INTRODUCCIÓN
Se debe dar especial atención al estado periodontal del paciente adulto porque es más probable que ellos ya hayan experimentado algún tipo de enfermedad periodontal.1),(2
La maloclusión y la posición anormal de los dientes son reconocidos como causas potenciales de la enfermedad periodontal cuando están ocasionando traumatismo oclusal.3 Esto es debido a que el estrés funcional excesivo puede iniciar cambios inflamatorios en el periodonto y por tanto desencadenar el proceso bacterial destructivo.4),(5
Frecuentemente las condiciones periodontales pre-tratamiento de ortodoncia del paciente adulto incluyen defectos infraóseos, furcas involucradas, dehisencias de tejidos blandos y duros, así como cráteres inter-proximales.6 Es preciso aclarar que a pesar del compromiso periodontal, se ha demostrado que el tratamiento ortodóncico ya no es una contraindicación en la terapia para la periodontitis severa en el adulto y que incluso puede mejorar las posibilidades de salvar y restaurar la dentición deteriorada.7
Otros estudios han demostrado que el movimiento dental dentro de los defectos óseos, como la extrusión ortodóncica y la inclinación labial de los dientes anteriores puede ser llevada a cabo sin afectar el periodonto de soporte cuando existe un buen control de placa.8)-(12), (9), (10), (11
CONSIDERACIONES BIOMECÁNICAS
En los adultos, la respuesta del tejido a las fuerzas ortodóncicas que incluyen la movilización celular y la conversión de las fibras de colágeno es mucho más lenta que en niños o adolescentes.13 Así mismo, en este tipo de pacientes, las zonas de hialinización se forman más fácilmente del lado de presión cuando se aplica una fuerza ortodóncica, dificultando el movimiento en la dirección que se pretende.14
Por otro lado, se debe recordar que el centro de resistencia de un diente unirradicular se localiza al 40% de la distancia de la cresta alveolar al ápice,15 y el centro de resistencia de un molar sin reducción periodontal está localizado en el área de la furca.16),(17 La localización exacta está influenciada por el largo de la raíz, el nivel marginal de hueso, y las características del ligamento periodontal,18 por lo que en las denticiones periodontalmente comprometidas y la pérdida de hueso alveolar es el resultado de que el centro de resistencia del diente involucrado migre apicalmente, y el efecto completo sobre el diente será más de inclinación que de movimiento en cuerpo.19
La mecanoterapia en adultos debería de involucrar el movimiento en cuerpo puro (translación) lograda con fuerzas ligeras para evitar la sobrecarga del periodonto.20)-(22), (21
Se ha reportado que la reabsorción radicular de uno a tres milímetros se asocia con movimientos de intrusión de los incisivos en pacientes adultos mostrando una pérdida marginal de hueso. Por ende las fuerzas ligeras (entre 5 y 15 g por diente) son recomendadas cuando el periodonto es sano en adultos.23
Sin embargo, la combinación de la intrusión ortodóncica y el tratamiento periodontal han demostrado mejorar las condiciones del periodonto comprometido, sólo si la higiene se mantiene y los tejidos son saludables.24
PRECAUCIONES PARA REALIZAR UN TRATAMIENTO ORTODÓNCICO EN ESTE TIPO DE PACIENTES
Se ha demostrado que la regeneración del ligamento periodontal no ocurre cuando se presenta inflamación en los tejidos periodontales, dicha inflamación debe ser controlada a través del tratamiento periodontal.25 En pacientes con periodontitis activa (bolsas profundas infectadas con placa y sangrado durante el sondeo), el movimiento ortodóncico puede acelerar el proceso de la enfermedad incluso cuando existe una buena higiene.6),(26),(27
Por otro lado, debe considerarse el explicar al paciente las repercusiones positivas en cuanto a su concepto de autoimagen para lograr una actitud que nos permita obtener la máxima cooperación del paciente durante el tratamiento.28
REPORTE DEL CASO
Se presentó al Departamento de Ortodoncia de la División de Estudios de Postgrado e Investigación de la Facultad de Odontología de la UNAM un paciente de género femenino de 30 años de edad, referida por el Departamento de Periodoncia para corregir su maloclusión, sin embargo, refiere: «me mandaron del Departamento de periodoncia para corregir mi mordida, pero me da miedo de que se me caigan los dientes pues siento movilidad». Su historia médica no reportaba ningún antecedente de relevancia, sin embargo su historia clínica dental incluía la remoción quirúrgica de un quiste periodontal que había afectado la integridad pulpar de los incisivos centrales superiores y el lateral superior derecho, teniendo que recurrir al tratamiento endodóncico de esos dientes.
