Introducción
El ácaro del polvo doméstico Blomia tropicalis se distribuye principalmente en el cinturón del trópico y algunas ciudades costeras de Europa y Estados Unidos de Norteamérica (Collof, 2009), presenta alérgenos con una amplia diversidad de actividades biológicas que incluyen proteínas con: actividad enzimática (Blo t 1, Blo t 3, Blo t 4, Blo t 6, Blo t 8, Blo t 9, Blo t 15, Blo t 18, Blo t 20), pertenecientes a la familia de proteínas Niemann-Pick tipo C2, NPC2 (Blo t 2), estructurales (Blo t 10, Blo t 11), de unión a quitinas (Blo t 12), de unión a lípidos (Blo t 13), con actividad antimicrobiana (Blo t 19), con capacidad para aumentar la permeabilidad bacteriana (Blo t 7), apolipoforinas (Blo t 14) y otras cuya función es aún desconocida (Blo t 5, Blo t 21) (Chua et al., 2007, http://www.allergome.org), siendo estos alérgenos considerados factor de riesgo para el desarrollo de asma y alergias principalmente en poblaciones expuestas (Caraballo, 1999).
B. tropicalis es una de las principales fuentes de aero-alérgenos en el polvo doméstico de ciudades del caribe Colombiano. Estudios previos han informado prevalencias para esta especie de 46% en Santa Marta (Meza, Mendoza & Mercado, 2008), 92% en Barranquilla (Acuña-Cantillo, Moreno, Garavito, Egea & Mendoza-Meza, 2015) 96% en Cartagena (Fernández-Caldas, Puerta, Mercado, Lockey & Caraballo, 1993), lo cual podría explicar las altas prevalencias de las enfermedades alérgicas observadas en esta población. Estudios realizados en la ciudad de Cartagena, demuestran que los pacientes alérgicos sensibilizados a B. tropicalis están expuestos a una carga alergénica elevada durante todo el año (Mercado, Puerta & Caraballo, 1996), detectándose niveles altos de anticuerpos IgE anti-B. tropicalis cercanos a 85,5% mediante la prueba RAST (acrónimo del inglés Radio Allergo Sorbent Test), en el suero de los asmáticos residentes en esta ciudad (Puerta, Fernández-Caldas, Caraballo & Lockey, 1991). De forma similar, niveles altos (88%) de IgE anti-B. tropicalis fueron detectadas mediante ensayo ELISA, en una población pediátrica con asma bronquial de la ciudad de Santa Marta (Mendoza, Ruiz, Lagares, Garavito & Egea, 2011), confirmando la importancia epidemiológica del ácaro en esta región de Colombia.
Una de las principales estrategias para prevenir o disminuir las alergias respiratorias ocasionadas por ácaros del polvo doméstico, es reducir su densidad en ambientes intramuros (Arlian & Platts-Mills, 2001). Existen métodos para monitorear y controlar las poblaciones de ácaros, que en algunos casos requieren ser puras para su desarrollo y/o evaluación de su eficacia y eficiencia. Una de las formas más eficientes para masificar la producción de una especie pura de ácaro es su cultivo en condiciones controladas de laboratorio. Los cultivos puros de B. tropicalis pueden tener diferentes aplicaciones, como su utilización en la evaluación de la actividad acaricida de diferentes sustancias (Cuca, Mendoza-Mena, Álvarez-Caballero, Macías-Villamizar & Coy-Barrera, 2012; Insung, Pumnuan, Mahakittikun & Wangapai, 2016), producción de extractos alergénicos (Yi, Chew, Jiménez, Chua & Lee, 1999; Fernández-Caldas, 2013), anticuerpos (Labrada et al., 2002; Yang et al., 2003), purificación de alérgenos específicos (Cardona, Eraso, Serna, Guisantes & Martínez, 2004) y desarrollo de pruebas diagnósticas o para el monitoreo de los alérgenos a nivel ambiental (Tsay, Williams, Mitchell & Chapman, 2002). El objetivo de este estudio fue evaluar las propiedades inmunoquímicas de extractos alergénicos de B. tropicalis obtenidos a partir de cultivos puros del ácaro.
