Introducción
El cáncer de vagina es la tumoración ginecológica menos común: representa tan sólo el 2%; se reportan no más de cuatro mil casos por año a nivel mundial.1,2 De los carcinomas, 84% suelen ser secundarios; de éstos, 32% proviene del cérvix, 18% del endometrio, 9% de colon y recto, 6% de ovario.3 De los primarios, el tipo histológico más común es el escamoso (75-90%), seguido del adenocarcinoma (5-10%), el melanoma (3%) y el sarcoma (< 3%), con diversas variedades histológicas, como estroma endometrial, angiosarcoma adenosarcoma y leiomiosarcoma.4
El leiomiosarcoma de vagina representa el 0.62% de las neoplasias malignas del tracto reproductor femenino.3 Morfológicamente, se mencionan los tipos mixoide, epitelioide y convencional. Se caracteriza, sobre todo, por atipia celular, con más de 5-10 mitosis por campo, áreas de necrosis y un diámetro mayor de tres centímetros, lo cual también es factor pronóstico para recidiva.5 Suele diseminarse por invasión local y hematógena, teniendo como predominio metastásico el pulmón.
De acuerdo con su incidencia, la edad promedio del diagnóstico prevalece en mujeres jóvenes, con rango de edad desde los 18 a los 86 años; media: 50 años.1 Suelen tener variación de acuerdo con la raza: las afroamericanas son más propensas, con un riesgo dos veces mayor que en la población caucásica.6
Su presentación clínica es variable y ambigua; usualmente se presenta como una masa vaginal asintomática; puede o no acompañarse de leucorrea, sangrado transvaginal, dolor intermitente y, en estadios avanzados, pérdida ponderal.7 En la exploración física, suelen estar hacia el tabique posterior vaginal, a diferencia de los leiomiomas, que suelen aparecer en la porción anterior; en tumores más inferiores pueden semejar un quiste de Bartolino.8 No existe un método de imagen específico; sin embargo, en la resonancia magnética suelen aparecer como una masa heterogénea, hiperintensa, con reforzamiento irregular durante la fase T1 tras la administración del medio de contraste.9 Sin embargo, existen otras neoplasias que podrían semejar tal hallazgo, las cuales se detallan como diagnóstico diferencial (Tabla 1).10
Tabla 1: Diagnósticos diferenciales.
| Masas vaginales | Quiste de Gartner |
| Granuloma | |
| Quiste de inclusión epitelial | |
| Neurofibroma | |
| Rabdomioma | |
| Hemangioma capilar | |
| Carcinoma escamoso epitelial | |
| Adenocarcinoma | |
| Rabdomiosarcoma | |
| Melanoma | |
| Carcinoma de células pequeñas | |
| Tumores malignos primarios | Sarcoma mülleriano mixto |
| Tumor gestacional trofoblástico | |
| Cáncer endometrial | |
| Metastásico |
Tomado de: Mills AM, Longacre TA. Smooth muscle tumors of the female genital tract. Surg Pathol Clin. 2009; 2: 625-677.
Respecto al tratamiento, existe poco consenso sobre cuál es la mejor terapéutica; sin embargo, la cirugía se considera el pilar fundamental.1,2,4,11 En la discusión detallaremos diversas opciones de abordaje.
Se tiene como objetivo documentar uno de los primeros casos de sarcoma de vagina invasor a recto reportados en la literatura nacional, así como hacer una breve revisión de la literatura respecto al manejo y su desenlace.
