Introducción
México, al igual que otros países latinoamericanos, no cuenta con registros certeros de muerte súbita cardiaca (MSC). Como ejemplo, solo se tienen identificados y documentados 1,394 casos de manera oficial en un periodo de 17 años (1998-2014)1. Aunque los desfibriladores automáticos implantables (DAI) mediante acceso venoso han demostrado disminuir en forma significativa la mortalidad en individuos con riesgo de MSC, su implante conlleva el riesgo potencial de complicaciones vasculares2. Por ello se ha diseñado un nuevo dispositivo en el cual el cable se implanta en forma totalmente subcutánea, sin necesidad de acceso vascular3. La seguridad y efectividad de este desfibrilador subcutáneo (DAI-SC, subcutaneous implantable cardiodefibrillator) para tratar en forma efectiva episodios de fibrilación ventricular (FV) se ha demostrado en diversos estudios2,4,5. La llegada de dicho dispositivo a México abrió una nueva oportunidad de tratamiento para la prevención primaria y secundaria de la muerte súbita en pacientes con diversas enfermedades asociadas con muerte súbita (canalopatías, miocardiopatías, etc.). Se presentan los cuatro primeros casos que fueron implantados en el Instituto Nacional de Cardiología Ignacio Chávez con un DAI-SC, incluyendo el primer implante de este tipo de dispositivo en un paciente pediátrico en América Latina.
Material y métodos
Se incluyen los cuatro primeros casos de implante de DAI-SC en pacientes del Instituto Nacional de Cardiología Ignacio Chávez realizados de diciembre del 2017 a junio del 2021. Todos ellos eran pacientes con indicación de desfibrilador por alto riesgo de MSC. Ninguno tenía requerimiento de estimulación ventricular. En todos los casos se realizó una prueba previa al implante con el aparato analizador y las plantillas de Boston Scientific, para evaluar si eran candidatos a implante de DAI-SC. Una vez aprobado el escrutinio (screening) por la máquina en reposo, se hizo el escrutinio en ortostatismo. Se procedió al implante con la técnica convencional en todos los casos, previa firma de consentimiento informado por los pacientes o tutores de los dos menores. El procedimiento de implante del DAI-SC se realizó bajo anestesia general, con una herida quirúrgica y posterior disección en la línea axilar anterior, entre los músculos serrato mayor y dorsal ancho para marsupialización. Por la técnica convencional denominada «de tres incisiones» (en los primeros dos casos) y de «dos incisiones» en los últimos dos, se implantó el cable-electrodo subcutáneo en la región paraesternal derecha, zona en la que se había demostrado que tenía la mejor detección en la prueba preimplante6. Inmediatamente posterior al implante se realizó prueba de desfibrilación que consistió en inducción de FV con estimulación a 50 Hz. La FV fue detectada en forma adecuada por el equipo, el cual realizó una descarga con 65 J, con lo que los pacientes revirtieron a ritmo sinusal en todos los casos. Los dispositivos fueron programados con una zona de descarga a partir de 210 lpm y una de descarga condicional a 200 lpm. Se realizaron radiografías de tórax previo al alta para corroborar la normoposición tanto del electrodo como del generador.
Resultados
El implante del dispositivo de desfibrilador subcutáneo fue exitoso en los cuatro casos, sin complicaciones. A continuación se presenta una breve descripción de cada uno de ellos.
Informe del caso 1
Mujer de 38 años con antecedente de madre fallecida por miocardiopatía hipertrófica (MCH). Diagnosticada a los 16 años de edad con MCH simétrica obstructiva y con historia de fibrilación auricular paroxística que ameritó hospitalización (septiembre de 2017). Referida al Instituto en diciembre 2017, se realizaron diversos estudios complementarios, incluyendo resonancia magnética, que confirmaron una hipertrofia septal asimétrica con movimiento septal anterior, insuficiencia mitral importante, aurícula izquierda dilatada y reforzamiento tardío intramiocárdico. El 12 de diciembre de 2017 se realizó cateterismo cardiaco donde se documentó gradiente basal aorta-ventrículo izquierdo de 130 mmHg, por lo que se realizó ablación con alcohol del segundo ramo septal, logrando reducir el gradiente a 75 mmHg. Posteriormente fue evaluada en forma ambulatoria por el servicio de electrofisiología para implante de DAI. El riesgo de MSC a cinco años de acuerdo con la escala de O'Mahony y adoptada por la Sociedad Europea de Cardiología fue del 6.8%, por lo cual tenía indicación de un DAI. Por tratarse de un implante para prevención primaria en una paciente joven, sin necesidad de estimulación cardiaca, se decidió valorar un DAI-SC. El escrutinio para este dispositivo fue exitoso y se llevó a implante de DAI-SC (Emblem, Boston Scientific, EE.UU.) el 13/03/2018.
