Introducción
El cariotipo humano está formado por 46 cromosomas, 44 son similares en el hombre y la mujer (autosomas) y dos cromosomas sexuales, XX en la mujer y XY en el varón. Cada uno de los cromosomas son susceptibles de presentar aberraciones en el número o en la estructura, siendo las de mayor frecuencia las trisomías de los cromosomas 21, 18 y 131. En general, tanto las aberraciones numéricas como las estructurales están relacionadas con las pérdidas gestacionales, malformaciones múltiples en el recién nacido y retraso psicomotor2,3.
El cromosoma 9, de todos los cromosomas, es el que presenta mayor cantidad de variaciones morfológicas en cerca del 1.5% de la población general, tiene alrededor de 145 millones de pares de bases con 800 a 1200 genes, y representa aproximadamente el 4.5% del ADN total de la célula4,5,6. Dentro de las alteraciones del cromosoma 9, las que se han observado con mayor frecuencia son la heterocromatina aumentada en el brazo largo (9qh+) y la inversión pericéntrica, ésta última, con predominio en el sexo femenino3. Aunque las aberraciones mencionadas del cromosoma 9 son consideradas normales, y de que su estudio en poblaciones con fallas reproductivas es controversial, el diagnóstico de las mismas en la población pediátrica favorece la correlación con las manifestaciones clínicas en los niños.
El desconocimiento acerca de las enfermedades por aberraciones cromosómicas, por parte de los profesionales de la salud, condiciona una insuficiente comunicación sobre el tema con los pacientes y sus familiares, y como consecuencia, una limitación en la prevención de los defectos al nacimiento. El Hospital Regional de Alta Especialidad del Niño Dr. Rodolfo Nieto Padrón, es la única institución de salud en el Estado de Tabasco, México, con laboratorio de citogenética humana, desempeñándose como hospital de referencia para otras instituciones de salud de la región en el estudio del cariotipo humano.
El objetivo de este trabajo es determinar la frecuencia de aberraciones del cromosoma 9 en pacientes enviados a la consulta de genética de un hospital pediátrico entre los años 2012 a 2022.
Materiales y métodos
Se realizó un estudio retrospectivo de los últimos 11 años, de enero de 2012 a diciembre de 2022, teniendo como material los resultados de diagnóstico cromosómico en sangre periférica de 3386 pacientes que fueron atendidos en el laboratorio de citogenética del Hospital Regional de Alta Especialidad del Niño “Dr. Rodolfo Nieto Padrón”.
Se incluyeron todos los estudios de pacientes enviados al laboratorio de citogenética de enero de 2012 a diciembre de 2022, procedentes de la consulta externa de genética del hospital del niño, y de la consulta externa de biología de la reproducción del Hospital Regional de Alta Especialidad de la Mujer. Se excluyeron 454 casos por falta de crecimiento del cultivo cromosómico, quedando una un total de 2932 casos.
El estudio citogenético se realizó en linfocitos de sangre periférica. Se tomaron de 1 a 2 mililitros de sangre a cada paciente con jeringas heparinizadas por la pared previamente, con el inicio de las muestras a los 60 minutos de haberlas tomado. Los cultivos se realizaron en medio Gibco de Cariotipado PB-MAX. Todos los cultivos se incubaron a 37°C durante 72 horas, y, con el objetivo de parar la división celular en la metafase, se les agregó 0.2 mg/ml de colcemid media hora antes de la cosecha, posteriormente se realizó un tratamiento hipotónico con cloruro de potasio por 40 minutos a 37°C.
El estudio citogenético de cada muestra se realizó en 20 a 25 células de dos cultivos celulares primarios, utilizando la técnica de bandas GTG. Para la realización de los cardiogramas de cada paciente se utilizó el Sistema de Análisis Imagen para Cariotipo Automatizado (Microscopio Axio Imager. A1F2 y Sofware Ikaros Isis Karl Zeiss MetaSystems V 5.3). Para el diagnóstico de las alteraciones cromosómicas, los análisis fueron hechos en base a la nomenclatura internacional ISCN 2020.