Materiales y métodos
Cultivos de B. tropicalis
Se tomaron muestras de polvo de colchón, de pacientes asmáticos de la ciudad de Barranquilla (Colombia), siguiendo el protocolo descrito por la EPA 747-R-95-007 Environmental Protection Agency (EPA 1995). Los ácaros aislados del polvo se cultivaron en medio nutritivo Tetramin estéril (Tetra, Blacksburg, VA, USA), en cajas de petri de 100 x 15 mm, siguiendo el protocolo previamente descrito por Yi, Chew, Jiménez, Chua & Lee, 1999. Las condiciones del cultivo fueron: 74% de humedad relativa, 26,5°C (±1,04) y en oscuridad. Después de dos semanas, los ácaros de la especie se identificaron con claves taxonómicas de acuerdo con Collof, 2009. Un número aproximado de 100 individuos fueron sub-cultivados en matraces de Erlenmeyer de 500 mL con 300 g de medio nutritivo, sellados con un tapón de gasa estéril. El crecimiento y reproducción de los ácaros se monitoreó periódicamente, también se evaluó la presencia de contaminantes como hongos o ácaros de otras especies. Los cultivos contaminados fueron descartados inmediatamente. Los ácaros en cultivos con alta densidad poblacional fueron separados por el método Tullgren descrito por Yi, Chew, Jiménez, Chua & Lee, 1999. Los ácaros libres de medio se pesaron y almacenaron a - 80°C en tubos cónicos de poliestireno de 50 mL.
Extractos
Un gramo de ácaros libre de medio se sometió a desgrasado con éter dietílico (Merck-Emsure®) en un extractor Soxhlet de 250 mL. La muestra desgrasada se introdujo en una cámara de extracción de gases (Extractor C100x) para eliminar el exceso de solvente, luego se sometió a extracción con NH4HCO3 0.1 M, durante 24h a 4°C y agitación constante (110 rpm). El extracto crudo obtenido se centrifugó a 4,000 rpm durante 30 minutos a 4°C. El sobrenadante se dializó durante 16 horas a 4°C, frente a agua MiliQ, en membranas con tamaño de exclusión de 3,500 Daltons (Spectrum Laboratories Inc.). Los extractos se liofilizaron durante 48 horas, en un equipo Labconco® (Freezone 1 Liter Benchtop Freeze dry system), luego se pesaron y se almacenaron a -20°C. El rendimiento de extracción se calculó usando la siguiente expresión:
Rendimiento = (mg de proteína total /mg de ácaros) x 100.
Cuantificación de proteínas
La cantidad de proteína total en los extractos liofilizados fue determinada mediante el ensayo Bradford (Bradford, 1976) usando el estuche Quick StartTM Bradford Protein Assay (Bio Rad) siguiendo las recomendaciones del fabricante. La densidad óptica de cada reacción se midió en lector de placas BioTek® Instruments Inc., a longitud de onda de 595 nm. Los datos obtenidos se analizaron con el software Gen 5TM Data Analysis. La concentración de proteínas se determinó extrapolando la densidad óptica en la curva estándar de γ-globulina (GGB) construida previamente. Todas las lecturas se realizaron por triplicado y los resultados se expresaron como el valor de la media ± desviación estándar (DE) de la cantidad de proteína total por peso seco de extracto.
SDS-PAGE
La integridad de los extractos se determinó por electroforesis SDS-PAGE utilizando un equipo Mini Protean® III cell (Bio Rad) según lo descrito por Laemmli ,1970. Se prepararon geles de poliacrilamida al 17% T (gel de resolución) y 4% C (gel de apilamiento). La corrida electroforética se realizó a 100 voltios por 120 minutos en tampón de corrida 1x compuesto por Tris base 74 mM - Glicina 0,5 M - SDS 10%. Los geles se tiñeron con solución de azul de coomassie 0.1% p/v y se decoloraron con solución de ácido acético 10% v/v - metanol 40% v/v. Como material de referencia se usó un extracto de B. tropicalis donado por el Dr. Enrique Fernández-Caldas (Director científico de Inmunotek - España).