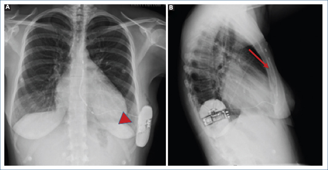
En la radiografía de tórax previa al alta (14/03/2018) se comprobó la normoposición del electrodo y el generador (Fig. 1). La paciente no ha tenido descargas en un seguimiento a cuatro años.

Figura 1 Radiografías de tórax en posición postero-anterior (A) y lateral (B) del primer desfibrilador automático implantable subcutáneo implantado en el Instituto Nacional de Cardiología Ignacio Chávez. Se observa el generador (cabeza de flecha) en adecuada posición al igual que el cable-electrodo (flecha).
Informe del caso 2
Adolescente de 16 años de edad (fecha de nacimiento: 11/01/2002), producto de la primera gestación, de embarazo normoevolutivo, obtenido de término a las 38 semanas de gestación por vía vaginal, con puntuación de Apgar 9/9, eutrófico, con neurodesarrollo normal. Madre y tío materno con síndrome de QT largo (SQTL), resto de familiares aparentemente sanos. El niño fue diagnosticado con SQTL tipo 2 a los nueve años de edad (en 2011). Recibió tratamiento betabloqueador (propranolol 1 mg/kg/día) con adecuada respuesta, pero requirió del implante de un marcapasos definitivo bicameral el 14 de noviembre de 2017 por disfunción sinusal (bradicardia sintomática). Casi dos meses después tuvo que ser hospitalizado por exteriorización de electrodo de marcapaso e infección del sistema. Se realizó retirada del sistema el 23 de enero del 2018, requiriendo abordaje tanto por vía pectoral como femoral derecha y quedando la punta del electrodo ventricular en el septum interventricular. Se envió a cultivo tanto el material extraído como una muestra de secreción de la herida y se realizaron hemocultivos. En estos últimos se aisló Staphylococcus aureus, por lo que recibió tratamiento para endocarditis por 45 días. Para intentar preservar los accesos vasculares, se valoró para implante de DAI-SC. Se realizó el escrutinio preimplante, el cual fue positivo, por lo que fue llevado a implante del equipo de DAI-SC (Emblem, Boston Scientific, EE.UU.) en el Laboratorio de Electrofisiología el día 23 de marzo de 2018. En la radiografía de tórax previa al alta se comprobó la normoposición del electrodo y el generador (Fig. 2). Se egresó el 26 de marzo y se mantuvo asintomático hasta el 31 de mayo, dos meses después del implante, cuando presentó dos eventos de FV postesfuerzo (jugando a fútbol), ambos a una frecuencia mayor de 220 lpm y que fueron terminados adecuadamente por el equipo con descargas de 41 Joules. Este caso constituye el primer caso de un implante de DAI-SC en un paciente pediátrico en Latinoamérica (Fig. 3).

Figura 2 Caso 2. Paciente con síndrome de QT Largo. A: radiografía de tórax donse se observan marcpasos bicameral con generador derecho, cable auricular y ventricular bien implantados. B, C y D: imágenes fluoroscópicas que muestran el retiro de los cables. E: la flecha señala la punta remanente del electrodo ventricular.
