Introducción
La ateroesclerosis del tronco braquiocefálico (TBC) es una patología poco común y las indicaciones de tratamiento siguen sin estar definidas claramente1. El tratamiento puede ser abierto, híbrido o endovascular2,3.
Existen diferentes opciones de abordaje quirúrgico, técnicas de angioplastia y colocación de stent para la estenosis del TBC, cada una con ventajas y desventajas. En este caso, intentamos valorar la utilidad de un stent recubierto con balón expandible a diferentes diámetros para el tratamiento endovascular de la estenosis del TBC.
Caso clínico
Varón de 59 años con múltiples factores de riesgo cardiovascular que acude a urgencias con debilidad del miembro superior izquierdo de 2 días de evolución. En la exploración física se evidencia asimetría de la presión arterial entre los miembros superiores derecho e izquierdo, y ausencia de pulso en el miembro superior derecho. El resto del examen neurológico es normal.
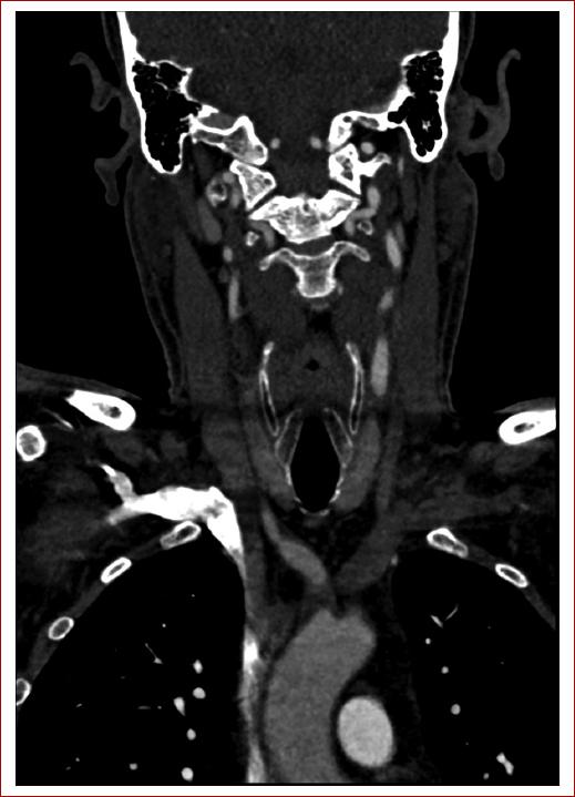
Se realiza una ecografía de troncos supraaórticos (TSA), en la cual se objetivan pequeñas placas de ateroma en ambos bulbos carotídeos. En el eje carotídeo derecho se evidencia un flujo atenuado con ascenso sistólico lento y velocidad pico sistólica disminuida. La arteria vertebral derecha muestra una velocidad pico sistólica elevada, con ausencia de flujo diastólico y morfología de inversión de flujo en diástole en relación con la actividad del miembro superior derecho. Se realiza una angiotomografía de TSA que muestra ateromatosis calcificada en segmentos petrosos de ambas arterias carótidas internas (Fig. 1) y estenosis de aproximadamente 8 mm de longitud del origen del TBC con una reducción de diámetro superior al 90%, y con dilatación posestenótica, como puede observarse en la reconstrucción 3D de las imágenes tomográficas (Fig. 2). En la resonancia magnética cerebral se aprecian lesiones sugestivas de eventos isquémicos previos en el lóbulo frontal derecho distal correspondientes a territorios de la arteria cerebral anterior y la arteria cerebral media derecha (Fig. 3), por lo que se ingresa al paciente en la unidad de ictus.

Figura 1 Angiotomografía de troncos supraaórticos: estenosis en origen del tronco braquiocefálico con dilatación posestenótica.

Figura 2 Reconstrucción 3D en la que se observa la estenosis del tronco braquiocefálico y la dilatación posestenótica.

