Introducción
El síndrome de Good es la asociación de timoma e inmunodeficiencia, descrita por primera vez por Robert Good en 1955. Es una inmunodeficiencia de presentación en el adulto extremadamente rara que se manifiesta entre los 40 y 70 años de edad; solo se ha reportado un caso en la edad pediátrica. Representa 0.2 % de todas las inmunodeficiencias primarias, sin predominio de sexo.1,2
Los timomas se relacionan con síndromes paraneoplásicos como miastenia gravis (30 %), aplasia pura de células rojas (1.6 a 5 %) e hipogammaglobulinemia (6 %). El mecanismo primario implicado en los dos primeros es autoinmune, no así en la hipogammaglobulinemia.3,4 Los timomas más frecuentemente asociados al síndrome de Good son los tipos AB (41.7 %), B2 (25 %) y B1 (12.5 %), de acuerdo con la clasificación de la Organización Mundial de la Salud.5,6
La fisiopatología se desconoce, sin embargo, se ha propuesto que un defecto medular provoca que las células B se detengan en estadio preB, ocasionando disminución en la producción de inmunoglobulinas y alteraciones en las series eritroide y mieloide. Otros hallazgos son la disminución de la interleucina 2 (IL-2), anormalidades de la quimiotaxis y aumento de las células T de memoria activadas.5,6,7
Las manifestaciones clínicas incluyen síntomas secundarios a la compresión ocasionada por el timoma, como tos, disfagia, disfonía o síndrome de vena cava superior, así como infecciones sinopulmonares recurrentes.7,8,9
Las infecciones son causadas en su mayoría por Haemophilus influenzae y Pseudomonas. Citomegalovirus (CMV), Candida, Mycobacterium tuberculosis, herpes virus, toxoplasma, ureaplasma y Pneumocystis jirovecii, se han reportado como parte de las alteraciones celulares que acompañan al síndrome.7,8,9,10
La mitad de los pacientes presenta diarrea crónica, probablemente relacionada con atrofia de las vellosidades o a proceso inflamatorio de causa desconocida; en la mayoría no se identifican los patógenos y cuando se aíslan, el más común es Salmonella sp; otros menos frecuentes son Campylobacter sp y Giardia lamblia. La colangitis esclerosante primaria y colitis ulcerosa podrían explicar la diarrea en algunos pacientes.7,10,11
El síndrome de Good puede relacionarse con autoinmunidad en los primeros 6 años de la presentación (miastenia gravis y aplasia pura de células rojas) hasta en 30 % de los casos, sin embargo, no es frecuente que coexistan 2 o más de estas manifestaciones.8
Los hallazgos hematológicos más comunes son anemia (50 %), aplasia pura de células rojas (35 %), leucopenia (40-50 %), trombocitopenia (20 %) y neutropenia (15 %); solo se ha informado un caso de ausencia de eosinófilos. En menos de 10 % de los pacientes, el síndrome de Good se ha asociado con neoplasias: tumores de células T, gammapatía monoclonal y, raramente, mielodisplasia.4,8,10,11
Solo en 25 % de los casos reportados en la literatura se realizó evaluación inmunológica exhaustiva, en la que los hallazgos más comunes fueron disminución de células B en sangre periférica, linfopenia o leucopenia (46 %), neutropenia aislada (15 %), inversión de la relación CD4/CD8 y respuesta proliferativa anormal a mitógenos.6,8
Se ha asociado a alteraciones en TNFRSF14Bt que codifica la proteína transmembrana TACI (transmembrane activator and CAML interactor), también presente en la inmunodeficiencia común variable, lo que sugiere que pudiera tratarse del espectro de la misma enfermedad, sin embargo, el papel de TACI en el síndrome de Good aún está en debate.11
La Sociedad Europea de Inmunodeficiencias, propone como criterios la presencia de timoma más hipogammaglobulinemia (disminución de IgG, al menos 2 desviaciones estándar para la edad), sin embargo, ante la sospecha diagnóstica se deberá solicitar biometría hemática, inmunoglobulinas séricas, subpoblación de linfocitos T (CD3, CD4, CD8) y linfocitos B.6,8,11
El tratamiento consiste en la realización de timectomía, considerada con el mejor indicador pronóstico para miastenia gravis y aplasia pura de células rojas, no así para las alteraciones inmunológicas, las cuales pueden persistir o desarrollarse aún después de la timectomía.10,11
La sustitución con inmunoglobulina intravenosa (IgIV) controla las infecciones hasta en 38 %, disminuye los días de hospitalización y el uso de antibióticos. La dosis recomendada es de 400 mg/kg mensuales, semejante a la utilizada como reemplazo para otras inmunodeficiencias humorales.9,10,11
El pronóstico del síndrome de Good es peor comparado con el de la inmunodeficiencia común variable, probablemente por el número de infecciones, comorbilidades hematológicas, autoinmunes y la evolución del timoma; es más grave en los pacientes que requieren inmunosupresores por enfermedades autoinmunes asociadas. La mortalidad es de 30 y 70 % a los 5 y 10 años, con una mortalidad global del 46 %.6,7,8,9,10,11
A continuación se describe el caso de una paciente, con presentación clínica secundaria a síntomas compresivos del timoma.
Debido a la variabilidad de presentación, es necesario considerar el síndrome de Good ante cualquier timoma, incluso posterior a la timectomía en pacientes con infecciones sinopulmonares recurrentes.
Caso clínico
Mujer de 49 años de edad con carga genética para diabetes e hipertensión arterial sistémica; padres sin consanguinidad. Amigdalectomizada y antecedente de 2 cesáreas. Su padecimiento se inició con edema de miembros inferiores, sin predominio de horario, no doloroso y ascendente; vómito posprandial de contenido alimentario, disfagia inicialmente a líquidos y posteriormente a sólidos, cuadros alternados de diarrea crónica y constipación y pérdida ponderal de 15 kg en 4 meses. Fue valorada inicialmente por un médico particular quien solicitó endoscopia con hallazgos de esofagitis A de los Ángeles, linitis plástica en antro y cuerpo, con resultado histopatológico de gastritis crónica con metaplasia intestinal asociada a Helicobacter pylori.
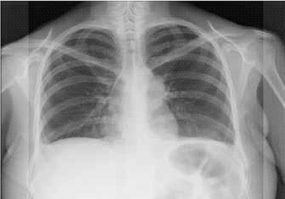
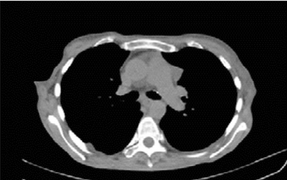
La paciente fue enviada 5 meses después a gastroenterología para descartar cáncer gástrico. Como parte del protocolo prequirúrgico para la realización de endoscopia se observó ensanchamiento mediastinal en la telerradiografía de tórax (Figura 1). El reporte histopatológico de la biopsia de estómago fue atrofia, engrosamiento de la capa muscular e infiltrado linfoplasmocitario, sin cambios compatibles con cáncer. En la tomografía toracoabdominal (Figura 2) se confirmó la tumoración en mediastino anterior. Fue sometida a toracotomía, donde se identificó un tumor mediastinal anterior de 8 a 10 cm, clasificado como timoma B1, con invasión a pericardio parietal y rama pulmonar izquierda.

