Introducción
La diverticulitis es una causa común de dolor abdominal en pacientes que se presentan en departamentos de urgencias.1
Historia
Littre describió por primera vez en 1700 la enfermedad diverticular adquirida en el colon como saculaciones del mismo. En 1849 Cruveilhier fue el primero en describir el proceso anatomopatólogico de los divertículos. Más tarde, en 1899 Graser introdujo el término peridiverticulitis que sugería que la patogenia de los divertículos era la herniación de la mucosa a través de la zona de penetración de los vasa recta. Beer postuló en 1904 que el mecanismo de la diverticulitis era la impactación de materia fecal en el cuello del divertículo, lo que causaba inflamación y abscesificación con posible fistulización. Telling comunicó 80 casos de diverticulitis del colon sigmoideo en 1908 y Tellin y Gruner publicaron en 1917 la descripción clásica de la enfermedad diverticular complicada.2
Definición
Los términos "diverticulosis" y "enfermedad diverticular" se utilizan para describir la presencia de divertículos no inflamados. El término "diverticulitis" indica la inflamación de un divertículo o divertículos, con engrosamiento de la pared intestinal menor de 3 mm y la inflamación de la grasa alrededor del colon. La "diverticulitis complicada" se refiere al engrosamiento de la pared abdominal mayor de 3 mm con perforación, formación de abscesos, fístulas u obstrucciones secundarias al proceso inflamatorio diverticular. La enfermedad afecta el sigmoides y colon descendente (sitio en el que por lo general se encuentran los divertículos) en más de 90% de los pacientes y no se desarrollan en el recto.3
Epidemiología
La prevalencia de diverticulosis es similar en hombres y mujeres y aumenta con la edad, que va desde aproximadamente 10% en los adultos menores de 40 a 50 años de edad hasta 70% entre los de 60 a 80 años o más. 80% de los pacientes que se presentan con diverticulitis son mayores de 50 años.4
Factores de riesgo
Los factores asociados a diverticulosis incluyen alteraciones en la resistencia de la pared del colon, motilidad del colon y problemas dietéticos, como la falta de fibra, que contribuyen al aumento de la presión intraluminal y la debilidad de la pared intestinal. La susceptibilidad genética es un componente determinante del desarrollo de la enfermedad diverticular porque los gemelos monocigóticos tienen el doble de probabilidades que los gemelos dicigóticos de desarrollar diverticulosis. La aspirina y los fármacos antiinflamatorios no esteroides aumentan el riesgo de diverticulitis (razón de riesgo = 1.2 a 1.7). Otros factores de riesgo de la diverticulitis incluyen la edad, la obesidad y la falta de ejercicio.5
Fisiopatología
La fisiopatología de la enfermedad diverticular es muy complicada debido a los múltiples factores que contribuyen como la dieta, la motilidad intestinal del colon, la estructura de la pared y las posibles predisposiciones genéticas.
Sin embargo, observaciones recientes sugieren que la historia natural de la enfermedad tiene similitudes con la enfermedad inflamatoria intestinal (EII) crónica, pues al igual que en la EII la inflamación de los divertículos parece ser generada por un aumento de la producción de citoquinas proinflamatorias, la producción reducida de citoquinas antiinflamatorias y la síntesis de óxido nítrico en la mucosa.6
Los divertículos son pequeñas saculaciones de mucosa y submucosa a través de la capa muscular de la pared del colon.7 Se desarrollan en el nervio y los vasos sanguíneos, perforan la capa muscular entre el colon y mesenterio, motivo por el cual tiene propensión a sangrar. Los divertículos pueden encontrarse en cualquier parte del colon. La diverticulitis ocurre cuando el cuello de un divertículo se ocluye, lo que resulta en la inflamación, erosión y microperforación. La microperforación provoca inflamación pericolónica. 95% de los casos ocurren en el lado izquierdo del colon. La diverticulitis del lado derecho representa 5% de los casos y es más frecuente en los asiáticos. La diverticulitis del colon transverso o del intestino delgado es poco frecuente.8
Métodos diagnósticos
El rendimiento diagnóstico de la clínica en la diverticulitis es limitado con una sensibilidad de 64%, hasta 40% de los falsos positivos y un valor predictivo positivo de 54%. La presentación clásica de la diverticulitis aguda es: dolor focalizado en fosa iliaca izquierda, presencia de fiebre y leucocitosis. No obstante su espectro de presentación oscila desde leves molestias abdominales a peritonitis y mal estado general.9
El diagnóstico por imagen se utiliza ampliamente en pacientes que acuden al hospital por dolor abdominal, siendo la ecografía y la TC los dos tipos de estudios que más se usan.
La ecografía es accesible, no invasiva y no requiere radiación. Algunos autores la defienden como primera exploración, pero hay que tener en cuenta que es operador dependiente, resulta difícil de realizar en pacientes obesos y es menos sensible para detectar una perforación si hay aire y es poco específica, tiene una sensibilidad baja de 77% para la diverticulitis aguda complicada y de 96% para la diverticulitis aguda no complicada, es específica si se encuentra el signo de la cúpula, en el cual se identifica una masa hipoecoica que protruye de la pared intestinal.10
La TC es el método de elección inicial más apropiado para el diagnóstico cuando se sospecha diverticulitis.11 El protocolo de estudio puede diferir entre los distintos centros. Debe iniciarse con un estudio sin contraste y ante la ausencia de confirmación diagnóstica y/o necesidad de evaluar las complicaciones se administrará contraste intravenoso.12 La precisión diagnóstica global de la TC (sensibilidad de 91 a 95% y especificidad de 72 a 77%) puede incrementarse con el agregado de contraste rectal.13,14 Los hallazgos tomográficos varían según la gravedad de la enfermedad diverticular; en el caso de la diverticulitis complicada, la sensibilidad se eleva entre 93 y 98% y su especificidad es de 80 a 100% y en la mayoría de los casos permiten diagnosticar o descartar otras patologías.15
Clasificación
El estadio de la enfermedad en pacientes con diverticulitis a menudo se determina mediante el sistema de clasificación de Hinchey modificada por Wasvary (1999) y los hallazgos tomográficos por Kaiser a los que se incorporan los resultados de imagen (Cuadro 1 y Figura 1),16 los cuales comprenden desde el estadio 0 hasta el IV, en los que el estadio 0 (Figura 2) nos habla de una diverticulitis clínicamente moderada. El estadio I se divide en dos el IA (Figura 3) que se refiere a la inflamación pericólica limitada sin absceso y el estadio IB (Figura 4) en el que además de inflamación hay absceso adyacente a la zona de inflamación. En el estadio II (Figura 5) se encuentra el absceso pélvico, retroperitoneal o a distancia. En el estadio III (Figura 6) evoluciona a peritonitis generalizada sin comunicación a la luz intestinal y en el estadio IV hay peritonitis fecaloide con comunicación a la luz intestinal.17,18
Cuadro 1: Clasificación de Hinchey modificada para la estadificación de la diverticulitis aguda.
| 0 | Diverticulitis clínicamente moderada | Conservador | |
| Ia | Inflamación pericólica limitada, no absceso | Conservador | |
| Ib | Inflamación pericólica limitada, con absceso | < 2 cm | • Conservador |
| > 2 cm | • Drenaje percutáneo | ||
| II | Absceso pélvico, retroperitoneal o a distancia | < 2 cm | • Conservador |
| > 2 cm | • Drenaje percutáneo | ||
| III | Peritonitis generalizada, no comunicación con luz intestinal | Cirugía urgente (colectomía) | |
| IV | Peritonitis fecaloidea, comunicación libre con luz intestinal | Cirugía urgente (colectomía) |

