SciELO - Scientific Electronic Library Online

 
vol.90 número6Distensión gástrica masiva con gastritis enfisematosa: reporte de un caso y revisión de la literaturaSíndrome de Rapunzel asociado a obstrucción intestinal y hemorragia de vías digestivas altas: reporte de caso y revisión de literatura índice de autoresíndice de materiabúsqueda de artículos
Home Pagelista alfabética de revistas  

Servicios Personalizados

Revista

Articulo

Indicadores

Links relacionados

  • No hay artículos similaresSimilares en SciELO

Compartir


Cirugía y cirujanos

versión On-line ISSN 2444-054Xversión impresa ISSN 0009-7411

Cir. cir. vol.90 no.6 Ciudad de México nov./dic. 2022  Epub 09-Dic-2022

https://doi.org/10.24875/ciru.21000576 

Casos Clínicos

Reporte de caso: vólvulo de sigmoides en un adulto joven, una manifestación de enfermedad de Hirschsprung

Case report: sigmoid volvulus in a young adult, a manifestation of Hirschsprung disease

Claudio D. Rojas-Gutiérrez1  * 

Jorge S. Haro-Cruz1 

Diego F. Cabrera-Eraso1 

Víctor M. Torres-García2 

Juan C. Salas-Álvarez2 

Javier O. Valencia-Jiménez3 

1Departamento de Gastrocirugía, Hospital de Especialidades Dr. Bernardo Sepúlveda del Centro Médico Nacional Siglo XXI, Instituto Mexicano del Seguro Social (IMSS)

2Departamento de Pregrado, Universidad Nacional Autónoma de México

3Departamento de Cirugía, Hospital General de Zona 1-A “Dr. Rodolfo Antonio de Mucha Macías”, IMSS. Ciudad de México, México


Resumen

Antecedentes:

La enfermedad de Hirschsprung se caracteriza por un defecto de las células nerviosas en el intestino distal. Suele diagnosticarse durante los primeros años de vida, rara vez debutando en adultos, en quienes se manifiesta como una constipación crónica refractaria al tratamiento.

Caso clínico:

Mujer de 24 años con enfermedad de Hirschsprung no diagnosticada, quien acude a urgencias por un cuadro de vólvulo de sigmoides que requiere intervención quirúrgica.

Conclusiones:

La enfermedad de Hirschsprung rara vez debuta en la edad adulta y generalmente se diagnostica secundaria a sus complicaciones, por lo que supone un reto diagnóstico y terapéutico para el cirujano general.

Palabras clave Adulto joven; Enfermedad de Hirschsprung; Vólvulo intestinal; Obstrucción intestinal

Abstract

Background:

Hirschsprung’s disease is characterized by the absence of enteric ganglia in the distal digestive tract; being usually diagnosed in neonates, it rarely debuts during adulthood, where it presents as chronic constipation refractory to treatment.

Case report:

24-year-old female patient with Hirschsprung’s disease who arrives to the emergency room with a sigmoid volvulus requiring urgent surgical therapy.

Conclusions:

Hirschsprung’s disease doesn’t frequently debut in adulthood, presenting a diagnostic and therapeutic challenge for the general surgeon, especially when dealing with its complications.

Keywords Young adult; Hirschsprung disease; Intestinal volvulus; Intestinal obstruction

Introducción

La enfermedad de Hirschsprung o megacolon agangliónico se caracteriza por la ausencia de los ganglios entéricos en los plexos submucosos y mientéricos. Suele manifestarse durante los primeros años de vida, con una incidencia de aproximadamente 1 en 5000 nacidos vivos, presentándose en el periodo neonatal como un cuadro de retraso en el paso de meconio, acompañado de distensión abdominal, vómito biliar o ambos1,2. Su presentación en la edad adulta es sumamente infrecuente, habiéndose reportado alrededor de 500 casos en la literatura médica, por lo que se desconoce su incidencia real, pero se estima que podría acercarse al 2% del total de los casos de constipación crónica en el adulto3.

