ANTECEDENTES
La ruptura prematura de membranas fetales pretérmino es la que sucede antes de la semana 37 de la gestación; se asocia con elevadas morbilidad y mortalidad que, incluso, alcanza a 85% de los fetos, consecuencia de la prematurez.1,2 La incidencia de parto pretérmino va de 7.6 a 12% en los países industrializados y es mayor del 15% en los países en vías de desarrollo.3 La ruptura prematura de membranas fetales ocurre en cerca del 1 al 3% de todos los embarazos y en el 30 a 40% de los partos pretérmino.1
Una causa frecuente de parto prematuro es la infección intraamniótica ascendente, que es inversamente proporcional a las semanas de embarazo: se encuentra en la mayoría de los nacimientos pretérmino extremos (antes de semana 28), pero solo en el 16% de los pretérmino tardíos (después de semana 34). 2,4 Si bien hay criterios clínicos que permiten sospechar la enfermedad y establecer el diagnóstico de corioamnionitis clínica, 5 los patrones de referencia son: el cultivo, la reacción de cadena de polimerasa en el líquido amniótico y la evaluación histopatológica de la placenta. Esta última tiene un alto valor predictivo negativo de 97% y un aceptable valor predictivo positivo de 79%.2,5,6,7 Además, hay una relación directa entre la inflamación placentaria y los desenlaces clínicos adversos neonatales: enfermedad pulmonar crónica neonatal, enterocolitis necrotizante y los trastornos del neurodesarrollo adquiridos.7-10
Debido a la importancia del reporte histopatológico de la placenta fue necesario estandarizar su terminología para mejorar la descripción y el análisis de los hallazgos morfológicos, aportando a una correlación clínico-patológica confiable que permita definir las intervenciones más adecuadas para los neonatos.8,11,12 En el 2016 se publicó el Consenso de Ámsterdam para el muestreo y definición de las lesiones placentarias. 13 En ese documento se dividen los hallazgos de infección intraamniótica ascendente (corioamnionitis histológica) en respuesta inflamatoria materna y respuesta inflamatoria fetal, según las estructuras anatómicas afectadas. Éstas se clasifican, además, en estadios y grados, como se consigna en el Cuadro 1 y se evidencia en las Figuras 1y2. La importancia de esta subclasificación recae en que la respuesta inflamatoria materna se asocia con más síntomas y la del feto con mayor probabilidad de complicaciones neonatales.2,5,7,8,12,13
Cuadro 1 Grados y estadios de la respuesta inflamatoria materna y fetal en la infección intraamniótica ascendente13
| Respuesta inflamatoria materna | |
| Estadio 1: corionitis o subcorionitis aguda | Grado 1: sin criterios de severidad |
| Estadio 2: corioamnionitis aguda: neutrófilos dentro del corion fibroso o amnios Estadio 3: corioamnionitis necrotizante: cariorrexis de neutrófilos, necrosis del amnios o hipereosinofilia de la membrana basal del amnios |
Grado 2: con criterios de severidad: neutrófilos confluentes o microabsceso subcoriónico |
| Respuesta inflamatoria fetal | |
| Estadio 1: vasculitis coriónica o flebitis umbilical | Grado 1: sin criterios de severidad |
| Estadio 2: afectación de la vena umbilical con una o más arterias umbilicales | |
| Estadio 3: funisitis necrotizante: bandas inflamatorias perivasculares con daño en la gelatina de Wharton |
Grado 2: con criterios de severidad: neutrófilos confluentes y atenuación del músculo liso vascular |

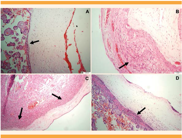
Figura 1 Respuesta inflamatoria materna. Flechas. Infiltrado inflamatorio polimorfonuclear neutrófilo. A. Subcorionitis aguda, 4x. B. Corionitis aguda no severa, 20x. C. Corioamnionitis aguda severa, 4x. D. Corioamnionitis necrotizante, 4x.

