ANTECEDENTES
El embarazo heterotópico es la coexistencia de una gestación intrauterina y una extrauterina.1 Aunque se trata de una situación excepcional, es una de las primeras causas de mortalidad materna en el primer trimestre.
La incidencia del embarazo heterotópico en la población general se estima en 1 caso por cada 30,000 embarazos. La tasa más alta reportada es de 1 caso por cada 8,000 embarazos. La salpinge es el sitio de mayor implantación heterotópica, aunque también se reporta en el cérvix y el abdomen, como lugares frecuentes de implantación anormal. La incidencia se incrementa en casos de enfermedad pélvica inflamatoria, técnicas de reproducción asistida e hiperestimulación ovárica en donde la incidencia alcanza cifras de 1% postfertilización in vitro.2,3
La manifestación clínica puede ser atípica y suponer un cuadro clínico similar al de muchas otras afecciones, de las que debe hacerse diagnóstico diferencial. Algunas de las manifestaciones son: sangrado transvaginal, náusea, vómito, dolor abdominal, irritación peritoneal y en casos más graves choque hipovolémico.2
La fracción beta de la gonadotropina coriónica humana y el ultrasonido transvaginal juegan un papel decisivo en el diagnóstico, sobre todo en la coexistencia de un embarazo intrauterino con masa anexial, anillo de fuego y saco gestacional. La cirugía laparoscópica tiene un papel determinante en el establecimiento del diagnóstico y tratamiento de esta afección; sin embargo, por su rareza, no se ha logrado establecer el patrón de referencia de su tratamiento.4
Se comunica el caso de una paciente con embarazo heterotópico, logrado de forma espontánea, cómo se estableció el diagnóstico y cómo fue el proceso de atención hasta la terminación del embarazo.
CASO CLÍNICO
Paciente de 46 años de edad, con fecha de la última menstruación el 28 de marzo de 2016, con antecedente de infertilidad de 8 años como único factor de riesgo para embarazo ectópico. Ingresó al hospital debido a un dolor tipo cólico en el flanco derecho, irradiado al epigastrio, de inicio súbito, con una intensidad 8-10, acompañado de diaforesis, náuseas y vómito, con amenorrea 7.4 semanas. A la exploración física, la paciente se encontró con datos de deshidratación, abdomen con dolor leve a la palpación profunda de la fosa iliaca derecha que irradiaba a la fosa izquierda, sin datos de irritación peritoneal ni evidencia de pérdidas transvaginales o modificaciones cervicales.
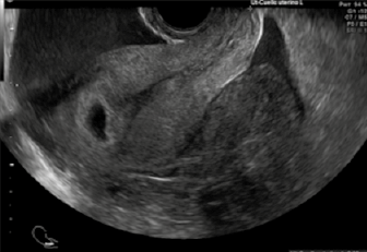
La subunidad β de la gonadotropina coriónica humana cualitativa se reportó positiva. El ultrasonido abdominal y endovaginal (Figuras 1 y 2) reportaron una gestación de 8.1 semanas, con saco gestacional en la cavidad endometrial, con feto único vivo de longitud cráneo-caudal de 1.66 cm. En el anexo izquierdo y el fondo de saco se observó una imagen heterogénea de bordes difusos de 10.6 x 6.6 x 9.5 cm, compatible con plastrón y 356 cc de líquido libre hipoecoico.

Figura 1 Corte sagital del útero en donde se observa un embarazo intrauterino, con una longitud craneocaudal de 166 mm (8.1 SDG)