Estos pacientes tienen una forma más larvada de la enfermedad debido a la hipertrofia del segmento proximal, el cual compensa la obstrucción funcional secundaria a la falta de inervación distal en el segmento agangliónico4,5. En el adulto, la enfermedad suele presentarse como un cuadro de constipación crónica refractaria al manejo tradicional. El diagnóstico confirmatorio puede realizarse de manera ambulatoria con manometría anorrectal, enemas de bario o biopsias de espesor completo del segmento afectado6. Una pequeña proporción de los casos diagnosticados en la edad adulta son el resultado de hallazgos incidentales secundarios a las complicaciones que dicho cuadro pudiese ocasionar, haciendo de esta enfermedad un reto diagnóstico y terapéutico para el cirujano general3,4.

Presentamos el caso de una paciente de 24 años con enfermedad de Hirschsprung sin previo diagnóstico que acudió al área de urgencias de un hospital de segundo nivel durante la pandemia de COVID-19, presentando un cuadro de obstrucción intestinal secundario a un vólvulo de sigmoides, el cual ameritó manejo quirúrgico con realización de colectomía total e ileostomía terminal. Este caso refleja el cuadro clínico larvado de esta enfermedad, su presentación atípica y la necesidad de una alta sospecha clínica en adultos jóvenes que se presentan con un vólvulo colónico en la sala de urgencias.

Caso clínico

Ingresa a urgencias una paciente de 24 años, hispana, estudiante de licenciatura, sin antecedentes crónico-degenerativos, hospitalizaciones ni antecedentes quirúrgicos previos, quien refiere episodios recurrentes de dolor abdominal, constipación y distensión, de aproximadamente 5 años de evolución, los cuales han aumentado en intensidad y frecuencia en los últimos 6 meses, exacerbándose significativamente en las últimas 48 horas, acompañándose además de ausencia de evacuaciones e incapacidad para canalizar gases. Refiere uso habitual de antiinflamatorios no esteroideos y antiespasmódicos, sin requerir laxantes o enemas, con remisión espontánea de los cuadros previos.

En la exploración física encontramos una paciente ectomórfica con facies dolorosa, consciente, neurológicamente íntegra, con ataque al estado general y fiebre, taquicárdica a la auscultación cardiaca. Los campos pulmonares se aprecian adecuadamente ventilados. En la exploración abdominal se observa distensión significativa, de predominio en el cuadrante superior izquierdo, donde a la palpación se aprecia una masa con timpanismo a la percusión, móvil, no adherida a planos profundos, así como datos de irritación peritoneal focalizados en dicha área. Al tacto rectal se encuentra un esfínter normotónico con descenso adecuado del músculo puborrectal, sin masas palpables, restos hemáticos ni materia fecal.

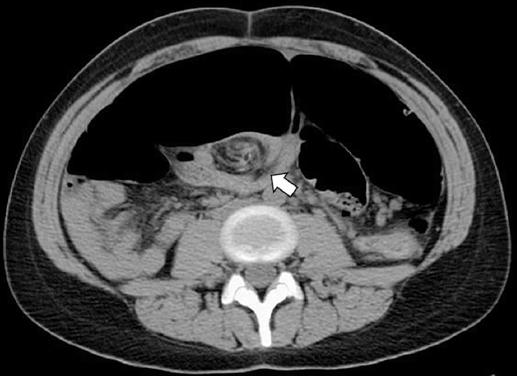
Se realizan estudios de laboratorio, incluyendo biometría hemática completa, pruebas de función renal y hepática, electrolitos séricos, tiempos de coagulación y gasometría arterial, reportándose leucocitosis con neutrofilia (23 × 103/μl, 90% neutrófilos), así como datos de acidosis metabólica y lesión renal aguda incipiente. Una radiografía de abdomen en bipedestación a su ingreso muestra importante dilatación del colon, de hasta 20 cm en su diámetro máximo, con imagen en «grano de café» (Fig. 1). Se realiza tomografía computarizada de abdomen y pelvis, la cual constata una importante dilatación del colon transverso, descendente y sigmoides, con alteraciones del mesenterio (Fig. 2).

