Introducción
La enfermedad de Krabbe o leucodistrofia de células globoides (LCG) es una rara enfermedad neurodegenerativa autosómica recesiva, causada por variantes patogénicas en estado homocigoto o heterocigoto localizado en 14q31.2 y que codifica par la enzima lisosomal llamada galactosilceramidasa (GALC), que ocasiona acúmulo de galactocerebrósido en los macrófagos y también acumulación de psicosina que es tóxica para los oligodendrocitos, frenando la formación de mielina.1,2 Lo anterior lleva a la alteración en el curso normal del desarrollo de funciones cognitivas, es decir, una demencia infantil.3
Existen pocos datos de incidencia, pero la estimación varía entre 1/100,000 y 1/250,000 nacimientos.4,5 A pesar de no existir un consenso en la literatura,5-9 se han sugerido distintas formas de presentación, diferenciando entre la forma de inicio infantil (antes de los 12 meses) y la de inicio tardío (a partir de los 12 meses). Si no se trata, entre más temprano es la edad al diagnóstico, más rápida es la progresión de la enfermedad.8,9
El diagnóstico se realiza por el cuadro clínico y la determinación de la actividad enzimática en leucocitos o fibroblastos. En la actualidad, el tratamiento de pacientes con LCG es fundamentalmente sintomático. El trasplante de células hematopoyéticas es una opción si se realiza en estadios asintomáticos o muy iniciales de la enfermedad, registrándose una tasa de mortalidad asociada al proceso de un 15%.5,7,10
El deterioro cognitivo en la LCG es variable.1,2 En las formas de presentación tardía la desmielinización de la sustancia blanca puede producir agnosia visual o enlentecimiento cognitivo, sin afasias o amnesias francas, pero con preservación de funciones visuales elementales.11 Se han descrito dos formas de agnosia visual: cuando el paciente tiene capacidad de copiar dibujos se trata de agnosia visual asociativa, cuando esto es ausente, entonces se trata de agnosia aperceptiva.12 Esta última está vinculada a lesiones localizadas en zonas cerebrales posteriores.12 Las agnosias visuales pueden ir acompañadas de prosopagnosia, que es la dificultad para reconocer rostros familiares.13
El presente informe muestra los resultados de la evaluación neuropsicológica en un niño que se sospechaba de una enfermedad neurodegenerativa, siendo lo más significativo que presentaba agnosia visual aperceptiva.
Presentación del caso
Niño de tres años y nueve meses remitido a nuestro hospital por sospecha de leucoencefalopatía. Como antecedentes familiares una prima materna con leucodistrofia, la cual inició a los dos años de edad.
Hasta antes de iniciado el cuadro clínico, el niño no tenía antecedentes personales patológicos de importancia. Se refiere también un desarrollo psicomotor normal.
En cuanto al padecimiento, la familia refiere que tiene una duración aproximada de tres meses de evolución con trastorno de la marcha y caídas frecuentes, las cuales se han incrementado en las últimas semanas. En un principio notaron al niño como fatigabilidad, y con dificultad para subir y bajar escaleras. En la escuela, la profesora informa de un progresivo y llamativo empeoramiento en la realización de tareas que requieren coordinación visomotora, lo cual se detectó al menos seis meses antes.
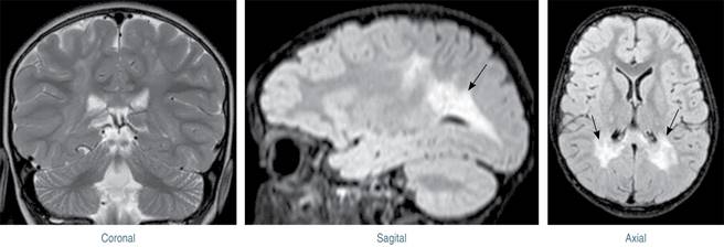
Al ingreso en el centro, se identifica que tiene tratamiento con prednisona y melatonina. Además presentan las imágenes de una resonancia magnética de cráneo que muestran afectación de forma bilateral de la sustancia blanca periventricular de los lóbulos parietal y occipital, incluyendo el trayecto de la vía piramidal, a través del brazo posterior de las cápsulas internas y mesencéfalo (Figura 1).

Figura 1: Imagen de resonancia magnética craneal, cortes coronal, sagital y axial donde se observa la desmielinización occipital y parietal.
En electromiografía se registró disminución de la velocidad de conducción motora y sensitiva, con potenciales evocados normales, lo cual sugiere polineuropatía motora y sensitiva desmielinizante. En vídeo-EEG se informa de actividad de fondo en vigilia, con sobrecarga de ondas lentas entremezcladas, en ocasiones de predominio en cuadrante posterior izquierdo, sin que se registren anomalías epileptiformes.
El estudio de enzimas lisosomales muestra actividad de galactocerebrosidasa disminuida significativamente, con valores de 0.7 nmol/17 h/mg/prot (valores normales entre 10 y 78) compatible con enfermedad de Krabbe.
Se realizó una evaluación neuropsicológica, considerando la edad del paciente y las francas dificultades perceptivo-visuales. La colaboración durante el proceso de evaluación fue adecuada, con un comportamiento socioemocional ajustado. Las pruebas aplicadas se describen en la Tabla 1, y los resultados se muestran gráficamente en la Figura 2.
Tabla 1: Listado de pruebas aplicadas para la valoración neuropsicológica.
| Wechsler D. Escala inteligencia de Wechsler para preescolar y primaria III. Madrid: TEA; 2009. |
| Adams V, Sheslow D. Wide range assessment of visual-motor abilities. Odessa: PAR; 1995. |
| Woodcock RW, McGrew KS, Mather N. Woodcock-Johnson III test of cognitive ability (Spanish Adaptation). Itasca: Riverside Publishing; 2001 |
| Korkman M, Kirk U, Kemp S. NEPSY-II. USA: Pearson; 2007 |
| Dunn LLM, Dun LM, Arribas D. PPT-III test de vocabulario de imágenes Peabody. Madrid: TEA; 2006 |
| Portellano JA, Mateos R, Martínez Arias R, Tapia A, Grados MJ. CUMANIN. Madrid: TEA; 2000 |
| McCarthy D. MSCA. Madrid: TEA; 2006 |
| Kaufman AS, Kaufman NL. K-ABC. Madrid: TEA; 1997 |
| Gioia GA, Isquith PK, Guy SC, Kenworthy L. BRIEF-P. USA: PAR inc; 2003 |
| Achenbach TM. Child behavior checklist. Burlington, VT: ASE-BA, University of Vermont; 2007 |

