SciELO - Scientific Electronic Library Online

 
vol.79 número6Diseño y evaluación psicométrica de la percepción materna de la atención posparto en centros de salud integralParacoccidioidomicosis con manifestaciones digestivas en un paciente pediátrico índice de autoresíndice de materiabúsqueda de artículos
Home Pagelista alfabética de revistas  

Servicios Personalizados

Revista

Articulo

Indicadores

Links relacionados

  • No hay artículos similaresSimilares en SciELO

Compartir


Boletín médico del Hospital Infantil de México

versión impresa ISSN 1665-1146

Bol. Med. Hosp. Infant. Mex. vol.79 no.6 México nov./dic. 2022  Epub 13-Ene-2023

https://doi.org/10.24875/bmhim.21000215 

Casos clínicos

Ganglioneuromatosis intestinal difusa a lo largo del tubo digestivo

Diffuse intestinal ganglioneuromatosis along the gastrointestinal tract

Alan I. Vicenteño-León1 

Zindy J. Durán-Reyes1 

Alfredo Domínguez-Muñoz2 

Emilio J. Fernández-Portilla2 

Pedro Valencia-Mayoral1  * 

1Departamento de Patología Clínica y Experimental

2Departamento de Cirugía General. Hospital Infantil de México Federico Gómez, Ciudad de México, México


Resumen

Introducción:

Los ganglioneuromas son neoplasias histológicamente benignas derivadas del sistema nervioso simpático, cuya ocurrencia en el tubo digestivo es rara y comúnmente sindromática. De acuerdo con el patrón de la lesión y la extensión se dividen en ganglioneuroma polipoide, poliposis ganglioneuromatosa y ganglioneuromatosis difusa. El objetivo de este trabajo es presentar el hallazgo incidental post mortem de ganglioneuromatosis difusa del tubo digestivo en una paciente sin afectación sindromática.

Caso clínico:

Se describe el caso de un paciente de sexo femenino de 2 años con atresia traqueoesofágica tipo III corregida quirúrgicamente que cursó con recanalización fistulosa, múltiples episodios de neumonía por aspiración y choque séptico. Durante el último ingreso cursó con hemorragia pulmonar masiva y falla multiorgánica. En el estudio post mortem se identificó hipertrofia del píloro y de los troncos y plexos nerviosos entéricos con células ganglionares maduras entremezcladas. Se identificó ganglioneuromatosis que afectaba todos los segmentos del tubo digestivo, con predominio de los plexos mientéricos.

Conclusiones:

La ganglioneuromatosis intestinal es una rara enfermedad que presenta un espectro de lesiones desde una forma aislada hasta sindromática con morbimortalidad elevada. Por ello, es necesario conocer la enfermedad, indagar sistemáticamente cuando se sospeche y apoyarse de estudios genéticos que confirmen o descarten alguna asociación sindromática.

Palabras clave Ganglioneuroma; Sistema nervioso entérico; Tumor intestinal

Abstract

Background:

Ganglioneuromas are histologically benign neoplasms derived from the sympathetic nervous system, whose occurrence in the gastrointestinal tract is rare and often syndromic. According to the injury pattern and extension, lesions are divided into polypoid ganglioneuroma, ganglioneuromatous polyposis, and diffuse ganglioneuromatosis. This work aimed to present the incidental post mortem finding of diffuse ganglioneuromatosis of the gastrointestinal tract in a patient without syndromic involvement.

Case report:

We describe the case of a two-year-old female patient with surgically corrected type III tracheoesophageal atresia and fistulous recanalization, multiple episodes of aspiration pneumonia, and septic shock. During the last admission, she developed massive pulmonary hemorrhage and multi-organ failure. Post mortem histopathological study identified hypertrophy of the pylorus and enlarged enteric nerve trunks and plexuses with intermingled mature ganglion cells. We identified ganglioneuromatosis affecting all gastrointestinal tract segments with the predominance of the myenteric plexuses.

Conclusions:

Intestinal ganglioneuromatosis is a rare disease with a spectrum of lesions ranging from isolated to syndromic with high morbidity and mortality. Therefore, it is necessary to know the condition, investigate systematically when it is suspected, and rely on genetic studies to confirm or rule out any syndromic association.

Keywords Ganglioneuroma; Enteric nervous system; Intestinal tumor

Introducción

Los ganglioneuromas son neoplasias histológicamente benignas compuestas por una mezcla de células de Schwann, fibras nerviosas y células ganglionares1,2. Aunque su ocurrencia es rara en el tubo digestivo, pueden presentarse de forma aislada o sindromática3,4. La edad promedio de diagnóstico es de 35 años para las presentaciones sindromáticas y de 45 años para las lesiones aisladas1.

