INTRODUCCIÓN
El vólvulo de sigmoides es una entidad poco frecuente; en Occidente, específicamente Centro y Norteamérica, su incidencia es más baja en comparación a otros países, representa solamente el 5% de las oclusiones intestinales1-3. Comprende un tema fundamental no solo para cirugía general, sino también para las especialidades no quirúrgicas involucradas con el abordaje del tracto gastrointestinal, ya que la gran mayoría de ellas amerita una resolución quirúrgica definitiva para evitar complicaciones y por ello la relevancia del diagnóstico oportuno1.
El término vólvulo deriva del latín volvere, que significa ‘enrollarse, doblarse’. Se refiere a la torsión en asa alrededor de sí mismo y de su mesenterio; en colon sigmoides ocurre específicamente cuando la última porción del colon gira sobre su eje, lo cual conlleva a oclusión intestinal, isquemia y, de no ser tratado oportunamente, a la perforación4.
Es la tercera causa de obstrucción colónica a nivel mundial. En países occidentales se presenta generalmente en pacientes del sexo masculino y mayores de 70 años. Los sitios más comúnmente afectados son el colon sigmoides (60-75%) y el ciego (25-40%)1,2,5. Es de origen multifactorial, se relaciona con dieta alta en fibra, constipación crónica, abuso de laxantes, internamiento en asilos, diabetes, padecimientos neuropsiquiátricos con reducción de autonomía, postración prolongada en cama y antecedentes de laparotomía1,4. No obstante, el factor predisponente más citado es la presencia de segmentos colónicos largos y redundantes (como sigmoides), que tienen mesenterios elongados y base estrecha1,6,7.
CASOS CLÍNICOS
Caso 1
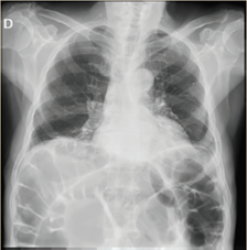
Paciente del sexo masculino, de 76 años, quien inició padecimiento actual hace 72 horas, con presencia de distensión y dolor abdominal opresivo 8/10 por “escala visual análoga” detonado por ingesta, sin presentar evacuaciones ni canalización de gases. Refirió tratamiento sintomático con antiespasmódicos, antiácidos y medicación local transrectal (supositorio), sin mejoría. Como antecedentes relevantes menciona patrón intestinal anormal con tendencia a la constipación crónica. A la exploración física dirigida, abdomen prominente a expensas de distensión de asas intestinales, peristaltismo disminuido con ruidos hidroaéreos, timpánico a la percusión con características metálicas, doloroso a la palpación superficial y media, con hiperalgesia e hiperbaralgesia, signo de rebote dudoso, tacto rectal con ámpula rectal vacía. Se realizaron radiografías posteroanterior de tórax y anteroposterior de abdomen identificando colon sigmoides redundante con aumento del patrón de distribución aérea, la cual ocasionó sobreposición de asas sobre el ángulo hepático y esplénico, presencia de material de residuo en íleon y colon ascendente, así como edema interesa (figura 1 y 2).

Imágenes: Beyuma-Mora et al.
Figura 1 AP de tórax. Aumento del patrón de distribución aérea en marco colónico, sobreposición de asas sobre ángulo esplénico y hepático

Figura 2 AP de abdomen. Colon sigmoides redundante, gran aumento del patrón de distribución aérea, sobreposición de asas sobre marco colónico, ángulo hepático y esplénico, imagen en grano de café
Se presumió obstrucción intestinal de origen a determinar, probable vólvulo sigmoideo y colon redundante. Con base en datos clínico-radiológicos, se integró el diagnóstico de obstrucción intestinal y abdomen agudo quirúrgico, razón por la cual se decidió tiempo quirúrgico mediante laparotomía exploradora. Como hallazgos quirúrgicos se obtuvo torsión de tercio medio de sigmoides y mesosigmoides en sentido contrario a las manecillas del reloj de más de 180º; colon sigmoides, descendente y transverso con distensión de asas (diámetro máximo de aproximadamente 20 cm) a tensión, pared intestinal adelgazada, sin datos de compromiso vascular ni perforación (figura 3). Tras destorsión manual se identificó fascia de Toldt laxa y mesocolon elongado (figura 4). Posterior a la descompresión se obtuvo sigmoides redundante de aproximadamente 50-60 cm; se realizó procedimiento de Hartmann con colostomía de colon descendente (figura 5).