Figura 1 Telerradiografía de tórax. Ensachamiento mediastinal como hallazgo para evaluación preoperatoria.

Figura 2 Tomografía axial computarizada de tórax. Tumoración mediastinal anterior, con discreto derrame pleural derecho.
Se interconsultó al Servicio de Inmunología Cínica y Alergia por hipogammaglobulinemia; se confirmó síndrome de Good por evolución clínica y hallazgos paraclínicos: CD16+CD56+ 122 cel/µL, CD19 77 cel/µL, CD3 2052 cel/µL, CD4 977 cel/ µL, CD8 998 cel/µL, relación CD4/CD8 0.98; panel viral para hepatitis C, B y VIH; IgG 349 mg/dL, IgA 70.3 mg/dL, IgM 37.1 mg/dL, Ca125 631 UI/ mL, leucocitos 7890 mm3 , hemoglobina 13.2 g/dL, hematócrito 40.4 %, linfocitos 2060 mm3 , neutrófilos 5380 mm3 , eosinófilos 1 mm3 , basófilos 30 mm3 (Cuadro 1).

Se observa hipogammaglobulinemia y disminución de linfocitos B con pérdida de la relación CD4/CD8
Cuadro 1 Resultados de los exámenes paraclínicos de la primera valoración
Se comenzó tratamiento con inmunoglobulina intravenosa a dosis inmunorreguladora de 1 g/kg de peso cada 15 días durante el primer mes y posteriormente cada 3 semanas, con evolución clínica y bioquímica favorable; se alcanzó la meta de reemplazo (625 mg/dL) en la tercera dosis de gammaglobulina intravenosa (Figura 3).