De igual forma se sometió a cirugías periodontales de los 4 sextantes y estuvo bajo tratamiento de control de placa y bolsas por 3 años. El análisis facial indica una retrusión maxilar, líneas medias desviadas en ambas arcadas y perfil Clase III por hipoplasia maxilar corroborada por la depresión malar bilateral; el ángulo nasolabial cerrado que compromete la estética del perfil y la línea de sonrisa negativa no permite que se observe más del 25% de los dientes superiores y la sobreerupción de los incisivos inferiores que producen una exposición de 3 mm (Figura 1).
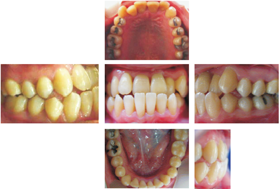
Dentro de su lista de problemas dentales se encontraba la línea media dental desviada en ambas arcadas, retroinclinación de dientes superiores y proinclinación de dientes inferiores aunado al apiñamiento (Figura 2).

Figura 2 Se observa clase III molar izquierda y derecha, clase II canina derecha, clase III canina izquierda, mordida cruzada anterior, línea media desviada dental y mandibular, apiñamiento bimaxilar, retroinclinación de superiores y proinclinación de inferiores.
Bolsas periodontales sin sangrado de 4 a 6 mm en el segmento anterior superior e inferior con pérdida de cresta ósea (Cuadro I y figura 3).

Figura 3 Radiografías periapicales que muestran el pobre nivel de cresta alveolar en los incisivos superiores e inferiores.
El diagnóstico cefalométrico realizado con los análisis de Ricketts, Jaraback, Downs, McNamara, Steiner y el estandarizado para la UNAM, indica que se trata de una maloclusión clase III esqueletal por hipoplasia maxilar, tipo de crecimiento horizontal, perfil retrusivo maxilar, apiñamiento bimaxilar y mordida cruzada anterior (Cuadro II).
OBJETIVOS DEL TRATAMIENTO
Los objetivos se basaron en conseguir una oclusión estable descruzando la mordida y dando las inclinaciones dentales adecuadas para mejorar las condiciones funcionales y por ende establecer un ambiente que favoreciera las condiciones de salud periodontal a largo plazo.
El tratamiento quirúrgico fue contemplado para obtener óptimos resultados y mejorar la estética facial de la paciente, sin embargo esto no tenía relevancia para ella, pues su estado anímico, baja autoestima y su historial dental la llevaron a decidir que no aceptaría los riesgos que conlleva un tratamiento ortodóncico-quirúrgico.
El objetivo inicial se basó en alinear los dientes para eliminar el apiñamiento, descruzar la mordida y buscar una postura mandibular funcional. Posteriormente se daría una forma de arcadas adecuada, corrigiendo líneas medias y mejorando las inclinaciones dentales para finalmente lograr un asentamiento adecuado localizando interferencias oclusales producidas por las discrepancias de desgaste oclusal funcional pretratamiento.
PROGRESO DEL CASO
Se colocaron brackets con prescripción de Roth slot .018 x .025 en la arcada superior e inferior. Se inició la alineación con un arco 0.014 de NiTi cinchado en inferior y libre en superior para dejar que se proinclinaran los incisivos superiores aprovechando la resilencia y el módulo de elasticidad de las nuevas aleaciones que surgen de la combinación de níquel con titanio y que permite una respuesta biológica positiva del tejido periodontal.
