Introduction
A gingival recession (GR) is a pathological condition in which the gingiva displaces apical to the cement-enamel junction (CEJ) causing exposure of the root surface.1 The GR is not exclusively associated with inadequate standards of oral hygiene; it is a complex and multifactorial etiology in anatomical, iatrogenic and pathological matters2 and it can decrease the quality of life of the patient due to poor esthetics, dental hypersensitivity and high risk of tooth decay.3
Cairo et al. (2011) classified GR intothree types, according to the assessment of Clinical Attachment Loss (CAL) at both buccal and interproximal sites.4
A thin gingival phenotype can also represent a risk factor for the appearance of GR,5 especially when teeth associated with thin phenotype are or will be exposed to orthodontic movements. When this is the case, it becomes imperative to enhance the preoperative circumstances of the periodontium to avoid that the GR is accentuated.6 In this regard, mucogingival surgical techniques have been proposed, aiming to recover the clinical attachment lossor modifying the phenotype width, reducing the risk of GR appearance.7
Free gingival grafts using the palate as a donor site have been widely used to increase the width of the attached gingiva; however, this procedure usually tends to produce unsightly results and may be associated to postoperative complications, such as bleeding from the donor site and severe patient discomfort due to the grafted palate.8
To reduce these complications, a new minimally invasive technique, called «Minimally Invasive Esthetic Free Gingival Graft» (MIEFGG) has been proposed. This technique consists of a partial thickness flap made on the buccal aspect of the upper molars (donor site) in order to take the graft and place it at the recipient site to modify the phenotype or even to recover the periodontal attachment. MIEFGG requires that the donor site beon the buccal aspect of an upper molar, with a minimum width of 5 mm of keratinized gingiva; the graft’s width should measure at least 1 mm. The technique involves the following indications:9
The coronal incision at the donor site should be placed 2 mm apical to the free gingival margin.
The apical incision at the donor site should be placed slightly coronal to the mucogingival junction.
The graft should be sutured in the recipient site, associated, which needs to be de-epithelized in order to create a vascular bridge.
If there is a frenum associated with the donor or recipientsite, it should be removed to avoid tension.
Indications for MIEFGG include thickening of the gingival phenotype and it is recommended for root coverage procedures too.
This paper presents the case of a female patient treated with MIEFGG who requested a periodontal evaluation before orthodontic treatment, and who expressed esthetical concerns.
Case report
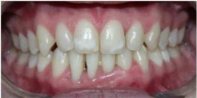
A 24- year-old patient was referred to the periodontist by a general dentist; the main concern of the dentist was the periodontal health of the right mandibular incisors of the patient, since she requested an orthodontic treatment. During the periodontal examination, the lower-left incisors (4.1and 4.2) were diagnosed with Cairo’s RT3 gingival recession, with a thin phenotype, type II mobility, and dental extrusion (Figure 1). The patient was referred to the orthodontist for the latter to evaluate the occlusal trauma and extrusion of the incisors involved. At this point, it was decided to thicken the surrounding gingival phenotype of teeth 4.1 and 4.2 before starting orthodontic therapy.

Figure 1 Initial clinical examination. A remarkable thin phenotype and RT3. sourounding teeth 4.1 and 4.2 is shown. Both teeth were also associated to type II mobility and dental extrusion.
After analyzing the diagnostic records, the patient was presented with the following treatment plan: a periodontal phase I that included plaque control and supragingival scaling, followed by a surgical phase that would involve a gingival graft whose objective was to increase the gingival thickness of the affected incisors.
Regarding the patient’s concern for postoperative esthetical outcomes, the MIEFGG technique was chosen. The buccal aspect of the upper right first molar was selected as the donor site. Written informed consent was obtained from the patient before starting the treatment.
Surgical procedure and MIEFGG
The placement of a wire splint with composite in teeth 4.1 and 4.2 initiated the procedure. After infiltrating local anesthesia (2% lidocaine with epinephrine 1:80,000) the exposed surfaces of the affected incisor roots were planned with a «McCall 13- 14S» curette. At the recipient site, a horizontal incision apical to the keratinized tissue was made with the help of a «Hu-Friedy MB64» micro scalpel (Figure 2A). The lower labial frenum was liberated to release tension and avoid graft from shifting.

Figure 2 A) Incision at the recipient site. A partial thickness flap was designed with a a «Hu-Friedy MB64» micro scalpel in order to create a vascular bed. B) Donor site, located on the buccal aspect of tooth 1.6 after extraction of the partially thick tissue for graftingthrough a rectangular-shaped incision, chosen for this purpose. The integrity of the gingival margin was preserved; C) The graft was de-epithelialized after extraction, measuring 14 × 5 × 1 mm. D) Minimally invasive free gingival graft placed on the recipient site.
Two horizontal incisions were made at the donor site (the buccal aspect of 1.6) using a «15C» scalpel blade. The first one was made 2 mm apical to the free gingival margin. This incision was then connected to a second one, wich was located slightly coronal to the mucogingival junction (Figure 2B), thus giving the graft a rectangular shape (14 × 5 × 1 mm). The graft was then harvested from the donor site, trimmed (Figure 2C), placed on the recipient connective bed and sutured with nylon thread, 6-0 non-resorbable «Atramat»® suture (Figures 2D and 3A).

