Introducción
La trombosis venosa cerebral (TVC) consiste en la presencia de trombosis en el seno venoso dural, que recibe sangre de venas externas e internas del cerebro; es una enfermedad infrecuente, la incidencia anual varía de 0.22 a 1.57 por 100,000 habitantes1,2 Es una patología más frecuente en relación con la trombosis arterial, la edad media de los pacientes es de 37 años, y en comparación con los hombres, las mujeres son más afectadas a edades tempranas.3
La patogénesis es multifactorial, lo más importante para esta patología son condiciones protrombóticas, genéticas o adquiridas, anticonceptivos orales, puerperio, malignidad, infección y traumas craneales.4,5 Se asocia con síntomas inespecíficos, de presentación aguda y puede producir aumento de la presión intracraneal, dentro de los signos y síntomas clínicos están: cefalea, alteraciones visuales, afasia, parálisis facial, así como hemiparesia o hemihipoestesia a nivel de las extremidades, crisis epilépticas focales e infarto que afecta principalmente a la corteza parasagital.3,4
No hay estudios bioquímicos que orienten al diagnóstico. Éste se basa en la alta sospecha diagnóstica y en el protocolo de abordaje en los pacientes con focalizaciones neurológicas, crisis convulsiva de primera vez o síndrome de hipertensión craneal. La punción lumbar está indicada para descartar otras entidades como meningitis, sin embargo, los hallazgos para esta patología son inespecíficos en líquido cefalorraquídeo.4,5
La tomografía puede dar imágenes atípicas que rebasen los límites de infarto o edema de las zonas arteriales, infarto hemorrágico o hemorragia intracerebral lobular de origen poco claro. La neuroimagen es el estándar de oro para el diagnóstico de tipo resonancia magnética contrastada y venografía por resonancia magnética.4-6 Esta patología es potencialmente reversible con un diagnóstico rápido y atención médica adecuada.
Presentación del caso
Paciente de 34 años, casada, ama de casa. Niega antecedentes crónico-degenerativos y alergias. Con antecedentes ginecoobstétricos gesta 2, cesárea 1, aborto 0, MPF (método de planificación familiar) con ACO, con 8.2 SDG hasta ese momento normoevolutivo.
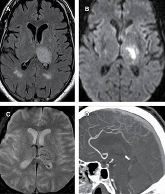
Inicia padecimiento actual siete días previos a su ingreso con cefalea occipital de intensidad moderada, que se intensifica al paso de los días, haciendo énfasis en que empeoraba al estar acostada, se agregan náuseas y vómitos, sugestivos de cráneo hipertensivo, por lo que acude a hospital, donde ingresa con Glasgow de 15 puntos, se realiza RM, que muestra trombosis del seno venoso transverso izquierdo y hemorragia intraparenquimatosa temporoparietal izquierda (Figura 1). La paciente presenta deterioro del estado neurológico, requiriendo manejo avanzado de vía aérea y es trasladada a Unidad de Cuidados Intensivos.

Figura 1: A) En plano transversal en secuencia fast-FLAIR se observa hiperintensidad en tálamo izquierdo. B) Venografía por RM en corte transversal se observa la trombosis del seno transversal izquierdo a nivel de tálamo izquierdo. C) En secuencia T2 no se delimita de manera objetiva la afección venosa. D) Venografía por RM en corte sagital revela imagen isointensa en seno sagital superior.
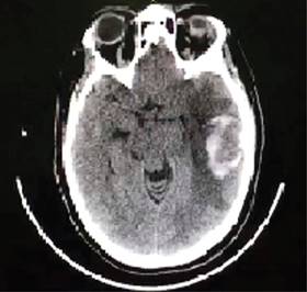
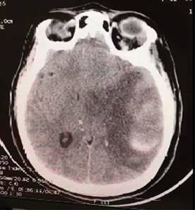
A su ingreso en UCI se recibe paciente bajo intubación orotraqueal y ventilación mecánica invasiva bajo sedación, a su llegada se realiza tomografía de cráneo simple, la cual muestra: hematoma parenquimatoso temporoparietal izquierdo, de 55 × 88 × 50 mm (aproximadamente 38 cm3), edema cerebral, colapso de sistema ventricular lateral ipsilateral y desviación de la línea media 9 mm aproximados (Figura 2), es valorada por neurocirugía, descartándose manejo quirúrgico de urgencia, se inicia terapia osmolar con soluciones hipertónicas al 7.5%, medidas antitrombóticas, y resto de manejo con base en metas internacionales de paciente neurocrítico, manteniendo evolución estacionaria, la nueva tomografía de cráneo cinco días después de su ingreso (Figura 3) muestra infarto cerebral en hemisferio izquierdo y sangrado intraparenquimatoso antiguo, el cual se encuentra en procesos de reabsorción, además de edema cerebral severo, por lo que amerita intervención por neurocirugía, donde se realiza craniectomía parietofrontal izquierda, para mejoría de compliance cerebral. La TAC de control posterior a evento quirúrgico (Figura 4) reporta disminución del edema.

Figura 2: Tomografía computarizada de cráneo con presencia de hematoma parenquimatoso temporoparietal izquierdo, 38 cm3 aproximadamente.