Perfil enzimático
La actividad enzimática de los extractos de B. tropicalis se evaluó con el estuche comercial Api® Zym (Biomérieux, France, Lyon). Brevemente, 65 µL de cada extracto (1 mg/mL) se agregó a las 20 cúpulas de reacción del Api Zym, cada una las cuales contenían un sustrato para una hidrolasa distinta, incluyendo una cúpula sin sustrato que fue el control negativo de la prueba. La reacción se incubó por 5 horas a 37°C, seguido se agregó a cada cúpula una gota de reactivo Zym A y otra de Zym B (reactivos incluidos en el estuche). La cantidad de sustrato hidrolizado en cada cúpula se expresó en nanomoles (nmol), previa clasificación y comparación de la intensidad de la coloración de cada reacción, con una carta estándar de lectura semicuantitativa incluida en el Api Zym. La interpretación de los resultados se realizó acorde a las especificaciones del fabricante, usando una escala de lectura de 0 a 5, donde “0” representa 0 nmol, “1” = 5 nmol, “2” = 10 nmol, “3” = 15 nmol, “4” = 20 nmol y “5” ≥ 40 nmol. Un extracto producido a partir del medio de cultivo sin ácaros fue utilizado como control externo para determinar su influencia en la actividad enzimática.
Western blot
La presencia de proteínas de unión a la inmunoglobulina IgE en los extractos, se realizó mediante Western blot. Las fracciones proteicas separadas por SDS-PAGE se transfirieron a membranas de nitrocelulosa (Trans Blot®, Transfer Medium de Bio-Rad), en un equipo Mini Trans-Blot® cell (BioRad) por 3 horas en tampón Tris - Glicina pH 8,4 (Tris 25 mM, Glicina 190 mM, Metanol 20 %v/v). Las membranas se bloquearon en tampón TBS-BSA (TBS 50 mM, BSA 3% p/v, Tween 20 al 0,05 % v/v) por 1 hora, se lavaron tres veces con tampón TBST (TBS 50 mM, Tween-20 al 0,1 % v/v), luego se incubaron por 18 horas a 4ºC con un grupo de sueros de pacientes atópicos con hipersensibilidad a los ácaros del polvo (prueba ImmunoCAP de Phadia UniCAP System, Pharmacia Upjohn, Uppsala, Sweden, positiva para B. tropicalis) (Egea et al., 2016), previamente diluidos 1/5 en tampón TBS-BSA. El exceso de suero se lavó con TBST y las membranas se incubaron por 1 hora con un anticuerpo IgG anti-IgE humana conjugada a fosfatasa alcalina, diluido 1/1000 en tampón TBS-BSA. El conjugado no unido se lavó con TBST y la membrana se reveló con el sustrato líquido BCIP-NBT (Bio-Rad, Hercules, CA) disuelto en tampón de la fosfatasa alcalina (NaCl 9,9 mM - MgCl2 0,5 mM - Tris HCl 7,6 mM pH: 9,5).
Análisis de datos
Los resultados se expresaron como valores de la media y desviación estándar (DE) de tres réplicas independientes. Se realizó un análisis de varianza (ANOVA) con un nivel de confianza del 95%, para establecer la variación del método de extracción de proteínas. Un valor p < 0,05 fue considerado estadísticamente significativo. Todas las pruebas estadísticas se realizaron con el Software de acceso libre “R” (www.r-project.org).
Consideraciones éticas
El estudio se realizó teniendo en cuenta, además de las disposiciones determinadas en la Ley 84 de 1989, los lineamientos consignados en la resolución Nº 008430 de 1993 expedida por el Ministerio de Salud de Colombia, por el cual se establecen las normas científicas, técnicas y administrativas para la investigación en salud. Se obtuvo consentimiento informado de los padres y/o pacientes que suministraron muestras de sueros empleados en los ensayos.
Resultados
Cultivos de B. tropicalis
Los cultivos puros mostraron máximo crecimiento entre la cuarta y quinta semana de iniciación del cultivo, observándose individuos de ambos sexos, huevos y estados larvales (Figura 1). En la quinta semana, la producción promedio de ácaros fue de 0,9 g/300 g de medio. Después de la quinta semana se detectó un alto número de ácaros muertos en el tapón de gasa de los matraces, lo que sugiere agotamiento del medio de crecimiento. Para los experimentos de extracción se utilizaron cultivos con cinco semanas de crecimiento.
