Introducción
Un bezoar o bola fúngica es una masa de micelio causada por la colonización de una cavidad por un hongo.1,2 Los bezoares a nivel del tracto urinario ocurren en el contexto de una funguria o fungemia, y se consideran condiciones clínicas infrecuentes.2
Existen escasos reportes de pacientes, solos o en series. JM Babut y colaboradores informaron dos recién nacidos a término con diagnóstico prenatal de uropatía con deterioro de la función renal causados por un bezoar fúngico;3 asimismo, Flanagan y colegas informaron sobre dos lactantes con esta enfermedad posterior a la inserción de un stent ureteral.2
Los bezoares fúngicos se presentan principalmente en neonatos y lactantes con factores predisponentes como: exposición prolongada a antibióticos y corticoides, nutrición parenteral, prematuridad extrema y uso de catéteres urinarios y centrales. Las bolas fúngicas pueden desarrollarse a nivel del parénquima renal o en el sistema de drenaje, donde causan obstrucción cuando se forman en la unión ureteropélvica.4 El germen principal es la Candida spp.5,6 El diagnóstico se basa en la sospecha clínica y en estudios de imagen, principalmente la ultrasonografía renal, considerando como diagnósticos diferenciales los tumores pielocaliciales y la nefrocalcinosis.2,3
Presentamos el caso de un lactante con fiebre prolongada causada por una bola fúngica renal por Candida spp., manejado con tratamiento médico y quirúrgico con recuperación completa.
Descripción del caso clínico
Lactante masculino de 11 meses de edad, en estado nutricional adecuado (peso: 9.8 kg, talla: 77 cm), con antecedente de enfermedad de Dandy-Walker pero sin manejo quirúrgico. Llega por fiebre persistente de 20 días de evolución, previamente tratado por sinusitis maxiloetmoidal identificada por tomografía de senos paranasales, recibiendo por siete días ceftriaxona endovenosa. Posteriormente se identifica infección de vías urinarias altas causada por Pseudomonas aeruginosa, tratado con meropenem por ocho días. Esta infección urinaria fue el segundo episodio en su vida.
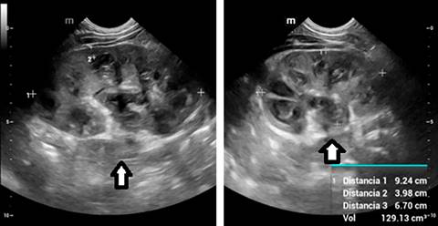
En los paraclínicos de ingreso presentaba anemia moderada, trombocitosis, leucocitosis a expensas de neutrófilos, pruebas de función renal y hepática normales, proteína C reactiva elevada y uroanálisis sugestivo de proceso infeccioso (Tabla 1). En la ecografía de vías urinarias se evidenció aumento del tamaño del riñón izquierdo con dilatación de la pelvis renal y de los cálices centrales y periféricos con material ecogénico en su interior (Figura 1). Por sospecha de absceso renal se inicia antibiótico de amplio espectro (ceftriaxona). El urocultivo de ingreso no mostró crecimiento bacteriano a las 48 horas de incubación. Por el hallazgo por ultrasonido se realiza tomografía donde se identifica dilatación de la pelvis renal izquierda de 25 mm de diámetro por presencia de cálculo obstructivo a nivel de la unión pieloureteral. Completa 14 días de tratamiento antibiótico con resolución de la fiebre y el urocultivo al finalizar la terapia sin crecimiento bacteriano. Por los antecedentes se decide mantener profilaxis antibiótica con cefalosporina de primera generación.
Tabla 1: Resultados de uroanálisis del ingreso.
| Color | Amarillo |
| Olor | Sui generis |
| Aspecto | Turbio |
| pH | 6.5 |
| Densidad | 1.020 |
| Proteínas | Negativo |
| Glucosa | Negativa |
| Hemoglobina | + |
| Urobilinógeno | Normal (0.2 mg/dL) |
| Nitritos | Negativos |
| Esterasa | Presente |
| Células epiteliales | 0-1/campo |
| Bacterias | Escasas |
| Leucocitos | 30-40/campo |
| Hematíes | 2-5 |

Figura 1: Ecografía renal y de vías urinarias del riñón izquierdo, donde se observa aumento de tamaño. Hay una dilatación notable de la pelvis renal (25 mm) y de los cálices centrales y periféricos, con la presencia de material ecogénico en su interior (flecha blanca).
