SciELO - Scientific Electronic Library Online

 
vol.90 número1Tratamiento de la estenosis traqueal sintomática durante el embarazo. Reporte de un casoComentario y respuesta al artículo: "Comparación de cuatro tablas de crecimiento fetal para la predicción de desenlaces perinatales adversos en un hospital de tercer nivel de México". índice de autoresíndice de materiabúsqueda de artículos
Home Pagelista alfabética de revistas  

Servicios Personalizados

Revista

Articulo

Indicadores

Links relacionados

  • No hay artículos similaresSimilares en SciELO

Compartir


Ginecología y obstetricia de México

versión impresa ISSN 0300-9041

Ginecol. obstet. Méx. vol.90 no.1 Ciudad de México ene. 2022  Epub 30-Mayo-2022

https://doi.org/10.24245/gom.v90i1.5805 

Casos clínicos

Ganglioneuroma durante el embarazo: reporte de un caso y revisión de la literatura

Ganglioneuroma during pregnancy: case report and literature review.

Rafael Leonardo Aragón-Mendoza1 

Jaime Arenas-Gamboa2 

Santiago Vieira-Serna3 

1 Ginecoobstetra, Unidad de Medicina Materno Fetal, Clínica Universitaria Colombia, Bogotá, Colombia.

2 Ginecoobstetra, Unidad de Medicina Materno Fetal, Clínica Universitaria Colombia, docente en la Fundación Universitaria Sanitas, Bogotá, Colombia.

3 Residente de Ginecología y Obstetricia, Fundación Universitaria Sanitas, Clínica Universitaria Colombia, Bogotá, Colombia.


Resumen

ANTECEDENTES:

El ganglioneuroma es un tumor neurogénico benigno, con origen en las células ganglionares. Se desconoce su incidencia durante el embarazo en virtud de los pocos casos reportados. Su diagnóstico y tratamiento son un desafío porque es necesario tomar en cuenta a la madre y al feto.

OBJETIVO:

Reportar el caso de una embarazada con diagnóstico de ganglioneuroma retroperitoneal y revisar la bibliografía de su diagnóstico, tratamiento y pronóstico para la madre y el feto.

CASO CLINICO:

Paciente de 32 años, con 16 semanas de embarazo que acudió a Urgencias debido a un dolor en el hipocondrio derecho. Antecedente de colelitiasis. En la ecografía y resonancia magnética se observó un tumor retroperitoneal, de naturaleza desconocida, en el fondo de saco de Douglas de 107 x 96 x 81 milímetros. La biopsia percutánea y el análisis de histopatología reportaron un tumor de origen neural benigno. El embarazo finalizó con cesárea, indicada por distocia mecánica, con recién nacido sano y tratamiento quirúrgico posterior de resección por laparotomía. El diagnóstico histopatológico definitivo fue: ganglioneuroma.

CONCLUSIONES:

Los ganglioneuromas durante el embarazo suelen ser sumamente raros porque casi todos son asintomáticos. Lo común es que sean un hallazgo. El primer acercamiento diagnóstico es con la ecografía complementada con la resonancia magnética. El diagnóstico definitivo del tumor es histopatológico y el tratamiento es la resección quirúrgica, que puede diferirse incluso hasta después del parto, con un buen pronóstico para la madre y adecuado desenlace para el feto.

PALABRAS CLAVE: Incidencia; embarazo; neoplasias retroperitoneales; colelitiasis; resonancia magnética; distocia

Abstract

BACKGROUND:

Ganglioneuroma is a benign neurogenic tumor of ganglion cell origin. Its incidence during pregnancy is unknown due to the few cases reported. Its diagnosis and treatment are a challenge because it is necessary to consider the mother and the fetus.

OBJECTIVE:

To report the case of a pregnant woman diagnosed with retroperitoneal ganglioneuroma and review the literature on its diagnosis, treatment and prognosis for the mother and fetus.

CLINICAL CASE:

A 32-year-old patient, 16 weeks pregnant, came to the emergency room due to pain in the right hypochondrium. History of cholelithiasis. Ultrasound and magnetic resonance imaging showed a retroperitoneal tumor of unknown nature in the Douglas pouch measuring 107 x 96 x 81 millimeters. Percutaneous biopsy and histopathology analysis reported a tumor of benign neural origin. The pregnancy ended with cesarean section, indicated by mechanical dystocia, with healthy newborn and subsequent surgical treatment of resection by laparotomy. The definitive histopathological diagnosis was: ganglioneuroma.