De acuerdo con el patrón de la lesión y la extensión, los ganglioneuromas en el tubo digestivo se dividen en tres clases: ganglioneuroma polipoide, poliposis ganglioneuromatosa y ganglioneuromatosis difusa3,5,6.

El ganglioneuroma polipoide suele presentarse como una lesión aislada, mientras que la poliposis ganglioneuromatosa y la ganglioneuromatosis difusa se relacionan habitualmente con síndromes como la neurofibromatosis tipo 1, la neoplasia endócrina múltiple tipo 2b y el síndrome de Cowden. Además, se pueden asociar con esclerosis tuberosa, poliposis juvenil y poliposis adenomatosa no familiar6-12. En niños, la ganglioneuromatosis difusa se ha asociado también con neurocristopatías por alteraciones en el protooncogén RET, al igual que la enfermedad de Hirschsprung10,13.

Macroscópicamente, el ganglioneuroma polipoide afecta la mucosa y la submucosa de forma sésil o pedunculada, semejante a un adenoma5,6, mientras que la poliposis ganglioneuromatosa se constituye por múltiples pólipos que imitan una poliposis familiar adenomatosa6. La ganglioneuromatosis difusa puede no presentar cambios macroscópicos evidentes o mostrar zonas de engrosamiento de la pared intestinal, nódulos submucosos, úlceras o estenosis en un segmento del intestino delgado o del colon5,12,14.

Microscópicamente, los ganglioneuromas intestinales se aprecian como engrosamientos en banda o nódulos compuestos por fibras nerviosas, células de Schwann y células ganglionares de los plexos entéricos9,11, así como células fusiformes maduras de aspecto benigno con escaso citoplasma, mitosis escasas o ausentes, y pleomorfismo nuclear ocasional, entremezcladas con fibras de colágeno y células ganglionares maduras en número variable1,9,15. Típicamente, las células nerviosas muestran inmunorreactividad citoplasmática para la proteína S-100 y las células ganglionares muestran positividad citoplasmática para sinaptofisina, enolasa neuronal específica y calretinina, entre otras15.

La sintomatología varía según el sitio y el tipo de presentación: puede ser asintomática o manifestarse con cambios sutiles en los hábitos intestinales, náuseas, dolor abdominal o hemorragia gastrointestinal5-7. En los niños, además, es común el retraso en el crecimiento8.

Tanto la exploración física como las manifestaciones radiológicas son inespecíficas15, por lo que el diagnóstico descansa en el estudio histopatológico7,9. El tratamiento y el pronóstico dependen del tipo, la localización y la extensión de las lesiones, así como de las asociaciones sindromáticas3.

La ganglioneuromatosis difusa no sindromática es sumamente rara3. Por ello, el objetivo de este trabajo fue presentar el caso de una paciente de 2 años con diagnóstico principal de atresia esofágica, quien cursó con alteraciones gastrointestinales y respiratorias vagas que culminaron en choque séptico y muerte. Finalmente, en el estudio post mortem se evidenció ganglioneuromatosis intestinal difusa que afectaba todo el tubo digestivo.

Caso clínico

Se describe el caso de una paciente de 2 años y 1 mes de vida sin antecedentes heredofamiliares de importancia. La madre cursó una gestación normoevolutiva, aunque el ultrasonido obstétrico del tercer trimestre evidenció polihidramnios. La paciente nació por vía vaginal a las 41 semanas de gestación; al nacimiento, se documentó atresia esofágica tipo III y fue referida a un hospital de segundo nivel de atención.

A las 24 horas de vida se le practicó plastia esofágica mediante toracotomía. La paciente cursó con tos crónica y datos de ahogamiento durante los siguientes 12 meses. Al año y 2 meses de edad se documentó estenosis esofágica y se decidió realizar una reconstrucción esofágica mediante ascenso gástrico y resección del remanente traqueobronquial. Diez días después cursó con dehiscencia de la anastomosis gastroesofágica y fístula gastropleural. A continuación, se le practicó gastrostomía, esofagostomía lateral izquierda y cierre del esófago distal. No obstante, cursó con dehiscencia de la herida quirúrgica, por lo que fue referida a esta institución.