Extractos
La Tabla I muestra los resultados de la extracción de proteína desde los extractos de B. tropicalis, a partir de cuatro cultivos independientes (codificados como A, B, C y D). La cantidad de material seco obtenido después de la extracción de proteínas estuvo entre 30,56 - 40,2 mg (35,8 ± 4,04); el rendimiento de la extracción fue de 3,61% (± 0,42). La concentración promedio de proteína total cuantificada por el método de Bradford fue de 190,9 µg/mg (± 13,64) de extracto liofilizado. El análisis de varianza mostró diferencia no significativa entre la concentración de proteína obtenida en los cuatro extractos alergénicos (valor F = 0,927; valor p = 0,505).
Tabla I Rendimiento de la extracción de proteínas de B. tropicalis cultivados in vitro. a) La concentración de proteína se expresa en µg de proteína total/ mg de extracto liofilizado. b) Valores de la media de dos determinaciones independientes.
| Cultivo | Peso de ácaros (mg) | Peso de extracto seco (mg) | Rendimiento de extracción (p%) | [Proteína] (µg/mg)a |
|---|---|---|---|---|
| A | 1000 | 40.2 | 4.02 | 202.04 |
| B | 1090 | 37.1 | 3.40 | 201.4 |
| C | 980 | 30.56 | 3.12 | 186.75 |
| D | 900 | 35.2 | 3.91 | 173.38 |
| Mediab | 992.5 | 35.8 | 3.61 | 190.9 |
| DE ± | 78.05 | 4.04 | 0.42 | 13.64 |
SDS-PAGE
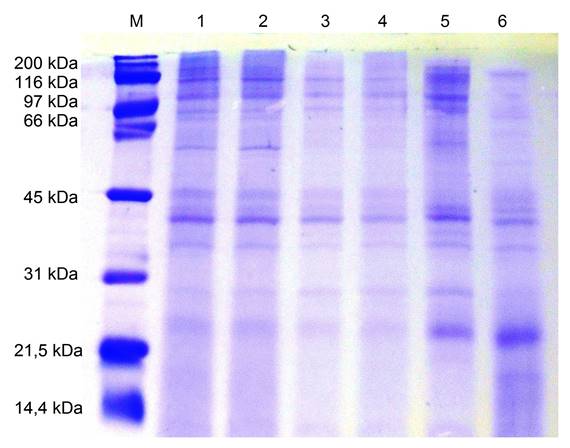
El análisis electroforético de los extractos mostró presencia de bandas con tamaños entre 21 y 200 kDa. Los extractos obtenidos a partir de los cultivos A y B mostraron bandas más nítidas y un patrón de proteínas similar al observado en el extracto de referencia de B. tropicalis (Inmunotek) (Figura 2).
Perfil enzimático
La Tabla II presenta los resultados de la actividad enzimática de los extractos de B. tropicalis frente a 19 hidrolasas, evaluada por el método semicuantitativo del Api® Zym. A la concentración de 1 mg/mL, todos los extractos mostraron actividad hidrolasa hacia la mayoría de los sustratos evaluados, mientras que el extracto de medio cultivo libre de ácaros no presentó actividad, por lo que se descarta su influencia en los extractos de ácaros producidos. Al comparar con el extracto de referencia de B. tropicalis se encontró que actividades valina arilamidasa y α-quimotripsina eran más bajas en los extractos preparados en el laboratorio; en contraste, actividad esterasa C4 no fue detectada en el extracto de referencia, pero estuvo presente en todos los extractos preparados.
Tabla II: Resultado de actividad enzimática evaluada con el estuche Api® Zym. La cantidad de sustrato hidrolizado fue determinada en nanomoles (nmol) y comparada con una carta estándar de lectura semicuantitativa. Su interpretación va en escala de 0 a 5, donde “0” representa 0 nmol, “1” = 5 nmol, “2” = 10 nmol, “3” = 15 nmol, “4”= 20 nmol y “5” ≥ 40 nmol. Observe que el medio de cultivo libre de ácaros no presentó actividad hidrolasa.