La información de los pacientes atendidos en el servicio de Genética en el lapso del año 2012 al 2022 en el Hospital del Niño se capturaron en las hojas de cálculo Excel de la suite de programas Microsoft Office, el diseño estadístico con relación al cromosoma 9 se realizó en el software para análisis estadístico avanzado IBM SPSS Statistics, realizando una prueba estadística de chi cuadrado.
Resultados
Se analizaron 2932 resultados de cariotipo realizados en pacientes que acudieron al laboratorio de citogenética del Hospital Regional de Alta Especialidad del Niño Dr. Rodolfo Nieto Padrón. El 14.76% (433/2932) presentaron alteraciones cromosómicas, de estas, 91.45% (396/433) fueron alteraciones de tipo numéricas y 8.54 % (37/433) fueron estructurales. El cromosoma más frecuentemente involucrado fue el número 21 en el 83.37% (361/433), seguido del cromosoma sexual X con 5.31% (23/433), y el cromosoma 9 con 3.69% (16/433). Los cromosomas 13 y 18 se observaron con 1.38% y 1.15%, respectivamente (Tabla 1).
Tabla 1 Porcentaje de aberraciones cromosómicas y cromosomas involucrados en 2932 cultivos de linfocitos de sangre periférica de pacientes consultados en el servicio de genética de un hospital pediátrico
| Año | N. Casos | Pacientes con aberraciones | Crom. 1 | Crom. 5 | Crom. 13 | Crom. 14 | Crom. 18 | Crom. 21 | Crom.X | |
|---|---|---|---|---|---|---|---|---|---|---|
| Numéricas | Estructurales | |||||||||
| 2012 | 332 | 46 | 10 | 2 | 1 | 2 | 1 | 0 | 44 | 6 |
| 2013 | 319 | 57 | 8 | 0 | 1 | 2 | 2 | 0 | 59 | 1 |
| 2014 | 599 | 48 | 6 | 1 | 2 | 0 | 0 | 0 | 49 | 3 |
| 2015 | 315 | 45 | 11 | 4 | 0 | 0 | 0 | 4 | 49 | 2 |
| 2016 | 256 | 34 | 2 | 0 | 2 | 0 | 1 | 0 | 29 | 3 |
| 2017 | 332 | 25 | 3 | 2 | 0 | 0 | 0 | 1 | 23 | 1 |
| 2018 | 340 | 51 | 1 | 0 | 1 | 0 | 1 | 0 | 40 | 2 |
| 2019 | 51 | 7 | 2 | 1 | 0 | 0 | 0 | 0 | 6 | 1 |
| 2020 | 115 | 11 | 4 | 0 | 0 | 1 | 0 | 0 | 12 | 1 |
| 2021 | 59 | 12 | 3 | 0 | 0 | 0 | 0 | 0 | 12 | 0 |
| 2022 | 214 | 36 | 11 | 0 | 0 | 1 | 0 | 0 | 38 | 3 |
| Total N. Casos 2932 | 372/12.68% | 61/2.08% | 10/2.30% | 7/1.61 | 6/1.38% | 5/1.15% | 5/1.15% | 361/83.37% | 23/5.31% | |
Fuente: Elaboración propia.
En relación a los pacientes con alteraciones del cromosoma 9, el 50% fueron del sexo femenino y el 50% del sexo masculino. 18.75% (3/16) tenían edades de 0 a 12 meses de vida, 50% (8/16) de 6 a 10 años, y 12.5% (2/16) de 14 años. Tres personas adultas, mayores de 30 años (18.75%), fueron referidas con diagnóstico de infertilidad. El 68.75% de los pacientes eran procedentes de la región de la Chontalpa del Estado de Tabasco, y el 31.25% eran originarios de la región del Centro del Estado, lugar en donde está ubicado su ciudad capital. Los motivos de referencia más frecuente para el estudio citogenético fueron el síndrome dismorfológico (43.75%), afectación del sistema musculo esquelético (18.75%), e infertilidad (18.75%). Un niño con síndrome de Down por trisomía 21 regular (47, XY, +21) presentó también una variación morfológica del cromosoma 9 (Tabla 2).
