Introducción
Antecedentes
Como parte de los trabajos de conservación en el Taller de Conservación de Bienes Arqueológicos de la Coordinación Nacional de Conservación del Patrimonio Cultural (CNCPC) del Instituto Nacional de Antropología e Historia (INAH), durante el periodo de 2013 a 2016 se realizaron tratamientos de conservación a una colección de seis vasijas compuesta por tres ollas y tres apaxtles, todos de gran formato,1 que son parte de los hallazgos de 2005 del proyecto arqueológico de la zona arqueológica El Tigre, Campeche.
Las seis vasijas se encontraron fragmentadas por completo debido a la presión del suelo durante el enterramiento. Uno de los deterioros que presentaron, en algunos casos más acentuado que en otros, fue la falta de cohesión en su estructura, la que se manifestó como una alta disgregación que dificultaba la unión de fragmentos, por lo que fue necesario el uso de la petrografía tanto para conocer la composición mineralógica como para determinar las diferencias entre la cerámica y, con ello, comprender los efectos del deterioro. Esto posibilitó llevar a cabo tratamientos de conservación que favorecieron la preservación de la colección. En este trabajo se presentan los resultados del estudio petrográfico.
La petrografía se ha utilizado en intervenciones de conservación para el análisis de bienes arqueológicos de origen mineral; tal es el caso del estuco, la piedra y la cerámica (López-Ortega 1999; López-Ortega et al. 2015, 2016). Los resultados obtenidos mediante dicha técnica han sido relevantes para la comprensión y la caracterización de la composición mineralógica, y de sus alteraciones presentes en cada caso, motivo por el cual se han convertido en una herramienta de uso frecuente en el Taller de Conservación de Bienes Arqueológicos de la CNCPC.
La cerámica que nos ocupa procede de la zona arqueológica denominada en la actualidad como El Tigre, sitio que se ubica al suroeste del estado de Campeche (Figura 1a), cercano a los límites con Tabasco y Guatemala, dentro de la provincia chontal Acalan, la cual tiene, además de un territorio con autonomía política, una cabecera bien identificada en las fuentes históricas como Itzamkanac (Vargas 2013: 26). Los arqueólogos han registrado alrededor de 1700 estructuras en todo el sitio, de las cuales se identifican casas habitación, templos y diversos elementos arquitectónicos (Vargas 2013: 124). Se cree que la importancia del sitio se dio durante el Clásico terminal (750-1050 d.C.) y que fue al final de esta etapa cuando se documentaron las migraciones de los diferentes grupos a Yucatán y Guatemala. También durante el Preclásico superior (300 a.C.-300 d.C.) se han encontrado restos muy significativos que demuestran una ocupación densa en la región, con un comercio que debió ser ya de gran importancia (Vargas 2013: 39).

Figura 1a Localización de las plataformas 4H y 1E dentro de la zona arqueológica El Tigre, así como del material arqueológico estudiado. 1b. Exploración de la olla en la plataforma 4H. 1c. Exploración de vasijas en la plataforma 1E. En ambas localidades la disgregación del material es notable (Composición: Víctor M. Dávila, 2018; mapa y fotografías cortesía de Ernesto Vargas, Instituto de Investigaciones Estéticas [IIA-UNAM]).
Dentro de la zona arqueológica El Tigre, siguiendo la nomenclatura establecida por Vargas (2013), centraremos nuestra atención en las plataformas 4H y 1E, ya que en estas estructuras se localizó el material cerámico en estudio (Figura 1a).
El frente de la plataforma 4H tiene varios detalles arquitectónicos característicos del estilo Río Bec, una pequeña banqueta, moldura y muro recto que conformaba la fachada del edificio.
