Introducción
El absceso tiroideo es infrecuente, representa 0.1 a 0.7% de las patologías de tiroides;1 en adultos afecta a pacientes con patologías como la tiroiditis de Hashimoto y el cáncer de tiroides; en niños se asocia a defectos locales anatómicos.2 La glándula tiroides tiene resistencia natural a la infección por ser encapsulada, por su funcionalidad inmunológica y por los efectos bacteriostáticos del yodo. En cuanto a etiología, la tiroiditis infecciosa se asocia a la persistencia del cuarto arco branquial, a infección por contigüidad o a distancia de focos sépticos3 y a complicaciones por iatrogenia e inmunosupresión. En los cultivos microbiológicos la flora encontrada es polimicrobiana, encontrando con mayor frecuencia Staphylococcus aureus, Streptococcus pyogenes y microorganismos gramnegativos de origen en orofaringe. La sintomatología es: fiebre, dolor cervical y odinofagia acompañada de leucocitosis principalmente por polimorfonucleares. La ecografía es un estudio útil como abordaje inicial, siendo la tomografía computarizada más específica. Respecto al tratamiento de inicio, se realiza con antibióticos de manera empírica; es aconsejable la punción-aspiración guiada por ultrasonido y el cultivo de la secreción para orientar el tratamiento antibiótico específico; en aquellos casos con sepsis, la tiroidectomía es de elección. Es una patología que pone en peligro la vida por las posibilidades de que la infección diseque y destruya los tejidos del cuello y se expanda al tórax. Al presentarse un paciente en el que se llegó al diagnóstico de absceso tiroideo, siendo además el primero en la institución a lo largo de 14 años de labores, realizamos esta comunicación.
Presentación del caso
Masculino de 60 años de edad con diabetes mellitus de cinco años de evolución no controlada, sin otros antecedentes, relata presentar fiebre y faringitis de 15 días, acompañada de dolor en cuello, faringe, oído izquierdo y región retroauricular izquierda; manejado por facultativo con AINE y antibiótico no especificado, llegando el dolor a ser intolerable por lo que acude a la institución; a la exploración física: signos vitales normales, fiebre de 38.5 oC; eritema en cara anterolateral izquierda de cuello, dolor intenso en 10/10 en escala visual análoga (EVA 1-10) a la palpación de lóbulo izquierdo de tiroides, con irradiación a cara anterior de tórax, región supraclavicular y oído izquierdos; resto de exploración normal. Se ingresa, los exámenes de laboratorio mostraron: leucocitosis de 27,000/mm3 con 89% de polimorfonucleares, perfil tiroideo normal y glucosa de 320 mg/dL. Se inició antibióticos empíricos con linezolid 600 mg IV BID, meropenem 1 g IV TID, clindamicina 300 mg IV QID y control de glucosa con esquema de insulina. Se efectuó ultrasonido de cuello (Figura 1) encontrando: lesiones hiperecoicas con tendencia a la confluencia, extendidas en y alrededor del lóbulo tiroideo izquierdo. La tomografía computarizada mostró: presencia de burbujas en la glándula tiroides y a través de los tejidos blandos cervicales hacia el mediastino superior (Figuras 2 y 3). El tránsito esofágico con trago de bario no reportó presencia de fístula. A los dos días de su ingreso se encontró aumento de volumen del lóbulo izquierdo de tiroides; se efectuó punción guiada por ultrasonido, extrayendo escaso líquido seropurulento para cultivo con resultado de Staphylococcus aureus, a los seis días de hospitalización los leucocitos descendieron a 11,000/mm3. Después de 14 días de tratamiento, con mejoría clínica del dolor, de la glucemia y disminución de leucocitosis, manteniéndose el perfil tiroideo dentro de límites normales, se solicitó nueva tomografía (Figura 4) que mostró persistencia de absceso, por lo que se programó cirugía, drenando material purulento, postoperatorio sin problema; a un mes de postoperatorio, paciente asintomático, con ultrasonido de control normal al igual que perfil tiroideo.

Figura 1: Imágenes de ultrasonido en corte sagital (A) y axial (B) mostrando múltiples lesiones hiperecoicas tendientes a la confluencia, que se extienden en y alrededor del lóbulo tiroideo izquierdo, correspondiendo a tiroiditis supurativa con formación inicial de absceso tiroideo.

Figura 2: (A) reconstrucción sagital de tomografía axial computarizada. Se observan burbujas de gas en topografía de la glándula tiroides que disecan a través de los tejidos blandos cervicales hacia el mediastino superior posterior a la fascia cervical media. (B) Reconstrucción coronal que revela imagen heterogénea e irregular con extensión mediastinal a través del espacio visceral.

