SciELO - Scientific Electronic Library Online

 
vol.22 suppl.1Metástasis cutánea en cáncer colorrectal en Perú y revisión de literaturaExenteración orbitaria, un abordaje complejo para un carcinoma de párpado complejo índice de autoresíndice de materiabúsqueda de artículos
Home Pagelista alfabética de revistas  

Servicios Personalizados

Revista

Articulo

Indicadores

Links relacionados

  • No hay artículos similaresSimilares en SciELO

Compartir


Gaceta mexicana de oncología

versión On-line ISSN 2565-005Xversión impresa ISSN 1665-9201

Gac. mex. oncol. vol.22  supl.1 Ciudad de México jul. 2023  Epub 11-Sep-2023

https://doi.org/10.24875/j.gamo.22000104 

Casos clínicos

Rabdomiosarcoma alveolar con expresión aberrante de biomarcadores epiteliales y neuroendocrinos

Alveolar rhabdomyosarcoma with aberrant expression of epithelial and neuroendocrine epithelial and neuroendocrine biomarkers

Maribel Palencia-Palacios1  2  * 

Alfredo E. Romero-Rojas2 

Rafael Parra-Medina2  3 

Patricia López-Correa2 

1Departamento de Patología, Facultad de Medicina, Universidad del Cauca, Popayán

2Laboratorio de Patología Oncológica, Instituto Nacional de Cancerología, Bogotá

3Instituto de Investigación, Fundación Universitaria de Ciencias de la Salud, Bogotá. Colombia


Resumen

Antecedentes:

El rabdomiosarcoma alveolar es un sarcoma con diferenciación de músculo esquelético que ocurre con mayor frecuencia en adolescentes y adultos jóvenes. Se considera de mal pronóstico. La ubicación más frecuente son las extremidades.

Descripción del caso:

Mujer de 78 años, quien presenta masa heterogénea en muslo izquierdo de ocho meses de evolución, alcanzando un tamaño de 11 cm de diámetro, con compromiso vascular. La biopsia mostró un RMSa con expresión aberrante de marcadores epiteliales y neuroendocrinos.

Conclusiones:

En la categoría de los RMSa es importante conocer el inmunofenotipo que los caracteriza, así como la expresión aberrante de marcadores epiteliales y neuroendocrinos.

Palabras clave Rabdomiosarcoma alveolar; Epitelial; Sinaptofisina; Cromogranina; Inmunohistoquímica

Abstract

Background:

Alveolar rhabdomyosarcoma (ARMSa) is a sarcoma with skeletal muscle differentiation, which occurs more frequently in adolescents and young adults, and is considered to have a poor prognosis. The most frequent location is the extremities.

Case description:

A 78-year-old woman presented with a heterogeneous mass in the left thigh of 8 months of evolution, reaching a size of 11 cm in diameter, with vascular involvement. Biopsy showed an ARMSa with aberrant expression of epithelial and neuroendocrine markers.

Conclusions:

In the category of ARMSa it is important to know the immunophenotype that characterizes them, as well as the aberrant expression of epithelial and neuroendocrine markers.

Keywords Alveolar rhabdomyosarcoma; Epithelial; Synaptophysin; Chromogranin; Immunohistochemistry

Introducción

El rabdomiosarcoma es el sarcoma de tejidos blandos más frecuente en edades tempranas (infancia y adolescencia), los subtipos incluyen el alveolar, de células fusiformes/esclerosante, embrionario, de tipo mixto, pleomórfico y rabdomiosarcoma con diferenciación ganglionar1,2. Los rabdomiosarcomas son neoplasias asociadas con un fenotipo rabdomioblástico proveniente de células mesenquimales que dan origen al musculo esquelético3.