La plataforma 4H presenta un diseño único, que consta de una base de bloques de sascab, con una hilera de piedras o bloques cuadrados, que tiene intercalados cuatro conjuntos de tamborcillos; sobre el muro presenta una ceja y después una última hilera de bloques cuadrados, también de sascab. La cronología de este estilo y de la plataforma es del Clásico terminal. Son varios los ejemplos del estilo Río Bec que se tienen en el sitio arqueológico El Tigre: baste recordar el palacio habitacional en la estructura 1, que es el mejor ejemplo que se tiene, mientras que en la misma explanada de la estructura 4 se tienen las plataformas 4B y 4H; esta última presenta en general esos detalles distintivos y los únicos tamborcillos encontrados.
Al centro del cuarto 2 de la plataforma 4H (Figura 1b) se exploró una gran olla con un apaxtle como tapa en su interior. Durante la excavación se encontró una gran cantidad de piedras alrededor de la olla: se hallaron las más grandes en su lado este y las de menor tamaño hacia el oeste (al parecer se colocaron intencionalmente para proteger la ofrenda).
La plataforma 1E, rectangular, se encuentra entre el juego de pelota y la estructura 1. Su orientación es hacia el este, y presenta dos escalones para subir a la parte superior. Se hizo un pozo estratigráfico con la intención de buscar su posible cronología; por los materiales que se vieron durante las exploraciones se pensaba que se trataba de una plataforma del Posclásico. Al bajar se hallaron los primeros bordes cerámicos muy grandes, y a medida que se amplió la excavación aparecieron otras vasijas: en total, siete de diferentes tamaños. Estas vasijas estaban protegidas por piedras que se colocaron a su alrededor. La primera olla es de gran tamaño, con decoración al pastillaje de círculos; al lado apareció otra de forma y decoración muy similares, pero de menor tamaño. Ambos recipientes parecían, como en otros casos descritos, estar protegidos por grandes piedras dispuestas a su alrededor; no se concluyó con la totalidad de la excavación (Figura 1c).
De la plataforma 4H proceden la olla TG252 y el apaxtle TG253, mientras que de la plataforma 1E (Figura 1a) provienen dos ollas: TG254 y TG255, y dos apaxtles: TG256 y TG 257; cabe hacer la aclaración de que el apaxtle TG256 fue el único que durante los tratamientos de conservación resultó completo, a pesar de estar fragmentado, por lo que no existió muestra disponible para su análisis petrográfico (López-Ortega et al. 2016).
La región donde se ubica la zona arqueológica, en el actual municipio de Candelaria, cuenta con un clima cálido húmedo y cálido subhúmedo tropical, con lluvias en verano. La máxima oscilación absoluta encontrada en la temperatura anual es de 25 °C. La precipitación en la región de Candelaria es de aproximadamente 1 700 mm, que abarca el periodo de mayo a diciembre, con mayor frecuencia en los meses de septiembre y octubre (INAFED 2010).
De acuerdo con el Servicio Geológico Mexicano (2005), la zona arqueológica El Tigre se sitúa sobre calizas y margas terciarias (Eoceno), dentro de una estructura mayor de disolución (Polje de Salsipuedes), cuyo origen es la disolución y colapso de calizas. Dicho proceso se inicia con estructuras menores denominadas dolinas, las cuales van creciendo en diámetro hasta unirse unas con otras y formar una estructura mayor como la de Salsipuedes. A dicha zona arqueológica la bordean depósitos fluviales del río Candelaria.
Si consideramos la información mencionada anteriormente, advertiremos que la cerámica estuvo en un contexto de enterramiento bastante húmedo, además de encontrarse cercana a las márgenes de un río, lo que explica por qué la cerámica presentó pérdida de cohesión en su estructura. En tal ambiente de variaciones en el contexto de enterramiento, ha tenido frecuentes incrementos y decrementos en la humedad, lo que modificó las características físicas y la composición mineralógica de la cerámica. A esto hay que agregar el periodo de almacenamiento previo a los trabajos de conservación.
Características y deterioro de la cerámica
Como parte del estudio del deterioro, y con el fin de comprender la composición y las alteraciones presentes en la cerámica, se diagnosticó el estado de conservación de dicha colección, incluido el análisis petrográfico de muestras representativas de las vasijas.
