INTRODUCCIÓN
Existen diversas enfermedades o alteraciones del aparato digestivo en los bovinos que son de importancia económica en las unidades de producción, ya que provocan una disminución de la producción, alta morbilidad y mortalidad; reducen el bienestar de los animales, así como un impacto en la salud pública (Plaizier et al., 2008). El rumen lleva a cabo una serie de adaptaciones a las diferentes fases de la alimentación, a las cuales son sometidos los bovinos, en el cual se digieren forrajes y grandes cantidades de granos; lo que puede ocasionar la aparición de trastornos digestivos, como la acidosis, consecuente de la rápida fermentación del grano (Meyer y Bryant, 2017). Los problemas de acidosis ruminal (AR) son comunes; sin embargo, es un trastorno difícil de reconocer y prevenir, ya que la fisiopatología es compleja y variable (Oetzel, 2017). Esta enfermedad es causada por la alimentación con dietas altas en concentrados; se define como una disminución del pH (<5.6), durante periodos prolongados de hasta al menos tres horas por día (Kleen et al., 2003; Gozho et al., 2005; Krause y Oetzel, 2006; Steele et al., 2009).
El pH bajo induce la lisis de bacterias Gram negativas, y aumentan el lipopolisacárido libre (LPS) en el rumen, el cual es un potente inductor de inflamación y del desarrollo de rumenitis (Zhao et al., 2018). La producción de inmunógenos en el rumen como el LPS o histamina, provocan la reducción de la barrera de protección del rumen y se ven implicados en el desarrollo de esta enfermedad (Plaizier et al., 2008).
El pH ruminal es un factor clave para el correcto funcionamiento del rumen, ya que impacta en las poblaciones microbianas, productos de la fermentación y las funciones fisiológicas del mismo (Nagaraja y Titgemeyer, 2007). Se puede observar una disminución de: grasa en la leche, digestión de fibra reducida, pérdida de la condición corporal, diarrea, laminitis, inflamación y timpanismo; además de afectar el consumo voluntario de alimento (Panciera et al., 2007; Rezac et al., 2014a; Zhao et al., 2018).
Estas alteraciones pueden ocasionar un desequilibrio en el microbiota ruminal, donde agentes etiológicos, como Fusobacterium necrophorum, Trueperella pyogenes y Arcanobacterium spp, entre otros, se comporten como oportunistas, y viajen a través de la circulación portal hacia el hígado, donde pueden generar abscesos (Tadepalli et al., 2009; Xu y Ding, 2011; Trigo, 2015). La alteración del epitelio ruminal permite que los microorganismos y sus toxinas migren hacia la circulación portal, lo que puede predisponer a una variedad de infecciones o de endotoxinas en el torrente sanguíneo, ya que alteran la capacidad de absorción de nutrientes; lo cual puede generar un cúmulo de ácidos grasos volátiles (AGV) o de ácido láctico (Kleen et al., 2003). Las papilas ruminales no suelen estar recubiertas por moco en comparación con las abomasales, por lo que pueden ser más susceptibles a una rumenitis que puede avanzar hasta la erosión y ulceración (Snyder y Credille, 2017).
La paraqueratosis, es el engrosamiento del estrato córneo del epitelio ruminal, y es resultado de una rumenitis crónica (Jubb et al., 2016), siendo una patología importante; ya que disminuye la capacidad de absorción de AGV y predispone a los animales afectados a nuevos episodios (Oetzel, 2017). En México, el impacto económico producido por la acidosis ruminal, ha sido difícil de cuantificar, pero se considera de importancia por las lesiones que ocasiona en los bovinos de engorda (Malafaia et al., 2016).
Son escasos los estudios en México que describan las lesiones observadas en rumen al momento del faenado de los animales, la inspección del rumen es una herramienta que permite evaluar la salud nutricional del ganado en los corrales. Por lo tanto, el objetivo del presente estudio fue describir las lesiones ruminales presentes en los bovinos que llegan a la procesadora municipal de carne de la ciudad de Colima, Colima, México.
