Introducción
Dentro de las alteraciones dentales y esqueléticas, que podemos encontrar en los pacientes (Angle, 1899), la clasificación de variaciones son Clase I, II, III, basándose inicialmente a la relación de los primeros molares, y que con el tiempo observaron que un Paciente Clase III presentaba la mandíbula más a mesial con relación al maxilar, y así consiguieron dar una definición aún más clara definiendo así la Clase III como una avance desproporcionado de la mandíbula o un crecimiento deficiente de la maxila.
Apoyando dicha definición, Tweed (1966) clasificó las malas oclusiones Clase III como pseudo Clase III categoría A, cuando la mandíbula se presenta convencional, y categoría B cuando son mandíbulas grandes o el maxilar superior se encuentra poco desarrollado. Por otro lado, Moyers (1988) mencionó que a la Clase III, la podemos clasificar también según la causa del problema; es decir si esta es causada por un problema óseo, muscular o dental, enfatizando la necesidad de evaluar a nuestros pacientes en relación céntrica para diagnosticar si no existe algún punto de contacto alto que desplace la mandíbula anteriormente y que origine un reflejo neuromuscular anterior que provoque esta alteración (Ngan & Moon, 2015); estas alteraciones esqueléticas se consideran como las más complejas de diagnosticar y tratar según un estudio actual realizado por (Lombardo., et al, 2020).
Según la OMS, este tipo de alteraciones ocupan el tercer lugar después de la caries dental y la periodontitis (Mato., et al, 2016). Su incidencia varía entre los diferentes grupos étnicos con un porcentaje del 0 al 26% a nivel Mundial (Escalona., et al, 2011), (Hardy., et al, 2012).
En un estudio de Ngan & Moon (2015) encontraron que las pseudoclases III se encuentran principalmente en la dentición decidua y mixta con un porcentaje del 60 a 70% en niños de 8 a 12 años. En un estudio actual encontraron que el retrognatismo maxilar es tan frecuente como el prognatismo mandibular en un porcentaje del 32 al 63% (Ozbilen., et al, 2019). Por consiguiente, podemos encontrar individuos Clase III, que pueden tener problemas tanto esqueletales como dentoalveolares; es decir, pueden ser el resultado de prognatismos mandibular con maxila normal, o hipoplasia maxilar con mandíbula normal, o una combinación de los dos (Uribe, 2010). La clase III por retrognatismo maxilar podemos definirla como la falta de crecimiento naso maxilar, que da lugar a una relación máxilo mandibular de clase III, lo que provoca diversas alteraciones estéticas y funcionales, siendo la más frecuente en la mayor parte de los pacientes.
Cuando realizamos el estudio cefalométrico, evaluamos correctamente la posición mandibular y maxilar y sus tamaños con respecto a la base del cráneo, con el fin de confirmar el diagnóstico de una mal oclusión de Clase III, así como poder planificar si es un paciente quirúrgico o no-quirúrgico (Mato., et al, 2016); por lo tanto, podemos mencionar que las características cefalométricas más comunes que encontramos en estos pacientes son: ángulo de SNA disminuido, ángulo ANB negativo mayor a 5°, longitud maxilar efectiva (McNamara) disminuida, el punto A ubicado por detrás de la línea N perpendicular al plano de Frankfort, incisivos inferiores con retro inclinación, disminuyendo el ángulo de los incisivos al plano mandibular (Mato., et al, 2016), (Yelampalli & Rachala, 2012).
Al hablar sobre los Factores etiológicos, podemos mencionar, que las causas que lo provocan son multifactoriales; es decir, pueden ser por factores congénitos o hereditarios, los cuales actualmente se muestran como una de las causas principales dentro de su etiología (Otero., et al, 2014), (Yelampalli & Rachala, 2012); (Ngan & Moon, 2015). Por otro lado, encontramos factores adquiridos como síndromes como la acromegalia, el síndrome de Marfan, y el síndrome androgenital (Escalona., et al, 2011); factores ambientales como hábitos, así como, factores funcionales, donde encontramos a pacientes con amigdalitis recurrentes, agrandamiento de amígdalas, respiradores bucales crónicos que presentan un crecimiento posterior de la mandíbula, lengua anormal (baja, aplanada y deprimida), alteraciones endócrinas, postura, trauma y obstrucción nasal (El-Gheriani., et al, 2003), y por último, factores locales donde encontramos: interferencias oclusales, perdida de dientes deciduos prematuramente, agenesia dental, hipoplasia maxilar, así como dientes supernumerarios en la mandíbula que provoca un mayor tamaño del arco inferior en relación con su homólogo superior (Escalona., et al, 2011), (Rabie & Gu, 2000).
Sabiendo la complejidad y la prevalencia de estas alteraciones, varios autores comenzaron a tratar de diferentes maneras a estos pacientes. Ngan & Moon (2015) mencionan la evolución del tratamiento ortopédico mencionando que Fauchard fue el primero en describir el primer arco de expansión en forma de herradura unido a los dientes, luego fue modificado por Bourdet utilizando la ortodoncia lingual para expandir los arcos. Hunter mencionó principios claros de ortopedia para expandir los huesos, diferenciando lo que es hueso y dientes. Fox trató específicamente pacientes con irregularidades dentales a través de arcos de expansión.