Figura 2 Respuesta inflamatoria fetal. Flechas. Infiltrado inflamatorio polimorfonuclear neutrófilo. A. Flebitis umbilical, 4x. B. Arteritis umbilical, 20x. C. Vasculitis umbilical con corioamnionitis aguda, 4x.
El alto valor predictivo negativo para infección intraamniótica ascendente del examen histopatológico, así como las diferencias de frecuencia de presentación según las semanas de embarazo sugieren otras causas quizá relacionadas: hipoxia crónica, desprendimiento prematuro de la placenta o villitis crónica.2,4,6,14 Por todo lo mencionado, el objetivo de esta investigación fue: evaluar si existen diferencias histopatológicas entre la ruptura prematura de membranas fetales, la corioamnionitis crónica y la infección intraamniótica ascendente en las placentas de pacientes con diagnóstico de ruptura prematura de membranas fetales pretérmino entre los distintos grupos conforme a las semanas de embarazo.
MATERIALES Y MÉTODOS
Estudio retrospectivo, descriptivo y observacional, de corte transversal, efectuado con las placentas obtenidas por ruptura prematura de membranas fetales en el Hospital Universitario de Santander, Colombia, durante el 2016. Criterios de inclusión: placentas con diagnóstico de ruptura prematura de membranas fetales, con parto pretérmino (menos de 37 semanas de gestación) y feto único vivo. Criterios de exclusión: placentas obtenidas de partos con maniobras abortivas, con muerte fetal pre o intraparto o con signos de acretismo.
Variables de estudio de las madres: edad, semanas de embarazo, lugar de residencia, antecedentes de cesárea, aborto o mortinato, condiciones existentes del embarazo, criterios clínicos de corioamnionitis, tratamiento con antibiótico durante el embarazo, hallazgos macro y microscópicos de las placentas conforme a los lineamientos del Protocolo de Ámsterdam, que se aplica en el proceso asistencial de rutina de la institución. La información se analizó con razones o proporciones, según el tipo de variable. Para fines de estudio se integraron tres grupos, conforme a las semanas de embarazo: 22 a 29.6 semanas (grupo A), 30 a 33.6 semanas (grupo B) y 34 a 36.6 semanas (grupo C). La información de las plantillas de datos se importó de Microsoft Excel® v.2002 al programa Stata® 14, donde se llevó a cabo el análisis estadístico. Las diferencias se evaluaron por medio de la prueba estadística indicada (prueba t, χ2), aceptando como significativas las diferencias con p < 0.05.
RESULTADOS
Se estudiaron 65 placentas: 6 del grupo A, 12 del grupo B y 47 del grupo C. Los límites de edad de las madres fueron 15 y 44 años, con mediana de 22 años y recorrido intercuartil (RIQ) entre 18 a 26 años; 51 residían en el área urbana; 33 eran primigestas; 28 tenían antecedente de cesárea, 3 de más de 3 partos; 14 con aborto previo y 2 manifestaron consumo de sustancias psicoactivas, pero ninguna de tabaco.
Durante su hospitalización, 9 de 65 pacientes recibieron diagnóstico de corioamnionitis clínica, 4 de trastorno hipertensivo asociado al embarazo, 4 infección de vías urinarias, 2 diabetes gestacional, 2 vaginosis bacteriana y 1 abruptio placentario de 30% de extensión. En total, 42 de las 65 pacientes recibieron tratamiento antibiótico antes de la finalización del embarazo.
Los límites del peso de los recién nacidos fueron 730 y 3450 g, con mediana de 2330 g y RIQ entre 2070 y 2600 g; 3 tuvieron peso alto y 1 peso bajo para la edad gestacional y 34 fueron de sexo masculino. Ninguno tuvo hidropesía fetal o anomalías morfológicas congénitas.