Tabla 2 Aberraciones estructurales del cromosoma 9 en pacientes que acudieron a la consulta de genética de un hospital pediátrico.
| Casos | Edad | Sexo | Procedencia | Impresión diagnóstica | Resultado citogenético |
|---|---|---|---|---|---|
| 1 | 10 días | Masculino | Centro | Síndrome dismorfológico | 46, XY, 9qh+ |
| 2 | 2 meses | Masculino | Centro | Síndrome dismorfológico | 46, XY, 9qh+ |
| 3 | 10 meses | Masculino | Paraíso | Síndrome de talla baja | 47, XY, +der (9) del (9) |
| 4 | 1 año | Femenino | Centro | Síndrome dismorfológico | 46, XX, del (9) (p24p23) |
| 5 | 2 años | Femenino | Comalcalco | Síndrome de Down | 47, XX, + 21, 9qh+ |
| 6 | 5 años | Femenino | Cárdenas | Síndrome dismorfológico | 46, XX, 9qh+ |
| 7 | 8 años | Masculino | Paraíso | Síndrome dismorfológico | 46, Xy,9qh+ |
| 8 | 8 años | Femenino | Cárdenas | Retraso psicomotor | 46, XX, inv (9) (p13q21), add (13) (q34) |
| 9 | 10 años | Femenino | Cárdenas | Síndrome dismorfológico | 45, XX, inv (9) (p13q21) |
| 10 | 10 años | Masculino | Comalcalco | Síndrome dismorfológico | 47, XY, del (9) (q11) |
| 11 | 10 años | Masculino | Huimanguillo | Síndrome dismorfológico | 46, XY,9qh+ |
| 12 | 14 años | Femenino | Huimanguillo | Displasia Ósea | 45, X/46, XX, r(9) |
| 13 | 14 años | Masculino | Cunduacán | Artrogriposis múltiple congénita | 46, XY,9qh+ |
| 14 | 33 años | Femenino | Cárdenas | Portadora | 46, XX, inv (9) (p13q21) |
| 15 | 35 años | Femenino | Centro | Infertilidad | 46, XX, ins (9) (p12p13) |
| 16 | 44 años | Masculino | Centro | Infertilidad | 46, XY, 9qh+ |
Fuente: Elaboración propia
En la tabla 2 se describen los hallazgos citogenéticos del cromosoma 9, observándose que, de los 16 casos, 8 (50%) de los pacientes correspondieron a variantes morfológicas del 9 (9qh+) (Figura 1), seguido de la inversión en 3 de los casos (18.75%) (Figura 2), la deleción en 2 (12.5%) (Figura 3), inserción en 1 (6.6%), anillo en 1 (6.6%), y una derivación (6.6%).

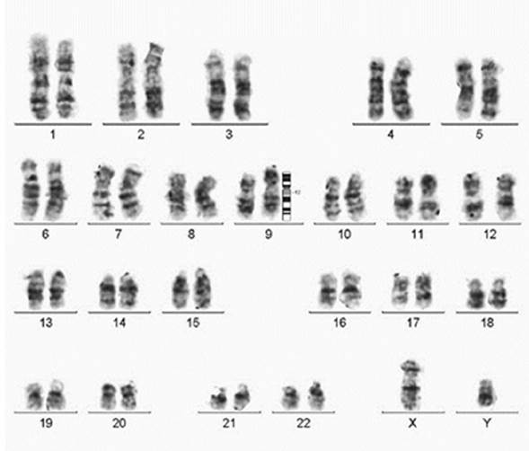
Figura 1 Cariotipo de un varón correspondiente a la variante morfológica de aumento de la heterocromatina del cromosoma 9 con técnicas de bandeo G, con su respectivo ideograma se muestra en que segmento del cromosoma está ubicada la variante citogenética (9qh+). Fuente: Elaboración propia realizada en el servicio de genética en el hospital

Figura 2 Cariotipo de una paciente con técnica de bandeo G. Las flechas señalan los cromosomas involucrados en la inversión, inv (9) (p13q21). Junto con sus respectivos ideogramas. Fuente: Elaboración propia realizada en el servicio de genética en el hospital.