Figura 3 Torsión de tercio medio de sigmoides y mesosigmoides en sentido contrario a las manecillas del reloj >180º, con distensión importante de asas (diámetro máximo en sigmoides de 20 cm), pared intestinal adelgazada, sin datos de compromiso vascular ni perforación

Figura 4 Tras destorsión manual y descompresión colónica se aprecia colon sigmoides redundante de aproximadamente 50-60 cm, fascia de Toldt laxa y mesocolon elongado
Caso 2
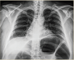
Paciente del sexo masculino, de 79 años, inició su padecimiento actual con estreñimiento de 10 días de evolución; se agrega náusea, vómito, distensión y dolor abdominal. Antecedentes relevantes: diabetes mellitus tipo 2 en control, negó antecedentes quirúrgicos; antecedentes de trauma abdominal cerrado durante la infancia posterior al cual presentó varios cuadros de distensión, y dolor abdominal difuso y estreñimiento crónico. A la exploración física dirigida se observó distensión abdominal, silencio abdominal, se palparon impresiones aparentemente de asas intestinales predominantemente en flanco e hipocondrio izquierdos; doloroso a la palpación profunda, con abdomen en tabla, signo de rebote no valorable, hipertimpanismo a la percusión. Estudios paraclínicos reportaron acidosis metabólica leve con déficit de base. Las radiografías de tórax y abdomen evidenciaron distensión importante del colon transverso hasta el ángulo esplénico e incremento del patrón de distribución aérea, así como colon sigmoides dilatado y desplazamiento e interposición de asas sobre colon ascendente y ángulo hepático con niveles hidroaéreos (figuras 6 y 7). Se integró diagnóstico de probable megacolon secundario a vólvulo intestinal complicado, con datos de peritonitis e isquemia intestinal. Se indicó laparotomía exploratoria de urgencia; como hallazgos quirúrgicos se obtuvieron colon descendente y sigmoides distendidos, diámetro máximo de 20 cm y 100 cm de longitud (figura 8), laxitud marcada de sus medios de fijación, vólvulo a nivel de transición de colon descendente y sigmoides, así como múltiples adherencias en el trayecto del colon transverso, descendente y sigmoides (figura 9). Se realizó procedimiento de Hartmann con colostomía de colon transverso.

Imágenes: Beyuma-Mora et al.
Figura 6 PA de tórax. Distensión importante de colon transverso y ángulo esplénico, incremento del patrón de distribución aérea, desplazamiento de hemidiafragma y hemitórax izquierdo

Figura 7 AP de abdomen. Colon sigmoides dilatado, desplazamiento e interposición de asas sobre colon ascendente y ángulo hepático, niveles hidroaéreos
Caso 3
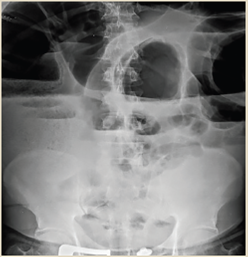
Paciente del sexo femenino, de 86 años, quien cursaba su decimosegundo día de estancia hospitalaria con diagnóstico de choque séptico y falla orgánica múltiple, asociado a infección por SARS-CoV-2, estatus de ventilación mecánica invasiva, sedoanalgesia y apoyo vasopresor. Se presentó interconsulta al servicio de cirugía general tras mostrar distensión abdominal progresiva, silencio abdominal y timpanismo marcado a la percusión. Por protocolo diagnóstico se realizó radiografía simple de abdomen en proyección anteroposterior y tomografía axial computarizada simple toracoabdominal. Se observó distensión importante de asas intestinales, con gran aumento del patrón de distribución aérea en colon sigmoides, descendente y transverso, con sobreposición en ángulo esplénico, ocupando gran parte de hipocondrio y flanco izquierdo. Se visualizó imagen clásica en “grano de café” (figura 10).

Figura 10 AP de abdomen. Distensión importante de asas intestinales, aumento del patrón de distribución aérea en colon sigmoides, descendente y transverso, sobreposición de asa en ángulo esplénico, hipocondrio y flanco izquierdo, imagen en “grano de café”
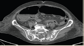
En la TAC de abdomen en corte axial se apreció dilatación importante de asas de colon, con diámetro transverso máximo de 15 cm, niveles hidroaéreos y neumatosis intestinal (figura 11). Con base en el cuadro clínico-radiológico e inestabilidad hemodinámica, se decidió realizar tiempo quirúrgico de urgencia, identificando colon sigmoides rotado en sentido antihorario, de 60 cm de longitud por 15 cm en su diámetro mayor, mesenterio redundante de colon descendente y sigmoides, aspecto necrótico con múltiples adherencias y segmentos de colon adyacente de apariencia violácea con parches de isquemia transmural (figura 12). Al no identificar peristaltismo reflejo al estimulo táctil ni recuperación de coloración tras destorsión y estímulo térmico, se determinó segmento intestinal no viable (figura 13). Se realizó procedimiento de Hartmann.