A su ingreso se le practicó un esofagograma, en el que se observó el tercio proximal esofágico con un trayecto fistuloso que comunicaba hacia la piel de la región cervical y que terminaba en saco ciego con dilatación proximal. La esofagoscopia evidenció que el esófago proximal terminaba en un cabo ciego y no se logró pasar la guía al estómago ascendido. Se llevó a cabo una gastroscopía, en la que se observó una anatomía gástrica distorsionada y la sutura previa en el píloro que ocluía el paso hacia el duodeno; se logró introducir una sonda de alimentación transpilórica a través de la gastrostomía y se inició alimentación enteral. La paciente fue egresada 2 meses después. A los 15 días del alta reingresó con un cuadro de sepsis adquirida en la comunidad con foco pulmonar, por lo que requirió ventilación mecánica y tratamiento antibiótico de amplio espectro.

Al año y 7 meses de edad se colocaron imanes en el cabo ciego esofágico y el cabo ciego del estómago por endoscopia. La paciente cursó con un nuevo evento de sepsis con foco pulmonar, por lo que recibió ventilación mecánica y antibióticos de amplio espectro. Se realizó un esofagograma 2 meses después de la colocación de los imanes y se documentó el paso del contraste del esófago al estómago con un calibre disminuido (Fig. 1). Se realizó una endoscopia, durante la cual se logró pasar un hilio para iniciar las dilataciones esofágicas con dilatadores tipo Tucker y se instituyó la alimentación enteral por vía oral. La paciente egresó con tolerancia de la vía oral; las dilataciones esofágicas se siguieron aplicando de manera mensual hasta llegar a introducir una sonda Tucker 34 Fr sin eventualidades.

Figura 1 A: radiografía simple de tórax en la cual se observan los imanes colocados en los cabos ciegos en el esófago y el estómago. B: se aprecia una disminución del calibre con el paso del contraste. 

Tres meses después, la paciente ingresó por un nuevo evento de sepsis adquirida en la comunidad con foco pulmonar. Un esofagograma demostró una fístula esófago-pleural sin estenosis esófago-gástrica evidente. Se mantuvo en ayuno, con nutrición parenteral y con administración de clindamicina y amikacina. Cursó con deterioro hemodinámico, ventilatorio y falla renal, por lo que se trasladó a la unidad de terapia intensiva para iniciar apoyo aminérgico y ventilación mecánica. También fue necesario escalar el tratamiento antibiótico. Sin embargo, la paciente evolucionó hacia choque séptico refractario, hemorragia pulmonar masiva, falla multiorgánica y paro cardiorrespiratorio irreversible. Se practicó la autopsia sin restricciones.

Estudio post mortem

En su aspecto exterior, la exploración física reveló desnutrición crónica mixta moderada: peso de 9 kg (esperado de 12.5 kg) y talla de 82 cm (esperada de 84 cm). Presentaba una cicatriz quirúrgica sagital de 9 cm en el epigastrio y otra cicatriz diagonal de 1 cm en la fosa iliaca derecha. No se encontraron manchas ni otras lesiones sugestivas de neurofibromatosis ni de alguna otra enfermedad en la piel.

A la apertura de la cavidad torácica se observó hemorragia en la mucosa traqueal y hemorragia bilateral pulmonar de predominio apical. En el lóbulo pulmonar inferior derecho se encontró el remanente de una fístula gastro-pulmonar no permeable constituida por un cordón fibroso de 1.3 cm de longitud. La tiroides y el timo no mostraron alteraciones. El esófago mostró ulceración; tanto la unión esofagogástrica como el estómago estaban dentro de la cavidad torácica. Las suturas estaban bien afrontadas e íntegro el estoma gástrico. En la cavidad abdominal se identificó el píloro hipertrófico y estenosado, con una luz de 0.2 cm (Fig. 2), y el intestino delgado con múltiples adherencias laxas serosas inter-asa, asa-hígado y asa-bazo. Al corte, el grosor de la pared era de espesor normal y los pliegues mucosos estaban conservados. El ciego presentó hemorragia focal de la mucosa; se observaron el colon y el recto terminal con la pared de espesor habitual. El resto de los órganos no mostraron alteraciones macroscópicas.