MATERIAL Y MÉTODOS
Área de estudio
El trabajo se realizó en el estado de Colima, en la procesadora municipal de carne, ubicada en el km. 3.5 de la carretera Colima-Coquimatlán. El clima predominante en el 78.52% del territorio es cálido subhúmedo con lluvias en verano, en el 12.42% se presenta clima semiseco cálido, en el 7.58% semicálido subhúmedo con lluvias en verano y en el 1.48% del territorio, clima templado subhúmedo con lluvias en verano (INEGI, 2017). La temperatura anual promedio es de 25 °C y la precipitación total anual es de aproximadamente 1728.9 mm (CONAGUA, 2017).
Toma de muestras
Se recolectaron 100 muestras de tejido ruminal, de 1 cm2 del lado derecho del saco cráneo-ventral y del lado izquierdo del saco cráneo ventral, debido a que en esta porción ruminal el epitelio se encuentra en contacto por más tiempo con el líquido ruminal (Castro y Elizondo, 2012; Jonsson et al., 2019); así como de áreas representativas, donde se haya observado algún tipo de lesión macroscópica; los cuales se fijaron por inmersión en formalina amortiguada al 10% durante 24 h. Los tejidos se cortaron, se incluyeron en casetes de plástico y se trasladaron al Laboratorio de Patología de la Facultad de Medicina Veterinaria y Zootecnia de la Universidad de Colima, ubicado en el municipio de Tecomán, Colima, México en el km. 40, autopista Colima-Manzanillo, dentro de las coordenadas geográficas 18° 55’ de Latitud Norte y 103° 52’ de Longitud Oeste, y una altitud de 20 msnm (INEGI, 2017). Posteriormente se procesaron con la técnica histológica de rutina, que consiste en una deshidratación, aclaramiento e infiltración de parafina; se cortaron a 5 µm de espesor y se tiñeron con la tinción de Hematoxilina-Eosina (H-E) (Prophet et al.,1995).
Análisis de muestras
Las lesiones macroscópicas y microscópicas se describieron y se caracterizaron mediante conceptos anatomopatológicos, los resultados se expresaron en porcentajes y grados de severidad (Rezac et al., 2014b). Asimismo, se utilizó la prueba de Chi cuadrada para evaluar la dependencia entre las lesiones con el lugar de procedencia de los animales, edad, especie y sexo. Se realizó un análisis de regresión logística con la finalidad de encontrar factores de riesgo asociados con la presencia de lesiones. Ambos análisis se realizaron con el programa Statgraphics Centurion ver.15.2 (Statgraphics, 2007).
Para el análisis estadístico se establecieron dos rangos de edad menores o iguales a 36 meses, y mayores o iguales de 37 meses; tratando de mantener un adecuado número de registros en cada nivel de clasificación. Para la especie, los genotipos raciales Angus, Beefmaster, Pardo Suizo y Simmental se clasificaron en Bos Taurus, y los cebuinos se clasificaron en Bos indicus . Los lugares de procedencia se agruparon en cuatro regiones, de acuerdo con el tipo de clima: región 1: templado subhúmedo, región 2: semicálido subhúmedo, región 3: cálido subhúmedo y región 4: cálido.
RESULTADOS
Del total de muestras, 33 fueron hembras y 67 machos. De los animales sacrificados, 56 pertenecieron a la especie Bos taurus y 44 a Bos indicus. El 98% de las muestras presentaron al menos una lesión. Los hallazgos macroscópicos fueron (figura 1): hemorragias, erosión, úlceras, hiperqueratosis (engrosamiento de las papilas ruminales), atrofia de las papilas y cicatrices; una muestra presentó un papiloma. Los hallazgos microscópicos (figura 2), fueron: engrosamiento de la capa córnea de las papilas ruminales, así como la presencia de fibras de colágeno, degeneración hidrópica, inflamación (rumenitis) y linfangiectasia. Además, se registró la presencia del protozoario Balantidium coli en el 30% de las muestras. Estas lesiones se agruparon en grados de severidad, las cuales fueron de leves a severos (cuadro 1).

Figura 1 Descripción macroscópica de lesiones ruminales. A/ mucosa ruminal normal. B/ engrosamiento y atrofia de las papilas ruminales. C/ hemorragias ruminales. D/E erosiones, úlceras y cicatrices ruminales. F/ presencia de verruga o papiloma de 1X2 cm donde se observa una masa parecida a una coliflor, de color blanca, con crecimiento por encima del epitelio de la superficie de la mucosa ruminal y cubierta con escamas.

