Introducción
La lesión de Dieulafoy es una patología poco común que se produce por la erosión de vasos aberrantes en la submucosa del tubo digestivo, provocando hemorragias digestivas de carácter intermitente y que, en ocasiones, pueden llegar a comprometer la estabilidad hemodinámica del paciente. Se da con más frecuencia en la curvatura menor del estómago, cerca de la unión gastroesofágica. A pesar de que el 71% de los casos de lesión de Dieulafoy se han descrito a nivel gástrico, también se han reportado lesiones en otras localizaciones: el 15% en el duodeno, el 8% en el esófago y el 6% en el intestino delgado restante y el colon1.
Su etiología es desconocida y su diagnóstico resulta complejo. Es más habitual en los varones en la quinta década de la vida, sobre todo en aquellos con comorbilidad como hipertensión arterial, enfermedad renal crónica o diabetes1,2. Se ha relacionado con el consumo de antiinflamatorios no esteroideos y antiagregantes plaquetarios, pero no se ha podido establecer una relación causal directa con el consumo de alcohol y tabaco.
La manifestación clínica habitual es en forma de hematemesis y melenas que se presentan de forma intermitente y abundante, llegando a provocar inestabilidad hemodinámica del paciente, lo que requiere un diagnóstico precoz y un manejo rápido3.
A pesar de los avances en las diferentes modalidades diagnósticas y terapéuticas, tanto endoscópicas como radiológicas, la localización del punto de sangrado es compleja.
La endoscopia es la técnica diagnóstica y terapéutica de elección, y la que se recomienda en primer lugar, principalmente en el momento agudo del sangrado, ya que, en este caso, se hallará el punto de sangrado y, a diferencia de lo que ocurre en las hemorragias digestivas secundarias a úlceras pépticas, no habrá evidencia de úlceras ni de lesiones circundantes. La tasa de recurrencia en los casos de enfermedad de Dieulafoy yeyunal con manejo endoscópico es del 12.5-20%3.
En ocasiones, la ecoendoscopia puede resultar de utilidad para confirmar el diagnóstico, ya que permite visualizar el vaso aberrante. Asimismo, se pueden emplear diferentes técnicas hemostáticas endoscópicas, como la inyección de epinefrina, la colocación de hemoclips e incluso la ligadura con bandas, aunque esta última se ha relacionado con perforación y con hemorragia digestiva secundaria a la úlcera que se produce tras la caída de la banda4.
Ante resangrados se puede plantear un nuevo abordaje endoscópico, angioembolización o, incluso, un abordaje quirúrgico con resección de la lesión.
La principal técnica empleada en las hemorragias digestivas de intestino delgado es la enteroscopia guiada con balón. Esta técnica tiene sus limitaciones, ya que únicamente explora un pequeño segmento del intestino delgado y veces no es posible aplicar ninguna técnica terapéutica5.
La resección intestinal es el ultimo recurso terapéutico y se emplea en caso de hemorragias digestivas que no se pueden controlar con un manejo más conservador o en las que no se identifica un punto claro de sangrado, en ocasiones englobando la resección intestinal del segmento afecto4,6,7.
Caso clínico
Varón de 35 años sin antecedentes de interés que acude a urgencias tras un episodio de rectorragia abundante, con frecuencia cardiaca de 63 latidos por minuto, presión arterial de 97/54 mmHg y hemoglobina de 12.80 g/dl. En primer lugar se realizó una gastroscopia, en la que se identificaron restos hemáticos en la cavidad gástrica, sin evidencia de lesiones sangrantes.
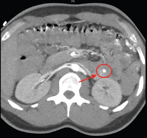
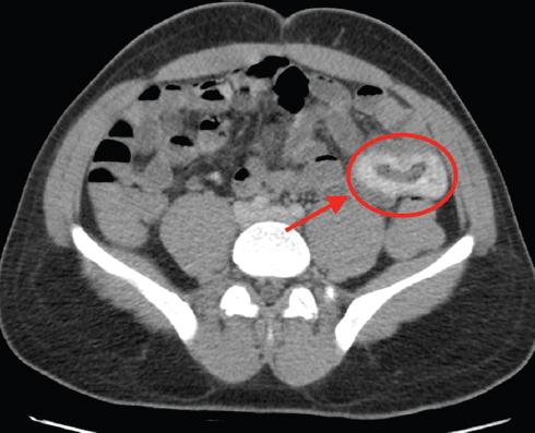
Ante la persistencia de las rectorragias abundantes que comprometían la estabilidad hemodinámica del paciente (120 latidos por minuto, 80/40 mmHg) y que requirieron la transfusión de 11 concentrados de hematíes, se realizó una angiografía por tomografía computarizada (Figs. 1 y 2), que mostró signos de sangrado activo en una lesión tumoral en el yeyuno medio. Se realizó embolización de la arteria dependiente de la arteria yeyunal por parte de radiología intervencionista (Fig. 3), inicialmente con éxito, y el paciente pasó a la unidad de reanimación posquirúrgica, sin precisar fármacos vasoactivos en ningún momento.

Figura 1 Opacificación focal nodular de contraste en la fase arterial de 6.5 mm a nivel mural endoluminal de un asa de yeyuno proximal.

Figura 2 En la fase tardía se observa una acumulación de contraste endoluminal en las asas de yeyuno segmentarias.

Figura 3 Arteriografía en la que se observa un sangrado arterial agudo de alto flujo en topografía yeyunal.
A las 72 horas presentó un nuevo episodio de rectorragia, asociando hipotensión arterial y taquicardia, y en esta ocasión se optó por un abordaje quirúrgico. Se indicó una laparoscopia exploradora, en la que se localizó el segmento intestinal compatible con la lesión mostrada por la prueba de imagen. Se realizó una resección oncológica de 28 cm de yeyuno con anastomosis primaria yeyuno-yeyunal mecánica anisoperistáltica (Fig. 4). El resultado anatomopatológico no corroboró el diagnóstico radiológico y evidenció una lesión de Dieulafoy. El tratamiento quirúrgico fue exitoso, sin que el paciente haya mostrado nuevos signos de hemorragia.
Conclusiones
La lesión de Dieulafoy es poco habitual, pero no por ello hay que dejar de considerarla en el diagnóstico diferencial de la hemorragia digestiva. En caso de que sea posible, se recomienda el manejo mediante técnicas radiológicas o endoscópicas. El tratamiento quirúrgico conlleva en muchas ocasiones cirugías abiertas y resecciones intestinales segmentarias, y por este motivo quedaría relegado para aquellas hemorragias digestivas refractarias a los tratamientos menos invasivos.










nueva página del texto (beta)