En cuanto al estado de conservación de las vasijas, se encontraron fragmentadas, aunque prácticamente completas, con excepción de la olla TG255, con faltante aproximado de 10%, y el apaxtle TG257, con faltante de 20%. Antes de someter la superficie de los fragmentos de cerámica a procesos de conservación, presentaba tierra de contexto y concreciones salinas, principalmente de carbonatos.
En las seis vasijas se identificaron fracturas y abrasiones, algunas de ellas originadas durante el enterramiento y otras recientes, ocasionadas por la superposición y roce de los fragmentos entre sí en el interior de las bolsas y durante su almacenamiento. Uno de los deterioros más importantes que presentaron las vasijas, en algunos casos más acentuado que en otros, fue la falta de cohesión en su estructura; esto, relacionado muy probablemente por las variaciones de humedad durante el contexto de enterramiento. La falta de cohesión se manifestó como disgregación que durante el proceso de conservación impedía la unión de fragmentos de las piezas.
En particular, la olla TG252 y el apaxtle TG253 presentaron mejor cohesión, aunque tenían fragilidad en su estructura, la cual, sin embargo, no se trataba de una disgregación generalizada. Es importante mencionar que estas dos vasijas proceden de la plataforma 4H (Figura 1a).
Al observar macroscópicamente la olla TG254, se identificaron desgrasantes de color negro, los cuales en algunas zonas estaban desgastados y en otras se habían perdido completamente, dejando pequeños espacios vacíos (Figura 2), siendo más notorios en la parte interna de la olla. Para la identificación de dichos desgrasantes y la interpretación de esta alteración, la petrografía, que se discute más adelante, fue de gran utilidad.

Figura 2 Detalle donde se aprecia la abundancia de partículas negras vítreas y la porosidad generada por el desprendimiento de dichas partículas al alterarse (Fotografía: Julio César Martínez, 2016; cortesía: Coordinación Nacional de Conservación del Patrimonio Cultural [CNCPC-INAH], México).
En cuanto a la olla TG255 y el apaxtle TG 256, presentaron falta de cohesión, lo que generaba mayor fragilidad y favorecía la fragmentación de los elementos. En cuanto a este apaxtle, se observaron en microscopio óptico desgrasantes de color blanco translúcido, con una distribución homogénea; si bien el número de estos elementos es mayor en comparación con la olla TG255, son de menor tamaño.
El apaxtle TG257 fue el elemento con mayor problema de disgregación de la colección. Al observar la cerámica con microscopio óptico digital (Zipscope, 200x) se determinó que ese tipo de alteración estaba relacionado con el alto porcentaje de desgrasantes, en comparación con la escasez de material de origen arcilloso que los contenía, circunstancia que no favorecía la cohesión (Figura 3).

Figura 3 Fragmento de apaxtle 257 mostrando abundancia de desgrasantes respecto de la matriz de minerales arcillosos (Fotografía: Teresita López, 2016; cortesía: Coordinación Nacional de Conservación del Patrimonio Cultural [CNCPC-INAH], México).
Metodología
Aprovechando pequeños fragmentos (de 0.5 a 1cm) sin ubicación precisa, pero pertenecientes a la cerámica en estudio, se seleccionaron las muestras TG252, 253 y 254 como representativas de la colección. Las muestras2 se enviaron al laboratorio (Peralta Salazar 2014) para la elaboración de secciones delgadas y su análisis petrográfico.
En la muestra TG254, al asociar las partículas negras con algunas oquedades se encontraron en el fondo relictos de material negro similar, por lo que se decidió volver a estudiar las láminas en busca de dichas partículas negras y su clasificación mineralógica. Paralelamente, se descubrió que el material estudiado involucraba una olla más y su apaxtle, por lo que se elaboraron sus correspondientes secciones delgadas (TG255 y 257), esta vez sin cubreobjetos, lo que permitió teñirlas con alizarina roja tipo S, y detectar la posible presencia de varios carbonatos y evaluar su abundancia.