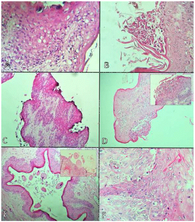
Figura 2 Descripción microscópica de lesiones ruminales. A/ Engrosamiento de la capa córnea de las papilas ruminales, así como la presencia de degeneración hidrópica epitelial. Tinción hematoxilina-eosina 40X. B-C/ Erosión, úlcera y paraqueratosis de la papila ruminal. Tinción hematoxilina-eosina 40X. D/ Infiltrado inflamatorio mononuclear sobre la submucosa de la papila ruminal (rumenitis), recuadro con acercamiento. Tinción hematoxilina-eosina 40X. E/ Presencia de abundantes protozoarios Balantidium coli sobre la mucosa y el epitelio ruminal ocasionando hemorragias e inflamación (recuadro). Tinción hematoxilina-eosina 10-40X. F/ Hiperplasia epitelial de las papilas ruminales con vacuolización citoplásmica e hiperqueratosis, además de proliferación de colágeno, formando proyecciones digitales hacia la submucosa (papiloma). Tinción hematoxilina-eosina 40X.
Cuadro 1 Número de casos por lesiones en rumen y su clasificación en grados de severidad
| Grados de severidad | Hiperqueratosis | Degeneración hidrópica | Rumenitis | Linfangiectasia | Balatidium coli |
|---|---|---|---|---|---|
| Leve | 33 | 53 | 23 | 21 | 20 |
| Moderado | 42 | 30 | 18 | 6 | 6 |
| Severo | 18 | 9 | 1 | 1 | 4 |
| Caso Total | 93 | 92 | 42 | 28 | 30 |
| Sin lesión Aparente | 7 | 8 | 58 | 72 | 70 |
De acuerdo con las frecuencias encontradas, los bovinos procedentes de climas semicálidos subhúmedos, cuya especie fue Bos indicus, mayores o iguales a 37 meses y machos, presentaron mayor cantidad de lesiones. La presencia del protozoario B. coli, resultó significativa en la prueba de Chi cuadrada, mostrando dependencia con la procedencia (P=0.046) y el sexo (P=0.041) de los animales. En el análisis de regresión logística las variables: procedencia, edad, especie y sexo de los animales, fueron significativas (P=0.000) para la presencia de cicatrices, rumenitis, linfangiectasia y B. coli (cuadro 2).
Cuadro 2 Factores de riesgo para la presencia de lesiones ruminales en los bovinos sacrificados en la Procesadora Municipal de Carne en Colima, Colima, México
| IC(OR)95% | |||||||
|---|---|---|---|---|---|---|---|
| Variables | Estimado | Error estándar | Odd Ratio | Límite superior (Ll) | Limite inferior (LS) | Valor P | |
| Cicatriz | |||||||
| Región 1 | -0.230 | 0.067 | 0.793 | 0.694 | 0.907 | ||
| Procedencia | Región 2 | -0.685 | 0.05 | 0.503 | 0.455 | 0.556 | 0.000 |
| Región 3 | 0.402 | 0.089 | 1.495 | 1.250 | 1.787 | ||
| Edad | -0.142 | 0.045 | 0.866 | 0.791 | 0.949 | 0.000 | |
| Especie | -0.515 | 0.046 | 0.597 | 0.545 | 0.654 | 0.000 | |
| Sexo | -0.299 | 0.049 | 0.741 | 0.672 | 0.817 | 0.000 | |
| Rumenitis | |||||||
| Región 1 | 0.949 | 0.0711 | 2.583 | 2.243 | 2.975 | ||
| Procedencia | Región 2 | 0.176 | 0.049 | 1.192 | 1.080 | 1.317 | 0.000 |
| Región 3 | -1.001 | 0.080 | 0.367 | 0.313 | 0.430 | ||
| Edad | 0.310 | 0.045 | 1.364 | 1.246 | 1.494 | 0.000 | |
| Especie | 0.725 | 0.044 | 2.066 | 1.891 | 2.258 | 0.000 | |
| Sexo | -0.092 | 0.048 | 0.911 | 0.828 | 1.003 | 0.000 | |
| Linfangiectasia | |||||||
| Región 1 | -1.177 | 0.067 | 0.308 | 0.269 | 0.352 | ||
| Procedencia | Región 2 | -0.066 | 0.056 | 0.935 | 0.836 | 1.046 | 0.000 |
| Región 3 | -0.431 | 0.083 | 0.649 | 0.55 | 0.765 | ||
| Edad | -0.448 | 0.049 | 0.638 | 0.578 | 0.704 | 0.000 | |
| Especie | -0.266 | 0.05 | 0.766 | 0.693 | 0.846 | 0.000 | |
| Sexo | 0.453 | 0.056 | 1.573 | 1.406 | 1.759 | 0.000 | |