Figura 2 Corte sagital uterino en el que se observa la decidua y el embarazo intrauterino, a la derecha está el plastrón del embarazo ectópico en la salpinge izquierda y líquido libre de 356 cc.
Los exámenes de laboratorio reportaron: Hb 9.4 mg/dL y hematócrito: 28%, el resto sin alteraciones.
El acceso quirúrgico fue laparoscópico y se encontró hemoperitoneo de 800 mL, útero de 8 x 5 cm, la salpinge izquierda con tejido organizado, y la derecha y los ovarios sin alteraciones; el apéndice estaba normal. Se realizó salpingectomía izquierda, sin complicaciones. (Figura 3, 4 y 5)
El reporte de patología informó: salpinge fragmentada con coágulos y vellosidades coriales, por lo que se concluyó se trataba de un embarazo ectópico roto.
La paciente permaneció en control prenatal hasta la finalización del embarazo por cesárea tipo Kerr a las 34.1 semanas, por indicación de trabajo de parto en fase latente pretérmino, ruptura prematura de membranas y feto en presentación pélvica. El procedimiento se efectuó sin complicaciones y nació una niña de 2785 gramos, talla 50 cm, Apgar 5-9 bajo recuperado. Se colocó un dispositivo intrauterino con levonorgestrel, como método de planificación familiar.
DISCUSIÓN
Se comunicó la coexistencia de un embrión en la cavidad uterina y un plastrón sugerente de un embarazo ectópico roto, logrado espontáneo. Los factores de riesgo importantes son: el antecedente de embarazo ectópico (RM 7.191 IC95%: 1.591-32.513; p = 0.010), el síndrome de estimulación ovárica (RM 10.773 [2.415-48.060]; p=0.002) y las técnicas de reproducción asistida. Estructurar una buena historia clínica y un adecuado interrogatorio de antecedentes de enfermedad pélvica inflamatoria permitirá identificar los factores que incrementan el riesgo de esta variedad de embarazos.5
Alrededor de 70% de los embarazos heterotópicos se diagnostican entre las 5-8 semanas de edad gestacional, 20% entre las semanas 9 y 10, y el 10% restante más allá de la semana 11.2
El diagnóstico temprano de esta afección es decisivo y desempeña un papel importante en la morbilidad y la mortalidad de la paciente, de sus futuros embarazos; la presentación variable representa un reto para el clínico porque con frecuencia los síntomas y signos de un embarazo heterotópico son sutiles o, incluso, inexistentes. Los síntomas más comunes son: dolor en el hipogastrio, sangrado anormal que puede ir desde manchado a sangrado severo. Los signos de irritación peritoneal son indicativos de una colección de sangre intraperitoneal, lo mismo que el dolor a la movilización cervical. La manifestación clínica varía dependiendo del momento de la presentación: no roto en comparación con el embarazo ectópico roto.6,7 En el embarazo ectópico roto puede manifestarse un cuadro clínico de choque-inestabilidad hemodinámica (disnea, hipotensión, taquicardia) y síncope.8
Por desgracia, el embarazo heterotópico suele diagnosticarse más tardíamente que el ectópico, lo que conduce a mayor probabilidad de hemoperitoneo, cuadro compatible con el caso clínico aquí reportado.
Entre los estudios de apoyo diagnóstico, las concentraciones de la fracción β de gonadotropina coriónica humana y la progesterona sin duda juegan un papel importante en la determinación de mal pronóstico del embarazo, aunque no son útiles para el seguimiento por la coexistencia de un embarazo intrauterino. El ultrasonido transvaginal se ha vuelto el primer paso diagnóstico del embarazo heterotópico; sin embargo, la visualización puede no ser fácil, sobre todo si no se sospecha el diagnóstico porque al ver un embarazo intrauterino podría omitirse la visualización del embarazo ectópico, por ello es imprescindible realizar de rutina una visualización de los anexos.
La exactitud del ultrasonido para el diagnóstico de embarazo ectópico reportado en múltiples estudios, muestra una alta sensibilidad de 87.0-99.0% y especificidad de 84.0-99.9%.7) En el caso aquí comunicado, la visualización ultrasonográfíca fue clara porque se consiguió observar un saco con embrión intrauterino, el plastrón en la salpinge izquierda y el líquido libre de aspecto hipoecoico en el fondo de saco de Douglas sugieren un hemoperitoneo secundario a la ruptura del embarazo ectópico.
A menudo, el embarazo heterotópico es una urgencia médica grave que frecuentemente se asocia con hemorragia potencialmente mortal, lo que en primer lugar se relaciona con la baja incidencia, falta de sospecha y el retardo en el diagnóstico que, generalmente, hace necesaria la intervención quirúrgica de urgencia.
La cirugía es el patrón de referencia para minimizar la pérdida de sangre, preservar la fertilidad y proteger el embarazo intrauterino coexistente.9)
En nuestro caso se representa un ejemplo de una decisión quirúrgica de urgencia por vía laparoscópica en una paciente hemodinámicamente estable, con hemoperitoneo, y cuyos resultados posquirúrgicos fueron favorables para ella y el embarazo coexistente.
Existen datos de los riesgos a largo plazo de un choque hipovolémico en fetos resultado de un embarazo heterotópico; el más frecuente es el aborto espontáneo y el parto pretérmino.10 En nuestro caso se observó la finalización de un embarazo pretérmino por vía abdominal por indicación obstétrica, sin incidentes perinatales que señalan que el diagnóstico oportuno y el adecuado control prenatal permiten el nacimiento de un nuevo ser y preservar la vida y salud de la madre.
CONCLUSIONES
Si bien el embarazo heterotópico es un suceso excepcional siempre deben buscarse, de forma dirigida, los factores de riesgo. En un embarazo temprano la exploración clínica completa y detallada con visualización ultrasonográfica del útero y los anexos son auxiliares útiles para el diagnóstico oportuno de embarazo heterotópico. La laparoscopia es una técnica adecuada porque ofrece la ventaja de ser un apoyo diagnóstico y terapéutico oportuno y rápido; por desgracia, no en todos los centros de atención se cuenta con el equipo y personal capacitado para ofrecer este método.









nueva página del texto (beta)