El objeto del estudio petrográfico de nueve secciones delgadas fue identificar los minerales principales y definir sus rasgos particulares. Tal estudio se llevó a cabo en un microscopio petrográfico Leica modelo DMPL con cámara Olympus DP-20 del Laboratorio de Microscopios Francisco J. Fabregat del Instituto de Geología de la Universidad Nacional Autónoma de México (UNAM). Las fotografías (TG252 y TG253) marcadas con un asterisco se tomaron con un microscopio Axiolab Pol de la marca Zeiss y son parte del estudio realizado por Petroanálisis.
Hay que hacer notar que no se contó con una muestra para el análisis petrográfico de la vasija TG256 puesto que estaba muy completa, de manera que se estudió únicamente con microscopio binocular.
Resultados del análisis petrográfico
Por medio de la petrografía se puede decir de manera general que las piezas TG252 y TG253 están conformadas por material arcilloso-calcáreo, y coincidimos con Petroanálisis en que es similar a lodo calcáreo, en el cual están incluidos desgrasantes predominantemente calcáreos, constituidos por fragmentos de cristales de calcita, así como de caliza con cantidades menores de cuarzo. Dentro del material arcillo-calcáreo que sirve de matriz existen diseminados óxidos de hierro y minerales opacos.
Es interesante mencionar que dichas muestras, procedentes de la plataforma 4H, exhiben ante el microscopio óptico una matriz cerámica compacta, con desgrasantes pequeños, distribuidos de forma regular, lo que quizá favoreció la mejor cohesión de los materiales. Petrográficamente se pudo constatar una homogeneidad composicional (70-80% de carbonato de calcio) y textural (desgrasantes tamaño arena fina). También hay que destacar la afinidad química existente entre desgrasantes y matriz, la cual debió impartir una mayor resistencia a la meteorización.
Sin embargo, al caracterizar y asociar el deterioro de algunos constituyentes fue necesario volver a estudiar las láminas, encontrándose algunas diferencias en los desgrasantes dominantes, permitiendo separar las muestras en tres grupos:
Muestras procedentes de la plataforma 4H (TG252 y 253) con riqueza de matriz arcillo-calcárea semejante a lodo calcáreo, donde flotan abundantes fragmentos de calcita y, en menor proporción, de caliza. La muestra TG252 (Figura 4) exhibe un mayor contenido de hidróxido de hierro (limonita), que le imparte un color en tonalidades pardo rojizas.
Muestra procedente de la plataforma 1E (TG254), que, además de contener fragmentos de calcita y líticos calcáreos, resultó muy singular por su contenido de vidrio (partículas volcánicas, piroclásticas) y escaso feldespato, disminuyendo la cantidad de matriz de color verdoso (posiblemente, cloritas).
Finalmente, las muestras procedentes de la plataforma anterior, pero de la capa II, están constituidas por fragmentos de calcita como componente principal, donde desaparece el otro componente calcáreo (fragmentos de caliza) reportado en otras piezas. Las diferencias encontradas entre las dos muestras estudiadas (TG255-TG257) fueron una granulometría mayor en la olla TG255, la cual exhibía una pobreza de matriz, lo que le impartía una mayor fragilidad respecto del apaxtle TG257. En la Figura 5 se muestran los porcentajes estimados de los constituyentes de las piezas cerámicas estudiadas.

Plataforma 4H
Figura 4 Microfotografía de muestra TG252 con luz natural (A). Campo de la muestra en el que se aprecia la matriz arcillo-calcárea con hidróxidos y escasos óxidos de hierro. El desgrasante predominantemente de calcita espática y fragmentos líticos de caliza micrítica. (B) Mismo campo que la anterior, ahora con luz polarizada (Fotomicrografías de campos representativos tomadas de Peralta Salazar, 2014. Objetivo de 2.5x; cortesía: Coordinación Nacional de Conservación del Patrimonio Cultural [CNCPC-INAH], México).