Figura 2: Diverticulitis grado 0: TC axial con contraste muestra engrosamiento de la pared del colon sigmoides (cabeza de flecha), sin cambios en la grasa pericólica.

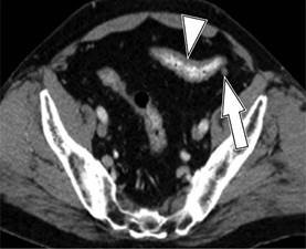
Figura 3: Diverticulitis grado IA: TC con contraste en corte axial muestra engrosamiento de la pared del colon descendente (flecha) y cambios en la grasa pericólica (cabeza de flecha).

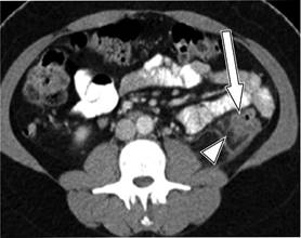
Figura 4: Diverticulitis grado IB: TC muestra engrosamiento de la pared del colon sigmoides (flecha) con pequeño absceso pericólico (cabeza de flecha) y cambios en la grasa pericólica.

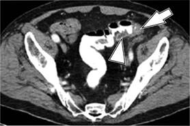
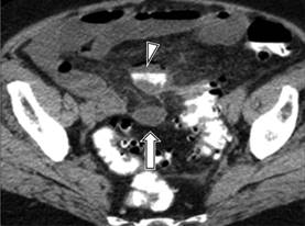
Figura 5: Diverticulitis grado II: TC corte axial muestra engrosamiento de la mucosa (cabeza de flecha) así como absceso pélvico (flecha).

