación de caries y restauraciones defectuosas.

Figura 4 Prueba de maqueta diagnóstica y fotografías finales. A. Prueba del encerado mediante maqueta diagnóstica para corroborar la oclusión orgánica y valorar estética. B. Fotografías finales: extraoral de sonrisa e intraoral de frente.
En cuanto al acondicionamiento de las piezas dentales, se arenó con óxido de aluminio de 30 micras, se limpió la superficie, se grabó el esmalte con ácido fosfórico 37% (K-Etchand Kuraray, Kurashiki, Japón) durante 15 segundos, se lavó y se colocó adhesivo CLEARFILTM Universal Bond Quick (Sakazu, Kurashiki, Japón). En cuanto a las restauraciones de carillas vestibulares y vonlays se utilizó resina fluida para cementación por el grosor de las mismas, mejorar la estabilidad de color y mayor tiempo de trabajo. El protocolo para acondicionar las restauraciones fue el mismo: únicamente se cambió el cemento dual por resina fluida (Z-350 A1 3M Espe, Alemania), se llevó la restauración a la boca, se inició con fotopolimerización ligera, se eliminaron excedentes y posteriormente se fotocuró 20 segundos cada superficie (Figura 4B).
Finalmente se verificó la oclusión con el papel de articular, se eliminaron los contactos prematuros, y se procedió a la entrega de la férula oclusal. Como resultado se lograron los objetivos colocando 28 restauraciones que devolvieron la DVO disminuida con características de oclusión orgánica y armonía facial, así como tratamiento a la parafunción mediante férula oclusal.
Discusión
Debido a la alimentación, ingesta de bebidas carbonatadas y sustancias ácidas, cada vez es más frecuente encontrar dentaduras con pérdida de sustancia dental y aún más en combinación con para funciones como el bruxismo. Anteriormente las piezas dentales solían ser restauradas mediante coronas completas lo cual implicaba pérdida de estructura adicional, así como implicaciones biológicas, por ejemplo, pérdida de vitalidad pulpar o necesidad de realizar alargamientos de corona17. Un paciente que recibe una rehabilitación completa a una edad temprana necesitará varias restauraciones a lo largo de su vida y cada una de ellas conlleva pérdida de estructura dental18. Por esta razón es imperativo retardar el ciclo restaurador a edades más avanzadas. Una vez que la pieza fue preparada para corona completa, el único re-tratamiento será seguir colocando corona hasta que no funcione más. Gracias a las técnicas adhesivas actuales, es posible ofrecer a los pacientes alternativas menos invasivas para el tratamiento de la dentina expuesta: Muchos autores19-23 han publicado acerca de tratamientos realizados con carillas oclusales, vonlays o distintos tipos de restauraciones parciales adheridas con grosores de hasta 1mm de distintas cerámicas, incluso resinas. Es decir, cuando un diente es tratado con restauraciones parciales adheridas y éstas fallan, la mayoría de las ocasiones se puede volver a realizar una restauración similar desgastando al mínimo la estructura remanente y posponer la corona completa hasta el final. Estos tratamientos han sido exitosos por de 20 años, mismos que se reducen al presentar tratamiento de conductos. Es una opción que no se descarta, y a la vez, no debería ser primera elección en un paciente joven.
En cuanto al material, a pesar de que las resinas directas han tenido un desarrollo biomecánico correcto, como lo muestra un estudio retrospectivo de Bartlett & Varma24 en el cual destaca una tasa de éxito del 83% de las restauraciones, también mencionan que se requiere mayor mantenimiento y experiencia del profesional/especialista para disminuir el rango de complicaciones. Las carillas oclusales de cerámica poseen varias ventajas en cuanto a resistencia a la abrasión, biocompatibilidad y estabilidad de color, en contraste a las carillas oclusales de resina. En un estudio de Magne et al.25, se demostró que el disilicato de litio con un grosor de 1.2mm en el centro y 1.8mm en área de cúspides tiene una tasa de supervivencia del 80% con cargas de 1000N, recordando que en dientes posteriores las cargas masticatorias oscilan entre 500 y 800N.
Moreira et al.26 presentaron un caso clínico de rehabilitación completa adhesiva realizada con disilicato de litio a un paciente con bruxismo, quien no presentó complicaciones biológicas ni protésicas después de 4 años. En el mismo año, Malchiodi27 realizó un estudio observacional en el que evaluó 43 restauraciones adhesivas de disilicato de litio en 8 diferentes pacientes y tuvo un éxito del 97.7% a 32 meses de seguimiento con grosores desde 0.5mm hasta 2mm.
Si bien diversos autores han presentado casos clínicos de pacientes con desgaste severo resueltos mediante restauraciones adhesivas de disilicato de litio, siguen siendo necesarios seguimientos a largo plazo28, 29.
Conclusiones
El tratamiento para la pérdida de sustancia dental generalizada llevado a cabo con restauraciones mínimamente invasivas, resulta ser una opción cómoda, rápida e indolora, que implica menor sacrificio biológico de las piezas dentales. El material elegido propicia una adecuada higiene y cumple con los requisitos estéticos, biológicos y funcionales. Es imperativo tratar el factor de riesgo que representa el bruxismo para el éxito de las restauraciones.