Figura 1 Radiografía simple de abdomen en bipedestación, de proyección anteroposterior, en la cual se observa la imagen típica en «grano de café», con dilatación significativa del intestino involucrado, así como ausencia de gas en ámpula rectal. 

Figura 2 Tomografía simple de abdomen, corte axial a nivel de la cicatriz umbilical, documentando el sitio de torsión del eje vascular de vasos mesentéricos, también conocido como «signo del remolino» (flecha). 

Ante la falta de disponibilidad de un servicio de endoscopia para intentar el manejo conservador, se decide realizar una laparotomía de urgencia bajo anestesia general, con la paciente en posición supina, encontrándose dilatación pancolónica, desde el ciego hasta el sigmoides, con vólvulo a nivel del mesosigmoides, por lo que se realiza colectomía total con cierre distal en bolsa de Hartmann en dos planos utilizando sutura absorbible e ileostomía terminal con técnica de Brooke en el flanco derecho. Se envía la pieza quirúrgica para su estudio histopatológico (Fig. 3). El procedimiento fue realizado por un cirujano general adscrito al servicio y dos médicos residentes de tercer y segundo año. La paciente presenta una adecuada evolución posquirúrgica, permaneciendo en vigilancia durante 72 horas, con inicio de vía enteral en las primeras 24 horas y siendo posteriormente egresada sin complicaciones. Es remitida ulteriormente a la consulta de cirugía de colon y recto para seguimiento y posterior protocolo de restitución del tracto gastrointestinal, donde a los 3 meses de seguimiento no reporta complicaciones, con adecuada cicatrización de las heridas y gastos estables a través de la ileostomía.

Figura 3 Hallazgos transoperatorios. A: intestino grueso con dilatación significativa desde el ciego hasta el sigmoides, con afección predominantemente distal y B: Intestino grueso con dilatación significativa apreciable en la imagen de la pieza posterior a la colectomía. La longitud de la pieza se vuelve sugerente de megadolicocolon, una variante del desarrollo caracterizada por redundancia del intestino grueso. 

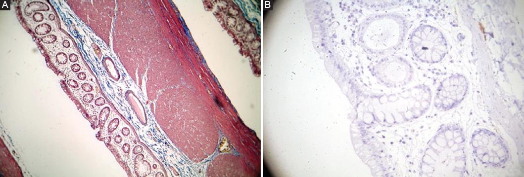
El reporte histopatológico de la pieza confirma la presencia de una neuropatía entérica consistente con agangliosis del adulto, así como enterocolitis con infiltrado inflamatorio mixto, hiperplasia folicular linfoide y áreas de atrofia epitelial con predominio en el sigmoides. En la tinción tricrómica de Masson se evidencia fibrosis en submucosa, perivascular y en plexos de Auerbach, con inmunohistoquímica negativa para calretinina, confirmándose el diagnóstico de enfermedad de Hirschprung (Fig. 4).

Figura 4 Cortes histológicos de colon. A: fotomicrografía de campo claro a 10×, teñida con tricrómico de Masson, en la que se observa una clara división entre mucosa con abundancia de glándulas y epitelio cilíndrico simple acompañado de algunas células caliciales, submucosa, capa muscular y serosa. Se observan además áreas de fibrosis en submucosa, perivascular y en plexos de Auerbach. B: fotomicrografía de campo claro a 40× con inmunohistoquímica para calretinina, mostrando una tinción prácticamente nula de células ganglionares en plexo de Auerbach. 