CONCLUSIONS:

Ganglioneuromas during pregnancy are usually extremely rare because almost all are asymptomatic. They are most commonly a finding. The definitive diagnosis of the tumor is histopathological and the treatment is surgical resection, which can be deferred until after delivery, with a good prognosis for the mother and an adequate outcome for the fetus.

KEYWORDS: Ganglioneuroma; Incidence; Pregnancy; Retroperitoneal neoplasms; Cholelithiasis; Magnetic Resonance Imaging; Dystocia

ANTECEDENTES

El ganglioneuroma es un tumor neurogénico benigno que se origina en las células ganglionares;1 puede ser de novo o resultado de la maduración de un neuroblastoma o ganglioneuroblastoma.2 Los ganglioneuromas están compuestos de células de Schwann maduras, células ganglionares y fibras nerviosas.1,3,4 Son los tumores más comunes del sistema nervioso simpático en los adultos. Su incidencia es de un caso por cada millón de habitantes.5,6 Se localizan, sobre todo, en la parte posterior del mediastino, luego en el espacio retroperitoneal, región cervical, glándula suprarrenal y ganglios simpáticos de la pelvis.6-9 Son tumores casi siempre asintomáticos10 que, al alcanzar gran tamaño, causan dolor abdominal. Algunos son tumores funcionales, secretores de péptidos catecolaminérgicos, polipéptidos intestinales vasoactivos u hormonas androgénicas que pueden producir síntomas por disfunciones autonómicas.1,4,6 La tomografía y la resonancia magnética son los estudios imagenológicos a los que se recurre para caracterizar el tumor. El tratamiento consiste en la extirpación quirúrgica y el estudio histopatológico; las recurrencias tumorales posteriores son infrecuentes.1,5-8,10

La incidencia de este tumor durante el embarazo se desconoce. Su diagnóstico en esta condición es un desafío terapéutico porque las consideraciones de tratamiento deben tener en cuenta a la madre y al feto. Es importante dar a conocer el tratamiento recibido con el que se logró un adecuado desenlace para la madre y el feto. Además, revisar la bibliografía para que los obstetras puedan caracterizar debidamente a las embarazadas con diagnóstico de ganglioneuroma, consideren el tratamiento y puedan determinar su pronóstico.

CASO CLINICO

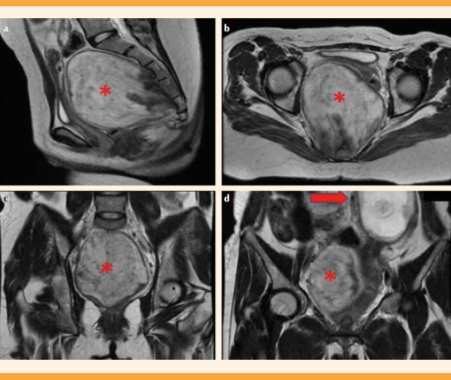
Paciente de 32 años, primigesta, con 16 semanas de embarazo. Acudió a Urgencias debido a un dolor en el hipocondrio derecho, tipo cólico, de intensidad 6 de 10, de 15 días de evolución. En los controles prenatales previos no se habían reportado complicaciones. Las cifras tensionales al ingreso fueron: 120-76 mmHg, frecuencia cardiaca de 75 lpm, frecuencia respiratoria de 18 rpm, temperatura de 36.9 oC. Dolor a la palpación en la parte derecha del hipocondrio, sin signos de irritación peritoneal, con una altura uterina de 15 centímetros, frecuencia cardiaca fetal de 143 lpm. Sospecha diagnóstica: cólico biliar, causa del dolor abdominal. Se decidió hospitalizarla para efectuarle estudios complementarios, y controlar el dolor. El hemograma no reportó leucocitosis ni neutrofilia. Las pruebas de función hepática reportaron que las concentraciones de transaminasas eran normales, lo mismo que de bilirrubinas. La ecografía obstétrica informó adecuado bienestar fetal. La ecografía total del abdomen evidenció colelitiasis y una masa en el fondo de saco de Douglas retroperitoneal, con contornos regulares, hipoecogénica, sólida, de 107 x 96 x 81 milímetros, con captación Doppler central tipo II (Figura 1). La resonancia magnética confirmó la existencia de una masa sólida, de contornos parcialmente definidos, localizada en el espacio presacro, de 100 x 85 x 90 milímetros; hipointensa en T1 e hiperintensa en T2. La masa contenía conductos hipointensos en T2 que se extendían a los forámenes sacros derechos. En las estructuras óseas y vasculares no se identificaron alteraciones (Figura 2). La impresión diagnóstica fue de tumor retroperitoneal, de origen neural. Ante el diagnóstico de tumor de naturaleza desconocida se solicitó el estudio de los marcadores tumorales: CA-125: 39.7 U/mL, antígeno carcinoembrionario: 0.4 ng/mL, antígeno carbohidratado: 19-9 (CA 19-9): 9.35. U/mL. La biopsia percutánea, guiada por tomografía, se informó sin complicaciones (Figura 3). Al segundo día de hospitalización desapareció el cólico biliar, razón para otorgarle el alta hospitalaria.

