Introducción
El aneurisma del seno de Valsalva es una condición genética poco frecuente entre las cardiopatías congénitas. El padecimiento se presenta en el 0.09% de la población general1 y en el 0.15 al 1.5% de pacientes que entran a cirugía con circulación extracorpórea2. El padecimiento puede pasar desapercibido durante gran parte de la vida del sujeto hasta que este se rompe, formando una fistula de izquierda a derecha que produce una sobrecarga volumétrica generalmente aguda con caída en insuficiencia cardiaca. La enfermedad es muy poco frecuente en niños y excepcional en lactantes3.
El tratamiento de esta condición tradicionalmente es quirúrgico, lográndose una resolución completa4. Hoy en día se cuenta con un tratamiento por medio de intervencionismo que de igual manera resuelve el problema sin necesidad de llevar a cabo una intervención quirúrgica. A continuación se presenta un caso de aneurisma del seno de Valsalva resuelto por medio de intervencionismo y se discute la etiología, el diagnóstico clínico y el tratamiento.
Descripción del caso
Varón de 34 años de edad sin antecedentes patológicos familiares ni personales. Inició su padecimiento tres meses antes de su ingreso al instituto con pérdida de peso ostensible no cuantificada y edema en miembros inferiores, astenia, adinamia, fatigabilidad fácil y disnea progresiva de esfuerzos que llegó hasta la ortopnea y a la disnea paroxística nocturna. En el examen físico se detectó hiperelasticidad de la piel, hipermovilidad articular y membrana interdigital (Fig. 1). Se detectó un importante régimen de insuficiencia aórtica con todos los signos presentes. La frecuencia cardiaca era de 98 por minuto y la presión arterial de 150/60/30/0.
La palpación y visualización de las carótidas mostraba un doble levantamiento con onda B prominente y ausencia de onda dicrota.
Sobre ambos bordes esternales derecho e izquierdo se auscultaba un soplo sistólico expulsivo y un soplo holodiastólico grado III y en el ápex un retumbo grado II (Fig. 2).
El electrocardiograma mostró desviación de AQRS a la derecha + 140 o y transición desplazada a la izquierda (R = S en V6). Bloqueo de la rama derecha del haz de His de 2.o grado (QRS de 0.140). Hipertrofia de ventrículo izquierdo y crecimiento de aurícula izquierda (Fig. 3).

Figura 3 Desviación del AQRS a la derecha y transición desplazada a la izquierda por la sobrecarga de volumen de las cámaras derechas. Bloqueo de rama derecha del haz de His de 2.o grado (QRS 0.14). Importante hipertrofia del ventrículo izquierdo y crecimiento de aurícula izquierda que explica el retumbo de hiperflujo mitral y el crecimiento de cámaras izquierdas con sobrecarga diastólica.
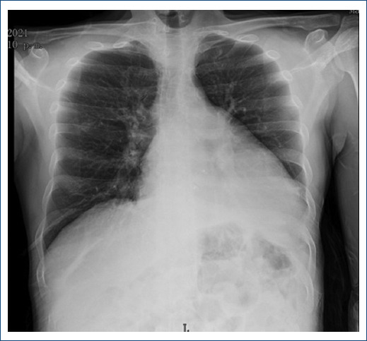
La telerradiografía del tórax mostro una cardiomegalia grado II-III con datos de hipertensión veno-capilar pulmonar y derrame en la pleura izquierda (Fig. 4).

Figura 4 Telerradiografía postero-anterior de tórax con presencia de cardiomegalia grado II-III con datos de hipertensión veno-capilar pulmonar y derrame pleural izquierdo.
El ecocardiograma reveló la presencia de un aneurisma de seno de Valsalva coronario derecho roto hacia aurícula derecha (Fig. 5). Dilatación de cavidades derechas y ventrículo izquierdo. Hipertrofia excéntrica del ventrículo izquierdo. No se encontraron alteraciones de la movilidad, ni del engrosamiento global ni segmentario en reposo. Función sistólica biventricular normal. Disfunción diastólica del ventrículo izquierdo. Insuficiencia valvular aórtica de ligera a moderada.

