Introducción
El deslizamiento del apéndice cecal en un saco herniario inguinal es conocido como hernia de Amyand, descrito inicialmente por Claudius Amyand, quien realizó simultáneamente la primera apendicectomía.1 La hernia de Garengeot, reconocida así por el cirujano homónimo francés que describió un cuadro apendicular agudo en una hernia femoral en 1731, se ha asociado con defectos congénitos, por lo cual es mucho más frecuente en mujeres. El apéndice cecal es un hallazgo raro en hernias femorales y aún más rara la presencia de apendicitis aguda dentro del canal femoral, representado cerca de 0.1% de las hernias femorales2 y de 0.13 a 0.8% de todos los casos de apendicitis aguda.3 En el presente caso se propone un abordaje diagnóstico y terapéutico para esta rara presentación.
Presentación del caso
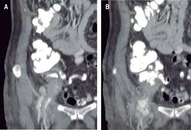
Mujer de 84 años, con antecedentes de hipertensión arterial sistémica y fibrilación auricular crónica en control con enalapril y verapamilo respectivamente. Dentro de su historial quirúrgico, cuatro años previo al padecimiento actual fue intervenida de urgencia por hernia inguinal directa estrangulada derecha, con contenido intestinal, abordada en región inguinal, requiriendo resección intestinal y entero-entero anastomosis término-terminal y hernioplastía Shouldice. Su postoperatorio satisfactorio, siendo egresada sin complicaciones. Su padecimiento actual inicia con masa en región inguinal, la cual crecía lentamente, presenta dolor inicialmente sordo, leve y no le da importancia; también crecimiento importante en las siguientes dos semanas, notando cambios de coloración, eritema y dolor importante, por lo que acude a hospital general donde se sospecha nuevamente hernia inguinal estrangulada. Se realiza ecografía en región inguinal, la cual reporta aparente hernia inguinal y abundante gas, avascular en la función Doppler. Deciden enviar a nuestra institución para su manejo. A la exploración se observa agitada, taquicárdica (105 latidos por minuto), moderadamente deshidratada; se explora masa rígida, eritematosa, aumento de calor local en región inguinal, la cual desplaza a cicatriz quirúrgica previa, muy doloroso a la palpación; presenta leucocitosis de 19,250 células/µl (neutrofilia 88.90%), aumento en tiempo de protrombina (Tp) y tiempo parcial de tromboplastina (TpT), el resto dentro de parámetros normales. Se sospecha hernia inguinal recidivante con contenido intestinal, aunque la apariencia de la masa recordaba a la apariencia de un absceso (Figura 1). Se decide su paso a quirófano, bajo anestesia regional se realizó acceso por cicatriz previa, encontrando absceso importante aproximadamente 400 cm3 que se drena en su totalidad, se observa plastía inguinal previa intacta, no se observan sacos herniarios, no se observa tampoco un evidente origen de material purulento, no se puede determinar claramente el origen del absceso. Se decide manejo de herida abierta para cierre por segunda intención y continuar estudiando a la paciente. Se realizan curaciones a necesidad del gasto y se realiza horas después una tomografía contrastada abdominal a determinar sitios probables de origen del absceso, se sospecha en enfermedad diverticular complicada. El reporte por el servicio de imagen determina apéndice vermiforme edematoso, el cual sale aparentemente por el conducto femoral y una colección pequeña periapendicular (Figura 2). Se programa nueva laparotomía exploradora encontrando múltiples adherencias alrededor del sitio de anastomosis realizada hace cuatro años, las cuales se liberan alcanzando ciego y apéndice vermiforme (Figura 3). Se realiza apendicectomía con manejo del muñón Pouchet, al extraer la pieza quirúrgica se encuentra la punta totalmente perforada; el cierre del defecto herniario se hizo con dos puntos simples de polipropileno 00, se decide no colocar malla por el alto riesgo de infección. El postoperatorio fue satisfactorio, con disminución de leucocitosis a 9.43 células/µl y normalización de Tp y TpT, con una estancia total de seis días, la herida inguinal granuló por segunda intención, continuando con curaciones y supervisión semanal hasta lograr cierre. El reporte histopatológico final menciona apéndice cecal con infiltración leucocitaria en mayor cantidad en su mitad distal, hipertrofia linfoide en su mitad proximal, punta perforada y negativo a malignidad (Figura 4).