Por otro lado, Kneisel, et al. (1999) utilizó una barbilla removible para tratar pacientes con pronóstico mandibular. Angell (1899), como principal investigador de la expansión maxilar por medio de la apertura de la sutura bimaxilar, mostró una previsión en la diferenciación entre mal posiciones dentofaciales. Por consiguiente, los efectos esqueléticos y dentoalveolares en este tipo de pacientes que presentan retrognatismo maxilar han sido ampliamente estudiados por la literatura (Sayunsu., et al, 2006), (Franchi., et al, 2014).
Según Ngan (2006), uno de los limitantes para no tratar de forma temprana estos pacientes, se basa en la falta de predicción de crecimiento mandibular, y por el contrario, el autor recomienda tratar lo más temprano posible a estos pacientes, ya que así evitamos los efectos irreversibles de los tejidos blandos o cambios en los tejidos óseos, ya que una mordida cruzada anterior produce desgates anormales de los incisivos inferiores, así como recesiones gingivales. También podemos mencionar que el crecimiento mandibular excesivo provoca compensaciones dentales, por lo que mientras más temprano tratemos sea con máscaras o mentoneras, evitaremos dichas compensaciones, incluso en muchos casos leves o moderados tratados a tiempo podemos evitar las cirugías ortognáticas.
Otro aspecto importante que mencionar es el aspecto psicológico del paciente, ya que mejoramos su posición labial y mejoramos sus características faciales, por lo que el paciente se sentirá más seguro y estable al verse bien físicamente. Por otro lado, Escalona., et al, (2011) recomienda tratar según las edades de los pacientes: tratamiento preventivo en niños de 4-7 años con dentición decidua con el objetivo de desarrollar tridimensionalmente los maxilares y así evitar hábitos que perjudican en su desarrollo; tratamientos interoceptivos en niños de 7 a 10 años con dentición mixta, con el objetivo de neutralizar la matriz funcional y obtener una guía incisal adecuada y modificar el crecimiento; tratamiento correctivo, niños de 10 a 12 años en dentición permanente, con el objetivo de aprovechar los espacios, posicionar correctamente los primeros molares y evitar erupciones ectópicas.
Expansión maxilar y la máscara facial
Oppenheim (1994) propuso por primera vez el avance maxilar en lugar de la inhibición mandibular usando mentoneras y aparatos fijos con ligas para tratar pacientes con clase III, así como Kettle & Burnapp (1955), que usaron mentoneras y ligas en pacientes con labio leporino y paladar hendido, pero fue hasta Delaire (1976) incorporó un soporte para la frente y un arco interlabial para la fijación de elásticos, favoreciendo las investigaciones realizadas por Haas (1970), que mencionó que la expansión maxilar junto a la tracción maxilar hace que el maxilar avance y caiga verticalmente, rotando la mandíbula hacia abajo y hacia atrás, obteniendo un efecto favorable en la corrección tanto esquelética como de tejidos blandos (Ngan & Moon, 2015).
Después, Petit realizó algunas modificaciones que cambio el concepto de Delaire al cambiar la forma del marco de alambre que une las superficies de anclaje, así como intensificó la magnitud de la fuerza generada por el aparato, lo que permitió reducir el tiempo de tratamiento (Bishara & Ziaja, 1989) y (Hernández & Padilla, 2011). Luego (McNamara, 1987), introdujo el uso de un aparato de expansión adherida con cobertura oclusal de acrílico (férula adherida) para la protracción maxilar, en conjunto al uso de la Máscara en pacientes con deficiencia maxilar, demostrando buenos resultados de compensación y estabilidad ósea.
Independiente del tipo de métodos de expansión que se use para la expansión rápida, sean estos convencionales (hyrax, hass), como los protocolos alternativos de expansión y constricción rápida de la maxila, mostraron resultados con éxito (Liu., et al, 2021). Específicamente, los aparatos de expansión comúnmente utilizados en casos de protracción maxilar en edades tempranas son tipo Hyrax o tipo Hass, las cuales están soldados a bandas o incluidos en una férula adherida que tiene 2-3 mm de acrílico sobre las superficies oclusales y bucales de los dientes, permitiendo mayor retención, aumentando también la retención y anclaje de la máscara facial, lo que permite controlar la dimensión vertical durante la expansión (Bishara & Ziaja, 1989), (Hernández & Padilla, 2011).
Al evaluar los efectos de expansión generados, algunos autores consiguieron determinar que la maxila podría avanzar hacia adelante entre 2 a 4 mm, no en tanto, conforme avanza la edad la fuerza de tracción disminuye, así, algunos trabajos mencionan que la cantidad de movimiento hacia delante de la maxila, está relacionado directamente con la expansión maxilar producida, la que permite a su vez, el aumento de las vías aéreas (Ngan & Moon, 2015), así como la desprogramación oclusal posterior y la proclinación de los incisivos superiores. Por consiguiente, el tratamiento de estos pacientes con el uso de máscara facial y expansión, producen el movimiento mesial de los molares, inclinación de los incisivos, rotación mandibular en sentido antihorario y constricción maxilar la cual permite una reconstrucción sutural donde se observa la remodelación esquelética activa, ya que estas suturas circunmaxilares se debilitan y se abren repentinamente (Guatam., et al, 2009). Las suturas que se ven afectadas son las suturas frontomaxilar, nasomaxilar, citomático temporal, cigomático maxilar, pterigo palatina, intermaxilar, etmoido maxilar y lacrimo maxilar, mejorando aún más sus resultados al combinarlo con el uso de la máscara facial (Hernández & Padilla, 2011).