| N° | Tipo de Enzima | Enzima | Actividad Enzimática | |||||
|---|---|---|---|---|---|---|---|---|
| A | B | C | D | Comercial | Medio Cultivo | |||
| 1 | Control | 0 | 0 | 0 | 0 | 0 | 0 | |
| 2 | Fosfatasa | Fosfatasa alcalina | 4 | 2 | 2 | 1 | 4 | 0 |
| 3 | Lipasa | Esterasa C4 | 3 | 3 | 3 | 3 | 0 | 0 |
| 4 | Lipasa | Esterasa Lipasa C8 | 3 | 3 | 3 | 3 | 2 | 0 |
| 5 | Lipasa | Lipasa C14 | 0 | 0 | 0 | 1 | 0 | 0 |
| 6 | Proteasa | Leucina arilamidasa | 5 | 4 | 4 | 3 | 5 | 0 |
| 7 | Proteasa | Valina arilamidasa | 1 | 1 | 1 | 2 | 4 | 0 |
| 8 | Proteasa | Cisteina arilamidasa | 1 | 0 | 0 | 1 | 2 | 0 |
| 9 | Proteasa | Tripsina | 5 | 4 | 4 | 4 | 5 | 0 |
| 10 | Proteasa | α-quimiotripsina | 2 | 2 | 2 | 2 | 4 | 0 |
| 11 | Fosfatasa | Fosfatasa ácida | 5 | 4 | 4 | 4 | 5 | 0 |
| 12 | Fosfatasa | Naftol-AS-BI-fosfohidrolasa | 4 | 4 | 4 | 4 | 5 | 0 |
| 13 | Glicosidasa | α-galactosidasa | 4 | 4 | 4 | 4 | 4 | 0 |
| 14 | Glicosidasa | β-galactosidasa | 5 | 5 | 5 | 5 | 5 | 0 |
| 15 | Glicosidasa | β-glucuronidasa | 4 | 4 | 4 | 4 | 5 | 0 |
| 16 | Glicosidasa | α-glucosidasa | 3 | 3 | 3 | 3 | 3 | 0 |
| 17 | Glicosidasa | β-glucosidasa | 3 | 3 | 4 | 3 | 3 | 0 |
| 18 | Glicosidasa | N-acetil-β-glucosaminidasa | 4 | 4 | 4 | 4 | 5 | 0 |
| 19 | Glicosidasa | α-mannosidasa | 4 | 4 | 4 | 3 | 3 | 0 |
| 20 | Glicosidasa | α-fucosidasa | 2 | 3 | 2 | 3 | 5 | 0 |
Western blot
Este ensayo demostró que los extractos obtenidos desde los cultivos B, C y D, presentaron un perfil de proteínas de unión a IgE sérica muy similar al observado en el extracto comercial. El grupo de sueros utilizados en este ensayo reconoció bandas con tamaño entre 15 y 150 kDa, destacándose una banda común cercana a 22 kDa y un conjunto de bandas entre 30 y 75 kDa (Figura 3).
Discusión
Se logró establecer un cultivo puro y la producción de extractos con actividad alergénica y enzimática hidrolasa del ácaro B. tropicalis. Durante la etapa de cultivo se observó que los ácaros mantenidos bajo condiciones controladas de humedad relativa (74%) y temperatura (26,5°C), logran desarrollarse completamente desde huevo hasta adultos en 37 días (aprox. 5 semanas). Este resultado difiere de lo descrito por Mariana, Ho & Heah, 1996 quienes reportaron que el ciclo de vida de B. tropicalis es más corto (22,9 ± 6,4 días) en condiciones de temperatura de 25°C y humedad relativa de 75%. Esta diferencia puede atribuirse a factores como: las cepas de B. tropicalis usada para iniciar los cultivos, el medio nutritivo y otras condiciones ambientales fluctuantes en condiciones no controladas.
Estudios previos describen que la humedad relativa es uno de los factores más relevantes en el crecimiento y desarrollo de los ácaros del polvo doméstico (Hart, 1998). También se ha demostrado que la clase y composición del medio de cultivo influye en la fisiología digestiva y el metabolismo de los ácaros (Vidal-Quist et al., 2017). En nuestro estudio se utilizó Tetramin como medio de cultivo, éste presenta un alto contenido de vitaminas, minerales, proteínas y ácidos grasos, constituyendo un suplemento favorable para el crecimiento de las poblaciones de B. tropicalis. Tetramin fue reportado previamente en el cultivo de esta especie, a partir de ácaros colectados en Singapur (Yi, Chew, Jiménez, Chua & Lee, 1999) y Malaysia (Hart, 1998); también fue usado en el cultivo de otros ácaros del polvo como Dermatophagoides farinae, D.pteronyssinnus, Aleuroglyphus ovatus y Glycycometus malaysiensis. (Tang, Wong, Mak & Ho, 2011; Mendoza, Ruiz, Lagares, Garavito & Egea, 2011; Ree, Lee, Kim, Jeon & Hong, 1997).