Discusión

Las fortalezas del caso presentado radican en que, pese a consistir en una patología infrecuente, y no contar con todas las herramientas diagnóstico-terapéuticas, se logró arribar adecuadamente a un diagnóstico etiológico y proveer una adecuada resolución quirúrgica de urgencia con un pronóstico favorable para la vida y la función de la paciente. Así mismo, la debilidad de nuestro caso radica en dichas deficiencias, dado que, por el modo de presentación, no fue posible realizar el abordaje diagnóstico propuesto por la literatura, con el fin de intentar un manejo conservador, escalando el mismo acorde a la respuesta terapéutica de la paciente.

La enfermedad de Hirschprung es una patología diagnosticada en el periodo neonatal o durante la niñez en hasta un 95% de los casos, presentándose como retraso en el paso de meconio o cuadros persistentes de constipación, síntoma que se vuelve cardinal en la presentación adulta de la enfermedad7. Pese a que su fisiopatología no ha sido del todo esclarecida, el defecto principal consiste en una agangliosis de los plexos submucoso (Meissner) y mientérico (Auerbach), la cual puede afectar cualquier segmento del tubo digestivo, pero muestra un predominio en el segmento distal del mismo, generando una incapacidad para la relajación del segmento afectado. En la población cuyo diagnóstico permanece elusivo hasta la etapa adulta suele existir una gran tolerancia a los cuadros de obstrucción por presentarse dos condiciones concomitantes: segmentos cortos de agangliosis (<10 cm) y una adecuada fuerza propulsora de los segmentos no afectados3. Esta condición puede pasar desapercibida al hacer uso de tratamientos sintomáticos para la constipación crónica, retrasando su detección y volviéndola un reto tanto diagnóstico como terapéutico para el cirujano general, sobre todo fuera de centros especializados o de tercer nivel de atención6,8.

Esta enfermedad se clasifica acorde con la extensión de la agangliosis. El esfínter anal interno suele definirse como el límite inferior de la agangliosis, mientras que el límite superior sin agangliosis es el utilizado para definir la extensión de la agangliosis como segmento ultracorto, segmento corto, segmento largo y agangliosis colónica total (Tabla 1). La forma más frecuente es la de segmento corto, presente en aproximadamente un 80% de los casos, y afectando desde el recto hasta la porción distal del colon sigmoides. La siguiente forma más comúnmente encontrada es la de segmento largo, afectando al 15-20% de los pacientes con enfermedad de Hirschsprung, mientras que la agangliosis colónica total es la forma más infrecuente de presentación, que ocurre en menos del 5% de los casos9-11.

Tabla 1 Clasificación de la enfermedad de Hirschsprung acorde con los segmentos anatómicos afectados por la agangliosis 

Tipo Segmento afectado
Segmento ultracorto Canal anal por encima de la línea pectínea
Segmento corto Porción distal del colon sigmoides y recto
Segmento largo Recto, colon sigmoides y colon hasta la flexura esplénica
Agangliosis colónica total Agangliosis que se extiende proximal a la flexura esplénica

El diagnóstico de esta enfermedad suele realizarse con la combinación de estudios funcionales; no obstante, el examen histopatológico de biopsias de espesor total sigue siendo el método de referencia. En este contexto, los hallazgos sugestivos incluyen la ausencia de células ganglionares, la presencia de fibras nerviosas hipertróficas, el aumento de la actividad de la acetilcolinesterasa y la ausencia de fibras positivas a calretinina en la lámina propia. La hipertrofia de las fibras nerviosas puede no estar presente en lactantes menores de 8 semanas, por lo que su detección en adultos no suele ser un problema. Por otro lado, en caso de enfermedad de segmento ultracorto es importante aclarar que se ha reportado una mayor probabilidad de falsos negativos secundario al sitio de toma de la muestra12. En nuestro caso, dicho diagnóstico se realizó posterior a los hallazgos durante el transoperatorio y el envío de la muestra para su estudio definitivo.

