ANTECEDENTES
El hemangioma, o angioma hepático, es el tumor hepático benigno más frecuente durante la infancia, con mayor incidencia en la mujer; se caracteriza por las malformaciones vasculares congénitas. Se diferencia en tres tipos: focal, multifocal o difuso.1
Durante el embarazo, el diagnóstico es fortuito, posterior a los estudios de imagen. Está reportado que estas lesiones pueden aumentar de tamaño durante el embarazo, quizá debido a la participación de las hormonas en su patogénesis. 2
El tratamiento puede ser conservador o quirúrgico. Está descrita la embolización de la arteria hepática, el tratamiento con anticuerpos monoclonales y la enucleación o resección hepática. 3,4 El tratamiento de una paciente con hemangiomas hepáticos gigantes durante el embarazo es un desafío debido a la baja incidencia y al alto riesgo de mortalidad (más de 50%) en caso de complicaciones. 5
Se comunica el caso de una paciente con diagnóstico de hemangiomas hepáticos gigantes y embarazo atendida en el Instituto Nacional de Perinatología Isidro Espinosa de los Reyes, Ciudad de México.
CASO CLÍNICO
Paciente de 36 años, multípara, sin comorbilidades asociadas. Fue referida al Instituto Nacional de Perinatología de un hospital de segundo nivel para continuar el control prenatal debido a la hepatomegalia concomitante con el embarazo de 21 semanas. La paciente permaneció asintomática durante todo el embarazo.
En el trascurso de la exploración física se la encontró con hepatomegalia de 3 cm, por debajo del reborde costal derecho y útero lateralizado a la izquierda, sin dolor a la palpación superficial y profunda. Los análisis de laboratorio reportaron: transaminasa glutámica oxalacética 17 U/L, alanina aminotransferasa 24 U/L, deshidrogenasa láctica 428 U/L, bilirrubinas totales 1.10 mg/dL, hemoglobina 10.2 g/dL, hematocrito 30.6%, 241,000 plaquetas por µL, tiempo de trombina 11.8 s, tiempo de tromboplastina parcial 29.6 s, INR 1.12, antígeno carcinoembrionario 2.0 mg/mL, alfafetoproteína 54.9 ng/mL, todos dentro de parámetros normales.
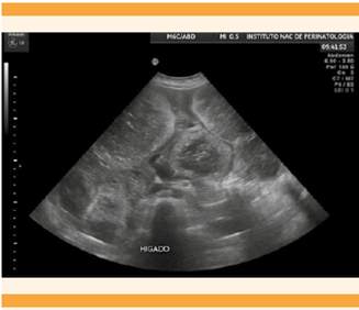
El ultrasonido hepático reportó al parénquima heterogéneo y con múltiples imágenes ovaladas, de bordes regulares, debidamente definidos, de predominio ecogénico, que alternan con áreas de mayor ecogenicidad, la mayor incluso de 10 x 7 x 8 x 6 cm en relación con probables hemangiomas.Figura 1

Figura 1 Ultrasonido hepático; corte medio sagital con imágenes sugerentes de hemangiomas hepáticos gigantes.
Los estudios se complementaron con resonancia magnética para determinar el tamaño de las lesiones, el hallazgo de múltiples lesiones nodulares de diferente tamaño y distribución difusa, bordes debidamente delimitados, irregulares y microlobulados. Se concluyó que se trataba de un caso de hepatomegalia asociada con múltiples lesiones que sugerían hemangiomas gigantes.Figura 2