Presentación del caso
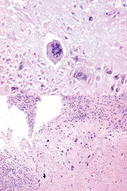
Paciente femenino de 40 años de edad, sin antecedentes heredofamiliares de importancia; niega cronicodegenerativos. Antecedentes ginecológicos: menarca a los 14 años, tres gestas, tres cesáreas. Fecha de última regla: octubre de 2015. Última citología, normal. Inició tres meses antes con aumento de volumen localizado en el mesogastrio, acompañado de dolor tipo cólico intermitente de leve intensidad, pérdida de peso no cuantificada y alteración en el hábito intestinal. Progresó siete días previos a su ingreso con aumento en la intensidad del dolor, agregándose sangrado transvaginal, leucorrea fecaloide e hipertermia no cuantificada, por lo que acudió a valoración. A su llegada, FC: 110 latidos por minuto, TA: 100/70 mmHg, FR: 18 respiraciones por minuto, T: 38.5 oC, Exploración física: habitus exterior: consciente, orientada, cooperadora, con facies de dolor; cabeza y cuello asignológicos, tórax asignológico; abdomen globoso, con peristalsis ausente; rigidez y dolor a la palpación en el mesogastrio, hipogastrio y la fosa iliaca izquierda. Se palpó un plastrón hacia la fosa iliaca izquierda y el mesogastrio. Laboratorios: biometría hemática con hemoglobina de 11.8 g/dl, leucocitos de 20,000 mm³, neutrófilos de 95%, plaquetas de 150,000 μl. TAC: cambios inflamatorios en la grasa perirrectal y líquido libre en el fondo de saco posterior. Se encontró con datos de sepsis abdominal, por lo que se completó el protocolo para una laparotomía exploradora. Se realizó una incisión de 12 centímetros totales supra-infraumbilical; se disecó por planos hasta llegar a la cavidad abdominal; se observó líquido libre inflamatorio hacia el hueco pélvico (100 cm3) -el cual no se envió a estudio citoquímico ni citológico-, así como una masa que involucraba el recto y el cérvix (Figura 1). Se inició una disección circunferencial de la tumoración, hasta finalmente delimitar su origen; se evidenció que era proveniente del tabique posterior de la vagina, con extensión hacia el recto. Se decidió realizar una resección de la vagina hasta el tercio distal e histerectomía radical. Se envió la pieza a biopsia transoperatoria, la cual reportó un sarcoma de vagina. Se procedió luego a realizar una resección abdominoperineal con colostomía terminal de colon descendente (Figura 2); para concluir, se colocó un drenaje cerrado tipo Blake 19 Fr, el cual se fijó a la pared abdominal con prolene 2-0, y se inició el cierre por planos: fascia con sutura continua utilizando polidioxanona 1-0, tejido celular subcutáneo con poliglactina 910 2-0 puntos invertidos simples, y se aproximó la piel con prolene 3-0 puntos simples, para finalizar el procedimiento quirúrgico. La paciente se ingresó a terapia intermedia; cursó con buena evolución clínica. Se decidió su egreso a la sala general al cuarto día, y se le egresó al décimo día postquirúrgico, sin drenaje. Se obtuvo el reporte definitivo de patología, que reportó de manera macroscópica leiomiosarcoma de alto grado que medía 16 cm, con límite distal quirúrgico libre de dos centímetros (Figura 3). Al microscopio: atipia nuclear grado III, necrosis y múltiples mitosis atípicas (Figura 4), así como inmunohistoquímica positiva para actina músculo específico, estrógenos, desmina y Ki-67 (Figura 5). Durante su seguimiento postquirúrgico, se refirió asintomática, con colostomía funcional. Se ingresó al tercer mes de postoperada para la colocación de un reservorio de acceso venoso central permanente subcutáneo tipo Port a Cath para quimioterapia y primer tiempo de vaginoplastía, los cuales se realizan sin complicaciones; sin embargo, la paciente decidió no acudir a las sesiones de quimioterapia. Se reingresó 11 meses después del primer procedimiento quirúrgico por fecaluria, recurrencia pélvica, dificultad respiratoria secundaria a metástasis pulmonar y deterioro generalizado. Se mantuvo ingresada por 48 horas con tratamiento conservador. Sus familiares decidieron su traslado a su domicilio para su tratamiento paliativo.

Figura 2: Resección en bloque: histerectomía radical, vaginectomía hasta el tercio distal, más rectosigmoidectomía.