Figura 3 Cariotipo de una niña de un año con Síndrome dismorfológico en donde se observa una deleción en el cromosoma 9. El resultado citogenético de esta paciente es 46, XX, del (9) (p24p23). Fuente: Elaboración propia realizada en el servicio de genética en el hospital.
Figura 1. Cariotipo de un varón correspondiente a la variante morfológica de aumento de la heterocromatina del cromosoma 9 con técnicas de bandeo G, con su respectivo ideograma se muestra en que segmento del cromosoma está ubicada la variante citogenética (9qh+).
En la tabla 3 se encontraron diversos datos. La media de las aberraciones en el cromosoma 9 fue de 4.1875, en el sexo 1.5000, la media de la impresión diagnostica fue de 3.1875, la media de las edades 6.8750, y, las medias de acuerdo a la procedencia 3.2500. La desviación estándar en las aberraciones en el cromosoma 9 es de 3.25000, la desviación del sexo 0.51640, la desviación estándar de la impresión diagnostica 2.73785, de las edades 3.1806, y, la desviación estándar de la procedencia fue de 1.94936. El estudio descriptivo utilizó la prueba de la Chi cuadrada, obteniendo un valor de 48.53, p=0.5, resultando estadísticamente significativo.
Tabla 3 Aberraciones del cromosoma 9 en pacientes que acudieron a la consulta de genética de un hospital pediátrico, analizadas estadísticamente en el programa IBM SPSS STATISTICS.
| Aberración en el cromosoma 9 | ||
|---|---|---|
| N | % | |
| 46, XY, 9qh+ | 6 | 37.5% |
| 47, XY, +der (9) del (9) | 1 | 6.3% |
| 46, XX, del (9) (p24p23) | 1 | 6.3% |
| 47, XX, + 21, 9qh+ | 1 | 6.3% |
| 46, XX, 9qh+ | 1 | 6.3% |
| 46, XX, inv (9) (p13q21), add (13) (q34) | 1 | 6.3% |
| 45, XX, inv (9) (p13q21) | 2 | 12.5% |
| 47, XY, del (9) (q11) | 1 | 6.3% |
| 45, X/46, XX, r(9) | 1 | 6.3% |
| 46, XX, ins (9) (p12p13) | 1 | 6.3% |
Fuente: Elaboración propia realizada con los datos obtenidos de pacientes atendidos en el Servicio de Genética.
Discusión
El cromosoma 9 es uno de los cromosomas que presenta una alta cantidad de variaciones morfológicas, en ellas se presentan las variantes: 9qh+ (mayor cantidad de heterocromatina en el brazo largo del 9), 9qh- (menor cantidad de heterocromatina en el brazo largo del 9), 9ph llamado inversión, y se encuentra en el 1.5% de la población general esto en base a estudios citogenéticos de rutina7. Estas variantes cromosómicas se identifican a nivel cromosómico, se identifican por tener diferencias en el tamaño y en su morfología, así como diferentes propiedades a la tinción. Varios de los genes necesarios para la viabilidad embrionaria y la fertilidad se ubican en la heterocromatina, por lo que, la presencia de estas variantes morfológicas está asociadas a diferentes eventos patológicos, entre ellos denotan la infertilidad y los abortos espontáneos7. En una revisión de 831 estudios citogenéticos en sangre periférica encontraron variantes polimórficas en el 5.8%, y el cromosoma 9 fue el más involucrado con 26 casos: 14 pacientes con inversión cromosómica y 12 pacientes con 9qh+8. En este sentido, en un estudio de 14 965 cultivos de linfocitos para cariotipo encontraron anomalías cromosómicas en 1.69% de los pacientes en los que las aberraciones del cromosoma 9 era el más frecuente9.