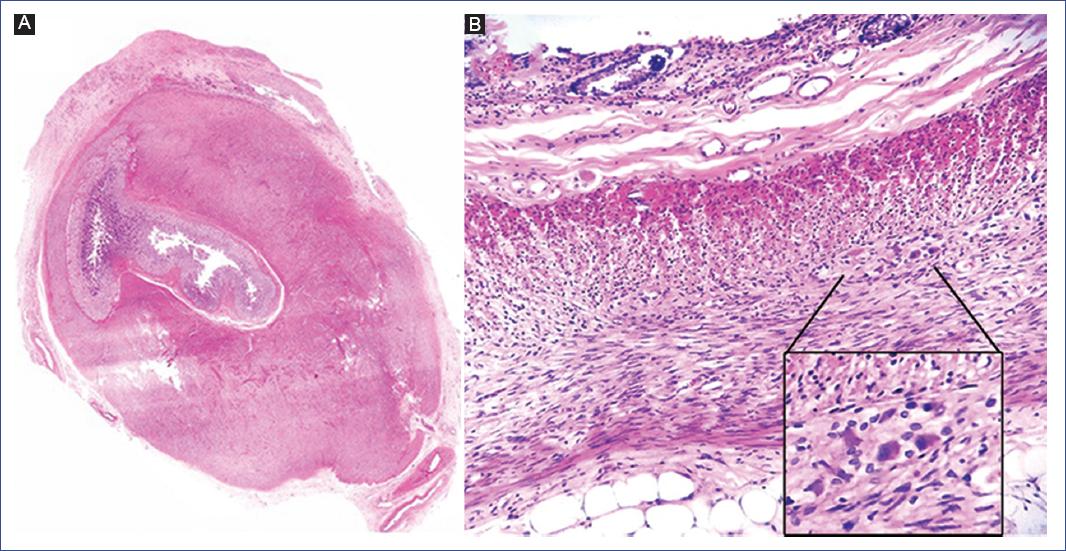
Figura 2 A: corte transversal del píloro con engrosamiento de prácticamente toda su pared y reducción en su luz (hematoxilina-eosina 1×). B: la lesión ganglioneuromatosa afecta los plexos mientéricos de manera continua, los cuales están engrosados con presencia de células ganglionares (hematoxilina-eosina 10×). 

Hallazgos histopatológicos

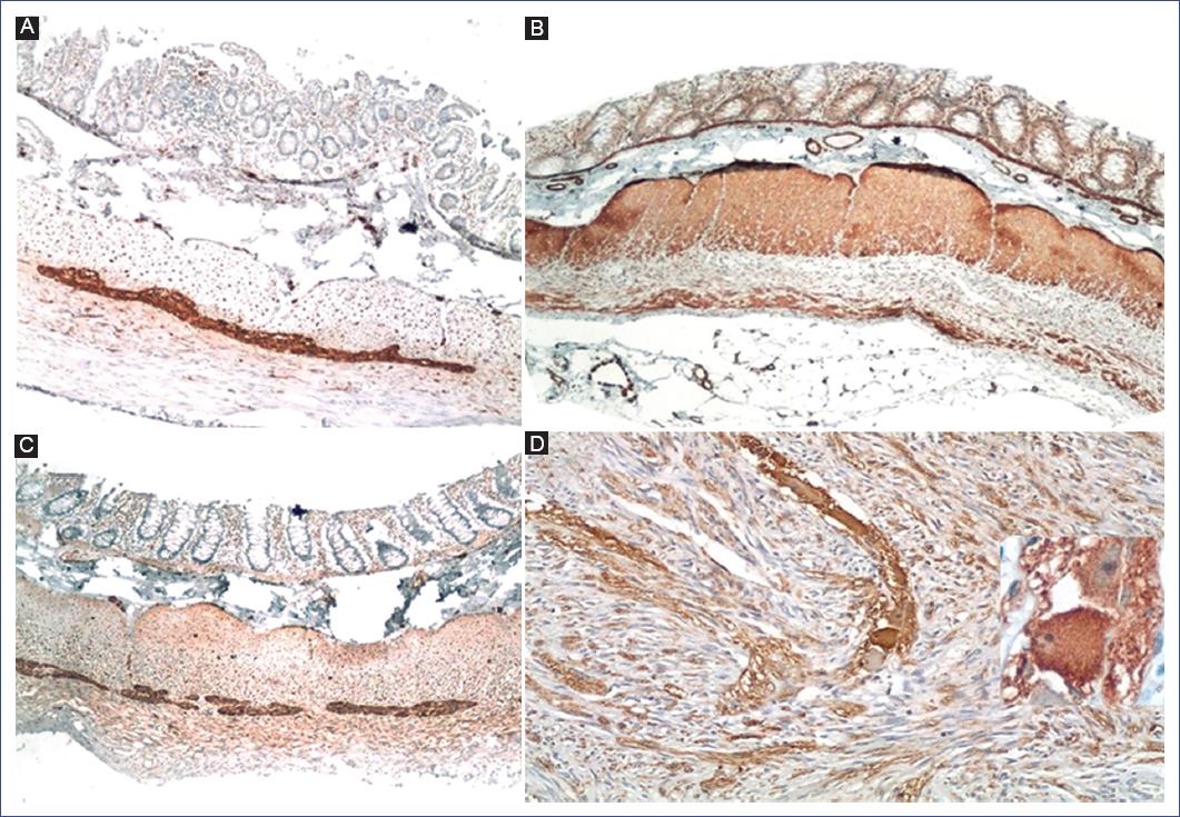
En los pulmones, los cortes de todos los lóbulos mostraron neumonía por aspiración extensa y signos de choque. Además, los cortes representativos usuales del tubo digestivo demostraron hipertrofia de los troncos y plexos nerviosos con células ganglionares maduras entremezcladas (Fig. 2). Por lo anterior se decidió procesar la totalidad del tubo gastrointestinal; para ello, se realizaron cortes longitudinales y se incluyeron a manera de espiral (Fig. 3). Los nuevos cortes histológicos evidenciaron un engrosamiento de los plexos nerviosos mientéricos, desde el esófago hasta el colon, con mayor acentuación en el estoma gástrico y en el píloro (Fig. 3). Las reacciones de inmunohistoquímica fueron positivas con patrón citoplasmático para la proteína S-100, enolasa neuronal específica y sinaptofisina (Fig. 4). Adicionalmente, la actina de músculo liso fue negativa, lo que descartó una lesión fusocelular de origen muscular (Fig. 4).