Figura 2 Hepatomegalia asociada con múltiples lesiones nodulares de diferente tamaño y distribución difusa, bordes bien delimitados, irregulares y microlobulados. Segmento IV: 15 x 10 x 10 cm con una cicatriz central hipertensa en T2 e hipotensa en T1.
Por hallazgos de imagen y laboratorio se integró el diagnóstico de hemangiomas hepáticos gigantes. Se desecharon otras causas: adenoma de células hepáticas, hiperplasia nodular focal o carcinoma hepatocelular. El control prenatal continuó con seguimiento estrecho bioquímico y tratamiento expectante. Se programó para cesárea en la semana 38; antes de la intervención se valoró la embolización de la arteria hepática; sin embargo, debido a la evolución asintomática se decidió no efectuarla. Se obtuvo un recién nacido vivo, de sexo femenino, de 2450 gramos, talla de 46.5 cm, Apgar 8/9, Silverman 2 y Capurro de 36.3 semanas. En el trascurso del transoperatorio se observó al hígado aumentado de tamaño. El puerperio trascurrió libre de síntomas; el ultrasonido hepático de control advirtió la disminución en el tamaño de los hemangiomas a 8 x 6 x 8 x 5 cm y se continuó con la conducta médica expectante.
DISCUSIÓN
Los tumores hepáticos benignos son realmente excepcionales; casi todos se descubren de manera fortuita durante las exploraciones abdominales de imagen. El hemangioma es el tumor benigno mesenquimal más frecuente. 6 La incidencia mundial reportada es de 0.7 a 1.5%, con mayor predominio en mujeres que hombres 5:1, 7 con edad coexistente entre los 30 a 50 años. La mayor parte de las veces su diámetro es menor a 3 cm, cuando miden más de 10 cm se denominan hemangiomas hepáticos gigantes. 8,9
Desde el punto de vista clínico son asintomáticos; sin embargo, el tamaño aumenta el riesgo de síntomas y complicaciones debido al efecto de ocupación, coagulopatía o ruptura. 7
Si bien se desconoce su causa, se ha observado que los estrógenos tienen un efecto en los hemangiomas hepáticos, lo que explicaría la mayor incidencia en mujeres y el aumento del tamaño durante el embarazo y en mujeres multíparas. 10,11
La localización más frecuente de los hemangiomas es: en 58% en el lóbulo derecho, 35% en el lóbulo izquierdo y 7% en ambos lóbulos. 12 En el caso de la paciente, los hemangiomas se encontraban en ambos lóbulos, que es la distribución menos frecuente.
En las series de casos reportados, el diámetro varía de 2.4 a 6 cm, asintomáticos durante el embarazo. Las pacientes sintomáticas reportan: dolor abdominal, distensión o datos de compresión abdominal. Las complicaciones de los hemangiomas gigantes se registran en los que miden más de 10 cm, y solo un 5% tendrán riesgo de ruptura. 13
El ultrasonido es el primer estudio de imagen que se practica durante la sospecha de lesiones hepáticas, por la seguridad fetal y alta sensibilidad (90%) para identificar tumores hepáticos. La resonancia magnética sin contraste permite evaluar mejor las lesiones hepáticas, con una sensibilidad de 100% y especificidad del 92%. Los hemangiomas generalmente son homogéneos e isointensos con respecto al parénquima a valores T1 con reforzamiento periférico con llenado centrípeto e hiperintensos en imágenes ponderadas en T2 en relación con el bazo. Se dispone de otros estudios que pueden apoyar al diagnóstico: tecnecio 99 y la tomografía por emisión de positrones. No son de primera elección porque pueden ocurrir reportes falsos negativos debido a la coexistencia de fibrosis o trombosis. 12
Los hemangiomas no alteran las pruebas de funcionamiento hepático o la biometría hemática. Los estudios complementarios para establecer el diagnóstico diferencial pueden ser los marcadores tumorales que estarán dentro de parámetros normales, como sucedió en la paciente del caso. 5
Una de las complicaciones es la triada de trombocitopenia, coagulopatía por consumo y evidencia de hemangioma y se denomina síndrome de Merritt Kasabach cuya incidencia reportada es de 2.0 a 3.8% que deberá descartarse por ser una enfermedad con tasas de mortalidad superiores al 50%, lo que justificó el seguimiento bioquímico en la paciente del caso. 8,14,15 El tratamiento durante el embarazo suele ser conservador pues la mayoría de las pacientes cursan asintomáticas. La decisión de la intervención quirúrgica deberá ser evaluada por las características de la lesión, los síntomas, el crecimiento rápido, la ruptura o el síndrome de Merritt Kasabach. 14
Entre las opciones quirúrgicas se describe la enucleación o resección y la arteriografía hepática con embolización. 1
CONCLUSIONES
En la paciente del caso se decidió una conducta médica conservadora debido a que permaneció asintomática durante el embarazo, el seguimiento bioquímico seriado no mostró alteraciones. El desenlace perinatal fue favorable, con nacimiento mediante cesárea para no aumentar el riesgo de ruptura hepática. En el puerperio tardío se observó una ligera disminución del tamaño de los hemangiomas y se continuó con la conducta médica expectante.










nueva página del texto (beta)