Imágenes: Beyuma-Mora et al.
Figura 11 TAC simple de abdomen, corte axial; dilatación importante de asas de colon, con diámetro transverso máximo de 15 cm, niveles hidroaéreos y neumatosis intestinal

Figura 12 Colon sigmoides con torsión en sentido anti-horario, de 60 cm de longitud x 15 cm en su diámetro mayor, mesenterio redundante de colon descendente y sigmoides. Aspecto necrótico con múltiples adherencias y segmentos de colon adyacente de apariencia violácea con parches de isquemia transmural
Caso 4
Paciente del sexo masculino, de 82 años, cursaba noveno día de estancia hospitalaria. Fue presentado al servicio de cirugía general por cuadro de intolerancia a la vía oral de 48 horas de evolución, asociado a dolor y distensión abdominal. Como antecedente relevante presenta deambulación limitada, secundaria a fractura de cadera. Quirúrgicos: apendicetomía y laparotomía exploradora por úlcera duodenal perforada. A la exploración dirigida se apreció abdomen distendido con asas visibles a través de la pared abdominal, peristaltismo aumentado en frecuencia (ruidos peristálticos de lucha), dolor abdominal generalizado a la palpación media y profunda, timpanismo marcado a la percusión sin integrar un cuadro de irritación peritoneal franco. En la radiografía anteroposterior de abdomen se apreció importante distensión de asas de colon sigmoides, con desplazamiento y sobreposición de asa hacia flanco e hipocondrio derecho, así como coprostasis en el resto del marco colónico (figura 14).

Imágenes: Beyuma-Mora et al.
Figura 14 AP de abdomen. Importante distensión de asas de colon sigmoides, con desplazamiento y sobreposición de asa hacia flanco e hipocondrio derecho
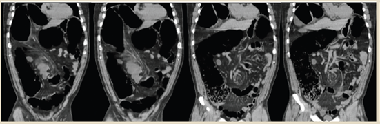
En la tomografía simple de abdomen en reconstrucción coronal se observó dilatación marcada de asas de todo el marco colónico con predominio a nivel de colon sigmoides, así como desplazamiento y sobreposición de este hacia flanco e hipocondrio derecho, con diámetro transverso máximo de 17 cm, niveles hidroaéreos y material de residuo en colon ascendente. En la topografía de la raíz del mesenterio se apreció el signo tomográfico del “remolino” o “whirpool” identificando paquete vascular mesentérico envolviéndose junto al mesenterio (figura 15). Confirmando el diagnóstico de vólvulo de sigmoides se procedió a realizar tiempo quirúrgico identificando como hallazgos colon sigmoides distendido con diámetro máximo de 18 cm, rotación a nivel de transición de colon descendente y sigmoides en contra de las manecillas del reloj, sin datos de compromiso vascular ni perforación (figura 16), elementos de fijación (mesocolon sigmoides y fascia de Toldt) redundantes (figura 17). Se completó tiempo quirúrgico mediante realización de procedimiento de Hartmann con colostomía terminal.

Imágenes: Beyuma-Mora et al.
Figura 15 TAC simple de abdomen (reconstrucción coronal). Dilatación marcada de asas de todo el marco colónico con predominio a nivel de colon sigmoides, desplazamiento y sobreposición de este hacia flanco e hipocondrio derecho, diámetro transverso máximo de 17 cm. En la topografía de la raíz del mesenterio se aprecia el signo tomográfico del “remolino” o “whirpool” identificando paquete vascular mesentérico envolviéndose junto al mesenterio