Figura 1 Ecografía del ganglioneuroma: lesión sólida, de contornos regulares, hipoecogénica, homogénea de 107 x 96 x 81 milímetros. 

Figura 2 Resonancia magnética del ganglioneuroma. La lesión en el espacio presacro se aprecia con contornos parcialmente definidos, de 100 x 85 x 90 milímetros, en fase T2 hiperintensa, con conductos hipointensos que se extienden a los forámenes sacros derechos; a. corte sagital; b. corte axial; c. corte coronal; d. corte coronal de relación ganglioneuroma (*) con útero grávido (flecha). 

Figura 3 Biopsia percutánea guiada por tomografía. 

Los estudios de inmunohistoquímica mostraron positividad a células tumorales para S100 y negatividad para actina de músculo liso, CD34, CD117, EMA, CK AE1/AE3, con un índice de proliferación de células con ki-67 menor al 1%. Todo esto hizo suponer que se trataba de un tumor de origen neural, benigno: posible schwanoma. Ante la naturaleza benigna del tumor se decidió el seguimiento clínico, con tratamiento quirúrgico posterior a la finalización del embarazo de término.

La paciente continuó el control prenatal mensual en el servicio de Medicina Materno Fetal, sin complicaciones. A las 39 semanas se programó la cesárea por distocia mecánica porque el tumor retroperitoneal, a la altura del espacio presacro, estaba ocupando la vía del parto. El recién nacido, sano, pesó 2740 gramos, con APGAR 8-9-9 al minuto, 5 y 10 minutos, respectivamente. La evolución fue adecuada, con alta hospitalaria de la madre y su hijo, sin complicaciones.

A los seis meses de la finalización del embarazo se efectuó la resección quirúrgica por laparotomía, con hallazgo de una masa retroperitoneal, de consistencia blanda que ocupaba toda la pelvis menor, de 15 x 12 centímetros de diámetro, de coloración parda clara y rodeada de una pseudocápsula laxa, situada posterior al útero, medial al recto y firmemente adherida al sacro. La resección transtumoral del componente anterior de la masa fue del 80%. Durante el mismo tiempo quirúrgico se hizo la resección del 15 al 18% de la masa que quedaba en el margen posterior. Por el riesgo de lesión nerviosa se dejó un lecho aproximado del 2 al 5% del tumor residual.

La evolución trascurrió sin complicaciones y al cuarto día se dio de alta del hospital. El estudio histopatológico definitivo reportó dos tejidos irregulares, de color pardo claro, con tejido fibroconectivo en su superficie. El fragmento de mayor tamaño midió 11 x 9.5 x 5 centímetros (Figura 4). El de menor tamaño 1 x 0.8 x 0.1 centímetros. En conjunto, pesó 385 gramos. Luego de trascurridos 36 meses la paciente se encontraba asintomática.

Figura 4 Reporte histopatológico: ganglioneuroma de 11 x 9.5 x 5 centímetros (tumor pardo claro, con tejido fibroconectivo en su superficie). 