El rabdomiosarcoma alveolar (RMSa) se presenta en un 30% de todos los rabdomiosarcomas3. Se puede presentar en cualquier parte del cuerpo4, sin embargo la localización anatómica más frecuente son las extremidades, antebrazos y brazos, regiones perirrectal y perineal5,6. La mayoría de los RMSa son de aparición esporádica, de alto grado y pueden presentarse en un estadio diseminado avanzado afectando los pulmones, ganglios linfáticos y médula ósea2. El compromiso de los ganglios linfáticos periféricos es una de las primeras manifestaciones del RMSa en los casos avanzados, por lo que se clasifican dentro de los rabdomiosarcomas de peor pronóstico junto con el pleomórfico y los rabdomiosarcomas asociados al gen de fusión TFCP2 (Factor de transcripción alfa-globina CP2) y con MyoD1 mutada6,7.

Morfológicamente el RMSa se compone de una proliferación de células pequeñas de núcleos redondos con características nucleares de alto grado y con escaso citoplasma. El tumor presenta un patrón de nidos separados por tabiques fibrosos. Las células se disponen en láminas discohesivas que forman espacios alveolares o de forma menos llamativa en espacios en forma de hendidura2. Se han descrito dos subtipos histológicos del RMSa. El subtipo clásico conformado por células neoplásicas con espacios alveolares en donde se pueden observar células gigantes multinucleadas y fibras musculares normales. El subtipo sólido conformado por nidos separados por tabiques fibrovasculares delgados sin formación de alvéolos. Con frecuencia hay focos de necrosis de células tumorales y anaplasia8,9.

El diagnóstico se realiza por medio del estudio morfológico asociado con la positividad de marcadores musculares esqueléticos evaluados por inmunohistoquímica10. En ocasiones su morfología puede asemejar a carcinomas epiteliales o carcinomas neuroendocrinos, lo cual puede generar un inadecuado diagnóstico debido a que en ocasiones el RMSa puede tener expresión aberrante de estos marcadores, como en el caso que presentamos a continuación.

Descripción del caso

Mujer de 78 años de edad con dolor y sensación de masa con crecimiento rápido y progresivo en región inguinal izquierda de ocho meses de evolución. En la tomografía de abdomen y pelvis se observa masa de tejidos blandos de 88 x 118 mm de forma heterogénea con áreas sugestivas de necrobiosis, dicha formación engloba la arteria femoral común izquierda y el tercio proximal de las femorales superficiales.

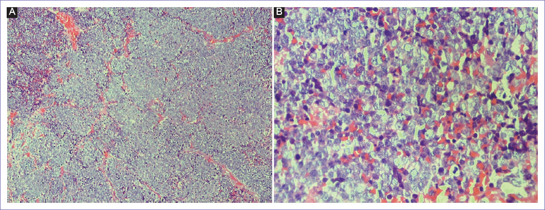
Se realizó biopsia incisional de lesión en la cual se observó: tejidos blandos infiltrados por neoplasia maligna conformada por células de pequeño a mediano tamaño redondas y ovaladas, hipercromáticas con figuras mitóticas frecuentes, de citoplasma escaso, en patrón de nidos que conforman un aspecto alveolar separado por tractos fibrosos. En la figura 1 se observa la morfología con tinción de hematoxilina y eosina a menor y mayor aumento.

Figura 1 A: vista en 4x. Obsérvese en la fotografía del lado izquierdo el patrón alveolar, separado por tabiques fibrosos. B: en 40x se observa con mayor detalle la célula neoplásica con escaso citoplasma y núcleo redondo con cromatina abierta. 

En los estudios de inmunohistoquímica se observó positividad para marcadores musculares esqueléticos (MyoD1, desmina y miogenina), marcadores epiteliales (CKAE1/AE3 y CAM5.2), marcadores neuroendocrinos (sinaptofisina, cromogranina, CD56), PAX5 positivo focal y negatividad para CK20, S100 HMB45, CD20, CD3, CD34, AML, FLI-1, P63 y Ki67 del 90%. En la figura 2 se observa el patrón de tinción de la MyoD1, CKA1/AE3 y CAM 5.2. En la figura 3 se muestra la expresión de los marcadores neuroendocrinos, con un patrón de tinción similar. Con los hallazgos morfológicos y los estudios de inmunohistoquímica el diagnóstico definitivo fue un rabdomiosarcoma alveolar de subtipo clásico con expresión aberrante de marcadores epiteliales y neuroendocrinos.