Rivera y colaboradores10, han señalado que la inversión del cromosoma 9 es una alteración estructuralmente frecuente en la población general y en pacientes con defectos al nacimiento, siendo las inversiones pericéntrica más frecuentes las inv(9) (p11q13) y la inv(9) (p12q13), así mismo, Liang S, y colaboradores 11, y Mohsen-Pour N, y colaboradores12 sostienen que las inversiones que afectan a la región pericentromérica del cromosoma 9 tienen puntos de interrupción localizados en 9q12 o 9q13-21,1 y con menos frecuencia en 9q123.señalan marcada preferencia de ocurrencia en el sexo femenino de la inversión pericéntrica, y en el sexo masculino de la heterocromatina aumentada en el brazo largo del cromosoma 9 (9qh+).
En el presente estudio, de 2932 pacientes, el 14.77% mostraron aberraciones cromosómicas, figurando en primer lugar el cromosoma número 21 y en tercer sitio el cromosoma 9 (tabla 1). De las aberraciones del cromosoma 9, el polimorfismo 9qh+ se encontró en 8 de los16 casos, y tres casos fueron inversión. Todos los casos con polimorfismo del 9 correspondieron a mayor cantidad de heterocromatina en el brazo largo del 9 (9qh+), y seis de ellos correspondieron al sexo masculino, mientras que, los 3 casos de inversiones encontradas fueron pericéntrica con punto de interrupción de la región pericentromérica (p13q21), y todas fueron del sexo femenino, lo que concuerda con los trabajos de Romero TS y colaboradores3,Rivera Angles y colaboradores 10, y,Liang S, y colaboraores 11.
El significado clínico de los polimorfismos encontrados en el cromosoma 9 han sido analizado ampliamente por otros autores y van desde los estudios que consideran que no tienen significancia clínica, hasta los que evidencian la asociación con diagnósticos clínicos de esquizofrenia, infertilidad y abortos, entre muchos más10,13,6,14. Los casos de polimorfismos encontrados y que se está reportando en la presente comunicación corresponden a 9qh+ y los de inversión pericéntrica. El caso 9 (tabla 2) corresponde a una niña de 10 años de vida, procedente de la ciudad de Cárdenas, Tabasco, y cuyo polimorfismo fue heredado de su mamá (caso 14, tabla 2), mujer de 33 años de edad portadora de la inversión pericéntrica en el cromosoma 9. El tercer caso de inversión (caso 8, tabla 2) está representado por una niña de 8 años de vida, originaria de Cárdenas, Tabasco, la cual fue referida a la unidad de genética con diagnóstico clínico de retraso psicomotor. Del polimorfismo 9qh+ cinco casos fueron referidos con diagnóstico de síndrome dismorfológico, un caso con artrogriposis múltiple congénita y otro caso de una mujer de 44 años de edad referida por infertilidad. En una niña de 2 años de vida se corroboró el diagnóstico clínico de síndrome de Down (47, XX, +21), y en la cual también se evidenció el polimorfismo 9qh+. Estos resultados concuerdan con los reportes de Rivas Álpizar y colaboradores7, Rivera Angles y colaboradores10, y de Moya Salazar y coloboradores15.
Conclusión
La heterocromatina aumentada en el brazo largo del cromosoma 9 se observó con mayor frecuencia en pacientes referidos a la consulta de genética, seguido de otras aberraciones estructurales como anillo, deleción e inserción en el cromosoma 9. La correlación observada entre la impresión diagnóstica de referencia y los hallazgos citogenéticos sugieren la realización del cariotipo en sangre periférica como herramienta útil para el diagnóstico de alteraciones cromosómicas, entre ellos, los polimorfismos cromosómicos.










nueva página del texto (beta)