| Balantidium coli | |||||||
| Región 1 | -1.211 | 0.074 | 0.297 | 0.256 | 0.344 | ||
| Procedencia | Región 2 | -1.229 | 0.06 | 0.292 | 0.259 | 0.329 | 0.000 |
| Región 3 | -1.657 | 0.085 | 0.19 | 0.16 | 0.225 | ||
| Edad | -0.477 | 0.05 | 0.62 | 0.56 | 0.686 | 0.000 | |
| Especie | 0.501 | 0.048 | 1.65 | 1.499 | 1.816 | 0.000 | |
| Sexo | -0.779 | 0.052 | 0.458 | 0.413 | 0.5 | 0.000 | |
(P<0.05)
Para la variable de procedencia se tomó como comparación la región 4: clima cálido; para la edad los bovinos menores a 36 meses, para el sexo las hembras y para la especie Bos taurus.
Los bovinos de los climas semi cálidos subhúmedos, fueron 1.49 veces más probables de presentar cicatrices en rumen; en comparación con los animales procedentes de climas cálidos. Los bovinos procedentes de climas templados subhúmedos, fueron 2.5 veces más probables de presentar rumenitis, que los procedentes de climas cálidos. Los bovinos mayores de 37 meses, fueron 1.3 veces más probables de presentar rumenitis, con respecto a los bovinos menores o iguales a 36 meses. La especie Bos taurus fue 2.06 veces más probable que presentara rumenitis, en comparación con la Bos indicus. De forma similar Bos taurus fue 1.65 veces más probable de presentar B. coli que la especie Bos indicus. Los bovinos machos fueron 1.57 veces más probables de presentar linfangiectasia, en comparación con las hembras. La especie Bos indicus fue 1.65 veces más probable de presentar B. coli que la especie Bos taurus.
DISCUSIÓN
Los bovinos utilizados para la producción de carne en el estado de Colima, provienen de sistemas de engorda en pradera o mixtos. En los sistemas mixtos la etapa de iniciación comienza en la pradera y finaliza en los corrales, con el reto de una engorda de 100-120 días aproximadamente, con las conocidas “dietas calientes” que consisten en la administración de grandes cantidades de concentrado y la consecuente disminución del pH ruminal, lo que provoca la aparición de lesiones en el rumen; cifra que en el presente estudio fue mayor a las encontradas por Rezac et al. (2014a). En un estudio realizado en Estados Unidos sobre condiciones patológicas graves en bovinos al sacrificio, las lesiones ruminales tuvieron una mayor frecuencia (35%) en 1461 bovinos, los cuadros de rumenitis con una disminución de las papilas fue la lesión más común. La presencia de cicatrices y de áreas sin presencia de papilas indica una exposición a largo plazo del epitelio a un ambiente poco favorable, lo que puede explicar el grado de severidad de las lesiones y la frecuencia de éstas en animales adultos. Steele et al. (2009) observaron un desprendimiento del estrato córneo de las papilas ruminales, después de someter a un bovino a una dieta alta en grano, lesión no observada en el presente estudio; pero la cual coincide con Sasikala et al. (2018), en donde se observó por endoscopía el contenido ruminal in vivo en 110 bovinos; un epitelio cornificado con cambios de coloración y necrosis, el cual se desprendía con facilidad mostrando una superficie hemorrágica. La biopsia reveló una degeneración vacuolar con cambios nucleares del epitelio escamoso. La dieta es el factor principal en la estructura bacteriana y función ruminal, ya que las bacterias epiteliales del rumen se unen al tejido epitelial, por lo que la alteración en su composición puede afectar la función y generar lesiones (Zhang et al., 2017).