Los límites del peso de la placenta fueron 157 y 535 g, con mediana de 344 g y RIQ entre 293 y 409 g, con 5 de peso alto y 25 de peso bajo para la edad gestacional. Los límites del espesor del disco placentario fueron 1.3 y 3.5 cm, con mediana de 2.5 cm y RIQ entre 2.3 y 2.9 cm, con 35 de espesor alto y 9 de espesor bajo para la edad gestacional. En 3 casos se detectó hematoma retroplacentario.
En el examen microscópico, la maduración vellositaria fue adecuada en 47 casos, acelerada en 13 y retardada en 5. Entre otros hallazgos se encontraron 6 casos con corioamnionitis crónica, 3 con intervellositis y 3 con villitis crónica, 2 de ellas de causa desconocida y una granulomatosa con células gigantes multinucleadas; no se reportó villitis aguda. Además, se observaron 16 placentas con vacuolización del corion, 10 con malperfusión vascular materna, 7 con corangiosis, 4 con malperfusión vascular fetal de bajo grado, 4 con microcalcificaciones y 3 con infarto placentario. No se detectaron placentas con signos de vasculopatía decidual, corangioma o corangiomatosis.
Solo en 30 casos se observó infección intraamniótica ascendente y de estos, en 12 con respuesta inflamatoria fetal. Las características de las placentas analizadas con ruptura prematura de membranas fetales con o sin infección intraamniótica ascendente se detallan en el Cuadro 2 y con respuesta inflamatoria fetal en el Cuadro 3.
Cuadro 2 Características clínicas y anatomopatológicas de placentas con ruptura prematura de membranas fetales entre grupos con y sin infección intraamniótica ascendente
| Características clínicas y anatomo-patológicas | Infección intraamniótica ascendente | Valor de p** | |
| Ausente (n = 35) | Existente (n = 30) | ||
| Edad de las madres** | 21 | 23 | - |
| Residencia urbana | 26 | 25 | 0.376 |
| Respuesta inflamatoria materna | 21 | 12 | 0.108 |
| Corioamnionitis aguda clínica | 3 | 6 | 0.184 |
| Trastorno hipertensivo del embarazo | 3 | 1 | 0.381 |
| Infección de vías urinarias | 2 | 2 | 0.873 |
| Vaginosis bacteriana | 2 | 0 | 0.184 |
| Semanas de embarazo 22.0-29.6 (grupo A) |
1 | 5 | 0.027 |
| 30.0-33.6 (grupo B) | 4 | 8 | |
| 34.0-36.6 (grupo C) | 30 | 17 | |
| Tratamiento con antibiótico | 20 | 22 | 0.174 |
| Recién nacido femenino | 17 | 14 | 0.878 |
| Peso del recién nacido según semanas de gestación Alto |
1 | 2 | 0.505 |
| Normal | 33 | 28 | |
| Bajo | 1 | 0 | |
| Peso de la placenta según las semanas de embarazo Alto |
0 | 5 | 0.032 |
| Normal | 19 | 16 | |
| Bajo | 16 | 9 | |
| Espesor de la placenta según las semanas de embarazo Alto |
18 | 17 | 0.912 |
| Normal | 12 | 9 | |
| Bajo | 5 | 4 | |
| Inserción del cordón umbilical Central |
7 | 3 | 0.134 |
| Marginal | 4 | 9 | |
| Paracentral | 22 | 18 | |
| Velamentosa | 2 | 0 | |
| Hematoma retroplacentario | 1 | 2 | 0.466 |
| Maduración placentaria Acelerada |
9 | 4 | 0.413 |
| Adecuada | 23 | 24 | |
| Retardada | 3 | 2 | |
| Corioamnionitis crínica | 6 | 0 | 0.017 |
| Intervellositis | 1 | 2 | 0.466 |
| Villitis crónica | 2 | 1 | 0.648 |
| Malperfusión vascular materna | 8 | 2 | 0.071 |
| Infarto placentario | 2 | 1 | 0.648 |
| Malperfusión vascular fetal | 1 | 3 | 0.232 |
| Corangiosis | 0 | 7 | 0.002 |
| Vacuolización del corion | 12 | 4 | 0.051 |
| Microcalcificaciones | 4 | 0 | 0.056 |
*Mediana y rango intercuartil **Valor de la significación estadística obtenido mediante prueba de χ2.
