Introducción
La apendicitis aguda es causa del dolor abdominal, se considera la más común de dolor abdominal bajo y de abdomen agudo quirúrgico, la cual puede progresar hasta perforación y peritonitis.1 Cuenta con una prevalencia de 7% en la población mundial. Su diagnóstico ha sido tradicionalmente clínico, y se ha complementado con estudios de laboratorio y de imagen.2 Por la pandemia actual, al diagnóstico se le ha implementado la realización de tomografía computada torácica (TC) como parte del protocolo de un paciente quirúrgico de urgencia, independiente del diagnóstico abdominal, para descarte de infección por COVID-19.3
La apendicectomía es el tratamiento de elección; el abordaje laparoscópico es el de elección;1 sin embargo, a inicios de la pandemia de COVID-19, se describió un probable incremento del riesgo de contagio para todo el equipo quirúrgico al usar cirugía endoscópica, por la expulsión a presión del gas intracavitario al sacar e introducir instrumental por los puertos (pese a las membranas antifuga que poseen), así como al final del procedimiento al evacuar el gas;4 se considera mayor el riesgo del uso de la laparoscopia en comparación con la cirugía abierta convencional,5 por tal motivo, se ha optado por abordaje abierto en la mayoría de los casos, siguiendo las recomendaciones de laparotomía sobre laparoscopia otorgadas por distintas sociedades quirúrgicas,6-8 a pesar de que se han realizado implementaciones como filtros o modificaciones en la succión, lo cual a futuro beneficiará el uso de la laparoscopia.9
Debido a la pandemia, nos hemos encontrado con mayor dificultad para el diagnóstico de patologías quirúrgicas abdominales, ya que la fiebre, náusea, vómito y dolor abdominal pueden ser confundidos como síntomas de COVID-1910 y, tras una revisión bibliográfica, se encontró que existen únicamente tres casos reportados del manejo de una apendicitis aguda en este contexto: uno tratado con apendicectomía laparoscópica11 y dos con manejo conservador;12,13 por lo que juzgamos relevante compartir la experiencia en el Hospital General de México "Dr. Eduardo Liceaga", el cual es un hospital de tercer nivel que se consideró como centro de atención en el país para pacientes con SARS-CoV-2.
Objetivo. Compartir la experiencia en un paciente con apendicitis aguda con el diagnóstico agregado de COVID-19 en un centro hospitalario de tercer nivel.
Caso clínico
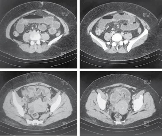
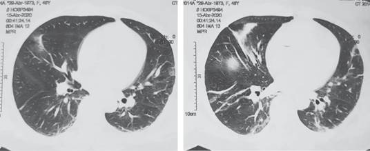
Paciente femenino de 47 años sin antecedentes no patológicos de relevancia. Tabaquismo a razón de 20 cigarros al día con índice tabáquico de 25, el cual se considera riesgo intenso para enfermedad pulmonar obstructiva crónica (EPOC); cesárea electiva hace 13 años. Inicia su padecimiento cuatro días previos a su valoración, al presentar dolor en epigastrio de intensidad 7/10 sin irradiaciones, sin desencadenantes, ni exacerbantes; acompañado de náusea y vómito en cinco ocasiones de contenido gastro-alimentario. A las 24 horas de inicio del cuadro, refiere automedicación e ingesta de butilhioscina 10 mg cada 12 horas, tras lo cual presenta leve mejoría, por lo que deja a libre evolución. A las 48 horas presenta aumento de vómitos, así como migración del dolor hacia fosa iliaca derecha, no refiere fiebre. Acude a particular a las 72 horas de inicio del cuadro, donde se administra tratamiento antibiótico con amikacina, analgésico y metoclopramida a dosis no especificadas, sin ceder el cuadro, por lo que acude a hospital particular al aumentar intensidad de dolor abdominal, en donde se le realizan estudios de laboratorio, los cuales muestran: leucocitosis de 23.3 × 10e3/μl a expensas de neutrófilos (19.48 × 10e3/μl), el resto de resultados de laboratorio sin alteraciones. Del mismo modo, al sospechar cuadro de apendicitis aguda, se solicita TC toraco-abdomino-pélvica contrastada, la cual se reporta con probable apendicitis aguda complicada con absceso localizado, así como hallazgos de broncograma aéreo y datos sugestivos de neumonía atípica por SARS-CoV-2, CO-RADS 4 (Figuras 1 y 2), por lo que deciden envío a urgencias de nuestra unidad.