Figura 3 Eje carotídeo derecho: se evidencia un flujo atenuado con ascenso sistólico lento y velocidad pico sistólica disminuida.
El caso fue discutido en sesión por el equipo multidisciplinario neurovascular, valorando las posibles causas: enfermedad de Takayasu estenosante y ateroesclerosis. Basándonos en las pruebas de laboratorio y de imagen realizadas (reactantes de fase aguda normales, pruebas de imagen que no muestran engrosamiento de las paredes arteriales), los factores de riesgo cardiovascular del paciente y la presencia de estenosis sintomática mayor del 90% del TBC, se decide tratamiento endovascular de la estenosis.
Bajo anestesia general se realizan punción femoral ecoguiada y cervicotomía abierta longitudinal corta derecha para disecar y controlar la arteria carótida común. Se mantiene control intraoperatorio mediante electroencefalograma vigilado por un neurofisiólogo y control de la perfusión cerebral mediante INVOS.
Desde el abordaje femoral se introduce una guía hidrófila de 0.035 × 260 cm angulada (TERUMO® RADIOFOCUS®), se coloca un catéter pigtail centimetrado de 5 Fr en la aorta ascendente y se realiza una aortografía intraoperatoria con bomba de contraste, confirmando una estenosis crítica de TBC. Mediante punción de la arteria carótida común se realiza el abordaje retrógrado del TBC y se sobrepasa la lesión con la guía hidrófila de 0.035 × 260 cm angulada, y un catéter multipropósito de 5 Fr se intercambia por una guía rígida con paso de la misma a la aorta descendente. Se realiza una arteriografía de control para observar tanto los TSA como las ramas aórticas viscerales. Confirmando su permeabildiad, se procede al implante de un stent recubierto expandible con balón de 11 × 29 mm (GORE® VIABAHN®, VBX, Flagstaff, AZ) insinuado en la aorta (Fig. 4). Se realiza dilatación con balón para adaptar el stent a la dilatación posestenótica. Se realiza una arteriografía de control en la que se evidencian el correcto posicionamiento del stent adaptado al diámetro proximal y distal de la zona tratada, la ausencia de estenosis residual y sin complicaciones inmediatas.

Figura 4 Implante de stent recubierto expandible con balón de 11 × 29 mm en el tronco braquiocefálico insinuado en la aorta.
Tras la cirugía, el paciente evoluciona favorablemente y permanece hemodinámicamente estable durante su ingreso en la unidad de reanimación posquirúrgica, sin complicaciones tras el procedimiento.
A las 48 horas del procedimiento, el paciente fue dado de alta sin complicaciones.
En la revisión en consulta a los 6 meses, el paciente se encuentra asintomático, habiendo utilizado doble antiagregación con ácido acetilsalicílico y clopidogrel. En la exploración física se evidencia que conserva el pulso radial y cubital derecho. Además, no presenta nueva focalidad neurológica y en la angiotomografía de TSA de control se evidencia la permeabilidad del stent, sin imágenes sugestivas de complicación (Fig. 5). La ecografía de control muestra mejoría de la velocidad pico sistólica en la arteria carótida común, la ACI y la arteria carótida externa (Fig. 6).
Discusión
El tratamiento endovascular ha reemplazado en gran medida a la cirugía abierta de las estenosis arteriales ostiales de TBC4.
El abordaje retrógrado de la arteria innominada mediante acceso por la arteria carótida común permite el control preventivo de ictus homolateral; este abordaje es una opción quirúrgica aceptable4-6. En nuestro caso utilizamos este abordaje por las características de la placa (blanda, heterogénea y ubicada en el origen del TBC) y por el riesgo de embolización de esta, se decidió la colocación de un stent recubierto con balón expandible. La angioplastia simple con balón tiene buenos resultados iniciales, pero la reestenosis de la lesión es muy común a medio plazo7.
La colocación de un stent recubierto muestra mejores resultados que los no recubiertos8; sin embargo, las diferencias entre un stent y otro no han sido demostradas4.
La patología de TBC es poco frecuente, por lo que la literatura encontrada es escasa. Hemos hallado referencias del uso de stent recubierto en otras afecciones, como fístulas, pseudoaneurismas y patología del arco aórtico6,9-11.
En nuestro caso, al encontrarnos con una placa inestable, con alto riesgo de embolización, ubicada en el ostium del TBC, y siendo la estenosis del 90% y con diámetros diferentes entre la zona proximal y distal de la lesión, escogimos el stent recubierto con balón expandible (GORE® VIABAHN® VBX, Flagstaff, AZ), que está fabricado con anillos de acero inoxidable que brindan alta resistencia radial, flexibilidad, adaptabilidad y acortamiento mínimo con la posibilidad de posdilatar el diámetro nominal y adaptarlo a los diferentes diámetros arteriales a tratar12-14.
La tasa de permeabilidad primaria con stent de TBC es elevada. En una serie retrospectiva de 40 pacientes, la permeabilidad primaria a los 4 años fue del 86.8%, pero no diferencian entre los tipos de stents utilizados15.
La reestenosis asociada al uso de stent en TBC es de aproximadamente el 9%. Sin embargo, el número de eventos isquémicos recurrentes es mucho más bajo, por lo que se recomienda el seguimiento mediante pruebas de imagen a largo plazo2.
Conclusiones
La elección de GORE® VIABAHN® VBX en este caso nos dio la fiabilidad de vencer una lesión puntual, ostial, y de ajustarlo a la dilatación posestenótica.
Esta experiencia inicial con GORE® VIABAHN® VBX puede permitir un tratamiento seguro en este tipo de casos.
El abordaje retrógrado por vía cervical para la colocación de un stent en el TBC es un procedimiento con resultados aceptables.
Se necesitan estudios multicéntricos con una cohorte más grande y un seguimiento más largo para validar estos hallazgos.









nueva página del texto (beta)