Se continuó la secuencia de arcos al mismo tiempo que se usaban ligas de 5/16 ligeras de arriba hacia abajo a nivel de caninos y premolares para ubicar la nueva postura mandibular.
Se mantuvo la distancia entre laterales inferiores por medio de cadena elástica continua. La recolocación de brackets tuvo lugar antes de terminar la alineación y nivelación, esto es a los 8 meses después de iniciado el tratamiento. Se tomaron radiografías periapicales de control para ver los niveles de cresta ósea y el grosor óseo interradicular de los dientes anteriores para realizar un desgaste interproximal y asegurarnos de que las inclinaciones dentales adquirieran un pronóstico de salud funcional y periodontal postratamiento.
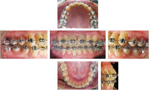
El caso fue revalorado completamente, observándose cambios positivos en las relaciones dentales, esqueletales y parodontales (nivel de crestas alveolares), por lo que se decidió hacer movimientos selectivos con cadenas elásticas continuas para obtener las clases molares y caninas adecuadas (Figura 4 y Cuadro II).

Figura 4 Etapa de revaloración. Relaciones molares en clase I, línea media centrada, clase II canina derecha 1 mm.
Finalmente se asentó el caso usando elásticos de arriba hacia abajo de 1/8 pesados y seccionando los arcos a nivel de premolares y caninos. Se colocaron retenedores fijos anteriores, conjuntamente con placas Hawley superior e inferior.
RESULTADOS DEL CASO
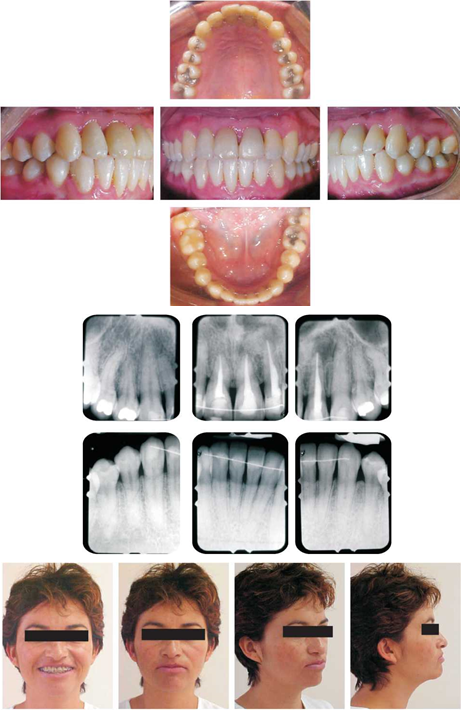
El resultado del caso, obtenido a los 16 meses de tratamiento, en cuanto a las relaciones interdentales se logró obtener una clase I molar y canina, una forma de arcadas correspondientes (ovoidales) y una sobremordida horizontal aceptable.
Periodontalmente la respuesta fue positiva, esto se puede corroborar con el sondeo periodontal obtenido un año postratamiento comparado con el referido pretratamiento (Cuadro I). Por otro lado, al observar las radiografías periapicales pre y postratamiento, es importante notar la remodelación positiva de las crestas óseas, sobre todo a nivel de los dientes anteriores superiores; esto se corrobora con el color rosa pálido de la encía y la ausencia de sangrado y fluido crevicu-lar. En el aspecto facial no se presentaron cambios de importancia; si bien la proquelia superior se esperaba por la proinclinación de los incisivos, la expresión de sonrisa mejoró notablemente (Figura 5). En el sentido cefalométrico se alcanzaron los objetivos esperados considerando que se trató de un caso compensatorio (Cuadro II y figura 6).

Figura 5 Se observan fotografías intraorales con relaciones caninas y molares en Clase I, líneas medias coincidentes y sobremordida vertical y horizontal aceptables, la encía se observa de color rosa pálido y sin sangrado. Las radiografías periapicales demuestran la remodelación positiva de las crestas marginales tanto en dientes superiores como inferiores. Las fotografías extraorales definen la proyección facial final.