Por otra parte, se ha descrito que la concentración de proteínas y la expresión de los alérgenos en cultivos in vitro de ácaros del polvo doméstico está influenciada por la fase del cultivo (Mendoza, Ruiz, Lagares, Garavito & Egea, 2011), el desarrollo larval y las condiciones ambientales (Eraso et al., 1998; Vidal-Quist et al., 2015; Morales, Iraola, Leonor & Carnés, 2013). En nuestro estudio los ácaros usados para la preparación de los extractos estuvieron en estadio adulto (5 semanas de cultivo), lográndose una producción de ácaros similar (0,9 g/300g de medio) a la reportada en el estudio de Yi, Chew, Jiménez, Chua & Lee, 1999 (entre 0,4 y 1,6 g/300 g de medio).
La caracterización bioquímica de los extractos mostró un perfil de bandas electroforéticas similar entre los extractos preparados y el extracto de referencia, detectándose bandas entre 21 a 200 kDa. En este rango de tamaños se encuentran algunos alérgenos de B. tropicales reportados previamente, tales como: Blo t 1 (25 kDa), Blo t 3 (24 kDa), Blo t 4 (55 kDa), Blo t 6 (26 kDa), Blo t 10 (33 kDa) y Blo t 11 (102 kDa) (Chua et al., 2007); sin embargo, para confirmar su identidad se requiere de otras pruebas bioquímicas. Debido a que algunos de los alérgenos de B. tropicalis poseen actividad enzimática hidrolasa, se utilizó el ensayo de Api® Zym para detectarlas, encontrándose actividades asociadas a los alérgenos Blo t 1 (proteasa), Blo t 3 (tripsina) Blo t 4 (alfa- amilasa) y Blo t 6 (quimotripsina). La presencia de estas actividades en extractos de B. tropicalis fue reportada previamente por Montealegre, Quiñones, Torres & Goth, 2002. Por otra parte, estudios publicados por Morales, Iraola, Leonor & Carnés, 2013; Morgan & Arlian, 2006 y Cardona, Guisantes, Eraso, Serna & Martínez, 2006, reportan actividades enzimáticas hidrolasas similares a las encontradas en el presente estudio, sugiriendo la existencia de un perfil enzimático común para ácaros de almacenamiento, incluyendo B. tropicalis.
En cuanto al carácter alergénico, el ensayo de Western blot, usando sueros sanguíneos de individuos con hipersensibilidad alérgica a los ácaros, demostró que los extractos contienen proteínas de unión a IgE, por lo que podrían ser utilizados en pruebas de inmunodetección in vitro (por ejemplo, en ensayos por inmunoabsorción ligado a enzimas o ELISA) o in vivo (por ejemplo, en pruebas cutáneas como el prick test). Debido a que B. tropicalis es una de las más importantes fuentes de alérgenos intradomiciliarios en el Caribe Colombiano, con sensibilidades mayores al 80% en la población asmática (Mendoza & Lozano, 2011; Puerta, Fernández-Caldas, Lockey & Caraballo, 1993), es de gran relevancia contar con cultivos y extractos alergénicos que puedan usarse en el diagnóstico de la sensibilidad alérgica y en las pruebas de detección de contaminación ambiental por alérgenos.
Conclusiones
En conclusión presentamos un método para el desarrollo de cultivos in vitro y extractos alergénicos del ácaro del polvo B. tropicalis, que puedan ser empleados como herramientas para el desarrollo de productos tecnológicos destinados al diagnóstico clínico o a la detección de alérgenos en espacios intramuros. No obstante, los resultados presentados aquí comprenden solo una caracterización preliminar de los extractos, requiriéndose estudios posteriores para la estandarización biológica de los mismos que permitan su uso seguro en ensayos clínicos.










nueva página del texto (beta)