Figura 3 Controles mensuales de IgG sérica antes y después del diagnóstico. La flecha señala el primer control tras dos administraciones de gammaglobulina intravenosa.
Secundario al hallazgo del Ca125 elevado, la paciente fue sometida a múltiples procedimientos invasivos para descartar cáncer ovárico, no obstante, todos fueron negativos a malignidad, incluyendo el reporte histopatológico de ovario obtenido mediante ooferectomía. Durante su hospitalización, de aproximadamente 3 meses, presentó neumonía asociada a cuidados de la salud, que ameritó ajuste de la dosis de gammaglobulina. La paciente falleció 4 meses después por complicaciones cardiovasculares.
Discusión
Se han reportado más de 150 casos de síndrome de Good, todos con una gran variabilidad clínica e inmunológica que dificulta la sospecha diagnóstica. En el caso de la paciente descrita, sus manifestaciones iniciaron en la quinta década de la vida, como se indica en la literatura, con manifestaciones secundarias a la compresión del timoma.
El vómito y la disfagia asociados con pérdida de peso obligaron a descartar neoplasia gástrica. El diagnóstico de timoma precedió al de inmunodeficiencia, lo cual sucede en 42 % de los casos, con un intervalo de 3 meses a 18 años; en 37 % se establece el diagnóstico simultáneo y en el resto se realiza por autopsia.6 Pasaron 4 meses desde el ingreso hospitalario y la primera valoración por el Servicio de Inmunología Clínica y Alergia, ya que la hipogammaglobulinemia inicialmente se relacionó con desnutrición secundaria a la pérdida ponderal y a la hipoalbuminemia; antes también se descartó insuficiencia hepática o proteinuria. La paciente negó el antecedente de infecciones recurrentes previas y durante su hospitalización solo presentó un cuadro de neumonía intrahospitalaria sin complicaciones ni germen aislado.
El síndrome de Good es una inmunodeficiencia que se considera combinada, ya que predispone a infecciones sinopulmonares similares a la agammaglobulinemia ligada al cromosoma X o a inmunodeficiencia común variable, pero con las características de presentación en la edad adulta e infecciones oportunistas observadas por infección del virus de inmunodeficiencia humana, secundarias a inmunodeficiencia celular.6,8,10 El síndrome de Good se presenta con niveles bajos de células B, inversión del cociente C4/D8 e hipogammaglobulinemia, hallazgos presentes en la paciente. Siempre se deben descartar neoplasias hematológicas, infección por virus de inmunodeficiencia humana, enfermedad reumatológica y uso de antiepilépticos, terapia biológica e inmunosupresores. La paciente fue sometida a aspirado de médula ósea y valoración hematológica que descartó estas posibilidades; los anticuerpos para lupus eritematoso sistémico (LES) y vasculitis fueron negativos.
Los timomas se relacionan con hipogammaglobulinemia en 6 a 11 %; por su parte, la hipogammaglobulinemia se asocia con timoma en 6 %.1,6,8,11 El timoma B1 es el tercero más frecuentemente asociado con el síndrome de Good. En la paciente se descartó miastenia gravis y aplasia pura de células rojas. Aunque es poco común la existencia de 2 síndromes paratímicos, se han reportado 12 casos en la literatura; la asociación más común es timoma, hipogammaglobulinemia y aplasia pura de células rojas.
El tratamiento consiste en la realización de timectomía, con o sin radioterapia de acuerdo al estadio, y reemplazo con inmunoglobulina. En pacientes con autoinmunidad deberá considerarse el uso de inmunosupresores. Otros tratamientos como el uso de plasmaféresis, factor estimulante de colonias y esplenectomía son anecdóticos y deberán evaluarse siempre en el contexto de cada paciente
Conclusiones
A pesar de la variabilidad clínica del síndrome de Good, deberá sospecharse como parte de las manifestaciones extratímicas del timoma. La presencia de infecciones recurrentes con gérmenes comunes u oportunistas, autoinmunidad o cáncer deberá alertarnos de la presencia de una inmunodeficiencia, sin importar el grupo de edad. Una biometría hemática y la determinación de inmunoglobulinas son suficientes para referir al paciente con el inmunólogo, quien valorará el conteo de subpoblaciones de linfocitos T, B o respuestas a antígenos polisacáridos.









nueva página del texto (beta)