METODOLOGIA

Con el propósito de tener mayor claridad de las características, diagnóstico, tratamiento y pronóstico para la madre y el feto en casos de ganglioneuroma durante el embarazo se efectuó una búsqueda bibliográfica en las bases de datos de: PubMed, ScienceDirect, LILACS y SciELO con los MeSH: “embarazo” y “ganglioneuroma”. Se incluyeron reportes de caso, series de casos y revisiones bibliográficas en inglés y español publicadas entre enero de 2000 y diciembre de 2020 que describieran el diagnóstico, tratamiento y pronóstico de la madre y el feto en casos de ganglioneuromas durante el embarazo. Se excluyeron los casos diagnosticados 12 semanas posteriores al parto. Dos autores, de manera independiente, seleccionaron los artículos por título y resumen. De los artículos que cumplían con los criterios de población y diseño se buscó el texto completo, se verificó el cumplimiento de los criterios de inclusión y, en caso de discrepancia, un tercer autor, posterior al análisis del artículo, definió o no su inclusión. Las variables evaluadas fueron: edad, síntomas, diagnóstico, tamaño, tratamiento, momento de la cirugía, vía de finalización del embarazo, desenlace en el feto y complicaciones maternas.

Aspectos éticos

Se solicitó autorización a la paciente, luego del consentimiento informado escrito y al comité de ética de la institución para la publicación del caso clínico. Se tomaron las precauciones suficientes para garantizar la confidencialidad de la información, el anonimato de la paciente y el registro fotográfico fue tomado por los autores.

RESULTADOS Y DISCUSION

Se encontraron 801 artículos, incluidos 6 reportes de caso que cumplieron con los criterios de búsqueda en texto completo (Cuadro 1). De los 6 casos reportados 4 fueron en pacientes entre 20 y 30 años2,3,9,11 y 2 en pacientes entre 31 y 40 años.10,11 El diagnóstico durante el embarazo es complejo debido a la distensión del abdomen. Estos tumores alcanzan un gran tamaño antes de ser diagnosticados. El de menor tamaño midió 7 cm12 y el más grande 20 cm.9 Todos los casos reportados fueron asintomáticos,2,3,9-12 por lo que su identificación fue fortuita en los estudios ecográficos. El diagnóstico se estableció en el primer trimestre en tres casos;2,9,10 en el segundo en dos casos11,12 y un caso en el tercer trimestre.3

Cuadro 1 Resumen de los casos de ganglioneuromas asociados al embarazo 

Autor Edad en años Semanas al diagnóstico Síntomas Localización Tamaño del diámetro en centímetros Tipo de finalización Tratamiento Recurrencia o mortalidad
Acín-Gándara D10 36 2 Asintomática Retroperitoneal 15 Voluntaria a las 2 semanas Laparotomía Sin reporte
Sousa R9 26 13 Asintomática Retroperitoneal 20 Cesárea, a las 38 semanas, sano Laparotomía a las 18 semanas No la hubo
Swaminathan K12 26 20 Asintomática Suprarrenal 7 Parto, 38 semanas sano Laparoscopia a las 22 semanas Sin reporte
Kim J2 29 6 Asintomática Retroperitoneal 10 x 7 x 6 Cesárea, a término, sano Laparotomía y cesárea Resección incompleta, sin mortalidad
Rios A11 38 25 Asintomática Suprarrenal 11 x 7.5 Cesárea, a término, sano Laparotomía poscesárea un mes después No la hubo
Wang X 3 21 33 Asintomática Retroperitoneal En 3 partes: 6 x 7 x 6, 3 x 3 x 3, 3 x 3 x 4 Cesárea, a término, sano Laparotomía poscesárea No la hubo

