Introducción
Las hernias diafragmáticas congénitas resultan de una falla en la fusión de los múltiples componentes involucrados en el desarrollo del diafragma. Muy pocas hernias de Bochdalek son diagnosticadas en la edad adulta.1 El defecto en el diafragma permite que el contenido abdominal pase a la cavidad torácica, creando un efecto de masa que impide el desarrollo pulmonar adecuado.2 En el adulto la complicación aguda más común, y más temida, es la encarcelación herniaria o estrangulación.3 Se presenta el caso de un hombre que nunca mostró síntomas relacionados con hernia diafragmática, quien acude con importante dificultad respiratoria debida a hemotórax súbito, el cual pudo haber enmascarado la patología de base y de esta manera realizar un abordaje torácico innecesario, aumentando la morbimortalidad asociada.
Caso clínico
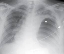
Paciente de sexo masculino de 31 años, referido de centro hospitalario de primer nivel por cuadro de dificultad respiratoria súbita secundaria a hemotórax izquierdo, sin antecedente previo de trauma, el cual fue manejado con sonda pleural con gasto de 1,500 cc al momento de la colocación y enviado a centro hospitalario de tercer nivel para continuar manejo. En la radiografía de tórax inicial se observa una imagen sugestiva de fondo gástrico en el interior de la cavidad torácica izquierda (Figura 1) y debido a que sus signos vitales eran normales, se decidió hacer TC toracoabdominal con doble contraste, en el que se confirma sospecha de hernia diafragmática izquierda, la cual contenía en su interior estómago y grasa mesentérica (Figuras 2 y 3). Se realizó abordaje abdominal línea media, se detectó defecto diafragmático de 3 cm de diámetro, posterolateral izquierdo con contenido no reductible, por lo que fue necesaria la ampliación del defecto; encontrando epiplón y estómago en su interior, este último con paredes isquémicas, zonas necróticas y una perforación de 4 cm de diámetro a nivel de la curvatura mayor (Figura 4), razón por la que se realizó gastrectomía total con anastomosis esófago-yeyunal y reconstrucción en Y de Roux. En el postoperatorio fue trasladado a la unidad de terapia intermedia con apoyo ventilatorio por un periodo de cinco días, además se empleó nutrición parenteral total durante siete días. El quinto día fue valorado por neumología por hallazgos radiográficos de inadecuada expansión pulmonar posterior al evento quirúrgico (Figura 5), refiriéndose la presencia de hipoplasia pulmonar con derrame pleural compensatorio, confirmando la sospecha diagnóstica de hernia de Bochdalek. Fue egresado asintomático 17 días posteriores al procedimiento. El seguimiento actual es de dos años, actualmente se encuentra asintomático, las radiografías de tórax de control sin alteraciones (Figuras 6A y 6B) así como función respiratoria normal.

Figura 1: Radiografía PA de tórax que muestra radioopacidad en hemitórax izquierdo, inseparable de estructuras mediastinales asociada a imagen radiolúcida de aspecto redondeado, la cual condiciona desplazamiento de tráquea hacia la derecha (punta de flecha). Nótese la ausencia de burbuja gástrica en topografía habitual, se aprecia imagen sugestiva de fondo gástrico en hemitórax izquierdo (1), presencia de sonda pleural que penetra por sexto espacio intercostal izquierdo con dirección apical (flecha).

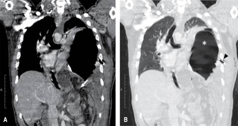
Figura 2: Corte coronal de TC en fase contrastada con ventana mediastinal (A) y pulmonar (B) que muestra defecto de continuidad en cúpula diafragmática izquierda de 3.5 cm (flecha) por donde protruyen estómago(*) y grasa mesentérica, condicionando desplazamiento de estructuras del mediastino hacia la derecha. Presencia de sonda pleural que penetra por sexto espacio intercostal izquierdo (punta de flecha).

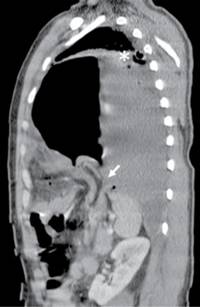
Figura 3: Corte sagital de TC en fase contrastada a nivel de la línea medio-clavicular izquierda donde se observa defecto herniario de músculo diafragmático izquierdo (flecha) con protrusión de estómago y grasa mesentérica hacia cavidad torácica condicionando atelectasia parcial de pulmón ipsilateral(*).

Figura 4: Imagen transoperatoria que muestra necrosis gástrica generalizada y perforación de 4 cm a nivel de su curvatura mayor (flecha).