Figura 2 A: MyoD1es un factor de transcripción de diferenciación miogénica, obsérvese en 10x una marcación nuclear fuertemente positiva. B: en 10x se observa el patrón de tinción como un punto paranuclear o dot-like observado en los marcadores de citoqueratinas CKAE1/AE3 y CAM5.2. 

Figura 3 A: obsérvese en 10x la expresión aberrante de cromogranina con una similar expresión para sinaptofisina. B: se detalla en 40x la expresión aberrante de CD56. 

Discusión

La expresión aberrante se define como «expresión de un antígeno inesperado en una línea celular en cuestión, pero que no altera la asignación de linaje». La explicación molecular en la aberrancia de marcadores de inmunohistoquímica se fundamenta en el fenómeno en el que las células tumorales pierden o adquieren estructuras proteínicas de unión de membrana u otras proteínas de diferenciación mesenquimal, remodelando la matriz extracelular, facilitando la migración o diferenciación9,10; se ha documentado que la transición epitelio-mesénquima aberrante coadyuva a darle propiedades invasoras y metastásicas de las células neoplásicas10.

El presente caso en particular es interesante en varios aspectos, por la edad de presentación, en paciente anciano, adicionalmente la expresión aberrante de marcadores epiteliales y neuroendocrinos, que puede desencadenar diagnósticos y tratamientos inadecuados en los RMSa10,11. La expresión de marcadores epiteliales se ha reportado hasta en la mitad de los RMSa en cabeza y cuello2, seguido de las extremidades, región perirrectal/perianal. Mientras que la expresión de marcadores neuroendocrinos se ha reportado en muy pocos casos en la literatura. Bahrami et al.9 en un estudio de 44 RMSa de pacientes con una edad media de 18 años, encontraron que el 50% de los casos expresaron citoqueratina, el 43% expresó uno de los marcadores neuroendocrinos específicos, el 32% expresó sinaptofisina, el 22% expresó cromogranina A y el 11% manifestó ambos. La expresión de CD56 fue positivo en el 97% de los casos. La revelación de estos marcadores neuroendocrinos se limitaba principalmente en las células atípicas. Leroy et al.12, en su reporte de caso de un joven de 19 años con tumor polipoide maxilar con extensión orbital, evidenciaron un rabdomiosarcoma pobremente diferenciado con fenotipo inmunohistoquímico poco común, con reactividad para desmina, miogenina, y expresión aberrante de cromogranina y sinaptofisina con tinción paranuclear. En la tabla 1 se muestra el resumen de hallazgos de los autores descritos.

Tabla 1 Muestra diferentes casos con asociación de marcadores por inmunohistoquímica epiteliales y neuroendocrinos 

Autores N.º casos RMSa Grupo etario Ubicación del tumor CKAE1/AE3 Syn Crom PAX5 CD56
Bahrami et al., 20089 44 Adolescentes y adultos jóvenes Varios sitios 50% (22/44 casos) 32% (12/37 casos) 22% (8/36 casos) NA 97% (30/31 casos)
Leroy et al., 200712 1 19 años Nasosinusal No reactivo (+) en células tumorales (+) en células tumorales NA
Coindre et al., 199823 3 Rango de 1 mes a 32 años Cabeza y cuello (+) (–) (–) (–) (–)
Palencia et al. (caso que se presenta) 1 78 años Miembro inferior (+) en células tumorales (+) en células tumorales (+) en células tumorales (+) focal en células tumorales (+) en células tumorales

RMSa: rabdomiosarcoma alveolar; Syn: sinaptofisina; Crom: cromogranina; PAX5: factor de transcripción miembro de la familia (paired box) PAX; CD56: molécula de adhesión celular de utilidad para definir estirpe neuroectodérmica tumoral; NA: sin información o no aplica para el estudio en particular.