Figura 2: Perfil cognitivo del paciente. Las puntuaciones de las distintas pruebas se han transformado en valores Z para permitir comparaciones entre las mismas. Puntuaciones Z<-1 son indicativas de dificultades (reflejarían valores de cociente intelectual < 85 o percentil 15).
El niño obtiene un cociente intelectual (CI) total de 70 pero con una elevada discrepancia entre el CI verbal (CIV = 94) que se ajusta a la normalidad, y el CI manipulativo (CIM = 54) que se sitúa a más de tres desviaciones estándar por debajo de la media, lo que junto con la rápida progresión de los síntomas informados sugiere un deterioro acelerado. Las funciones lingüísticas y de memoria verbal se encontraban preservadas, registrando únicamente dificultades secundarias a los déficits perceptivo-visuales (denominación por confrontación visual), sin presentar alteraciones emocionales significativas.
El análisis de las dificultades perceptivo-visuales, con agudeza visual y potenciales evocados visuales normales, es congruente con el diagnóstico de agnosia visual aperceptiva: incapacidad de copiar dibujos sencillos que, aunque con torpeza, es capaz de realizarlos. También presentaba marcada dificultad para reconocer objetos cotidianos reales. Señalaba correctamente colores básicos, percibiendo movimientos y dirigiendo la mirada a los mismos. Intentaba alcanzar objetos presentados visualmente de forma espontánea, aunque con dismetría. Por último, presenta una prosopagnosia asociada con déficit en tareas de reconocimiento y memoria facial, incluso de caras familiares, siendo sólo capaz de reconocer a los padres pero a través de la voz.
Discusión
La presentación clínica y los síntomas conductuales de la LCG de inicio infantil tardío que presentamos están caracterizados por síntomas motores precoces, seguidos por el deterioro de habilidades visoperceptivas, manteniendo preservados el lenguaje receptivo y expresivo relativamente, al igual que el funcionamiento social y emocional. Estas alteraciones de la marcha y perceptivo-visuales están descritas también en otros casos de inicio tardío reportados en la literatura.14
La marcada diferencia entre el índice intelectual verbal (en el que se obtuvieron valores dentro de la normalidad) y el manipulativo (alteración grave) debe hacer sospechar de daño cerebral. Si analizamos el perfil cognitivo en profundidad (Figura 2), podemos observar cómo, además de la coordinación manual, las funciones que son dependientes de una adecuada percepción visual están claramente alteradas (cierre gestáltico, reconocimiento facial de emociones, vocabulario receptivo, denominación, memoria facial y atención focalizada). Sin embargo, las funciones que dependen más del procesamiento verbal están conservadas (procesamiento auditivo-verbal, razonamiento abstracto verbal, comprensión gramatical, fluidez verbal, memoria para frases e historias y funciones ejecutivas).
En la enfermedad de Krabbe existe acumulación de galactocerebrósido y psicosina. El aumento de la psicosina tiene un efecto tóxico en los oligodendrocitos y afecta a la producción de la mielina, causando desmielinización progresiva tanto del sistema nervioso central como del periférico.15 En la Figura 1 se observa una clara desmielinización de la región parieto-occipital, con un rol fundamental en el procesamiento visoespacial: la desmielinización posterior con la que suele cursar la enfermedad de Krabbe es la responsable de la agnosia visual aperceptiva que presenta nuestro paciente, que le impide copiar dibujos. En otro caso descrito en la literatura se informa de agnosia visual asociativa, con una discrepancia entre aspectos intelectuales verbales y manipulativos no tan grave como la de nuestro paciente, ya que no presentaba desmielinización tan avanzada.3,16 Algunos autores han sugerido que las formas aperceptiva y asociativa de la agnosia se diferencian por la gravedad de las alteraciones perceptivo-visuales,11 las cuales pueden formar parte de un continuo más que patologías distintas.
La demencia infantil es poco común, por lo que su detección puede ser difícil.17 La sospecha de un declive cognitivo o regresión en un niño debe confirmarse con una evaluación neuropsicológica lo más exhaustiva posible. En las enfermedades pediátricas neurodegenerativas, este tipo de evaluaciones son una herramienta útil para detectar signos y síntomas precoces antes de que sean evidentes a la observación directa; además, evaluaciones de seguimiento neuropsicológicas permiten diferenciar entre retraso en el desarrollo, discapacidad intelectual y deterioro cognitivo.18










nueva página del texto (beta)