Informe del caso 3
Escolar de ocho años de edad. Con historia de MSC en tío materno a los 37 años y primo materno a los tres años de edad, ambos sin causa aparente. Su atención médica inicia a los cinco años de edad (2018), cuando acude con un pediatra por disnea de medianos esfuerzos y se le detecta un soplo cardiaco. Sin historia de síncope. Se estableció el diagnóstico de MCH septal asimétrica y se le dio tratamiento con propranolol (1 mg/kg/día). En el Instituto se encontró con precordio normodinámico, ruidos cardiacos rítmicos, soplo sistólico paraesternal izquierdo intensidad III/IV, disminución de la intensidad con maniobra de Valsalva. Pulsos simétricos en las cuatro extremidades. El electrocardiograma (ECG) de 12 derivaciones en ritmo sinusal, con aQRS desviado a la izquierda, con crecimiento de cavidades izquierdas y datos de sobrecarga del ventrículo izquierdo (Fig. 4). El ecocardiograma en febrero de 2020 demostró un gradiente máximo obstructivo, de 94 mmHg y un gradiente medio de 36 mmHg, además de insuficiencias mitral y aórtica ligeras, presión sistólica arterial pulmonar (PSAP) 25 mmHg. Seis meses después un ecocardiograma de control reporta: diámetro septal de 44 mm, con obstrucción dinámica del tracto de salida del ventrículo izquierdo, gradiente medio de 65 mmHg y un gradiente máximo de 134 mmHg que se incrementa con maniobra de Valsalva hasta 212 mmHg, además de una disfunción diastólica ventricular izquierda severa. Deformación (strain) longitudinal –7.5 y circunferencial de –24.5. El servicio de cardiología pediátrica no lo consideró candidato para tratamiento quirúrgico o intervencionista debido a sus condiciones y evolución de la enfermedad. Se envía a protocolo de trasplante cardiaco y, como terapia puente, se propone el implante de DAI para prevención primaria por riesgo de MSC. Considerando la obstrucción al ventrículo derecho por las dimensiones del septum interventricular y la ausencia de necesidad de estimulación ventricular, se decide que el DAI-SC podría ser una opción para el paciente. El escrutinio fue positivo y se implantó el DAI-SC el 1 de diciembre del 2020.
Informe del caso 4
Niño de 11 años con historia de MCH y síncope precedido por palpitaciones en dos ocasiones. Su padre con implante de DAI convencional por MCH. Recibió tratamiento con propranolol (10 mg cada 24 horas vía oral [VO]). En el ecocardiograma transtorácico se encontró: MCH septal asimétrica no obstructiva, con gradiente de 15 mmHg, grosor del septum de 15 mm. PSAP de 27 mmHg. Función sistólica ventricular izquierda (FEVI) conservada (64%) y función diastólica normal; con índice de deformación sistólica longitudinal global de –21.3%. El escrutinio fue positivo para un DAI-SC, el cual se implantó en forma exitosa el 7 de junio de 2021. Este niño desarrolló erosión de la piel a nivel de la curva del electrodo en el esternón, sin datos de infección. En el quirófano se resecó la piel dañada, se retiró el barril y la seda de fijación, se realizó lavado quirúrgico y se volvió a cerrar la piel, logrando así evitar la retirada del sistema, con buena evolución en el seguimiento.
Discusión
En los pacientes con un síndrome hereditario de muerte súbita el implante de un DAI es el tratamiento de elección. Tanto para los sobrevivientes de un episodio de paro cardiaco no fatal como en aquellos que han tenido una taquicardia ventricular sostenida. En el caso específico del SQTL, existen indicaciones claras respecto al implante de estos dispositivos tanto en prevención secundaria como en prevención primaria (profiláctica). Sin embargo, a diferencia de los pacientes con cardiopatía isquémica o aquellos con alguna miocardiopatía, los pacientes con SQTL generalmente son más jóvenes y activos, por lo que es más probable que presenten alguna complicación relacionada con el dispositivo durante el transcurso de su vida, incluidos choques inapropiados y problemas relacionados con los cables endocárdicos. Por ello, para muchos de estos pacientes que no requieren estimulación ventricular («marcapaseo»), un DAI-SC puede ser una muy buena opción7.
Para intentar evitar las posibles complicaciones del acceso vascular se diseñó un nuevo dispositivo cuyo cable se implantan en forma totalmente subcutánea y que se conoce como DAI-SC. El generador se coloca en una bolsa submuscular, entre los músculos serrato mayor y dorsal ancho3. En este artículo se presentan los cuatro primeros casos de implante de estos equipos en el Instituto Nacional de Cardiología Ignacio Chávez, incluyendo el caso del primer implante de un DAI-SC en un paciente pediátrico en América Latina (marzo 2018), en un niño con SQTL. Existe poca experiencia en el uso de estos dispositivos en este grupo de pacientes1,4,8. Rudic et al. informaron una serie de pacientes con síndromes hereditarios de muerte súbita tratados con un DAI-SC, incluyendo seis pacientes con SQTL. El sistema DAI-SC demostró ser seguro y efectivo para detectar y terminar arritmias ventriculares potencialmente fatales en diversas enfermedades de canales iónicos, por lo que lo recomiendan como una alternativa confiable al DAI convencional transvenoso para la prevención secundaria y primaria de la MSC5. Sin embargo, el uso del DAI-SC ha generado algunas dudas en pacientes pediátricos (menores de 18 años). Silvetti et al. informaron la serie más grande al respecto con 15 pacientes. El procedimiento fue exitoso y libre de complicaciones en todos los pacientes y el DAI-SC fue efectivo para terminar la FV inducida durante el implante en todos los casos. Sin embargo, la tasa de complicaciones relacionadas con el dispositivo durante el seguimiento no fue despreciable. Durante una mediana de seguimiento de 12 meses, cuatro pacientes (27%) tuvieron complicaciones relacionadas con el dispositivo; en tres pacientes (20% del total) estas complicaciones provocaron incluso la retirada del sistema9. Para fines de comparación, las complicaciones relacionadas con el DAI-SC en sujetos adultos se han informado en otras series en un 11% en un seguimiento a tres años, llevando a la extracción del dispositivo en tanto solo el 1.7% de los pacientes10. Silvetti et al. señalaron que tres de las cuatro complicaciones que requirieron intervención quirúrgica fueron erosiones cutáneas en la incisión paraesternal superior. Como todas las complicaciones ocurrieron en el grupo de pacientes en los que se había realizado el implante mediante la técnica de tres incisiones, sugieren que tal vez se deberían realizar los implantes en este grupo etario con la técnica de dos incisiones.