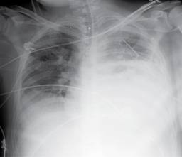
Figura 5: Radiografía de tórax portátil realizada en el postquirúrgico mediato en la que se observa opacificación de la mitad inferior de hemitórax izquierdo con pérdida de la diferenciación del borde diafragmático; dichos hallazgos corresponden a ocupación del espacio pleural por derrame; además se observa la presencia de sonda pleural con dirección apical.

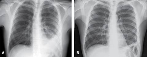
Figura 6: Radiografía AP tomada como seguimiento a los seis meses (A) y 24 meses (B) por parte de consulta externa de cirugía en la que se observa discreta disminución del volumen del hemitórax izquierdo (A) en comparación con su contralateral (B) así como derrame pleural residual que posteriormente desaparece, dando como resultado elevación de cúpula diafragmática izquierda por proceso esperado de retracción.
Discusión
Las hernias diafragmáticas congénitas son una patología rara. Se encuentran en alrededor de 1:3,000 nacidos vivos y en el adulto se desconoce su verdadera prevalencia. Los estudios en autopsias estiman que se presentan de 1:2,000 a 1:7,000 aproximadamente. Alexander Bochdalek en 1848 popularizó el concepto de esta hernia,4 observó que son debidas a una falla en la fusión de los pliegues pleuroperitoneales, manifestándose como un defecto en el diafragma durante el desarrollo fetal.5 La presentación con síntomas graves se ha reportado en 46% de los casos, con 32% de mortalidad por estrangulación visceral y muerte súbita debida a complicaciones intratorácicas.6
La hernia de Bochdalek ocasionalmente es bilateral y en 85% de los casos se encuentra del lado izquierdo.7 En el adulto la persistencia del orificio es muy rara y el pulmón en la mayoría de los casos tiene un desarrollo normal, por lo que la sintomatología es totalmente diferente a la del neonato. En este grupo de pacientes existen dos formas de presentación clínica; la primera es el paciente asintomático que acude a estudios radiológicos de tórax y como hallazgo incidental se detecta la presencia de órganos abdominales dentro de la cavidad torácica. Una variante de este grupo es el paciente que fallece por otra causa y la hernia es un hallazgo en la autopsia. En la segunda forma, los pacientes muestran síntomas secundarios a encarcelación, estrangulación o ruptura visceral dentro del tórax.8,9 El contenido de estas hernias puede incluir grasa, epiplón, estómago, bazo, intestino delgado, intestino grueso.9 La presentación aguda de la hernia diafragmática congénita incluye dificultad cardiorrespiratoria con cianosis, taquicardia, mínima entrada de aire en el hemitórax afectado, desplazamiento del latido cardiaco indicando un desplazamiento de la posición mediastinal. En los pacientes en quienes el diagnóstico se realiza en la edad adulta, los síntomas que se detectan con más frecuencia son respiratorios hasta en 43%, gastrointestinales en 33%, en 13% se presentan ambos y en 11% el paciente se encuentra asintomático. La hernia de Bochdalek puede manifestarse de manera tardía con complicaciones como vólvulo gástrico, ruptura esplénica, obstrucción gástrica o intestinal y/o perforaciones.10 En el periodo postnatal la radiografía de tórax generalmente es diagnóstica. Las imágenes con TC y resonancia magnética nuclear (RMN) con reconstrucción multiplanar permiten aclarar los casos dudosos y demostrar anomalías asociadas.11 El manejo de estas hernias incluye la reducción del contenido abdominal y la reparación del defecto, realizándose por abordaje torácico o abdominal, ya sea abierto o mínimamente invasivo.12 Los signos de encarcelación o estrangulación son indicaciones absolutas de cirugía de urgencia. La incisión abdominal por línea media representa el mejor abordaje, ya que permite un mejor acceso al contenido abdominal después de la reducción. Lo anterior puede ser útil cuando la resección de un segmento intestinal necrosado es necesaria o en los casos de vólvulo gástrico en los que se requerirá una gastropexia.13
Conclusión
Debido al gran potencial de complicaciones que amenazan la vida, los pacientes con diagnóstico de hernia diafragmática deben someterse a un manejo quirúrgico, independientemente de la presencia o ausencia de síntomas. Éste puede ser abierto o por cirugía de mínima invasión (torácico o abdominal), además el procedimiento de elección dependerá de la experiencia del cirujano. El panorama ante una urgencia cambia, ya que como se menciona en párrafos anteriores, el abordaje ideal es el abdominal debido a la probable necesidad de resección de algún órgano o segmento intestinal afectado.










nueva página del texto (beta)