Cuadro 3 Características clínicas y anatomopatológicas de placentas con ruptura prematura de membranas fetales de las pacientes con infección intraamniótica ascendente con respuesta inflamatoria fetal
| Características clínicas y anatomo-patológicas | Respuesta inflamatoria fetal | Valor de p** | |
| Ausente (n =18 ) | Existente (n = 12) | ||
| Edad de la madre* | 22 | 20 | - |
| Residencia urbana | 15 | 10 | 1.000 |
| Respuesta inflamatoria materna | 7 | 5 | 0.879 |
| Cesárea | 7 | 6 | 0.547 |
| Aborto | 4 | 2 | 0.709 |
| Mortinato | 1 | 0 | 0.406 |
| Corioamnionitis aguda clínica | 1 | 5 | 0.015 |
| Diabetes mellitus gestacional | 0 | 2 | 0.073 |
| Infección de vías urinarias | 1 | 1 | 0.765 |
| Semanas de embarazo 22.0-29.6 |
1 | 4 | 0.061 |
| 30.0-33.6 | 4 | 4 | |
| 34.0-36.6 | 13 | 4 | |
| Tratamiento con antibiótico | 14 | 8 | 0.500 |
| Recién nacido femenino | 9 | 5 | 0.654 |
| Peso del reciín nacido según semanas de gestación Alto |
2 | 0 | 0.232 |
| Normal | 16 | 12 | |
| Bajo | 0 | 0 | |
| Peso de la placenta según semanas de gestación Alto |
3 | 2 | 0.396 |
| Normal | 8 | 8 | |
| Bajo | 7 | 2 | |
| Espesor de la placenta según semanas de gestación Alto |
9 | 8 | 0.426 |
| Normal | 7 | 2 | |
| Bajo | 2 | 2 | |
| Inserción del cordón umbilical Central |
1 | 2 | 0.587 |
| Marginal | 6 | 3 | |
| Paracentral | 11 | 7 | |
| Velamentosa | 0 | 0 | |
| Hematoma retroplacentario | 2 | 0 | 0.232 |
| Maduración placentaria Acelerada |
2 | 2 | 0.855 |
| Adecuada | 15 | 9 | |
| Retardada | 1 | 1 | |
| Intervellositis | 1 | 1 | 0.765 |
| Villitis crónica | 1 | 0 | 0.406 |
| Malperfusión vascular materna | 0 | 2 | 0.073 |
| Infarto placentario | 1 | 0 | 0.406 |
| Malperfusión vascular fetal | 1 | 2 | 0.320 |
| Corangiosis | 6 | 1 | 0.113 |
| Vacuolización del corion | 3 | 1 | 0.511 |
*Mediana y rango intercuartil **Valor de la significación estadística obtenido mediante χ2.