Figura 6: Diverticulitis grado III: TC con contraste en corte axial muestra aire libre (cabeza de flecha) con presencia de líquido (flecha) en colon sigmoides.
La mayoría de los pacientes con diverticulitis no complicada pueden seguir un régimen de tratamiento conservador de antibióticos y modificación de la dieta. En pacientes con enfermedades leves con una presentación claramente sugestiva de diverticulitis no complicada (Hinchey etapa 0 o IA), la decisión de tratamiento no se basa en los resultados de las imágenes, sino en el estado clínico del paciente. En los pacientes con diverticulitis Hinchey etapa 1B con un pequeño absceso, el tratamiento también puede ser conservador. Los pacientes con abscesos más grandes son tratados con drenaje percutáneo. La diverticulitis asociada a absceso se detecta en la TC en aproximadamente 15% de los pacientes. La mayoría de estas colecciones, entre 36 y 59%, son abscesos en el mesocolon que pueden ser tratados con drenaje percutáneo. La tasa de recurrencia de diverticulitis es la más alta (40%) en este último grupo.19
La TC y los procedimientos de la radiología intervencionista han contribuido a mejorar la estadificación preoperatoria y a que en la actualidad pueda resecarse el segmento afectado con una anastomosis inmediata en un solo tiempo, la cual reduce el número de procedimientos de Hartmann o intervención en dos tiempos. Asimismo es importante la identificación de los pacientes que pueden reaccionar al tratamiento médico y que son aptos para seguimiento en consulta externa. Ambas medidas pueden reducir la estancia y los costos hospitalarios.20
Material y métodos
Se realizó un estudio descriptivo, transversal y prospectivo en el Servicio de Radiología del Hospital Ángeles Pedregal de la Ciudad de México en el transcurso de un año en el periodo comprendido de junio de 2013 a mayo de 2014, con tomógrafo de 64 detectores dual, en el cual se incluyeron a todos los pacientes que llegaron al Servicio de Tomografía con diagnóstico de diverticulitis. Se excluyeron los pacientes con diverticulosis colónica, la fuente de información fue el registro electrónico de pacientes del Servicio de Radiología del Hospital Ángeles Pedregal en el que se determinó: sexo, edad, motivo del estudio, tipo de estudio, porción del colon afectado, mes en el que se presentaron más casos y estadio de Hinchey hallado con más frecuencia en los estudios.
Resultados
El total de pacientes estudiados fue de 84, 54 del sexo masculino y 30 del sexo femenino. La edad osciló entre 20 y 86 años con una media de 55 años. El mes en que se presentaron más casos en nuestro grupo de estudio fue mayo.
El motivo más frecuente por el que los pacientes acudieron para realizarse el estudio fue: dolor abdominal difuso 41 pacientes, 27 presentaron dolor en la fosa iliaca izquierda en topografía del colon sigmoides y sólo 16 pacientes presentaron dolor en la fosa iliaca derecha, probablemente secundario a colon sigmoides redundante o edema de la grasa mesentérica.
El estudio que más se utilizó para realizar el diagnóstico fue TC en fase simple y con contraste intravenoso en 35 pacientes, la cual caracterizó de mejor manera el estadio, en segundo lugar la colotomografía con 25 pacientes seguida de TC en fase simple con 24 pacientes, lo que fue suficiente para realizar el diagnóstico.
El segmento del colon más afectado fue el sigmoideo, dato que concuerda con los reportes en otras publicaciones como el sitio más frecuente, seguido del colon descendente en su porción distal y aunque no es frecuente, también se encontró diverticulitis en el colon transverso y ascendente.
El estadio más frecuente en nuestro grupo de pacientes de acuerdo con la Escala de Hinchey fue el estadio IA con 45 pacientes seguido del estadio IB con 25 pacientes.
Con el uso de la TC fue posible localizar perfectamente la zona afectada, se estadificó y se evaluó la severidad y la extensión, lo que permitió planificar el tratamiento de las complicaciones y en otros casos realizar el diagnóstico diferencial.
Discusión
Una de las causas de dolor abdominal frecuente en fosa iliaca izquierda en pacientes adultos es la enfermedad diverticular, la cual también puede presentarse como dolor abdominal en fosa iliaca derecha e incluso de tipo difuso, las complicaciones por enfermedad diverticular complicada pueden poner en riesgo la vida del paciente, por lo que una adecuada exploración y la utilización de la TC como método de elección puede evitar el retraso del diagnóstico y del tratamiento.
Conclusión
EL estadio más frecuente fue Hinchey IA en nuestro grupo de pacientes del Hospital Ángeles Pedregal, siendo la TC el método de elección, gracias a la cual es posible estudiar exhaustivamente el aparato gastrointestinal de manera rápida con excelentes resultados en el diagnóstico, lo que evita el retraso en el tratamiento.
Recomendaciones
Todo paciente con sospecha de diverticulitis debe iniciarse con TC en fase simple, misma que en nuestro grupo de pacientes fue suficiente para realizar el diagnóstico, evitando así la exposición del paciente a radiación. En caso de que existan dudas, se administrará medio de contraste intravenoso, estudio que fue el más solicitado en nuestro medio con excelentes resultados.










nueva página del texto (beta)