Debido al gran tamaño de la onda R y onda T en pacientes con miocardiopatía hipertrófica existe controversia en la idoneidad de este abordaje para estos pacientes. Maurizi et al. encontraron que el 16% de ellos no tenían un vector adecuado (la elegibilidad del vector es definida por uno o más vectores apropiados). Para lograr este favorable escrutinio, se ha visto necesario, como en nuestro último caso, el implante del electrodo en el lado derecho del esternón. Por otro lado, la hipertrofia representa un factor limitante en algunas ocasiones para la habilidad del aparato de revertir una FV de manera precisa. Maurizi et al. reportaron la terminación de episodios de FV mediante un choque de 65 J durante el implante agudo en 49 pacientes de 50, con diagnóstico de MCH11. En una publicación por un panel de expertos de Francia, se consideró que en pacientes con MCH con indicación de implante de DAI, el DAI-SC es la mejor opción terapéutica, incluso en casos con taquicardia ventricular no sostenida documentada previa al implante12.
Knops et al. llevaron a cabo un ensayo clínico de no inferioridad en 849 pacientes con indicación de implante de desfibrilador que no requerían estimulación. Fueron asignados a recibir de manera aleatoria DAI-SC o DAI-TV (transvenoso). En una mediana de seguimiento de 49.1 meses, no hubo diferencias significativas en complicaciones relacionadas con el dispositivo, choques apropiados o inapropiados. Estos resultados que confirman que el DAI-SC es un dispositivo no inferior al DAI-TV en pacientes sin indicación de estimulación ventricular13.
La prueba de eficacia de desfibrilación se realiza sistemáticamente durante el procedimiento tras el implante del DAI-SC, siendo recomendación clase I en el documento de consenso de HRS/EHRA/APHRS/SOLAECE14. Los mejores predictores para una falla en la desfibrilación son: posición subóptima del electrodo o dispositivo, índice de masa corporal e incremento de la impedancia del alto voltaje, esto podría ser secundario a una posición subóptima del electrodo o dispositivo. En los últimos años se ha desarrollado una prueba para poder predecir la eficacia de la desfibrilación, el «score PRAETORIAN de 3 pasos». El primer paso consiste en determinar la cantidad de tejido graso entre el coil o «bobina» y el esternón en una placa radiográfica de tórax lateral. El segundo paso, determinar la posición del DAI-SC en relación con la línea media en la misma proyección radiológica. El tercer paso, valorar la cantidad de tejido graso entre el dispositivo y la pared torácica15,16. La validación de la prueba inició en 2018 mediante un ensayo clínico aleatorizado prospectivo (Praetorian DFT), diseñado para evaluar la necesidad de una prueba de desfibrilación postimplante de DAI-SC en aquellos casos con buena posición del dispositivo.
Conclusiones
El DAI-SC es una alternativa válida al sistema convencional de cardiodesfibrilador endovenoso en aquellos pacientes que no requieren estimulación cardiaca ni terapia antitaquicardia. Son de especial utilidad en el campo de la cardiología pediátrica o en pacientes con complicaciones por electrodos endovasculares. Sus dos principales beneficios son la disminución de la exposición a fluoroscopia durante el implante y la preservación de los accesos vasculares.










nova página do texto(beta)




