INTRODUCCIÓN
Las hernias diafragmáticas ocurren en uno de cada 3,000 nacimientos, el tipo más frecuente es la de Bochdalek, la cual fue descrita por primera vez en 1948 por Víctor Alexander Bochdalek1. Se define como un defecto posterolateral del diafragma, por lo regular se presenta con mayor frecuencia en el lado izquierdo (85%), con discreto predominio en mujeres. Su presentación en adultos es extremadamente rara (5%), existen menos de 200 casos reportados2. Se produce por defecto de cierre del conducto pleuroperitoneal durante el desarrollo embriológico del diafragma, entre las semanas 8 y 10 de vida1.
La mayoría de los casos se diagnostica de manera incidental, ya que cursan asintomáticos1. Los síntomas más frecuentes son dolor abdominal (62%) y síntomas respiratorios (40%)1,3.
Existen factores predisponentes (actividad física vigorosa, tos, constipación, estornudo, buceo y comidas copiosas) que favorecen la manifestación clínica. El mecanismo principal es el aumento de la presión intraabdominal. El embarazo se encuentra presente en 34% de los casos1,4.
DESCRIPCIÓN DEL CASO
Paciente femenino de 23 años de edad sin comorbilidades ni alergias. Menarca a los 14 años. Inicio de vida sexual activa (IVSA): 18 años. G:2, P:2, C:0, A:0. Ingresó al servicio de urgencias referida por su unidad médica con diagnóstico de neumotórax espontáneo 24 horas posteriores al parto, por presentar dolor en el hemitórax izquierdo, así como dificultad respiratoria.
Al examen físico se encontró consciente, orientada, moderadamente hidratada, con presencia de sonda nasogástrica con gasto de característica fecal. Tórax con aumento de volumen hemitórax izquierdo, así como disminución de movimientos de amplexión y amplexación, a la auscultación destaca la presencia de ruidos peristálticos y timpanismo a la percusión del mismo lado. Abdomen blando depresible, peristalsis disminuida sin irritación peritoneal, se palpa útero en involución. Extremidades sin alteraciones.
En sus exámenes de laboratorio se destacó: Hb 10 g, leucos 11 000, neutrófilos 76%, plaquetas 153,000, albúmina 2.9 g/dL, pH 7.56, HCO3 21.40 mmol/dL, PCO2 23.40 mmol/dL, Sat 99%, lactato 1.60.
En el servicio de urgencias se solicitó radiografía de tórax portátil donde se identificó una gran imagen heterogénea que ocupaba en su totalidad el hemitórax izquierdo, el cual presentaba contornos lobulados, bien definidos, así como niveles hidroaéreos, con desplazamiento del mediastino y pérdida de los bordes del hemidiafragma izquierdo (figura 1). Se realizó diagnóstico de neumotórax espontáneo, motivo por el cual se colocó sello de agua endopleural. Sin embargo, ante la ausencia de expansión pulmonar, se solicitó tomografía axial computarizada (TAC) simple toracoabdominal. Diez horas después de su ingreso, la paciente presentó exacerbación de los síntomas respiratorios sin ameritar intubación orotraqueal, dada su evolución se interconsultó al servicio de cirugía general y al de imagenología.

Foto: Otorgada por los autores
Figura 1 Radiografía portátil de tórax. Se aprecia desplazamiento del mediastino con presencia de contenido abdominal en hemitórax izquierdo.
El servicio de radiología observó en el Scout imágenes compatibles con asas intestinales dilatadas con niveles hidroaéreos, los cuales presentaban migración hacia el hemitórax izquierdo con desplazamiento del mediastino a la derecha, con presencia de sonda endopleural sin datos que sugieran perforación intestinal en ese momento (figura 2).

Foto: Otorgada por los autores
Figura 2 Scout. Ausencia de expansión pulmonar a pesar de la colocación de sonda endopleural. No hay datos de perforación de víscera hueca.
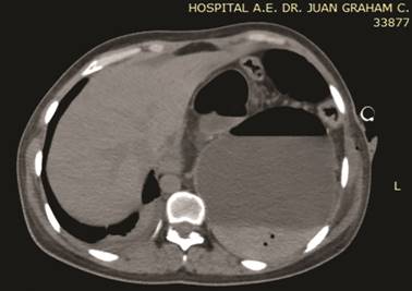
En la TC simple en corte axial, destacó la protrusión del estómago, asas intestinales y grasa mesentérica, a través de un defecto herniario posterior que ocupa hasta un 90% del hemitórax izquierdo, provocando pérdida de volumen del pulmón ipsilateral y atelectasias segmentarias basales derechas (figura 3). En el corte coronal, se identificó un defecto herniario posterior y lateral de aproximadamente 55 mm, además de una importante distensión del estómago, desplazamiento cefálico del bazo y asas intestinales, con compresión y desplazamiento caudal del lóbulo hepático izquierdo (figura 4). Se integró diagnóstico clínico y radiológico de hernia de Bochdalek incarcerada.