Figura 5 Cantidades de desgrasantes, matriz y porosidad en las muestras estudiadas, expresadas en porcentajes. Cal = calcita, FRc = fragmentos de roca caliza, C = cuarzo, Fel = feldespato, Fe = óxidos de hierro, Mop = minerales opacos, V = vidrio, Núm. = número de muestra: en cursiva = dato de este estudio; en redondas = dato Petroanálisis (Tabla: Víctor M. Dávila, 2018; cortesía: Instituto de Geología [IG-UNAM], México).
En una inspección megascópica de la olla TG254 se apreció que la pieza posee oquedades que varían en tamaños entre 0.5 y 5 mm de diámetro, y es frecuente encontrar fragmentos negros en el fondo de ellas (Figura 6). Por esta razón se procedió a identificar y caracterizar dichos fragmentos en secciones delgadas.

Figura 6 Acercamiento de uno de los fragmentos de la olla TG254 donde se aprecian fragmentos negros vítreos, algunos en bajorrelieve, otros como oquedades dejadas al perderse estos clastos, provocando una porosidad secundaria en dicha pieza de cerámica (Fotografía: Julio César Martínez, 2016; cortesía: Coordinación Nacional de Conservación del Patrimonio Cultural [CNCPC-INAH], México).
En ellas se determinó que se elaboró con una pasta cerámica rica en material arcilloso enriquecido en limonita (hidróxido de hierro) y algo de hematita (óxido férrico), mientras que los desgrasantes incluidos en dicho material son calcita espática, líticos calcáreos, líticos volcánicos vítreos, cuarzo y escaso feldespato. Los líticos vítreos corresponden a las partículas negras detectadas megascópicamente y son un material amorfo sensible a recristalización y reemplazos, por lo que el estudio se enfocó en estos últimos constituyentes, además de que esta olla presentaba la mayor debilidad, como se demostrará más adelante.
La muestra TG254 fue clave para este estudio, ya que solamente en ella se encontraron líticos volcánicos vítreos. En sección delgada y bajo luz polarizada, este tipo de líticos son amorfos, por lo que no presentan ningún color de interferencia y aparecen como manchas oscuras, siendo difícil su detección entre la matriz de tonalidades también oscuras (Figura 8). Algunos de ellos muestran en sus límites bordes de alteración (B), producto del proceso de recristalización a minerales arcillosos. En las siguientes imágenes se documenta dicho proceso, al igual que la pérdida parcial (o total) del material vítreo alterado que ocupaba la periferia (Figuras 7 y 8) de dichos clastos. Este proceso de pérdida llega a provocar la caída de los líticos vítreos aún sin alterar (núcleo), con la consecuente aparición de una oquedad en su lugar.

Figuras 7 y 8 Microfotografías en luz natural (arriba) y luz polarizada (abajo) de un fragmento de la muestra TG254 en la cual es perceptible un fragmento de roca volcánica vítrea (Lvv) con borde de alteración (B); internamente exhibe huellas de alteración (b), espacio vacío relleno de medio de montaje (E); al exterior de él, formando parte de los desgrasantes, calcita espática (Ca) y cuarzo (Q). En ocasiones fue posible documentar (misma figura al centro) vidrio alterado (La) reemplazado parcialmente por calcita (Care). Ambas microfotografías, tomadas con objetivo 4x (Microfotografías: Víctor M. Dávila, 2014; cortesía: Instituto de Geología [IG-UNAM], México).
Al observar este tipo de líticos con luz natural es posible apreciar más fácilmente el espacio vacío (E) que frecuentemente los rodea (Figura 7), así como una ligera alteración interna en tonalidades parduzcas (b). El desprendimiento de estos líticos vítreos se reconoce como poros que conservan en sus bordes restos de material arcilloso de alteración.