El primer acercamiento diagnóstico para un ganglioneuroma durante el embarazo puede ser la ecografía. Con ésta puede observarse una masa hipoecoica, homogénea y debidamente delimitada; sin embargo, es difícil distinguirla de otras lesiones tumorales, como las masas anexiales o los miomas.2 La tomografía computada es útil para evaluar tumores neuroblásticos.2 La resonancia magnética es el mejor método no invasivo para el estudio preoperatorio durante el embarazo9 debido a la mejor caracterización de la lesión (localización, morfología, composición del tejido y delineamiento de planos). Con este método se observan masas ovales, semilunas o lobuladas debidamente circunscritas, con tendencia a rodear por completo los vasos sanguíneos, con poco o ningún daño a la luz.1 Las imágenes ponderadas en T1 son homogéneas, con baja intensidad de señal. En las ponderadas en T2 la intensidad de la señal depende de la proporción de estroma mixoide, la celularidad y las fibras de colágeno. Los tumores con una intensidad de señal intermedia a alta constan de numerosos componentes celulares y fibrosos con una pequeña cantidad de estroma mixoide. Los tumores con una intensidad de señal marcadamente alta constan de gran cantidad de estroma mixoide y relativamente pocos componentes celulares y fibrosos.1,2 Una de las características de la resonancia magnética del ganglioneuroma son las bandas curvilíneas de baja intensidad de señal en las imágenes ponderadas en T2, que dan al tumor una apariencia en espiral que representan haces entrelazados de células de Schwann orientadas longitudinal y transversalmente, que se entrecruzan de forma irregular y fibras de colágeno dentro del tumor.1 Incluso hasta el 57% de estos tumores tienden a captar el radionúclido metayodobencilguanidina (123I o 131I-MIBG) pero no es una opción diagnóstica durante el embarazo.2,9 El estudio histopatológico previo a la cirugía puede efectuarse en las lesiones en las que no es clara su clasificación por estudios imagenológicos mediante una biopsia percutánea por aspiración con aguja fina. Puesto que el tejido tumoral de la muestra es limitado, el diagnóstico puede resultar inexacto7 por lo que deberá confirmarse con el estudio de la pieza completa posterior a la extirpación quirúrgica.3,5,6 Solo se efectuaron dos biopsias percutáneas sin complicaciones durante el embarazo. La primera a las dos semanas10 y en la paciente del caso a las 16; sin embargo, dio como primera impresión diagnóstica un tumor de origen neural benigno, posible schwanoma y con la pieza quirúrgica el diagnóstico definitivo de ganglioneuroma.

El tratamiento de elección es la resección quirúrgica completa del tumor.2 En una paciente se efectuó enseguida de la finalización voluntaria del embarazo, en el primer trimestre. En otras dos pacientes10 se hizo en el trascurso del segundo trimestre,9,12 durante el mismo tiempo quirúrgico de la cesárea en una de ellas2 y posterior al desenlace obstétrico en la otra,3,11 como en la paciente del caso. Debido al carácter benigno del ganglioneuroma es posible diferir la cirugía hasta después del parto a término.11 En los tumores de gran tamaño, sintomáticos por la compresión, puede considerarse la resección quirúrgica durante el segundo trimestre. Cuando la extirpación quirúrgica es técnicamente difícil puede optarse por la conducta expectante.2,9 Puesto que el ganglioneuroma es un tumor benigno, la quimioterapia o radioterapia no tienen indicación.2

Por lo que hace al desenlace del feto, en uno de ellos se optó por la finalización voluntaria del embarazo, para tratar el tumor.10 En los cinco casos restantes los recién nacidos por cesárea fueron sanos.2,3,9,11,12 En relación con las complicaciones obstétricas, los ganglioneuromas funcionales pueden ocasionar hipertensión arterial, síndrome de Cushing, virilización de la paciente e incremento de la morbilidad.11 El parto es un enfoque válido9 aunque puede complicarse por la ubicación y tamaño del ganglioneuroma y dar lugar a la distocia mecánica, tal como sucedió en la paciente del caso; el tumor era retroperitoneal, a nivel presacro, que ocupaba la vía cervical que no permitió el parto.

CONCLUSION

El ganglioneuroma durante el embarazo es sumamente raro. Es un tumor de gran tamaño, asintomático; su diagnóstico es fortuito y se fundamenta en la ecografía complementada con resonancia magnética, que es de elección para el estudio radiológico preoperatorio. El diagnóstico definitivo se establece con el estudio histopatológico del tumor. El tratamiento es la resección quirúrgica, que puede diferirse hasta después del parto en virtud de su carácter benigno. El pronóstico de la madre suele ser bueno y el desenlace del feto, satisfactorio.