En la literatura, los casos previamente reportados suelen ser pacientes en un contexto ambulatorio, en estudio por cuadros de constipación crónica. Son pocos los artículos y reportes que narran las complicaciones de una enfermedad de Hirschsprung previamente no detectada4,7,12. Si bien algunos autores sugieren la certeza diagnóstica previo a considerar un manejo definitivo con alguno de los procedimientos descritos (Duhamel, Swenson, Soave), la rareza de este tipo de presentaciones no ha permitido estandarizar un manejo idóneo, por lo que el plan terapéutico debe individualizarse acorde al escenario clínico6,13.

El abordaje quirúrgico actual depende a su vez de la longitud de segmento afectado, el grado de reversibilidad de la dilatación colónica, la longitud de la zona acalásica, el estatus nutricional del paciente y, como el resto de los abordajes quirúrgicos, la experiencia y la capacidad del cirujano a cargo. En la enfermedad ultracorta, una de las principales opciones es la miectomía transanal, con el objetivo de eliminar el espasmo de la zona agangliónica. El procedimiento de Swenson consiste en la remoción del recto agangliónico y el colon distal irreversiblemente distendido, con una anastomosis coloanal. La técnica de Duhamel, inicialmente descrita en una época en que la morbilidad de una disección rectal superaba la involucrada con este procedimiento, involucra el descenso del colon sano detrás del recto afectado, el cual se deja en su lugar, generando un efecto de cortocircuito. Dados los avances en la cirugía actual, esta técnica ha caído en desuso, pero permanece como parte del contexto histórico del manejo quirúrgico del Hirschsprung. El procedimiento de Soave, de la misma manera, busca preservar el recto distal por la morbilidad relacionada con dicho procedimiento en el momento histórico del desarrollo de esta técnica, resecando únicamente colon y la parte superior del recto afectado, para luego descender el colon sano a través del recto remanente una vez que se eliminó la mucosa del mismo3,14.

Otro factor que debe tomarse en cuenta al analizar la pieza de patología es la sugerencia de un cuadro concomitante de megadolicocolon, el cual ha sido descrito como una variante en el desarrollo del intestino grueso, caracterizada por la redundancia de este, y descrito por primera vez en 1820. Esta prolongación profusa del intestino suele acompañarse de alteraciones en la motilidad de los segmentos ascendentes y descendentes. Epidemiológicamente, no suele asociarse con mayor frecuencia a un sexo ni a una edad específicos, pero si es sintomático, los síntomas suelen presentarse en etapas tempranas de la vida15.

Conclusiones

La enfermedad de Hirschsprung o megacolon agangliónico en el adulto es una afección infrecuente cuya presentación puede ser un reto para el cirujano general, requiriendo un alto grado de sospecha diagnóstica. Por ello, es relevante realizar un abordaje apropiado en adultos jóvenes con un cuadro enmascarado por constipación crónica de difícil manejo. Se requiere mayor evidencia para emitir recomendaciones sobre el manejo quirúrgico de urgencia que mejore el pronóstico de estos pacientes.

Agradecimientos

Los autores reconocen al departamento de patología del Hospital General de Zona 1-A por sus atenciones y colaboración para hacer posible el reporte de este caso y contribuir a la comunidad científica de su país, a pesar de las limitaciones que se han presentado por la pandemia de COVID-19.

Bibliografía

1. Heuckeroth RO. Hirschsprung disease —integrating basic science and clinical medicine to improve outcomes. Nat Rev Gastroenterol Hepatol. 2018;15:152-67. [ Links ]

2. Drissi F, Meurette G, Baayen C, Wyart V, Cretolle C, Guinot A, et al. Long-term outcome of Hirschsprung disease:impact on quality of life and social condition at adult age. Dis Colon Rectum. 2019;62:727-32. [ Links ]

3. Lupon E, Labbe F, Nini E, Sondji S. Hirschsprung disease in an adult with intestinal malrotation and volvulus:an exceptional association. J Med Case Rep. 2019;13:124. [ Links ]