Figura 2: Imágenes tomográficas del apéndice cecal a través de canal femoral (A) y cubriendo con contraste canal femoral y colección residual (B).
Discusión
Existen teorías acerca de la peculiaridad de estos casos, la más aceptada es la unión anormal del apéndice al ciego por una mala rotación, la cual ocasiona una localización pélvica del apéndice, con un mayor riesgo de introducirse en el canal femoral.3 La apendicitis aguda en una hernia femoral puede ser consecuencia de la estrangulación del apéndice cecal a su paso por el canal femoral, más que por la hiperplasia linfoide o presencia de apendicolito, lo que se ve evidenciado en la literatura con predominio de presencia en adultos y ancianos de estos cuadros raros.4,5 La serie más grande reportada de casos de hernia de Garengeot fue de siete durante 16 años en el Hospital Whiston, en Reino Unido, reportado por Sharma H y colaboradores. Se reportan cuatro casos sin apendicitis aguda donde se realizó hernioplastía con malla, y tres casos en los cuales se realizó apendicectomía más hernioplastía sin material protésico por presentar apéndice cecal inflamado transoperatoriamente. Es de mencionar que el dolor abdominal únicamente se presentó en un caso. Al igual que en este caso, un paciente presentó evolución de dos semanas con masa inguinal creciente y dolorosa, y el mismo reporte ecográfico erróneo, así como perforación hacia el canal femoral que sólo generó un absceso de origen oculto.6 La presencia de un absceso o colección purulenta extraabdominal en la región inguinal asociada a una hernia de Garengeot ha sido reportada en dos casos más aislados en la literatura mundial, en los cuales se sugiere el efecto de tapón del apéndice sobre el canal femoral y, de manera adicional, la hermeticidad de la plastía inguinal previamente realizada en nuestra paciente. El diagnóstico preoperatorio es difícil cuando existen ya complicaciones como perforación apendicular, y la posible formación de abscesos y fascitis necrotizante, formas clínicas de rápido deterioro de los pacientes que nos obligan a actuar de manera cautelosa, como el drenaje inicial del absceso y planeación quirúrgica a través de una tomografía contrastada abdominal tal y como lo sugieren los grupos expertos en defectos de pared abdominal7 para poder diferenciar el origen del material purulento, como la enfermedad diverticular8 y pancreatitis aguda.9 Ya que no se encontró un defecto herniario en la plastía previa o región femoral durante el primer evento quirúrgico, se decidió esperar a un estudio tomográfico y en una segunda exploración quirúrgica resolver la patología primaria, que en este caso resultó en la perforación apendicular a través del canal femoral. No existe un consenso sobre el manejo de las hernias de Garengeot; sin embargo, en la revisión extensa de los reportes, todos coinciden en que se realice apendicectomía, ya sea incidental o en cuadro inflamatorio agudo (como lo fue este caso), así como herniorrafia del defecto femoral, con la técnica más apropiada de acuerdo con dominio y experiencia del cirujano.10,11
Conclusión
Las masas inguinales con características clínicas propias de un absceso deben hacer sospechar patología intraabdominal que puede llevar a un rápido deterioro clínico, sobre todo en los pacientes ancianos. Los estudios de imagen juegan un rol importante en estos casos que, en manos expertas, pueden llevar al diagnóstico preciso y una planeación quirúrgica adecuada y dirigida.12 Su presentación en el lado derecho debe hacer sospechar un cuadro apendicular agudo, ya sea en una hernia inguinal (Amyand) o en región femoral (Garengeot).










nueva página del texto (beta)





