SciELO - Scientific Electronic Library Online

 
vol.14 número3Empiema necessitatis¿Tenemos claro lo que es la residencia médica? índice de autoresíndice de materiabúsqueda de artículos
Home Pagelista alfabética de revistas  

Servicios Personalizados

Revista

Articulo

Indicadores

Links relacionados

  • No hay artículos similaresSimilares en SciELO

Compartir


Acta médica Grupo Ángeles

versión impresa ISSN 1870-7203

Acta méd. Grupo Ángeles vol.14 no.3 México jul./sep. 2016  Epub 24-Sep-2021

 

Imágenes en medicina

Apendicitis aguda en diverticulosis apendicular

Acute appendicitis in appendicular diverticulosis

Haithem Zaafouri1  * 

Mourad Ben Bader1 

Dhafer Haddad1 

Ahmed Bouhafa1 

Anis Ben Maamer1 

1Departamento de Cirugía General, Hospital Habib Thameur, Túnez, República Tunecina.


La presencia de uno o varios divertículos a nivel del apéndice cecal es poco frecuente con una incidencia evaluada en series quirúrgicas de 0.004 a 2.1%.1 El cuadro clínico no es específico y pueden cursar con dolor recurrente en la fosa iliaca derecha o bien presentarse como un cuadro de apendicitis aguda. Con frecuencia el cirujano realiza el diagnóstico preciso en el momento de la cirugía, o previamente por ultrasonido o por tomografía computarizada abdominal interpretada por un radiólogo experto.

Se expone un caso de diverticulosis apendicular en un paciente de 59 años de edad que se presentó con un cuadro abdominal agudo y que requirió intervención quirúrgica.

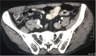
El estudio anatomopatológico reveló apendicitis aguda flegmonosa con diverticulosis apendicular (Figuras 1 y 2).

Figura 1: Tomografía computarizada de abdomen con signos de apendicitis aguda. 

Figura 2: Apéndice cecal con divertículos tanto mesentéricos como antimesentéricos en todo lo largo. 

El divertículo apendicular es subestimado por su baja frecuencia y porque no hay un conocimiento suficiente por parte de médicos clínicos, cirujanos y radiólogos.

Referencias bibliográficas

1. Marcacuzco AA, Manrique A, Calvo J, Loinaz C, Justo I, Caso O et al. Clinical implications of diverticular disease of the appendix. Experience over the past 10 years. Cir Esp. 2016; 94 (1): 44-47. [ Links ]

Aprobado: 29 de Junio de 2016

*Autor para correspondencia: Dr. Haithem Zaafouri. Correo electrónico: zaafouri.haithem@hotmail.fr

Creative Commons License Este es un artículo publicado en acceso abierto bajo una licencia Creative Commons