Figura 1: Tomografía axial computarizada de abdomen, no se visualiza apéndice cecal; sin embargo, se observan asas de íleon distal con engrosamiento mural e inflamación de la grasa mesentérica de fosa iliaca derecha, sugestivos de proceso inflamatorio.

Figura 2: Tomografía axial computarizada de pulmón, se observan cambios en el parénquima sugestivos de neumonía atípica por SARS-CoV-2.
Al encontrarse en triaje respiratorio de urgencia se solicita nuestra valoración. Se encontró a la paciente con frecuencia cardiaca 106 por minuto, frecuencia respiratoria 22 por minuto, saturación 88% sin oxígeno suplementario, con índice de masa corporal (IMC) de 30, presentó estertores basales bilaterales y, a la exploración física abdominal, signos apendiculares positivos, así como datos de irritación peritoneal, se solicitan estudios complementarios y se decide su ingreso a quirófano con protocolo para paciente probable COVID-19 por sospecha por TC, solicitándose dímero D (3268 ), ferritina (96), procalcitonina (0.81), deshidrogenasa láctica 164 UI/L, no se hace prueba de reacción de cadena de polimerasa (PCR) en este momento.
Se decide realizar apendicectomía abierta implementando recomendaciones internacionales y con protocolo y equipo de protección personal necesario. Se hace incisión media infraumbilical encontrando defecto aponeurótico infraumbilical de 2 × 2 cm con grasa preperitoneal en su interior. Al ingresar en cavidad, hallamos apéndice cecal de 6 × 2 × 2 cm en posición retrocecal con presencia de perforación en la unión de tercio medio con tercio distal, así como un absceso periapendicular de aproximadamente 50 ml, realizándose apendicectomía con técnica invaginante de Zuckerman y, posteriormente, lavado quirúrgico local con 500 ml de solución salina 0.9%, no se coloca drenaje y se realiza cierre de pared con surgete simple con polipropileno 1 y cierre de piel con polipropileno 3-0.
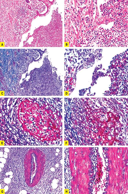
La paciente ingresa a la Unidad de Cuidados Intensivos con ventilación mecánica, en donde se hace PCR para COVID-19, la cual resulta positiva y se continúa tratamiento con doble esquema antibiótico por siete días con ceftriaxona 1 g intravenoso cada 12 horas y metronidazol 500 mg intravenosos cada 8 horas, enoxaparina 80 mg subcutáneos cada 12 horas, cloroquina 450 mg cada 24 horas y oseltamivir 75 mg cada 12 horas por cinco días, tolerando la vía enteral a través de sonda nasogástrica. Es tratada con ventilación mecánica y evolución favorable, por lo que es extubada al sexto día de ingreso y egresada al octavo día de estancia de la Unidad de Cuidados Intensivos. Se trasladó al área asignada para pacientes con COVID-19, se dio de alta a los 13 días del postquirúrgico. El estudio histopatológico reportó apendicitis aguda fibrinopurulenta perforada (Figura 3).

Figura 3: A-D) Mucosa apendicular ulcerada, tinción convencional de hematoxilina-eosina y tricrómico de Masson. E-F) Vasculitis secundaria en vasos de mediano calibre, localizados en contigüidad a la zona ulcerada. G-H) Vasos de mediano calibre, ubicados en el tejido subseroso; se evidencia ausencia de trombosis aguda.
Discusión
En la actualidad el diagnóstico de apendicitis aguda en el contexto de un paciente con COVID-19 representa un reto, ya que existen síntomas que pertenecen a ambas enfermedades14 y a escalas diagnósticas como Alvarado, RIPASA (Raja Isteri Pengiran Anak Saleha) o AIR (Appendicitis Inflammatory Response);1 por lo que, continuando con las recomendaciones internacionales, consideramos necesario realizar un estudio de imagen en el contexto de estos pacientes, siendo la TC toracoabdominal el estudio de elección, ya que permite orientarnos hacia un diagnóstico diferencial entre ambas patologías.3 No existe evidencia en la bibliografía que compare o soporte el tratamiento conservador vs el quirúrgico, por lo que, en nuestro centro, consideramos realizar tratamiento quirúrgico con el equipo de protección necesario y abordaje de cirugía abierta sin el uso de electrocauterio, ya que no contamos con equipo necesario para el uso seguro de cirugía laparoscópica; sin embargo, no se descarta su uso seguro a futuro.15,16 No se encontró relación en el estudio patológico entre la enfermedad por coronavirus y la apendicitis aguda.










nueva página del texto (beta)