Es importante mencionar, que si tenemos pacientes que no presenten atresia maxilar, es necesario sí hacer las activaciones de expansión con un protocolo de activación y desactivación del tornillo disyuntor con el objetivo de romper las suturas palatinas, activando 1 mm al día durante 1 semana y luego se desactivará de igual manera 1 mm al día durante la otra semana, repitiendo el proceso por 7 a 9 semanas, así no expandimos de forma excesiva el maxilar, pero si facilitamos su desplazamiento (Escalona., et al, 2011).
La máscara de Protracción o de Petit, posee dos superficies de anclaje, en la frente y en el mentón, las cuales se unen por un alambre grueso a nivel de la línea media del paciente, este aparato se activa al aplicar la fuerza ejercida por los elásticos sobre el aparato intraoral, mientras se empuja de forma recíproca la mandíbula y la frente a través del anclaje de la máscara facial (Hernández & Padilla, 2011).
Con relación a las fuerzas adecuadas para usar con este tipo de aparatos, los autores recomiendan que esta sea la más baja con la menor duración con el objetivo de producir el mayor movimiento esquelético y menor movimiento dental, así recomiendan que sean fuerzas entre 180 a 800 g por cada lado, con una dirección del vector de fuerza paralelo al plano oclusal o con angulaciones de 20 a 30 grados por debajo del plano oclusal, con un uso de 12 a 14 horas diarias (Escalona., et al, 2011). Dentro del mismo contexto, se estudió la dirección de la fuerza aplicada sobre la máscara por un estudio realizado por Keles, et al. (2002), donde todos los pacientes fueron tratados con máscara y expansión, la diferencia entre los grupos fue que en el grupo 1 la dirección de la fuerza fue de adelante y hacia abajo con un ángulo de 30° con respecto al plano oclusal y el grupo 2 la fuerza se aplicó 20 mm por encima del plano oclusal, usando en los dos grupos fuerza de tracción de 500gr de fuerza de cada lado con un uso de 16 horas durante los primeros 3 meses y de 12 horas durante los próximos 3 meses, como resultados encontraron que los dos fueron efectivos para la prolongación maxilar; sin embargo, en el grupo 1 la maxila avanzó más hacia adelante con rotación mandibular a diferencia del grupo 2 que no avanzó la mandíbula; los efectos dentales también mostraron variantes en los dos grupos, en el grupo 1 el plano oclusal del maxilar no roto, pero sus incisivos superiores se encontraron inclinados, en comparación al grupo 2 que sí rotó en sentido anti horario.
Varios estudios han investigado los efectos a largo plazo ocasionados por la expansión rápida de la maxila y el uso de la máscara facial, donde encontramos a Westwood., et al. (2003) que encontraron que los niños que fueron sometidos a este tipo de tratamiento a largo plazo presentaban cambios esqueléticos favorables, incluso en el periodo de estiramiento puberal, por lo que los autores recomiendan una sobre corrección de Clase III a una Clase II para permitir una sobremordida horizontal y vertical positiva a largo plazo. Otro estudio con el mismo protocolo de expansión rápida y uso de máscara en un control postratamiento de 8 años, encontraron que en un 70% de los pacientes se mantuvieron estables; con relación al plano sagital se mantuvo igual con relación al grupo control, pero lo que si cambio fue la altura facial inferior y el plano mandibular que se vieron aumentados en los pacientes control y pacientes que no usaron o hicieron el tratamiento adecuado (Ngan., et al, 1997); (Hagg., et al, 2003).
Por otro lado, encontramos que los efectos de este aparato se resumen en adelantamiento del maxilar en un 31% (entre 3 a 5 mm), con rotación antihoraria del mismo, rotación abajo y atrás de la mandíbula en un 21%, vestibularización de incisivos superiores en un 28% y lingualización de incisivos inferiores en un 20% (Escalona., et al, 2011).
Desarrollo
Materiales y métodos
Después de realizar el examen clínico, anamnesis, y análisis del estudio de Ortodoncia, se escogieron 3 pacientes con edades entre 3 a 8 años, que presentaban las siguientes características: dentición decidua y mixta, perfil cóncavo, tipo morfológico mesofacial, deglutición y fonación normal, con buena higiene y respiración bucales, así como clase III esquelética con deficiencia maxilar y mordida cruzada anterior.
Dentro del protocolo a tratar, se realizó en los tres pacientes la instalación de un disyuntor tipo Hass modificado con ganchos a nivel de los caninos, iniciando el tratamiento con 4 activaciones en consultorio y se encaminó a realizar 2 activaciones diarias por alrededor de 2 semanas. A continuación, el disyuntor se inmoviliza y se instala la Máscara de Petit conectado al disyuntor por medio de ligas de elastómero extrabucales hacia los ganchos del disyuntor con 500gr de fuerza a cada lado, con un uso de por lo menos 12 a 14 horas diarias, en donde el uso del mismo será continuo por alrededor de 6 meses y después se cambiará para uso nocturno. Al finalizar el tratamiento, los pacientes presentaron la corrección del problema esquelético, con un obverjet positivo y con una relación adecuada de los maxilares.