Al día 25 de hospitalización se le realiza una nefrolitotomía percutánea, para la extracción y drenaje de la secreción purulenta, de cuyo cultivo no hubo crecimiento. Al segundo día postoperatorio reaparece la fiebre. Dado los hallazgos quirúrgicos y el tiempo de estancia hospitalaria, se decide el manejo con cefepima y anfotericina B. Un nuevo uroanálisis se encontró sin leucocituria, nitritos, esterasas ni bacterias. Un hemocultivo y urocultivo fueron negativos para bacterias y hongos. Pero la tinción de KOH en muestra de orina señaló presencia de blastoconidias. La fiebre se resolvió luego del primer día. Pasados 10 días con la terapia antimicrobiana se realiza ureterorrenoscopia donde se obtiene material mucofibrinoide denso y organizado. Por estudio histopatológico se identifican múltiples esporas de hongos compatibles con Candida, confirmando el diagnóstico de un bezoar fúngico. Se suspende el manejo con antibiótico y se completaron dos semanas con anfotericina B endovenosa seguidas de otras cuatro con fluconazol oral. El paciente se mantuvo asintomático y los estudios de imagen mostraron resolución.
Discusión
Los bezoares fúngicos, aunque infrecuentes en pediatría, son una causa grave de infección del tracto urinario. Se definen como la acumulación de restos necróticos, células epiteliales y micelios proliferantes con especial tropismo por el sistema colector de los riñones cuyo principal agente etiológico es Candida spp., en particular Candida albicans.1,4
A nivel del parénquima renal pueden generar pielonefritis, abscesos corticales y uropatía obstructiva, sobre todo si se ubican a nivel de la unión pieloureteral.2,6 Suelen resultar de una diseminación hematógena o infección urinaria ascendente, por ello, requiere un abordaje integral con hemocultivos, oftalmoscopía y ecocardiograma para descartar otros sitios de siembras fúngicas.6
El diagnóstico por medio de ultrasonografía se basa en la identificación de una masa ecogénica móvil o como una lesión hipoecoica con un borde de áreas ecogénicas periféricas.5,6 En tomografía se observan lesiones isodensas, ovales y bien definidas, las cuales pueden confundirse con datos de urolitiasis.6 El estudio microbiológico en orina es difícil de interpretar, ya que la aparición de Candida en una muestra puede ser debido a contaminación, por ello, es fundamental realizar correlación clínica y de imagen para esclarecer el diagnóstico.7
El tratamiento varía, desde estrategias conservadoras con terapias antimicóticas hasta drenaje con nefrostomía percutánea o extracción quirúrgica abierta/endoscópica. La decisión dependerá del grado de obstrucción de la unión pélvico-ureteral.2 Si la obstrucción es parcial, el manejo conservador puede ser suficiente.
La anfotericina B es el tratamiento de primera línea. Sin embargo, el fluconazol es efectivo para la candidiasis renal en los lactantes.8,9 La duración del tratamiento no está bien establecida, pero para los neonatos se sugiere de al menos seis semanas.8 En nuestro paciente lactante menor con un bezoar fúngico consideramos un mayor beneficio con la terapia bimodal, drenaje quirúrgico acompañado de antifúngico sistémico, como ya ha sido reportado.10
Tal como en otros informes de pacientes pediátricos, tuvimos similitudes con respecto a la presentación clínica por la existencia de factores predisponentes, como la prolongación de estancia hospitalaria, uso de antimicrobianos, uso de sonda vesical, prematuridad y procedimientos quirúrgicos mayores.
Conclusiones
Los bezoares fúngicos son infecciones poco frecuentes de curso sintomatológico insidioso que demanda un elevado grado de sospecha clínica, especialmente cuando los pacientes tienen factores de riesgo asociados con una infección fúngica invasiva. Los estudios de imagen y anatomopatológicos, en conjunto con los microbiológicos, son fundamentales para el diagnóstico. Un diagnóstico precoz y un manejo terapéutico apropiado son pilares para salvaguardar la funcionalidad renal.