Es importante destacar que para el diagnóstico es fundamental documentar la diferenciación miogénica por inmunohistoquímica y pruebas moleculares por hibridación fluorescente in situ que puede ayudar a distinguir entre el patrón denso del rabdomiosarcoma embrionario y el RMSa, analizando el producto del gen de fusión que ocurre en el 80% de los rabdomiosarcomas alveolares PAX3-FOXO1 y PAX7-FOXO113. El rabdomiosarcoma esclerosante molecularmente con ausencia de fusión de FOXO1, con mutaciones recurrentes de MyoD1, amplificación de MDM2/HMGA2, pérdida del 10q22, pérdida del cromosoma Y y amplificación de la región del cromosoma 12q13,15. Botiralieva et al. y Sullivan et al. evaluaron PAX como marcador diagnóstico en tumores de células pequeñas redondas y azules, con siete casos de RMSa, de los cuales cinco tenían translocaciones que involucraron genes PAX16. Morgenstern et al. identificaron un total de 42 casos, 15 correspondieron a RMSa con traslocaciones que involucraban el PAX7 o PAX3 en el 47% de los casos, también la expresión de PAX5 en RMSa por inmunohistoquímica en el 60% de los casos, con algún grado de tinción nuclear17.

Los diagnósticos diferenciales que se deben considerar en el presente caso incluyen la evaluación morfológica inicial y otros tipos de rabdomiosarcoma como, el embrionario y el esclerosante. Estos suelen ser conformados por células tumorales pequeñas y fusiformes, algunos con patrones morfológicos raros que incluyen el rabdomiosarcoma con características rabdoides5,18. Los otros diagnósticos diferenciales del presente caso son:

  • - Carcinoma de células pequeñas con diferenciación músculo-esquelética. Eusebi et al. presentaron tres casos (piel y tejido subcutáneo, vejiga urinaria y cavidad nasal), compuestos por dos tipos celulares: uno de características neuroendocrinas de célula pequeña convencional, de núcleos redondos con cromatina granular fina, escaso citoplasma, con reactividad para enolasa, cromogranina y citoqueratinas; el segundo tipo de célula era plasmocitoide alargada y con forma de filete, con abundante citoplasma eosinófilo y núcleos irregulares con nucléolos prominentes, con positividad para desmina, AML (actina de músculo liso), mioglobina y miogenina; todos los casos con particular evidencia ultraestructural de diferenciación rabdomioblástica19.

  • - Melanoma primario con expresión aberrante de marcadores neuroendocrinos. Lee et al. estudiaron casos de melanoma nasosinusal primario, con cuatro casos de población de células pequeñas, desprovistas de pigmento, algunos completamente negativos o solo focales para S100, tres de los cuales fueron positivos para marcadores neuroendocrinos y proteína de neurofilamento, con diagnósticos diferenciales que tener en cuenta con esta expresión: el neuroblastoma olfativo y el carcinoma neuroendocrino de células pequeñas20. Al igual que Cham et al. que describen un caso de melanoma maligno con diferenciación neuroendocrina de un hombre de 74 años con masa pulmonar con marcado pigmento, el cual reveló positividad para SO100, SOX10, MITF, sinaptofisina y CD5621.

  • - Linfoma linfoblástico con expresión aberrante de sinaptofisina, descrito por Nazım Emrah et al., en una paciente de sexo femenino de 9 años de edad con masa en mediastino anterior, derrame pleural y linfadenopatías. En biopsia se evidenció inmunofenotipo positivo para ALC, CD2, CD3, CD10, CD1a, TDT, sinaptofisina, con Ki67 del 90%, y negatividad para CD20, pancitoqueratina, CK19, cromogranina y CD5622.