Figura 3 A: se incluyó todo el tubo gastrointestinal en forma de espiral o enrollado (hematoxilina-eosina 1×). B: en el corte del píloro se observó el mayor engrosamiento del plexo mientérico debido a proliferación de tejido nervioso (tricrómico de Masson 10×). 

Figura 4 A: reacción de inmunohistoquímica para la proteína S100 con positividad en las neuronas ganglionares y las células que la rodean. Nótense la longitud del plexo mientérico y los plexos submucosos de aspecto normal (10×). B: reacción de inmunohistoquímica para α-actina (músculo liso) que resalta la negatividad del plexo mientérico (10×). C: reacciones de inmunohistoquímica para enolasa neuronal específica (10×) y D: sinaptofisina (40x) en la que resaltan a los plexos nerviosos y a las células ganglionares. 

Discusión

La ganglioneuromatosis intestinal es una condición rara que afecta al sistema nervioso entérico y se caracteriza por la proliferación de tejido neural que puede afectar cualquier parte del tubo digestivo5,8, aunque con mayor frecuencia lo hace en el ciego y en el íleon terminal1,9-11,15. Llama la atención en este caso que se encontró desde el esófago hasta el recto. A la fecha, este hallazgo no ha sido descrito en la literatura.

De manera frecuente, la ganglioneuromatosis intestinal se relaciona con diversos síndromes clínicos y, en ciertos casos, es la primera manifestación2,8-11,13. Por ello, en ausencia de otras manifestaciones clínicas, el diagnóstico temprano puede iniciarse con la búsqueda de presentaciones sindromáticas3. No obstante, existen informes de casos no asociados con síndromes genéticos ni con enfermedades sistémicas5,8-10,15, como el aquí presentado.

Clínicamente, aunque la ganglioneuromatosis intestinal puede ser asintomática, también se presentan con frecuencia síntomas inespecíficos, como constipación, diarrea, vómitos, espasmo abdominal, oclusión intestinal o sangrado del tubo digestivo1,5,6. En la paciente aquí descrita estaba documentada una atresia esofágica tipo III, que fue reparada quirúrgicamente. Sin embargo, esta condición ocasionó la mayor parte de los síntomas y complicaciones, así como la evolución desfavorable. Esta asociación de ganglioneuromatosis intestinal y fístula traqueoesofágica tampoco ha sido descrita previamente.

En la ganglioneuromatosis intestinal puede no haber cambios evidentes macroscópicamente, o bien puede simular a la enfermedad de Crohn, con zonas de engrosamiento de la pared intestinal, nódulos submucosos, úlceras o estenosis5,12. Por el contrario, en los casos con alteraciones evidentes se identifican lesiones fibromatosas firmes, blanquecinas o de color café claro. La presencia de hemorragia o necrosis es excepcional7. En nuestra paciente, la pared del tubo digestivo no estaba engrosada y solo se encontraron las adherencias previamente enunciadas.