Autor: María Gabriela Flores Bracho. Fuente: Historia Clínica de M. C. M. H. 6 años. 04-2010.
Figura 1. Fotos de frente y perfil.

Autor: María Gabriela Flores Bracho. Fuente: Historia Clínica de M. C. M. H. 6 años. 04- 2010
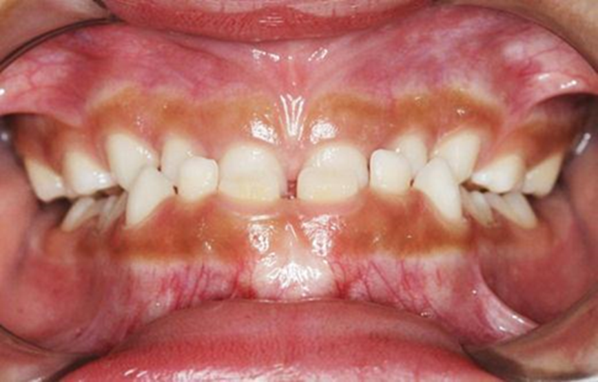
Figura 2. Foto intrabucal. Vista frontal.

Autor: María Gabriela Flores Bracho. Fuente: Historia Clínica de M. C. M. H. 6 años. 04-2010.
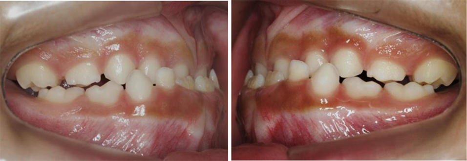
Figura 3. Fotos intrabucales. Vista lateral.

Autor: María Gabriela Flores Bracho. Fuente: Historia Clínica de M. C. M. H. 6 años. 04-2010.
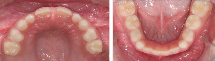
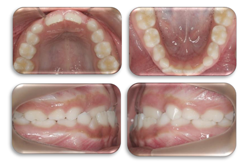
Figura 4. Fotos intrabucales. vista oclusal superior e inferior.

Autor: María Gabriela Flores Bracho. Fuente: Historia Clínica de M. C. M. H. 6 años. 04- 2010
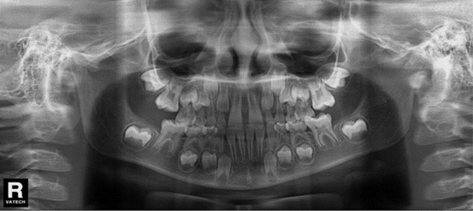
Figura 5. Radiografía panorámica.