Estudios sugieren que hay un aumento en la presencia de bacterias con genes de alta virulencia, los cuales pueden aprovechar estas condiciones ruminales para desencadenar una respuesta inflamatoria (Khafipour et al., 2011) o modificar genes implicados en el crecimiento y estructura de los epitelios (Steele et al., 2011). La evaluación de la microbiota ruminal no se consideró en el presente estudio, pero se cree que la diversidad bacteriana del rumen y su respuesta a la dieta varía considerablemente, aún entre los animales alimentados con la misma dieta (Penner et al., 2009; ., Chen et al2011).
En el presente estudio, se observó que la especie Bos taurus mostraba una mayor tendencia a presentar lesiones en rumen, en comparación con la especie Bos indicus; lo anterior, de acuerdo con Lees et al. (2017) quienes mencionan que el proceso de adaptación del rumen es diferente entre animales de la especie Bos taurus y Bos indicus, particularmente en climas tropicales y subtropicales, en donde los cebuinos tienen una mejor capacidad de adaptación a climas tropicales con condiciones de temperatura y humedad altas, en comparación con los Bos taurus (Reis et al., 2016). Panciera et al. (2007) registraron daños severos, a causa de la acidosis, como: timpanismo abomasal, edema marcado, hemorragia y enfisema en las paredes ruminales; donde se sugiere que parte de los daños fue debido a la presencia de especies clostridiales, o un conjunto de agentes que se involucran en estos daños. La presencia de objetos extraños en rumen como bolsas de plástico, pueden ocasionar daños en el epitelio, como atrofia, pérdida de papilas ruminales, erosión, úlceras y formación nodular en la mucosa ruminal (Otsyina et al., 2017). La presencia de protozoarios ciliados se asocia con la estructura y patogenicidad de diferentes comunidades bacterianas y alteraciones en la fermentación ruminal (García et al., 2017). Además de ser un patógeno oportunista, B. coli, es zoonótico, y es causante de problemas gastroentéricos y pulmonares en el hombre (Sharma y Harding, 2003; Pérez et al., 2008; Koopowitz et al., 2010).
Las condiciones de temperatura y humedad del estado de Colima permiten la viabilidad de este protozoario en el ambiente, y la infección se da por el consumo de agua o alimentos contaminados con ooquistes, excretados por animales, o incluso humanos infectados (Ahmed et al., 2020).
En un estudio realizado en Bangladesh por Paul et al. (2019), identificaron la presencia del parásito protozoario B. coli en 103/200 muestras fecales. La prevalencia más alta se registró en el ganado bovino (54.7%), en comparación con el ganado porcino (42%), resultado mayor al encontrado en el presente estudio. En China, Zhang et al. (2019), realizaron un análisis en 468 muestras fecales para identificar los principales agentes infecciosos encontrados en macacos, B. coli, fue el segundo protozoario de importancia con el 70% de prevalencia, resultado mayor al de otras especies. En Brasil un estudio realizado en aves en cautiverio, mostró una prevalencia del 1.4% para este mismo parásito mediante la técnica coproparasitoscópica, el cual se encontró en palomas, lo que sugiere que pueden ser reservorios para otros hospederos susceptibles (Lyra et al., 2002). La acidosis es un problema de manejo de la alimentación, se presenta cuando el ganado que estaba consumiendo pasto, se cambia rápidamente a una dieta alta en carbohidratos, como en la mayoría de las engordas; en las cuales se puede considerar la adición de algún buffer a la ración como el bicarbonato de sodio o carbonato de calcio en no más del 5% de la ración, realizar cambios graduales en las transiciones de la etapa de engorda, así como hacer inspecciones rutinarias del sistema digestivo al momento del sacrificio.
CONCLUSIONES
La realización de este estudio permitió identificar los principales tipos de lesiones ruminales en bovinos que llegan a sacrificio a la procesadora municipal de carne de Colima. Casi la totalidad de bovinos muestreados cursaron con algún cuadro de acidosis durante su vida, las cuales ocasionaron lesiones en la pared ruminal, lo que provoca pérdidas económicas; debido a los bajos rendimientos en los corrales de engorda. La inspección post mortem en bovinos es una herramienta que permite evaluar la salud ruminal, así como impulsar medidas preventivas para el control de la acidosis ruminal subclínica. La presencia de agentes no comunes en el rumen sugiere una alteración en la microbiota del epitelio ruminal. Este es el primer estudio donde se documenta la presencia de Balantidium coli en tejidos ruminales.










texto en 