DISCUSIÓN
En cierto tipo de maloclusiones, la remoción de placa y el cálculo subgingival en el espacio proximal inaccesible puede fallar, aunque la instrumentación sea muy cuidadosa durante la profilaxis, por lo que la ortodoncia debería enfocarse a corregir el problema periodontal existente.29)-(31), (30
La planeación del tratamiento ortodóncico para cualquier maloclusión debería realizarse determinando el tipo y la secuencia de los procedimientos dentales, ya sea realizando el tratamiento de ortodoncia como parte de un tratamiento integral (mover el diente para mejorar un aspecto en particular de la oclusión de tal manera que se facilite el realizar otros procedimientos dentales que son necesarios para el control de la enfermedad y restaurar la función) o meramente ortodóncico (para resolver la maloclusión).32
Es de capital importancia el mantenimiento de una buena higiene en casos como éste, ya que con un control de placa adecuado, los dientes con reducido soporte periodontal pueden exponerse al movimiento dental exitosamente sin comprometer su situación periodontal.33),(34
Lo anterior se confirma con estudios hechos en animales a los que se ha inducido una reducción periodontal, demostrando que sin placa, las fuerzas ortodóncicas y los movimientos dentales por sí mismos no provocan gingivitis.35),(36
El monitoreo con radiografías periapicales para observar el nivel de crestas óseas durante el tratamiento es vital, pues las pruebas con sonda periodontal podrían alarmar la situación del paciente sin que exista una patología real, esto se fundamenta bajo el principio de que la hiperplasia gingival ha sido reportada después de colocar los aparatos ortodóncicos, lo que puede explicar el incremento en las pruebas de profundidad de bolsa durante el tratamiento.37)-(39), (38
Por otro lado, se debe ser consciente que los patógenos periodontales han sido asociados con la inflamación gingival en el tratamiento ortodóncico y éstos pueden ser reducidos significativamente con la remoción de los aparatos y una profilaxis profesional.40
Además, la nueva arquitectura periodontal después de la realineación dental facilita la higiene oral mejorando las oportunidades del paciente de mantener el reducido pero saludable periodonto.41
Existen preguntas de tipo ético que deberíamos resolver en el tratamiento de pacientes periodontalmente comprometidos, como en los casos de discrepancias esqueletales en los cuales el tratamiento ya sea ortodóncico-quirúrgico y el paciente se encuentra cómodo con su estética o anormalidad y no aceptando un tratamiento quirúrgico. ¿En verdad, se puede pensar en una compensación y dejarlo «lo mejor que se pueda»?, ¿estará en riesgo su estabilidad periodontal?; estas preguntas están hechas para enfatizar la necesidad de estudios cuantitativos adicionales que validen la predictibilidad de la maloclusión como factor etiológico de la enfermedad periodontal. Estos datos podrían resolver dilemas éticos creados por los límites de nuestro actual conocimiento, identificando parámetros más precisos de la ortodoncia como servicio de salud.42
CONCLUSIONES
La ortodoncia en el paciente adulto periodontalmente comprometido, implica consideraciones biomecánicas especiales en las que el uso de fuerzas ligeras y continuas son un punto base para el éxito del tratamiento. Por otro lado, el control de placa y el constante monitoreo del periodonto nos permiten guiar el proceso ortodóncico de la mejor manera. Siempre que se logre obtener una relación interdental adecuada y una estabilidad óseodentaria el pronóstico periodontal será favorable.
Es importante destacar la necesidad del uso de retenedores fijos cementados, que disminuyen el movimiento secundario de estos dientes y permite así obtener un entorno favorable para la acción positiva de los mecanismos de reparación ósea.
Del estudio de los resultados del tratamiento de este caso clínico surge que debemos estar al tanto de los últimos avances en lo referente al desarrollo de los nuevos materiales como las aleaciones que nos ofrecen realizar movimientos biológicos; por otro lado debemos comprometernos con los hallazgos de las ciencias básicas, en particular, todo lo desarrollado en el área de la biología periodontal. Estos nuevos conocimientos son la base de nuestro diagnóstico, pronóstico y plan de tratamiento.










nueva página del texto (beta)