Autor: María Gabriela Flores Bracho. Fuente: Historia Clínica de M. C. M. H. 6 años. 04- 2010
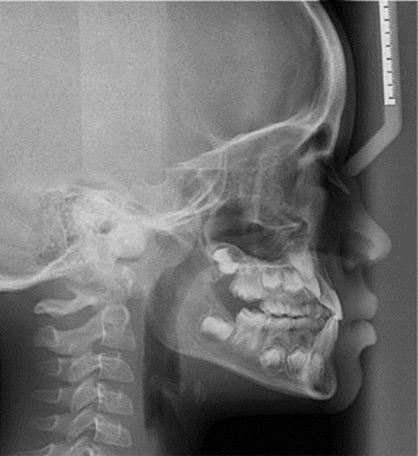
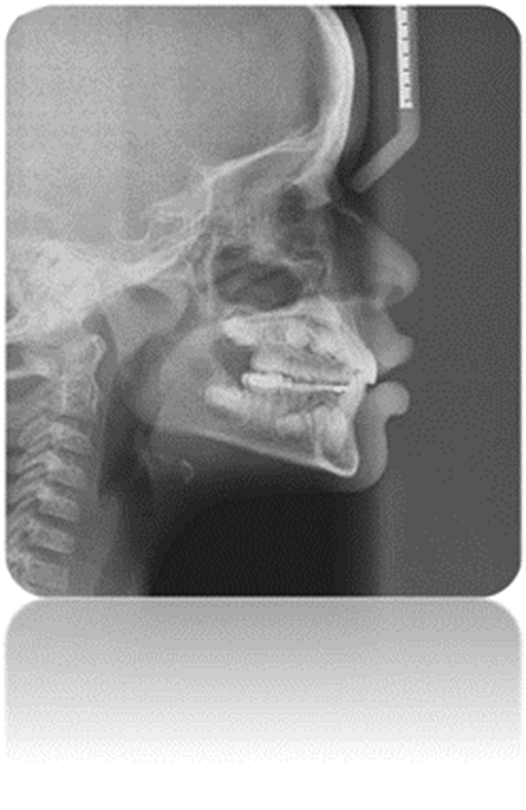
Figura 6. Radiografía de perfil o lateral.

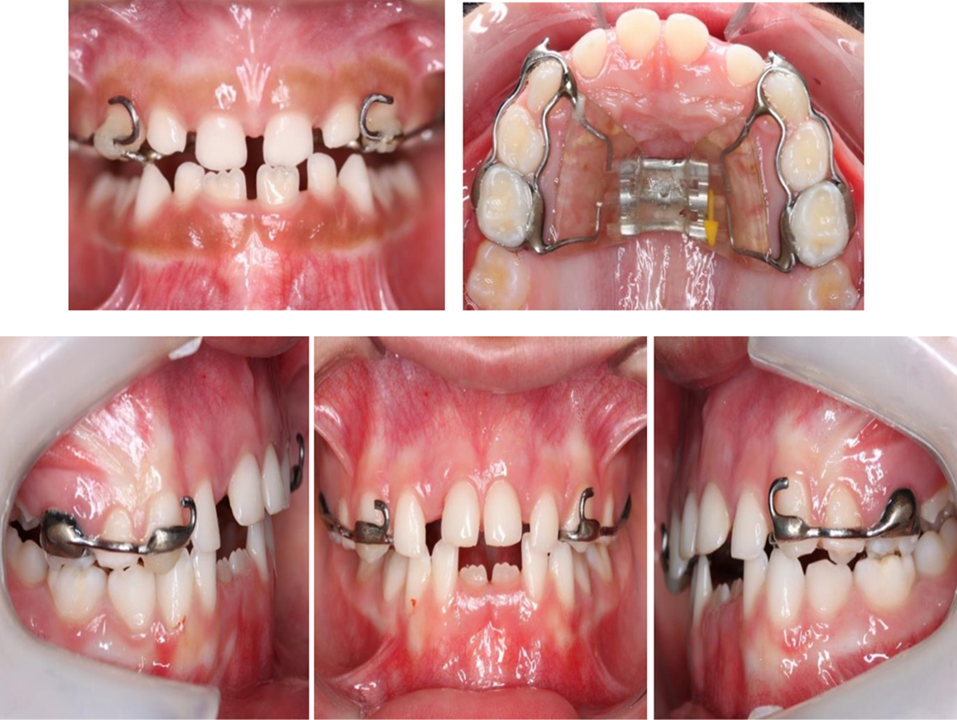
Autor: María Gabriela Flores Bracho. Fuente: Historia Clínica de M. C. M. H. 6 años. 04- 2010. Paciente con aparato encapsulado cementado en boca, fijado con acrílico en el sector del tornillo para inmovilizarlo después de la expansión rápida. Se observa diastemas en zona central que nos muestra la separación de la sutura media pos ERM y mejora en la relación de overjet.
Figura 7. Fotos intrabucales. Pos-expansión rápida de la maxila con aparato tipo Hass modificado.

