Paciente del sexo masculino de 57 años con dolor abdominal 9/10 epigástrico, de tipo transfictivo hacia la espalda, de 12 horas de evolución. Refiere que inició tras haber ingerido alimentos altos en grasas y ha presentado 3 emesis de tipo biliar. Tiene antecedente de síndrome metabólico. Se realizan pruebas de función hepática (PFH) que son normales, la lipasa sérica es de 379 y la amilasa sérica de 643.
De acuerdo con el cuadro clínico y las imágenes, ¿cuál es tu sospecha diagnóstica?
¿Cuál es el punto de corte para clasificar por imagen en aguda o crónica?
¿Cuál es la causa más común de esta enfermedad?
¿Cuál es el estudio de elección para su diagnóstico?
Resonancia magnética.
Tomografía axial computada con contraste IV.
Ultrasonido.
Radiografía de abdomen en dos posiciones.
En la escala de Balthazar, ¿qué grado le asignarías?

Trujeque Matos, Reyes González
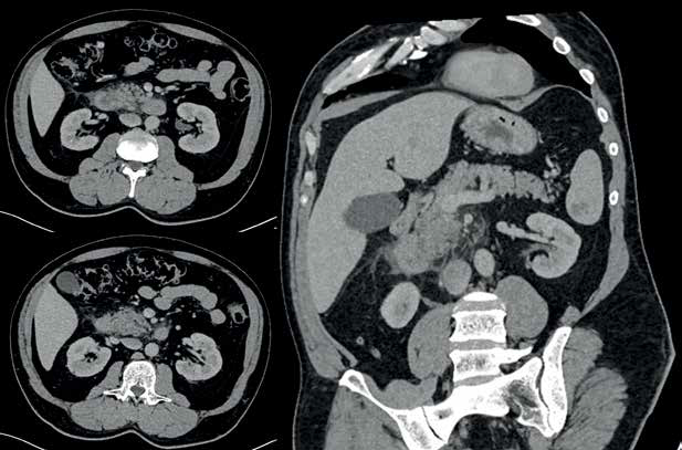
Figura 1 Tomografía axial computada de abdomen con contraste IV en donde se observa aumento del tamaño de la cabeza y el proceso uncinado del páncreas con estriación de la grasa y líquido peripancreático, con realce homogéneo.

Trujeque Matos, Reyes González
Figura 2 Ultrasonido de páncreas, observando incremento en el tamaño de la cabeza (*) con contornos irregulares y parénquima heterogéneo.
Respuestas: 1: a; 2: d; 3: c; 4: b; 5: d.
Sección a cargo del Dr. José Luis Ramírez-Arias










nueva página del texto (beta)