Conclusión

En conclusión, el rabdomiosarcoma alveolar en una edad de presentación inusual, con expresión aberrante de marcadores epiteliales (citoqueratina) y marcadores neuroendocrinos (cromogranina, sinaptofisina y CD56), es un reto diagnóstico. Este hallazgo es poco frecuente y puede conllevar dificultades en el análisis o diagnósticos conclusivos erróneos, es por esto que se deben considerar como diferenciales otros tipos de rabdomiosarcoma, un carcinoma neuroendocrino con diferenciación muscular esquelética, el melanoma maligno primario con diferenciación neuroendocrina y por último un linfoma con expresión aberrante de marcadores neuroendocrinos.

Bibliografía

1. Amer KM, Thomson JE, Congiusta D, Dobitsch A, Chaudhry A, Li M, et al. Epidemiology, incidence, and survival of rhabdomyosarcoma subtypes:SEER and ICES Database Analysis. J Orthop Res. 2019;37(10):2226-30. [ Links ]

2. Agaram NP. Evolving classification of rhabdomyosarcoma. Histopathology. 2022;80(1):98-108. [ Links ]

3. Charytonowicz E, Cordon-Cardo C, Matushansky I, Ziman M. Alveolar rhabdomyosarcoma:is the cell of origin a mesenchymal stem cell?Cancer Lett. 2009;279(2):126-36. [ Links ]

4. Leiner J, Le Loarer F. The current landscape of rhabdomyosarcomas:an update. Virchows Arch. 2020;476(1):97-108. [ Links ]

5. Montone KT, Barr FG, Zhang PJ, Feldman MD, LiVolsi VA. Embryonal and alveolar rhabdomyosarcoma of parameningeal sites in adults:a report of 13 cases. Int J Surg Pathol. 2009;17(1):22-30. [ Links ]

6. Yasuda T, Perry KD, Nelson M, Bui MM, Nasir A, Goldschmidt R, et al. Alveolar rhabdomyosarcoma of the head and neck region in older adults:genetic characterization and a review of the literature. Hum Pathol. 2009;40(3):341-8. [ Links ]

7. Fan R, Parham DM, Wang LL. An integrative morphologic and molecular approach for diagnosis of rhabdomyosarcoma and subclassification of rhabdomyosarcoma. Arch Pathol Lab Med. 2022;146(8):953-9. [ Links ]

8. Rudzinski ER, Anderson JR, Hawkins DS, Skapek SX, Parham DM, Teot LA. The World Health Organization Classification of Skeletal Muscle Tumors in Pediatric Rhabdomyosarcoma:A Report From the Children's Oncology Group. Arch Pathol Lab Med. 2015;139(10):1281-7. [ Links ]

9. Bahrami A, Gown AM, Baird GS, Hicks MJ, Folpe AL. Aberrant expression of epithelial and neuroendocrine markers in alveolar rhabdomyosarcoma:a potentially serious diagnostic pitfall. Mod Pathol. 2008;21(7):795-806. [ Links ]

10. Botiralieva GK, Sharlai AS, Roshchin VY, Sidorov IV, Konovalov DM. Rabdomiosarkomy:strukturnoe raspredelenie i analiz immunogistokhimicheskogo profilya [Rhabdomyosarcomas:structural distribution and analysis of an immunohistochemical profile]. Arkh Patol. 2020;82(5):33-41. Russian. [ Links ]

11. Doyle LA, Hornick JL. Inmunohistología de neoplasias de tejidos blandos y del hueso. En:Dabbs DJ, editor. Diagnóstico inmunohistoquímico. 5.ªedición. Colombia:Amolca;2019. pp. 82-136. [ Links ]

12. Leroy X, Petit ML, Fayoux P, Aubert S, Escande F. Aberrant diffuse expression of synaptophysin in a sinonasal alveolar rhabdomyosarcoma. Pathology. 2007;39(2):275-6. [ Links ]