Autor: María Gabriela Flores Bracho. Fuente: Historia Clínica de M. C. M. H. - 7 años, 09-2011
Figura 8. Fotos extrabucales postratamiento.

Autor: María Gabriela Flores Bracho. Fuente: Historia Clínica de M. C. M. H. - 7 años, 09-2011
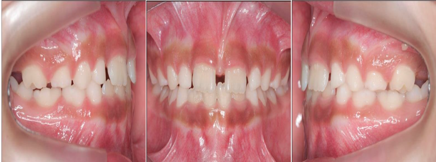
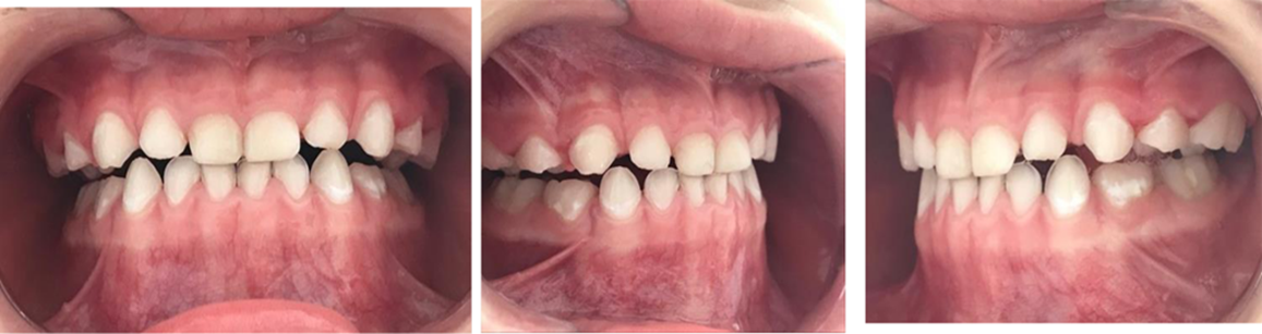
Figura 9. Fotos intrabucales postratamiento. Vista frontal y perfil.

Autor: María Gabriela Flores Bracho. Fuente: Historia Clínica de M. C. M. H. - 7 años, 09-2011.
Figura 10. Fotos intrabucales postratamiento. Vista oclusal.

Autor: María Gabriela Flores Bracho. Fuente: Historia Clínica de M. C. M. H. - 7 años, 09-2011
Figura 11. Radiografía panorámica. Pos-tratamiento.

Autor: María Gabriela Flores Bracho. Fuente: Historia Clínica de M. C. M. H. - 7 años, 09-2011.
Figura 12. Radiografía de perfil postratamiento.

Autor: María Gabriela Flores Bracho. Fuente: Historia Clínica de M. C. M. H. - 7 años, 09-2011.
Figura 13. Análisis cefalométrico en las tres fases del tratamiento.
Figura 14. Análisis cefalométrico en las tres fases del tratamiento.
| Puntos Cefalométricos | Norma | Início | Intermédio. |
|---|---|---|---|
| SNA | 82º | 76º | 77º |
| SNB | 80º | 78º | 77º |
| ANB | 2º | -2º | 0 |
| SNGoGn | 32º | 27º | 29º |
| SNGn | 67º | 60º | 62º |
| Eixo Facial | 90º | 90º | 87º |
| 1.NA | 22º | 5º | 23º |
| 1-NA | 4 mm | 3 mm | 4 mm |
| 1.NB | 25º | 15º | 14º |
| 1-NB | 4 mm | 1,5 mm | 2 mm |
| LS-Linha S | 0 | 0 | 0 |
| LI- Linha S | 0 | +3,5 mm | +2 mm |
Autor: María Gabriela Flores Bracho. Fuente: Historia Clínica de M. C. M. H. - 7 años, 09-2011

Autor: María Gabriela Flores Bracho. Fuente: Historia Clínica de M. C. M. H. - 7 años, 09-2011
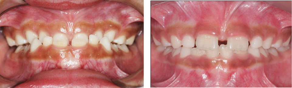
Figura 15. Fotos del antes y del después. Vista intrabucal de frente.