Figura 16 Colon sigmoides distendido con diámetro máximo de 18 cm, rotación a nivel de transición de colon descendente y sigmoides en contra de las manecillas del reloj, sin datos de compromiso vascular ni perforación
DISCUSIÓN
En los casos presentados se cumplen varios factores de riesgo descritos por la literatura; por ejemplo, edad avanzada, ya que en la totalidad de los casos la edad era mayor de 70 años. Esto se explica ya que con el envejecimiento los puntos de fijación a la pared abdominal se elongan4. En la mayoría de los casos se identificaron como hallazgos quirúrgicos mesos largos y redundantes, los cuales permitieron torsión mayor a los 180 grados en sentido antihorario1,6,7. Se observó mayor prevalencia en sexo masculino sobre femenino, 3 de los 4 casos expuestos lo demuestran. Esto es debido al tamaño de la pelvis en la mujer y su musculatura abdominal laxa, que permiten una destorsión de un sigmoides “flexible”1. En prácticamente todos los pacientes se respeta el cuadro con la triada clínica conformada por distensión abdominal, dolor abdominal tipo cólico, estreñimiento y vómito1,2,8.
La estancia hospitalaria prolongada, otro factor de riesgo, se documentó en la mitad de los pacientes. En el total de casos, los estudios de gabinete fueron concluyentes para la confirmación diagnóstica; la radiografía simple de abdomen fue solicitada en general por ser de primera línea, complementaria para el diagnóstico por gabinete, actualmente ha sido desplazada por la tomografía1,2. En 2 casos se realizó tomografía de abdomen, como parte del protocolo de estudio al ingreso. Se reporta en la literatura que se puede establecer el diagnóstico en un 60% de los casos mediante hallazgos clínicos y una radiografía simple de abdomen9.
Algunos de los hallazgos radiológicos valorables en una radiografía simple de abdomen, y presentes en cada caso reportado, son: colon sigmoides distendido por acumulación de gas en haustras colónicas conocido como signo del grano de café, signo de la U invertida o signo del tubo doblado, que se extiende desde la pelvis hasta el cuadrante superior derecho en el diafragma, además de los hallazgos clásicos de patrón obstructivo9. La tomografía axial computarizada (TAC) es considerada el estudio de elección con una sensibilidad del 100% y una especificidad mayor del 90%1,2,10,11. En esta, los hallazgos comentados en literatura son la dilatación del intestino proximal y colon cuando la válvula ileocecal es competente, ausencia de aire en la parte distal del colon y recto, visualización de una zona de transición, datos radiológicos directos de complicación como neumatosis y engrosamiento de la pared intestinal, y signos indirectos como líquido libre peritoneal, gas en vena porta, lesión mesentérica con hiperemia o hematoma mesentérico, y neumoperitoneo sugerente de perforación. Otro signo tomográfico proco frecuente reportado en la literatura es el del “remolino” o “whirpool”, que es el resultado de la rotación del mesenterio, de los vasos mesentéricos principales o sus afluentes y colaterales, así como de la grasa mesentérica alrededor de estos, los cuales producen elongación del pedículo vascular1,2.
En cuanto al tratamiento, éste puede variar dependiendo si existe la presencia de complicaciones o no, incluyendo opciones terapéuticas más conservadoras; no obstante, la mayoría de los pacientes requiere alguna forma de intervención quirúrgica, ya sea en fase temprana o tardía. Los objetivos del manejo quirúrgico incluyen reducción del vólvulo, control de contaminación, restauración de la continuidad intestinal de ser posible y prevención de recurrencias1. En casos no complicados (isquemia o perforación), es posible la destorsión endoscópica con posterior tiempo quirúrgico electivo, ya que el riesgo de recurrencia tras destorsión sin manejo quirúrgico posterior es de 45-71%1,12,13. A pesar de las múltiples opciones terapéuticas alternativas, la resección colónica con restauración posterior de la continuidad intestinal es el tratamiento estándar en la mayor parte de la literatura1,2,6,14. En caso de complicaciones, se debe realizar cirugía de urgencia (sigmoidectomía) con alto riesgo de requerir colostomía.
El procedimiento de Hartmann consiste en realizar una laparotomía, movilizar el colon sigmoides incidiendo en la fascia de Toldt, liberar el colon descendente y resecar el segmento de recto o colon sigmoides afectado, con posterior realización de una colostomía terminal sin tensión, generalmente abocada hacia fosa iliaca izquierda. El remanente del recto se cierra el extremo distal con material de sutura o grapas15.
Otros factores de riesgo que influyen en la necesidad de colostomía son antecedentes quirúrgicos, estado nutricional y comorbilidades. La resección con restauración posterior de la continuidad intestinal es el tratamiento emergente que va adquiriendo mayor aceptación; sin embargo, la restauración de la continuidad en un primer tiempo es aún controversial1,2,13,14. Algunos estudios apoyan la restauración de la continuidad intestinal en ausencia de contaminación peritoneal, demostrando que no hay diferencia en mortalidad entre procedimiento de Hartmann (22%) contra resección con anastomosis primaria (19%); a pesar de ello, la precaución aún es la regla y es recomendable la creación de una colostomía si hay condiciones locales o sistémicas adversas 1,2.
CONCLUSIÓN
El vólvulo de sigmoides tiene un patrón clínico-radiológico predecible. La TAC abdominal es considerada actualmente el estudio de elección; no obstante, una adecuada exploración física y una radiografía simple de abdomen pueden ser concluyentes en la mayoría de los casos. Se optó por un manejo quirúrgico de primera instancia con sigmoidectomía y creación de colostomía terminal en los casos clínicos presentados, tomando en cuenta la presencia de complicaciones, poca disponibilidad del recurso de endoscopía y las comorbilidades de los pacientes. A pesar de las recomendaciones en la literatura internacional, cada caso debe individualizarse con base en las condiciones del paciente y las limitantes de cada unidad hospitalaria, a manera de que el cirujano pueda tomar la opción terapéutica más conveniente y de forma oportuna.










nueva página del texto (beta)