Una variante de la alteración interna es aquella selectiva, mostrada en las Figuras 7 y 8 y expresada como bloques de color negro (Lvv) rodeados de partículas finas de color blanco (b), producto de recristalización del vidrio. Alrededor del lítico, su borde de alteración (B), en ocasiones con pérdida parcial o total de él (mismas figuras, E). La matriz (M) es rica en limonita, donde flotan fragmentos de cuarzo (Q), calcita y raro feldespato, todo en tamaño de arena fina.
En las microfotografías de las Figuras 7 y 8 se ilustra un fragmento de roca volcánica vítrea (Lvv) de 1.5 mm con borde de alteración (B) con huellas de recristalización interna (b). Formando parte de los desgrasantes, encontramos calcita espática (Ca) y cuarzo (Q). En ocasiones fue posible documentar (Figura 8 al centro, ligeramente a la derecha) vidrio alterado (La) reemplazado parcialmente por calcita (Care).
El análisis de estos clastos vítreos resulta importante debido a que no se localizaron muestras similares en el resto de elementos cerámicos estudiados; es de hacerse notar que una de las principales causas de alteración de la parte interna de la olla TG254 consiste en orificios -observables a simple vista- que se originaron al perderse tales elementos vítreos (Figura 2).
Las muestras TG255 y 257 también proceden de la plataforma 1E, aunque de la capa número II, lo cual marca la diferencia, ya que su mineralogía está dominada por fragmentos de cristales de calcita.
En la muestra TG255 son tan abundantes los fragmentos de calcita que llegan a formar 75% de los desgrasantes; en algunos de ellos se observan estructuras radiales secundarias, como aquellas de carbonatos estalactíticos. Existen también partículas opacas que corresponden a óxido e hidróxido de hierro (hematita o limonita): con luz condensada se logran observar relictos de líticos posiblemente volcánicos, siendo frecuente su ocurrencia. La matriz en la que flotan dichos desgrasantes no es calcárea, sino de naturaleza arcillosa, lo cual se confirmó por medio de la técnica de tinción de carbonatos con alizarina roja, gracias a lo cual se observó que sólo los fragmentos de calcita se tiñen sin afectar la matriz, rica en hierro, lo que le imparte tonalidades pardo rojizas a las piezas TG255 y TG257.
En la muestra TG255 se encontró que los fragmentos de calcita se presentan en dos granulometrías: calcitas finas (1 a 0.5 mm), 80%, y 2) calcitas gruesas (2 a 4 mm), 14%; además están presentes cuarzo monocristalino, 5%, y cuarzo policristalino, 1%. Todos ellos constituyen el total de los desgrasantes (75%) contenidos en una matriz de cristales muy finos de minerales arcillosos (10%), con una porosidad secundaria de 15% (Figuras 9 y 10).

Plataforma 1E capa II
Figuras 9 y 10. Microfotografías en luz natural (arriba) y luz polarizada (abajo) de la muestra TG255 que exhiben la relación desgrasantes/ matriz. Ca = calcita espática, Q = cuarzo monocristalino, Qp = cuarzo policristalino, Lv = lítico volcánico (?), M = matriz arcillosa. Objetivo 10x (Microfotografías: Víctor M. Dávila, 2014; cortesía: Instituto de Geología [IG-UNAM], México).
Bajo luz polarizada algunas calcitas tienen la particularidad de exhibir una textura relicta muy similar a rocas volcánicas microcristalinas, por lo cual se sospecha que son producto de reemplazo de fragmentos volcánicos.
En la muestra de mano se aprecia que las oquedades corresponden a los fragmentos negros, pero en este caso son óxidos de hierro en forma de pequeños nódulos, tan grandes como 1.5 milímetros.
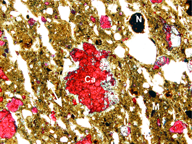
El apaxtle TG257 es una pieza con un poco más de matriz de naturaleza arcillosa, por lo cual también se tiñó con alizarina roja (Figura 11), y está compuesta por fragmentos de calcitas pero de granulometría más fina; calcita de grano grueso (1 a 0.5 mm), 20%, y calcita de grano fino (0.5 a 0.1 mm), 50%, con algo de cuarzo monocristalino, 1% (desgrasantes 71%), todos ellos contenidos en una matriz arcillosa, 27%, la cual presenta rasgos de fluidez alrededor de los clastos de calcita. Se considera que la porosidad original pudo haber sido menor a 1 por ciento.