DISCUSIÓN
El estudio histopatológico de la placenta es de gran utilidad para determinar la causa de la ruptura prematura de membranas fetales. Si bien la relación principal se establece con la infección intraamniótica ascendente, esta solo se encontró en 30 de las 65 pacientes, con mayor fuerza de asociación según la prueba de χ2 (p = 0.027) en las semanas de embarazo más tempranas, tal como está descrito en la bibliografía.2,7,10,15 Ahora bien, pese que solo 13 casos tuvieron corioamnionitis clínica, con un poder estadístico poco significativo (p = 0.184), ésta se correlaciona con el diagnóstico de infección intraamniótica ascendente, se encontró en 43 casos y fue ligeramente superior a lo reportado en la bibliografía. 16 En otro estudio con 478 pacientes con parto pretérmino espontáneo, solo se concluyó infección en 38 casos, 1 con corioamnionitis clínica y 2 con infección intraamniótica ascendente, con una correlación parcial entre los hallazgos histológicos y clínicos. 17
En el mismo sentido, se encontró una relación de 18.46% entre ruptura prematura de membranas fetales y respuesta inflamatoria fetal, con 41.7% entre corioamnionitis clínica y respuesta inflamatoria fetal (p = 0.015), menor a lo reportado por Moraes y su grupo quienes encontraron una relación de 75% entre corioamnionitis clínica y respuesta inflamatoria fetal18 y Suzuky, que establece una razón de momios incluso de 56 (p < 0.001) entre algunos síntomas de corioamnionitis clínica y la funisitis histológica (respuesta inflamatoria fetal estadio 2-3). 5 Esto resalta la importancia del diagnóstico clínico adecuado en casos con alta probabilidad de complicación fetal. Además, existe una relación inversa entre infección intraamniótica ascendente y las semanas de embarazo, sucedió en 23 de 65 placentas de 34 a 36.6 semanas, en 54 de 65 en las de 22 a 29.6 semanas (p = 0.061).2,19,20
La corioamnionitis crónica solo se reportó en las placentas entre 34 y 36.6 semanas, con una frecuencia del 12.8% en ese grupo, similar a lo que reportaron Lee y su grupo, quienes sugieren que la corioamnionitis crónica podría ser la manifestación de un patrón de rechazo inmunitario materno antifetal que aumentó el riesgo de parto pretérmino en el periodo tardío. 21
También se han reconocido noxas no inflamatorias asociadas con el parto pretérmino que se clasifican, en su mayoría, en el rubro de “pérdidas de la integridad de la pared arterial-venosa-capilar de la circulación materna”, y se asocian con hallazgos de malperfusión vascular materna en el parénquima placentario. 9,14 Así, se encontraron signos histológicos de malperfusión vascular materna en un 22.3% de las placentas con ruptura prematura de membranas fetales sin infección intraamniótica ascendente versus 6.7% con infección intraamniótica ascendente (p = 0.071), pudiendo ser la hipoperfusión una causa independiente de morbilidad pretérmino. Esto apoya los hallazgos de Kim y su grupo en su estudio de 14,786 embarazos, quienes reportaron que la aterosis aguda de las arterias espirales genera un 60% menos de probabilidad de asociarse con infección intraamniótica ascendente ajustada conforme a las semanas de embarazo (OR 0.4; IC95%: 0.3-0.5). 22
CONCLUSIONES
Si bien esta investigación tiene limitaciones relativas al tamaño de muestra y ausencia de un grupo control de partos a término, se encontró una relación estadísticamente significativa entre la ruptura prematura de membranas fetales, la corioamnionitis crónica y la infección intraamniótica ascendente, lo que también se relaciona con la corioamnionitis clínica y aún más a semanas de embarazo tempranas. De los hallazgos no inflamatorios, los más relacionados con ruptura prematura de membranas fetales fueron los cambios en la hipoperfusión materno-fetal.
Declaración ética, financiamiento y conflictos de interés
Este proyecto tuvo en cuenta todos los parámetros de protección de los participantes y los lineamientos legales vigentes para la investigación en seres humanos. El Comité de Ética en Investigación Científica de la Universidad Industrial de Santander (CEINCI-UIS) otorgó su aval con el código de proyecto 12780. Los autores no declaran relaciones personales que pudieran generar ganancia secundaria para ellos ni para las pacientes con la publicación del texto, por lo que no se generan conflictos de interés. Todos los coautores aportaron de manera equitativa a la redacción del artículo. Las imágenes son de autoría propia y los recursos necesarios para esta publicación fueron aportados en su totalidad por los autores.










nueva página del texto (beta)