Figura 3: Tomografía computarizada de cráneo con presencia de sangrado intraparenquimatoso en proceso de reabsorción y edema cerebral.
La paciente continuó bajo soporte ventilatorio y sedoanalgesia con propofol y dexmedetomidina por 48 horas posteriores a intervención quirúrgico, iniciándose ventana neurológica que permite observar focalización de hemicuerpo derecho, logrando destete progresivo de ventilación mecánica satisfactorio, valorándose el estado de alerta con una puntuación de 12 en la escala de coma de Glasgow.
Durante su estancia se realizan policultivos reportándose negativos, además, desde su ingreso a terapia intensiva es valorada continuamente por ginecología, que describía embarazo normoevolutivo sin indicación para desembarazo.
Se decide egreso de UCI 72 horas posteriores a su extubación, con mejoría del estado neurológico, Glasgow de 14 puntos, desorientada en tiempo y espacio, queda en piso a cargo de neurocirugía y ginecología, en vigilancia estrecha y en su evolución presenta mejoría de la hemiparesia, fuerza 4/5 en hemicuerpo derecho, con llenado capilar adecuado.
Egresándose a su unidad de adscripción con los diagnósticos mencionados, 10.2 SDG, en seguimiento por la consulta externa de ginecología hasta llegar a término, y en la semana 37.4 de gestación se inicia trabajo de parto, por lo que se decide realizar cesárea, obteniendo producto único vivo, con APGAR 8/10 con peso 2,700 gr y talla 49 cm, sin complicaciones aparentes.
Discusión
La trombosis venosa cerebral es una localización infrecuente de la enfermedad venosa trombótica. En México, a través del Registro Nacional Mexicano de Enfermedad Vascular Cerebral (RENAMEVASC) se evidenció que 3% del evento vascular cerebral total se debe a la trombosis venosa cerebral,7 mostrando una prevalencia mayor, en relación a estudios internacionales, que documentan que constituye el 0.5% de todos los eventos vasculares cerebrales, su incidencia es de 1.3 de cada 100,000 personas.
Como ya se describió, dentro de los factores de riesgo relevantes está la sepsis y estados protrombóticos;8 en el caso de esta paciente, se contaba con el antecedente de ingesta de anticonceptivos orales, sin embargo, el embarazo de 8.2 SDG aumentó el riesgo, tal como describe Biousse V y su equipo, argumentando que la presentación en la gestante es mayor, debido a los cambios que se producen en el mecanismo hemostático, expresados por la activación de la coagulación y de las plaquetas, así como por la disminución de la activación del sistema fibrinolítico, se produce un estado de hipercoagulabilidad.9
La presentación clínica en esta paciente fue similar a la descrita en estudios anteriores, en los que la cefalea aparece como el síntoma más frecuente, seguido de las convulsiones y la focalización neurológica. Debido a estos síntomas, la enfermedad tiene una manifestación inicial específica, por lo que deben tenerse en cuenta múltiples diagnósticos diferenciales, entre los cuales se destacan las cefaleas primarias, el síndrome de hipertensión intracraneal idiopática, la hemorragia subarac-noidea, las lesiones que ocupan espacio y el accidente cerebrovascular.10
En cuanto al tratamiento de la paciente, se inició anticoagulación con heparina no fraccionada, sustentado en el consenso general del uso de heparinas, establecido como tratamiento apropiado para la trombosis venosa cerebral aguda,8,11 y se obtuvo evolución satisfactoria. No obstante, para quienes desarrollan un empeoramiento neurológico progresivo a pesar de la anticoagulación adecuada con heparina de bajo peso molecular (HBPM) subcutánea o heparina intravenosa, la trombólisis endovascular o la trombectomía mecánica en los centros con experiencia con estos métodos pueden ser opciones de tratamiento.11
Dentro de los problemas principales que pueden requerir intervención en la fase aguda de la TVC se incluye presión intracraneal elevada, que puede surgir de lesiones hemorrágicas grandes o únicas, infartos y/o edema cerebral,11 como fue el caso de la paciente que describimos, ya que presentó hematoma parenquimatoso temporoparietal izquierdo y edema cerebral severo, requiriendo craniectomía parietofrontal izquierda, la cual se realizó de acuerdo con las guías y recomendaciones de pacientes neurocríticos en general.12
Si no se sospecha este diagnóstico diferencial en contexto de pacientes jóvenes con factores de riesgo, el pronóstico empeora. Tener un flujograma de diagnósticos diferenciales en presencia de cefalea, focalización neurológica no explicada por otra causa, asociado a estados procoagulantes, permite sospechar y solicitar estudios de imagen específicos, como la angiografía por tomografía computarizada (Angio-TC) venosa o RM contrastada. En este caso, el diagnóstico se realizó de forma temprana, interviniéndose a tiempo, lo que nos permitió obtener una evolución satisfactoria.
Conclusiones
El contexto de la paciente referida pertenece al 0.5% de los pacientes que no tienen historia de trombofilias, pero cursa con estado protrombótico. El diagnóstico precoz aumenta la supervivencia y mejora el pronóstico del paciente. En esta paciente la detección e intervención fue oportuna y, por ende, la evolución fue satisfactoria, egresándose de UCI con Glasgow de 14 puntos. Se mantuvo en estrecha vigilancia por ginecología y obstetricia, quien describió un embarazo normoevolutivo, llegando el producto a término con 38.3 SDG, realizando cesárea y obteniendo producto único vivo con APGAR 8/10 sin complicaciones.










nueva página del texto (beta)