Figura 11 Microfotografía en luz natural de muestra TG257 teñida con alizarina, donde se puede ver calcita espática (Ca en rojo), nódulo de limonita (N) en margen superior derecho, poros elongados en color blanco y material parduzco conteniéndolos (M); constituye la matriz de naturaleza arcillosa (no hay reacción a la tinción). Nótese ligera orientación (flecha) a lo largo de los poros del material que forma la matriz. Objetivo 10x (Microfotografías: Víctor M. Dávila, 2014; cortesía: Instituto de Geología [IG-UNAM], México).
Conclusiones
La petrografía es una herramienta de apoyo para el análisis mineralógico de la cerámica (Stoltman 2015; Quinn 2013) que permite identificar, analizar y documentar gráficamente la susceptibilidad al deterioro de los minerales presentes y los procesos que han actuado y están deteriorando el objeto en estudio. De esta manera hemos interpretado algunas de las causas de deterioro, como son la falta de cohesión y la pérdida de desgrasantes.
En cuanto a las interrogantes planteadas al inicio de este estudio podemos concluir que:
-
La composición mineralógica en las muestras estudiadas tiene tres variantes, a pesar de tratarse de cerámica procedente de la misma zona arqueológica, aunque de dos plataformas diferentes. Las tres variantes son:
a) Plataforma 4H, predominantemente calcárea. Compuesta por calcitas, fragmentos de caliza y escasos cuarzos, en una matriz arcillo-calcárea que contiene óxido e hidróxido de hierro.
b) Plataforma 1E, fragmentos de calcita y de caliza con componentes volcánicos. Entre estos últimos son más abundantes los fragmentos de vidrio, en menor proporción cuarzo y escaso feldespato. Estos desgrasantes flotan en una matriz de minerales arcillosos.
c) Plataforma 1E, capa II, fragmentos de calcita dominantes, con la presencia de escaso cuarzo. Aunque el muestreo es escaso, podemos plantear como hipótesis de trabajo que las diferencias mencionadas podrían indicar la existencia de una selección de la materia prima para la elaboración de la cerámica, implicando en cada caso un cambio de la fuente de materia prima.
La alteración presente en vasijas se enfocó en la muestra TG254, pues resultó la de mayor impacto, ya que las partículas de vidrio se han alterado en su periferia a minerales arcillosos y la pérdida de este borde de alteración permite la pérdida del núcleo menos alterado. Así, la repetición de este proceso es el responsable del aspecto poroso de la olla TG254.
La técnica de manufactura de los elementos cerámicos fue otro factor que favoreció la pérdida de cohesión. Tal es el caso a la olla TG255 y el apaxtle TG256, cuya falta de cohesión generó mayor fragmentación de los elementos. De igual manera, el apaxtle TG257 mostró tener gran cantidad de desgrasantes, en comparación con la matriz arcillosa, lo que le impartió más fragilidad que al resto de las cerámicas estudiadas en el presente trabajo.
Los desgrasantes y la matriz de las muestras TG252 y 253 se comportaron como los más estables, por su composición más homogénea y afinidad química entre ellos. En suma, el uso de la petrografía como análisis de apoyo para la conservación y la restauración de cerámica fue de gran utilidad para el estudio mineralógico y de la alteración de la colección procedente de la zona arqueológica El Tigre, así como también abre líneas de investigación, como evaluar el comportamiento del consolidante aplicado una vez realizados los tratamientos de conservación.
En pruebas futuras, el método petrográfico podría ser de gran utilidad para evaluar cuantitativamente los procesos de consolidación de la cerámica.










nueva página del texto (beta)