4. López Ruiz JA, Tallón Aguilar L, Sánchez Moreno L, López Pérez J, Pareja CiuróF, Oliva Mompeán F, et al. Hirschsprung disease with debut in adult age as acute intestinal obstruction:case report. Rev Esp Enferm Dig. 2016;108:742-6. [ Links ]

5. Zeng M, Amodio J, Schwarz S, Garrow E, Xu J, Rabinowitz SS. Hirschsprung disease presenting as sigmoid volvulus:a case report and review of the literature. J Pediatr Surg. 2013;48:243-6. [ Links ]

6. Shitta AH, Ugwu BT, Peter SD, Ozoilo KN, Adighije PF, Omolabake BI. Hirschsprung's disease in an adult:a case report. J West Afr Coll Surg. 2014;4:121-6. [ Links ]

7. Qiu J, Shi Y, Hu L, Fang L, Wang H, Zhang M. Case report. Adult Hirschsprung's disease:report of four cases. Int J Clin Exp Pathol. 2013;6:1624-30. [ Links ]

8. Reategui CO, Spears CA, Allred GA. Adults Hirschsprung's disease, a call for awareness. A case report and review of the literature. Int J Surg Case Rep. 2021;79:496-502. [ Links ]

9. Estopiñan Rebollar R, Estopiñan Cánovas R, Pila Peláez R. Hirschsprung's disease in an adult patient. Rev Colomb Gastroenterol. 2016;31:52-5. [ Links ]

10. Szylberg Ł, Marszałek A. Diagnosis of Hirschsprung's disease with particular emphasis on histopathology. A systematic review of current literature. Gastroenterol Rev. 2014;5:264-9. [ Links ]

11. Uylas U, Gunes O, Kayaalp C. Hirschsprung's disease complicated by sigmoid volvulus:a systematic review. Balkan Med J. 2021;38:1-6. [ Links ]

12. Arencibia Pérez B, Delgado Sánchez JJ, Marchena Gómez J. Aganglionic megacolon in the adult. Urgent and surprising cause of intestinal occlusion. Rev Esp Enferm Dig. 2019;111:405. [ Links ]

13. Wu S, Sun X, Yu Y, Shen Y. Hirschsprung's disease-related giant sigmoid volvulus complicated by refractory hypertension in an elderly man. Am J Case Rep. 2018;19:467-71. [ Links ]

14. Needham V, Huang R, Levine R. Management of colonic volvulus. En:Cameron JL, Cameron AM, editores. Current surgical therapy. 13th ed. Baltimore:Elsevier;2020. 215-9. [ Links ]

15. Mera-Martínez PF, Rivas-Goyes JA, Portillo-Miño JD. Megadolicocolon de presentación poco usual en un paciente de edad avanzada:a propósito de un caso. Rev Colomb Cir. 2020;35:695-8. [ Links ]

FinanciamientoLos autores declaran no haber recibido ningún tipo de financiamiento para este artículo.

Responsabilidades éticas

Protección de personas y animales. Los autores declaran que para esta investigación no se han realizado experimentos en seres humanos ni en animales.

Confidencialidad de los datos. Los autores declaran que han seguido los protocolos de su centro de trabajo sobre la publicación de datos de pacientes.

Derecho a la privacidad y consentimiento informado. Los autores han obtenido el consentimiento informado de los pacientes y/o sujetos referidos en el artículo. Este documento obra en poder del autor de correspondencia.

Recibido: 09 de Julio de 2021; Aprobado: 05 de Agosto de 2021

* Correspondencia: Claudio D. Rojas-Gutiérrez E-mail: claudiodrojas@hotmail.com

Conflicto de intereses

Los autores declaran no tener ningún conflicto de intereses.

Creative Commons License Instituto Nacional de Cardiología Ignacio Chávez. Published by Permanyer. This is an open access article under the CC BY-NC-ND license