Autor: María Gabriela Flores Bracho. Fuente: Historia Clínica de J.I.F.A 7 años. 2012
Figura 16. Fotos de frente y perfil.

Autor: María Gabriela Flores Bracho. Fuente: Historia Clínica de J.I.F.A 7 años. 2012. Paciente con overjet de 4 mm, overbite de -1 mm, clase 1 Molares y caninos.
Figura 17. Fotos intrabucales.
| Puntos Cefalométricos | Norma | Início | ||||
|---|---|---|---|---|---|---|
| SNA | 82º | 75º | ||||
| SNB | 80º | 77º | ||||
| ANB | 2º | -2º | ||||
| SNGoGn | 32º | 35º | ||||
| SNGn | 67º | 67º | ||||
| Eixo Facial | 90º | 92º | ||||
| 1.NA | 22º | 13º | ||||
| 1-NA | 4 mm | 2 mm | ||||
| 1.NB | 25º | 127º | ||||
| 1-NB | 4 mm | 5 mm | ||||
| LS- Linha S | 0 | 1,5 mm | ||||
| LI- Linha S | 0 | 1,5 mm | ||||
Autor: María Gabriela Flores Bracho. Fuente: Historia Clínica de J.I.F.A 7 años. 2012. Paciente con overjet de 4 mm, overbite de -1 mm, clase 1 Molares y caninos.

Autor: María Gabriela Flores Bracho. Fuente: Historia Clínica de J.I.F.A 7 años. 2014.
Paciente con overjet de 2,5 mm, overbite de 3 mm. Control post 16 meses.
Figura 19. Fotos intrabucales post tratamiento.

Autor: María Gabriela Flores Bracho. Fuente: Historia Clínica de J.I.F.A 7 años. 2014.
Paciente con overjet de 2,5 mm, overbite de 3 mm. Control post 16 meses.
Figura 20. Radiografía de perfil post tratamiento.

Autor: María Gabriela Flores Bracho. Fuente: Historia Clínica R.O. 4 años. 2017. Paciente con mordida cruzada anterior, clase I molar y caninos
Figura 21. Fotografías de frente y perfil.

Autor: María Gabriela Flores Bracho. Fuente: Historia Clínica R.O. 4 años. 2017. Paciente con mordida cruzada anterior, clase I molar y caninos, desvio de. Línea media.
Figura 22. Fotografías intrabucales.

Autor: María Gabriela Flores Bracho. Fuente: Historia Clínica R.O. 4 años. 2017. Paciente con oberjet positivo después de 6 meses del aparato, con aumento de la dimensión vertical y con corrección de desvío de Línea media.
Figura 23. Fotos extrabucales post tratamiento.

Autor: María Gabriela Flores Bracho. Fuente: Historia Clínica R.O. 4 años. 2017. Paciente con oberjet positivo después de 6 meses del aparato, con aumento de la dimensión vertical y con corrección de desvío de Línea media, clase I molar y caninos.
Figura 24. Fotos intrabucales post tratamiento.