Foto: Otorgada por los autores
Figura 3 Tac simple toracoabdominal corte axial. Se aprecia ocupación del hemitórax izquierdo por contenido abdominal con pérdida de volumen y con broncograma aéreo en pulmón izquierdo.

Foto: Otorgada por los autores
Figura 4 Tac simple toracoabdominal. Corte Coronal. Defecto diafragmático posterolateral izquierdo de aproximamente 55 mm.
Diecinueve horas después de su ingreso se realizó laparotomía urgente, en la cual se encontró: defecto diafragmático posterolateral izquierdo, con anillo herniario de aproximadamente 10 cm de diámetro, contenido (estómago, duodeno, colon transverso, bazo, asas de delgado). Se realizó cierre primario con puntos separados con prolene del 1 (figura 5 y figura 6) y recolocación de sello endopleural. La paciente se pasó estable a recuperación y posteriormente al piso de cirugía general, donde cursó con adecuada evolución. Se realizó radiografía de control postoperatorio (figura 7) en la cual se aprecia adecuada reexpansión de parénquima pulmonar. A las 12 horas postoperatorias inició vía oral, se retiró la sonda endopleural a las 72 h y fue egresada a su domicilio al cuarto día postoperatorio.

Foto: Otorgada por los autores
Figura 5 Defecto posterolateral izquierdo de aproximadamente 9 cm de diámetro.
DISCUSIÓN
El diagnóstico de hernia de Bochdalek en adulto es infrecuente y posee variedad de presentaciones clínicas, lo cual se asocia a error diagnóstico hasta en 38% de los casos1,5. Dentro de los principales diagnósticos erróneos destacan: hidroneumotórax, hemotórax, empiema y neumonía1.
La paciente contaba dos factores predisponentes: embarazo y trabajo de parto, aunado al cuadro clínico y tele de tórax debieron hacer sospechar el diagnóstico.
La radiografía de tórax sigue siendo un estudio inicial que aporta información básica para poder realizar el diagnóstico diferencial de un neumotórax, el cual se caracteriza por el aumento de la radiolucidez periférica (dependiente del volumen), visualización de los bordes de la pleura visceral que se dibuja como una línea radiopaca fina, y recordar que el desplazamiento del mediastino solo está presente en el neumotórax a tensión. En la radiografía de la paciente se presentó el desplazamiento del mediastino, ocasionado por el efecto de masa de las estructuras intraabdominales; además de que se alcanzan a delimitar imágenes compatibles con asas intestinales con niveles hidroaéreos que se confirman el corte sagital del Scout.
Existen otros métodos de imagen que son útiles para evaluar la integridad del diafragma, estudios dinámicos como la fluoroscopia y el ultrasonido han tomado un papel importante debido a su disponibilidad y portabilidad6,7. La resonancia magnética es un estudio que no emplea radiación ionizante, posee sensibilidad y especificidad de hasta 99%; sin embargo, su demora, poca disponibilidad y los altos costos, no permiten que sea un método recomendable como estudio inicial1,8. El gold estándar continúa siendo la tomografía simple y contrastada, ya que permite la evaluación del defecto, así como de los órganos involucrados, posee sensibilidad de 78% y especificidad de 100%1,4. El manejo quirúrgico está indicado en todos los pacientes con diagnóstico de hernia diafragmática, incluso quienes cursan asintomáticos debido al riesgo elevado de estrangulación1,3. Respecto del embarazo, las pacientes que cursan asintomáticas o quienes se diagnostican de manera incidental pueden programarse para reparación electiva durante el segundo trimestre1. La presencia de datos de oclusión intestinal es indicación de manejo quirúrgico urgente independientemente del momento del embarazo en que se presente debido al alto riesgo de estrangulación1,5. En caso de detectarse en el tercer trimestre del embarazo, se sugiere evitar el trabajo de parto y realizar la reparación electiva durante el puerperio1.
La paciente cursó con datos de oclusión posterior al parto, lo cual es indicación urgente de manejo quirúrgico. En estas circunstancias se sugiere abordaje abdominal; sin embargo, en los casos electivos el abordaje por laparoscopia o toracoscopia es lo indicado dada su baja mortalidad 5 vs 32% en laparotomía de urgencia1,2.
La mayoría de los autores sugiere la colocación de malla en defectos mayores a 8 cm1, desafortunadamente en este caso no fue factible debido a que no se contaba con el insumo, motivo por el cual se realizó cierre primario.










nueva página del texto (beta)