Figura 5 Ecocardiograma con aneurisma de seno de Valsalva coronario derecho roto hacia aurícula derecha.
La angiotomografía de carótidas, cerebro, aorta torácica y abdominal no mostró anormalidades.
El enfermo fue llevado cateterismo cardiaco, en donde la inyección de medio de contraste en la raíz de la aorta confirmó la existencia de un aneurisma del seno de Valsalva coronario derecho roto hacia la aurícula derecha. Se procedió a cerrar el defecto por medio de un dispositivo Cera 16/18 comprobándose el cierre toral de la fuga (Fig. 6). Un nuevo fonocardiograma tomado al día siguiente del cierre de la ruptura mostró la desaparición de los soplos (Fig. 7) y en una telerradiografía del tórax tomada tres meses después se encontró desaparición de la cardiomegalia y del derrame pleural izquierdo (Fig. 8).
Discusión
Tres son los aspectos relevantes en la discusión de este caso: la etología del padecimiento, el diagnóstico clínico y el tratamiento.
Etiología
En el capítulo 75 escrito por el renombrado cardiólogo pediatra Gary Webb y colaboradores de la última edición del 2019 del Tratado de cardiología de Braunwald5 se señala que el defecto en el aneurisma del seno de Valsalva se encuentra en la capa media de la aorta, la cual se encuentra debilitada, pero no se dice cuál es la razón de dicho debilitamiento. Nosotros creemos que se trata de una medio-necrosis quística de la aorta, la cual parece estar limitada solo a la raíz de la aorta, ya que no se acompaña de aneurisma de la porción ascendente de esta. Fundamentamos esta hipótesis en los siguientes hechos:
- El aneurisma del seno de Valsalva es una cardiopatía que se acompaña frecuentemente de otras malformaciones congénitas, como suelen ser aorta bivalva, coartación de la aorta6 y comunicación interventricular, que suelen asociarse a la enfermedad de Marfan7,8 y algunas de sus variantes, como el Ehler-Danlos9 y el síndrome de Loeys-Dietz10-12, en donde la enfermedad principal es precisamente la medio-necrosis quística de la aorta. Esto no es fácil de comprobar, debido a que en la intervención quirúrgica solo se procede a la reparación del orificio de ruptura con la colocación de parche de pericardio o de dacrón o bien a su oclusión por medio de intervencionismo, y no se dispone de material biológico para su examen al microscopio con tinciones especiales para buscar la medio-necrosis quística, salvo casos aislados en los que sí se ha logrado contar con la biopsia del espécimen6,7, pero se señala como ausencia de fibras elásticas o bien degeneración mucoide, no necrosis quística de la media.
- Nuestro paciente tenía anomalías que se asocian con padecimientos que cursan con medio-necrosis quística de la aorta: hipermovilidad articular, hiperelasticidad cutánea y membrana digital.
- En este enfermo además del aneurisma del seno de Valsalva también se detectó por medio del ecocardiograma una ligera insuficiencia aórtica valvular, la cual es factible que obedezca a una dilatación incipiente del anillo, situación que tenemos que vigilar de cerca para poder detectar el desarrollo de un aneurisma de la aorta ascendente. En el estudio de Mustafa2 sobre la experiencia de la Clínica Mayo en 47 años de observación sobre aneurismas del seno de Valsalva aproximadamente el 44% de 86 pacientes tenía insuficiencia aórtica asociada y el 11% signos marfanoides.
Diagnóstico clínico
El diagnóstico clínico preciso de esta condición fue llevado a cabo antes de efectuar el ecocardiograma debido a que el electrocardiograma nos orientó definitivamente a saber que, además del crecimiento de las cámaras izquierdas, definitivamente había compromiso también en las cámaras derechas del corazón, tanto el ventrículo derecho (AQRS desplazado a la derecha + 140o y la transición desplazada hasta la derivación V6 R = S) como el atrio derecho, cuya medición en D2 en voltaje es mayor de 2 mV. El otro signo que nos orientó al diagnóstico fue el hecho de que los soplos tanto el sistólico como el diastólico se auscultaron no solo sobre el borde izquierdo esternal, sino también sobre el borde derecho. El fonocardiograma que se registró comprueba que no se trató de un soplo continuo, como suele ocurrir en muchas ocasiones en casos de aneurismas rotos del seno de Valsalva, sino de un soplo sístolo-diastólico.
Tratamiento
En 1994 este tipo de comunicación se cerró por primera ocasión por medio de intervencionismo, colocando una sombrilla de Rashkind usada para cierre de conductos arteriosos y comunicaciones interventriculares13 y de entonces a la fecha hay numerosos reportes aislados en la literatura de cierres por medio de intervencionismo. La serie más grande que encontramos es la de que informa de 23 casos cerrados de esta manera14. En lo personal creemos que el cierre de esta condición debe llevarse a cabo siempre que las condiciones del caso lo requieran, medidas adecuadas, orificio no muy grande y sobre todo que el aneurisma no se acompañe de ninguna otra alteración congénita que tenga que ser resuelta, ya que en caso de que esto ocurra es preferible la cirugía.










nova página do texto(beta)