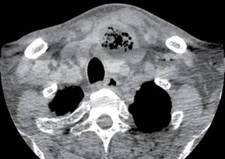
Figura 3: Imagen de tomografía axial computarizada que demuestra colección heterogénea con líquido y gas en el lóbulo tiroides izquierdo, con desplazamientos anterior del istmo y lateral de la tráquea, asociado a aumento de volumen y densidad en los tejidos blandos del opérculo torácico.

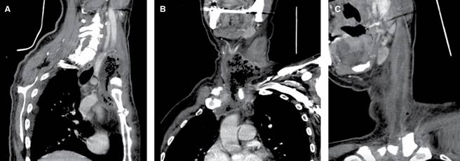
Figura 4: Imágenes de tomografía computarizada de absceso tiroideo. (A) Reconstrucción sagital oblicua, con la extensión retroestenal desplazando la glándula tiroides en sentido posterior. (B) Reconstrucción coronal oblicua mostrando: colección compleja por gas y reforzamiento parietal por el contraste, estando involucrada la articulación esternoclavicular izquierda. (C) Reconstrucción curva, con extensión del absceso a lo largo del músculo esternocleidomastoideo ipsilateral.
Discusión
El absceso primario de tiroides como resultado de tiroiditis supurativa aguda es una infección infrecuente, corresponde al 0.1 a 0.7% de las patologías de tiroides ya que esta glándula es resistente a las infecciones debido a irrigación amplia y buen drenaje linfático, al alto contenido de yodo que tiene efecto bactericida, a ser encapsulada, lo que le permite estar separada de otras estructuras adyacentes, y a la producción de peróxido de hidrógeno intraglandular utilizado para síntesis de hormonas.4 En ciertas situaciones como la presencia de una fístula del seno piriforme, el tiroides es susceptible de infectarse, presentándose en niños (92% de los casos) y adultos jóvenes entre los 20 y 40 años sin diferencia de género.
Clínicamente se caracteriza por el antecedente de infección previa de vías respiratorias altas, la sintomatología incluye: fiebre, dolor faríngeo, edema medial o paramedial anterior de cuello, eritema dérmico de la zona, disfagia, ronquera y limitación de arcos de movimiento cervical; el lóbulo izquierdo de la glándula es más frecuentemente afectado; el laboratorio generalmente muestra leucocitosis, velocidad de sedimentación globular incrementada, el perfil tiroideo normal es lo habitual, pero la tirotoxicosis se ha reportado en 12% de los casos (ya que la destrucción de la glándula por las bacterias libera las hormonas tiroideas) y 17% con hipotiroidismo.5
Los estudios de apoyo en el diagnóstico son: a) El gammagrama tiroideo, que puede ser normal o mostrar un nódulo frío en la zona de formación del absceso, no resultando útil para diferencias entre tiroiditis supurativa y tiroiditis subaguda. b) El ultrasonido detecta la presencia de abscesos intra- y extratiroideos, así como la inflamación de ganglios adyacentes, además de detección de lesiones sólidas y/o quísticas.6 c) La tomografía identifica la localización del absceso y amplitud de la infección.7 d) El paso de un trago de barrio identifica la existencia de fístula del seno piriforme. e) La punción con aguja fina guiada por ultrasonido8 permite diferenciar el absceso de la tiroiditis subaguda, además de obtener muestra bacteriológica para cultivo y poder aplicar el antibiótico de elección. Las bacterias más frecuentemente reportadas son Staphylococcus aureus, Streptococcus pyogenes y microorganismos gramnegativos de origen en orofaringe,9 la infección tuberculosa también ha sido reportada.
El tratamiento de la tiroiditis supurativa y del absceso tiroideo10 incluye hospitalización y antibióticos, el drenaje con catéter percutáneo colocado bajo guía tomográfica es una alternativa segura y menos agresiva que la cirugía, al igual que la quimiocauterización de la fístula; el drenaje quirúrgico puede estar indicado, así como la resolución (si existe) de la fístula, anotando que puede existir recurrencia. Si el absceso no es drenado, la infección puede disecar el cuello y extenderse al tórax, ocasionando mediastinitis, existiendo posibilidad de ruptura del absceso al esófago y/o tráquea. Algunos pacientes pueden presentar destrucción del tiroides con hipotiroidismo subsecuente, por lo que el seguimiento de la función tiroidea debe implementarse.










nueva página del texto (beta)