Figura 4: Microfotografía tumoral teñida con hematoxilina y eosina (H y E ), que demuestra atipia nuclear grado III, necrosis y múltiples mitosis atípicas.
Discusión
El leiomiosarcoma de vagina es el sarcoma vaginal más común; sin embargo, sólo 150 casos han sido reportados en la literatura mundial en los últimos 40 años; por lo tanto, no existe un tratamiento bien establecido. Según Kohsla y sus colaboradores, el tratamiento primario radica en la resección completa con márgenes libres. Se recomienda una resección con márgenes de 1 a 2 cm, y en tumores de alto grado, mayor de 3 cm. Peters y su grupo demostraron en su estudio que las pacientes tratadas con exenteración pélvica tenían mejor pronóstico a largo plazo, por lo que recomiendan como primera elección dicho procedimiento. En la serie de casos de Ciaravino y sus colegas, donde reportaron 66 pacientes con leiomiosarcoma, determinaron que la supervivencia a cinco años es de 43%; el principal factor de pronóstico predictivo de supervivencia fue el grado de diferenciación tumoral, así como el estadio clínico. El estadio I tiene una supervivencia a cinco años de 55%; el II, de 44%, y el III y IV, de 25% a 18 meses. La edad, de igual forma, afecta el factor pronóstico, ya que las pacientes menores de 40 años tienen una supervivencia a cinco años de 51%, mientras que aquellas mayores de 50 años tienen una supervivencia de 26%.
Respecto al uso de adyuvancia con quimioterapia y radioterapia, sigue siendo un terreno sombrío, a diferencia de su contraparte, el sarcoma uterino, donde existe más información. Diversos estudios han postulado que la radioterapia adyuvante debe considerarse en sarcomas de alto grado, sarcomas recurrentes y resecciones con márgenes positivos; sin embargo, en una serie de 17 casos (10 de los cuales fueron leiomiosarcomas), 35% recibió radioterapia neoadyuvante; no hubo diferencia entre aquéllas que no recibieron radioterapia. En lo que concierne a la quimioterapia, es, de igual forma, controversial; no se ha creado una guía específica de qué agentes son los más idóneos; se ha utilizado, principalmente, para combatir su alto riesgo de recidiva sistémica. En el último metaanálisis de Pervaiz y su equipo, donde se analizaron 18 estudios tipo cohorte de 1,953 pacientes, se menciona que la combinación de ifosfamida y adriamicina logra reducir la mortalidad de 41 a 30%. Recomiendan dicho esquema en pacientes con bajo grado tumoral, sin diseminación.
En el estudio de Ciaravino, las pacientes tratadas con quimio/radioterapia neoadyuvante sobrevivieron más de dos años; sin embargo, las que recibieron tratamiento quirúrgico primario tuvieron una tasa de supervivencia de 57% a cinco años. De acuerdo con las guías de Mastrangelo y sus colaboradores, el manejo quirúrgico de los sarcomas debe incluir un margen de resección de 2 cm; sin embargo, no se ha establecido en este tipo de patología. Recomiendan que para lesiones de alto grado, el margen debe superar los 3 cm; de igual forma, mencionan que el tratamiento sin adyuvancia es aceptable para tumores menores de 3cm y superficiales con grado de diferenciación bajo.
No hay un tiempo determinado para el seguimiento; sin embargo, se recomienda hacerlo cada tres meses durante los primeros tres años y cada seis meses en los años subsecuentes hasta el quinto año postquirúrgico. Se define como enfermedad estable/controlada aquélla donde puede documentarse ausencia de metástasis o tumor residual.
Conclusiones
El sarcoma de vagina es una entidad infrecuente. Carecemos de protocolos que determinen la mejor terapéutica para prolongar la supervivencia de nuestros pacientes; sin embargo, debemos considerar como pilar fundamental la resección quirúrgica e individualizar cada paciente para recibir o no adyuvancia con quimioterapia y/o radioterapia.










nueva página del texto (beta)