REFERENCIAS

1. Rha SE, Byun JY, Jung SE, Chun HJ, Lee HG, Lee JM. Neurogenic tumors in the abdomen: tumor types and imaging characteristics. Radiographics 2003; 23(1): 29-43. https://doi.org/10.1148/rg.231025050 [ Links ]

2. Kim JO, Kim YH, Kim YH, Kim JW, Song TB. Incidentally detected ganglioneuroma during pregnancy: A case report. Obstet Gynecol Sci 2014; 57 (3): 228-31. https://doi.org/10.5468/ogs.2014.57.3.228 [ Links ]

3. Wang X, Yang L, Shi M, Liu X, Liu Y, Wang J. Retroperitoneal ganglioneuroma combined with scoliosis: A case report and literature review. Medicine 2018; 97(37): e12328. https://doi.org/10.1097/MD.0000000000012328 [ Links ]

4. Binda MC, Afione C, Miklaszewski J, Pardes E, et al. Optimización del uso de las imágenes en la patología suprarrenal (parte 2). Revista Argentina de Radiología 2013; 77 (4): 255-66. https://doi.org/10.7811/rarv77n4a03 [ Links ]

5. Spinelli C, Rossi L, Barbetta A, Ugolini C, Strambi S. Incidental ganglioneuromas: a presentation of 14 surgical cases and literature review. J Endocrinol Invest 2015; 38 (5): 547-54. https://doi.org/10.1007/s40618-014-0226-y [ Links ]

6. Gültekin M, Dursun P, Salman C, Ozyüncü O, Saglam A, Küçükali T, Ayhan A. Ganglioneuroma mimicking ovarian tumor: a report of a case and review of the ganglioneuromas. Arch Gynecol Obstet 2005; 271 (1): 66-8. https://doi.org/10.1007/s00404-003-0575-9 [ Links ]

7. Cerullo G, Marrelli D, Rampone B, Miracco C, Caruso S, Di Martino M, Mazzei MA, Roviello F. Presacral ganglioneuroma: a case report and review of literature. World J Gastroenterol 2007; 13 (14): 2129-31. https://doi.org/10.3748/wjg.v13.i14.2129 [ Links ]

8. Eschler DC, Kogekar N, Pessah-Pollack R. Management of adrenal tumors in pregnancy. Endocrinol Metab Clin North Am 2015; 44(2): 381-97. https://doi.org/10.1016/j.ecl.2015.02.006 [ Links ]

9. Sousa-Santos R, Coelho D, Oliveira P. 1st trimester incidental abdominopelvic mass: ganglioneuroma in pregnancy. J Obstet Gynaecol 2012; 32 (3): 307-9. https://doi.org/10.3109/01443615.2011.647733 [ Links ]

10. Acín-Gándara D, Carabias A, Bertomeu A, Giménez-Alvira L, Colao L, Limones M. Giant retroperitoneal ganglioneuroma. Rev Esp Enferm Dig 2010; 102 (3): 205-7. https://doi.org/10.4321/s1130-01082010000300008 [ Links ]

11. Ríos A, Alemón LF, Ruiz J, Rodríguez JM. Adrenal ganglioneuroma in a pregnant woman. Cir Esp 2017; 95 (1): 49-51. https://doi.org/10.1016/j.ciresp.2016.05.014 [ Links ]

12. Swaminathan K, SureshKumar A, UshaRani K, Hemaleka R. Adrenal mass in pregnancy: Diagnostic approach and dilemas. Apollo Medicine 2013; 10(2): 159-61. https://doi.org/10.1016/j.apme.2013.05.012 [ Links ]

Este artículo debe citarse como: Aragón-Mendoza RL, Arenas-Gamboa J, Vieira-Serna S. Ganglioneuroma durante el embarazo: reporte de un caso y revisión de la bibliografía. Ginecol Obstet Mex 2022; 90 (1): 107-114.

Recibido: Junio de 2021; Aprobado: Julio de 2021

Correspondencia Rafael Leonardo Aragón Mendoza rafaaragon2@hotmail.com

Creative Commons License Este es un artículo publicado en acceso abierto bajo una licencia Creative Commons