Figure 3 A) The graft was sutured with nylon thread, 6-0 non-resorbable «Atramat» suture, using a suspensory technique. B) Recipient site two weeks after surgery. Swelling still remains but a thickening of the phenotype and partial coverage of the GR can be noticed; C) Donor site two weeks after surgery, complete recovery of the gingival tissues is shown; D) Donor site five months after surgery. There are no scars or alterations of the surrounding gingival tissues.
The patient was instructed to clean the surgical areas using a 0.12% chlorhexidine mouthwash twice a day for two weeks, and it was remarked the importance of avoiding any contact with both sites, the donor and the recipient, until suture was removed, which occurred 14 days later.
Postsurgical follow up
Postsurgical follow-ups were performedon days 7, 14 (Figure 3B y C), 30, and 150 (Figures 3D and 4). At each appointment, plaque removal at the donor and recipient sites was performed and both width and height of the keratinized gingiva around teeth 4.1 and 4.2 were measured.

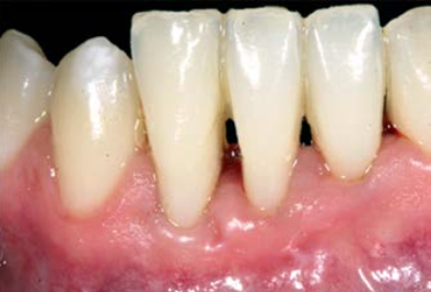
Figure 4 Recipient site five months after surgery. The MIE- FGG is completely blended, achieving an esthetical result. Although GR still remains the phenotype is thickened.
It was determined that gaining was 1 mm for both, width and height; the esthetical outcome was assessed together with the patient, who reported being satisfied with the appearance of the graft and having had no postoperative complications or pain.
Only 14 days after surgery the donor site did appear to be completely healed (Figure 3C) and after five months the graft placed at the recipient site seemed to be well blended with the surrounding gingival tissue (Figure 4) maintaining the width and height gained.
Discussion
Mucogingival therapy involves the augmentation (height and width) of the gingival tissues with the aim of controlling or preventing a gingival recession, facilitating dental hygiene (plaque control), improvingesthetics and reducing hypersensitivity.7 This type of treatment includes free gingival grafts, connective tissue grafts, repositioned flaps, and guided tissue regeneration. The use of any of these techniques can lead to significant clinical improvement; however, selecting the appropriate one depends on a variety of factors related to the defect, the patient’s circumstances, and the technique itself.10
In dental practice, it is essential to improve patient outcomes. The use of a free gingival graft technique is well known for increasing keratinized tissue dimensions and creating a suitable area of attached gingiva. Nevertheless, changes in the graft, such as shrinkage, may occur during the healing period, which can interfere with both esthetics and the expected amount of keratinized tissue.11 Some authors have proposed different techniques to improve both patient’s comfort and outcome after mucogingival surgery, including palatal wound reduction or avoidance, using different harvesting procedures and locations.12
Sullivan and Atkins in 1968 proposed to remove a free gingival graft from the palate between the distal aspects of the canine and the medial aspect of the first molar. At that time, they recommended minimum thickness of 1.5-2 mm.13 The main disadvantage of this technique is the possibility of postoperative complications, which are considerably minimized when using the MIEFGG technique. Shah et al. (2019) analyzed edentulous ridges and retromolar areas (tuberosity or operculum area) as alternative donor sites for gingival grafts, which are comparable to the donor site recommended by the MIEFGG technique.
There are several advantages when it comes to using gingival operculum from an erupting molar as a free gingival graft. For instance, since it does not use the palate as a donor site, there is no risk of incising the greater palatine artery, which reduces the risk of both trans-operatory and post-operatory trauma; in addition, postoperative discomfort is significantly reduced. Another benefit is that the use of the operculum allows a faster healing process at the donor site and shows better blending with the recipient site.14,15 The MIEFGG technique shares these advantages.
Another commonly used donor site for free gingival graft is an edentulous ridge area. According to Windisch et al. (2019), this variation also reduces the risk of trans-operatory complications and postsurgical discomfort but its major disadvantage is that it enables graft hyperplasia and scar formation after the healing period, which leads to lower esthetical outcomes when compared to the MIEFGG technique.16
Overall, it is important to highlight the significant reduction of postoperative discomfort when using an alternative donor site, instead of the palatal area. A study conducted by Wessel et al. (2008)12 reported that grafts removed from the palate were associated with a higher incidence of pain at the donor site during the early postoperative period. Del Pizzo et al. (2002)17 reached similar conclusions, describing postsurgical complications at palatal donor site,during the first seven days after the procedure, in 100% of the subjects treated with free gingival grafts, which is consistent with a previous study proposed by Griffin et al. (2006).18
In addition to the lower postoperative complications of the MIEFGG technique, there is also the esthetical result, since the main disadvantage of palatal free gingival grafts, is the lack of predictability in terms of esthetics. This situation has been explained in terms of the histological differences between the donor and recipient sites. Bertl et al. (2015)19 analyzed the palatal mucosa contains a greater amount of adipose tissue and a lesser amount of dense connective tissue, which creates difficulties to thoroughly blend with the attached gingiva, whereas this is not likely to happen when the donor site is almostidentical to the recipient site.20 Roccuzzo et al. (2002) reported that free gingival grafts from the palate have less chance of success and predictability21 which can be questionable when selecting the appropriate graft technique, especially if the esthetic factor is imperative for the patient.22
Conclusion
Based on the described literature review, it can be concluded that when it comes to enhancing both the esthetical outcomes and reducing patients’ discomfort during the healing period, the MIEFGG technique should be considered. However, since each patient is different, proper case selection and adequate tissue management must be considered critical points for the success of any surgical procedure. In this sense, some authors recommend that randomized controlled clinical trials with large samples should be carried out to prove the effectiveness and applicability of the MIEFGG.23










nueva página del texto (beta)