Autor: María Gabriela Flores Bracho. Fuente: Historia Clínica R.O. 4 años. 2017
A. Paciente con mordida cruzada anterior, con disminución de la altura vertical inferior.
B. Paciente con obverjet positivo con aumento de la dimensión vertical y con corrección de desvío de Línea media, clase I molar y caninos.
Figura 25. Fotos extrabucales del antes y después del tratamiento.
Discusión del caso
Según Ngan (2006) menciona, que debemos tratar a los pacientes Clase III con mordida cruzada anterior lo más temprano posible antes de los 9 años (dentición mixta temprana), para evitar efectos irreversibles de los tejidos blandos o cambios en los tejidos óseos, tratando a los pacientes en la fase de crecimiento. Por otro lado, otros mencionan que la edad no tiene resultados insignificantes en el tratamiento, así como Merwin., et al. (1997) y Sung., et al. (1998) que no encontraron resultados significativos en pacientes que usaron la máscara antes o después de los 8 años de edad. En nuestro estudio, los pacientes que fueron seleccionados para presentar estos casos clínicos fueron ya tratados desde su primera consulta cuando diagnosticamos su problema, con el objetivo de tratar lo más pronto posible esta mordida cruzada anterior y así evitar que su crecimiento armónico se vea afectado.
Con relación al tratamiento de usar expansión rápida de la maxila junto con la Macara Facial, observamos muchos autores como (Hass, 1970), quien fue quien realizó la expansión rápida de la maxila junto al uso de la Máscara por primera vez, el cual observó mejores resultados de tracción maxilar, así también encontramos a (McNamara, 1987), quien aplicó la misma técnica en pacientes con deficiencia maxilar, demostrando buenos resultados de compensación y estabilidad ósea. Otros como Baccetti., et al. (1998), también atendieron pacientes de forma temprana, y encontraron los mismos resultados.
Por otro lado, Keles., et at. (2002) observó es su estudio donde evaluaba que dirección de fuerza era más efectiva para la tracción maxilar, encontró que independiente que esta sea aplicada por encima o por debajo del plano oclusal, los dos efectos fueron efectivos; sin embargo, en el grupo donde la fuerza se aplicó por encima del plano oclusal, la maxila avanzó más hacia adelante con rotación mandibular a diferencia del otro grupo que no avanzo la mandíbula. De acuerdo a estas consecuencias positivas, nuestros pacientes fueron tratados con expansión rápida de la maxila, como primera instancia con 4 activaciones iniciales y 2 activaciones diarias por 7 a 14 días con aparatos fijos en boca sean este tipo Hass o Hyrax. Después de asegurarnos a través de radiografías oclusal superior la abertura de la sutura bipalatina y el espacio en boca entre los dos incisivos centrales, comenzamos el uso de la máscara facial de Petit con un tiempo de 12 a 14 horas días con 500gr de fuerza a cada lado, con una dirección de 30 grados por encima del plano oclusal, con este protocolo observamos que los pacientes consiguieron avanzar la maxila, compensando y mejorando su armonía facial.
Si hablamos sobre los resultados que se puede conseguir con este tipo de protocolos de tratamiento, Ngan & Moon (2015) determinaron que la maxila podría avanzar hacia adelante entre 2 a 4 mm, no en tanto, conforme avanza la edad, la fuerza de tracción disminuye; otro autor como Lombardo., et al. (2020) mencionan que la cantidad de movimiento hacia delante de la maxila, está relacionado directamente con la expansión maxilar producida, la que permite a su vez, el aumento de las vías aéreas, así como la desprogramación oclusal posterior y la proclinación de los incisivos superiores; por lo tanto, en nuestro estudio observamos que los pacientes mejoraron su clase molar, la inclinación de lo incisivos no se vio afectada por lo que se permaneció estable, pero si observamos la rotación mandibular con aumento de la altura vertical, mejorando el aspecto facial de los pacientes.
En relación a los efectos a largo plazo en pacientes que fueron sometidos a tratamientos ortopédicos en la dentición mixta, encontramos a Westwood., et al. (2003) que encontró que los niños que fueron sometidos a este tipo de tratamiento a largo plazo presentaban cambios esqueléticos favorables, incluso en el periodo de estiramiento puberal, por lo que los autores recomendaron una sobre corrección de clase III a una Clase II para permitir una sobremordida horizontal y vertical positiva a largo plazo.
Otro estudio de Hagg, et al. (2003), con el mismo protocolo de expansión rápida y uso de máscara en un control postratamiento de 8 años, encontraron que en un 70% de los pacientes se mantuvieron estables, con relación al plano sagital se mantuvo igual con relación al grupo control, pero lo que si cambio fue la altura facial inferior y el plano mandibular que se vieron aumentados en los pacientes control y pacientes que no usaron o hicieron el tratamiento adecuado. En nuestros pacientes al realizar controles post tratamientos de 8, 12 y 24 meses, observamos estabilidad en la expansión maxilar y aumento de la dimensión vertical inferior.
Conclusiones
Se determinan como conclusiones que:
- Es importante realizar un diagnóstico adecuado y precoz a niños que presentan estas alteraciones, con el objetivo de diferenciar las mal oclusiones de Clase III de origen esqueletal, dental o funcional.
- El tratamiento de expansión rápida de la maxila, en conjunto con el uso de la Máscara Facial, nos permite un mayor desplazamiento anterior de la maxila y nos permite también redireccionar la mandíbula hacia arriba y adelante en sentido antihorario.
- La necesidad de mejorar las características estéticas de niños que presentan mordida cruzada anterior nos obliga a realizar un tratamiento terapéutico lo más temprano posible, ya en la dentición mixta, con el objetivo de evitar alteraciones en el crecimiento y desarrollo tanto esquelético como de tejidos blando.
Recomendaciones
En la actualidad, la existencia de los mini-implantes nos permite realizar tratamientos antes limitados, al combinar estos expansores esqueléticos con la protracción maxilar con la mascarilla facial, se observó que la magnitud de protracción fue mucho mayor, casi igual que la conseguida con la expansión quirúrgica; por lo que recomendamos, implementar en nuestros tratamientos, las expansiones rápidas con el uso de mini implantes.










nueva página del texto (beta)