13. Bridge JA, Liu J, Qualman SJ, Suijkerbuijk R, Wenger G, Zhang J, et al. Genomic gains and losses are similar in genetic and histologic subsets of rhabdomyosarcoma, whereas amplification predominates in embryonal with anaplasia and alveolar subtypes. Genes Chromosomes Cancer. 2002;33:310-21. [ Links ]

14. Agaram NP, Chen CL, Zhang L, LaQuaglia MP, Wexler L, Antonescu CR. Recurrent MYOD1 mutations in pediatric and adult sclerosing and spindle cell rhabdomyosarcomas:evidence for a common pathogenesis. Genes Chromosomes Cancer. 2014;53(9):779-87. [ Links ]

15. Bouron-Dal Soglio D, Rougemont AL, Absi R, Barrette S, Montpetit A, Fetni R, et al. SNP genotyping of a sclerosing rhabdomyosarcoma:reveals highly aneuploid profile and a specific MDM2/HMGA2 amplification. Hum Pathol. 2009;40(9):1347-52. [ Links ]

16. Sullivan LM, Atkins KA, LeGallo RD. PAX immunoreactivity identifies alveolar rhabdomyosarcoma. Am J Surg Pathol. 2009;33:775-80. [ Links ]

17. Morgenstern DA, Gibson S, Sebire NJ, Anderson J. PAX5 expression in rhabdomyosarcoma. Am J Surg Pathol. 2009;33(10):1575-7. [ Links ]

18. Jo VY, Mariño-Enríquez A, Fletcher CD. Epithelioid rhabdomyosarcoma:clinicopathologic analysis of 16 cases of a morphologically distinct variant of rhabdomyosarcoma. Am J Surg Pathol. 2011;35(10):1523-30. [ Links ]

19. Eusebi V, Damiani S, Pasquinelli G, Lorenzini P, Reuter VE, Rosai J. Small cell neuroendocrine carcinoma with skeletal muscle differentiation:report of three cases. Am J Surg Pathol. 2000;24(2):223-30. [ Links ]

20. Lee H, Torres FX, McLean SA, Chen R, Lee MW. Immunophenotypic heterogeneity of primary sinonasal melanoma with aberrant expression of neuroendocrine markers and calponin. Appl Immunohistochem Mol Morphol. 2011;19(1):48-53. [ Links ]

21. Cham J, Shavit A, Ebrahimi A, Viray M, Gibbs P, Bhangoo MS. Malignant melanoma with neuroendocrine differentiation:A case report and literature review. Front Oncol. 2021;11:763992. [ Links ]

22. Koçer NE, Hasbay B, Kayaselçuk F. T-cell lymphoblastic lymphoma showing aberrant synaptophysin expression in a child. Turk J Haematol. 2020;37(1):72-3. [ Links ]

FinanciamientoLa presente investigación no ha recibido ninguna beca específica de agencias de los sectores públicos, comercial o con ánimo de lucro.

Responsabilidades éticas

Protección de personas y animales. Los autores declaran que para esta investigación no se han realizado experimentos en seres humanos ni en animales.

Confidencialidad de los datos. Los autores declaran que han seguido los protocolos de su centro de trabajo sobre la publicación de datos de pacientes.

Derecho a la privacidad y consentimiento informado. Los autores han obtenido la aprobación del Comité de Ética para el análisis y publicación de datos clínicos obtenidos de forma ordinaria. El consentimiento informado de los pacientes no fue requerido por tratarse de un estudio observacional retrospectivo.

Recibido: 07 de Agosto de 2022; Aprobado: 27 de Septiembre de 2022

* Correspondencia: Maribel Palencia-Palacios E-mail: maribelpal@unicauca.edu.co

Conflicto de intereses

Los autores declaran no tener conflicto de intereses.

Creative Commons License Sociedad Mexicana de Oncología. Published by Permanyer. This is an open ccess article under the CC BY-NC-ND license