Los hallazgos microscópicos en la ganglioneuromatosis intestinal suelen corresponder a un neurofibroma o un ganglioneuroma7, y se caracterizan por hipertrofia de las fibras nerviosas de los ganglios autónomos del sistema nervioso entérico y un número usualmente constante de células ganglionares8.

De acuerdo con la afectación de los plexos, la lesión puede denominarse de tipo mucosa, si solo afecta el plexo mucoso, o de tipo transmural, cuando abarca el espesor total de la pared intestinal3,5,8-10. Se han descrito ambas presentaciones en la población pediátrica3,9,10. La paciente presentó una ganglioneuromatosis difusa transmural, ya que las alteraciones involucraban principalmente el plexo muscular y en menor grado los submucosos; estos hallazgos se encontraron a todo lo largo del tubo digestivo.

Aunque el estudio histopatológico es el método de diagnóstico de certeza, existe la posibilidad de que, en lesiones profundas, las biopsias sean superficiales, y al no incluir la pared no es posible demostrar la lesión7.

Cuando el tratamiento médico no es efectivo, en algunos casos es necesaria la resección, pero se deben limitar los bordes quirúrgicos con el fin de prevenir el síndrome de intestino corto2,3,9. En eventos recurrentes, o si la cirugía no es posible, se ha informado de la utilidad de aplicar quimioterapia o tratamientos sintomáticos3,7.

No se han reportado casos de transformación maligna ni de relación con el desarrollo de algún tipo de neoplasia intestinal maligna3, aunque sí se han descrito casos de ganglioneuromatosis fuera del tubo digestivo asociados con un tumor maligno de vaina de nervio periférico9.

Los diagnósticos histológicos diferenciales incluyen las neoplasias de células fusiformes, como el tumor del estroma gastrointestinal, el leiomioma, el Schwannoma, el neurofibroma, la fibromatosis y el paraganglioma gangliocítico, entre otros1,11. Los hallazgos inmunohistoquímicos del presente caso confirmaron la naturaleza neural de las lesiones.

Cuando no se presentan síndromes genéticos ni enfermedades intestinales, los pacientes, por lo general, cursan con modificaciones en los hábitos intestinales, con periodos de constipación y diarrea alternados. En los estudios clínicos y de extensión no es demostrable una asociación sindromática. En los estudios radiográficos, la ganglioneuromatosis aislada puede simular la enfermedad de Crohn y la apariencia endoscópica dependerá de la presentación de la lesión7. A la fecha, aún no se ha identificado ninguna mutación genética específica en la ganglioneuromatosis per se12.

Como se ha descrito, la ganglioneuromatosis intestinal es una enfermedad rara1,2,9. No obstante, debido al potencial de asociación con síndromes genéticos de alta morbimortalidad, es necesario llevar a cabo un estudio exhaustivo en todos los casos.

Por lo general, las lesiones no son notorias en las primeras etapas, por lo que, tanto clínicamente como histológicamente, el diagnóstico puede ser complicado. Sin embargo, durante la progresión de la enfermedad suele verse alterada la morfología intestinal2.

En el caso aquí expuesto, el diagnóstico fue un hallazgo de autopsia. En la historia clínica, la paciente no contaba con datos específicos de afección gastrointestinal; tampoco se evidenciaron cambios macroscópicos en la mucosa intestinal, con excepción de la hipertrofia del píloro. No había antecedentes heredofamiliares relevantes y, además, la paciente tampoco mostró ninguna otra característica clínica, macroscópica o histopatológica que pudiera hacer sospechar de algún diagnóstico sindromático como la neurofibromatosis tipo 1, la neoplasia endocrina múltiple tipo 2b o el síndrome de Cowden.

Se debe enfatizar que la ganglioneuromatosis intestinal presenta un espectro que va desde una lesión aislada hasta ser parte de un síndrome con morbimortalidad elevada, como es el caso de la neoplasia endocrina múltiple tipo 2b. Por ello, una vez diagnosticada la ganglioneuromatosis intestinal, se deben indagar sistemáticamente las manifestaciones clínicas y los antecedentes heredofamiliares, así como apoyarse de estudios genéticos para confirmar o descartar alguna asociación sindromática.

En la actualidad, los informes de casos de ganglioneuromatosis difusa en la literatura han expuesto lesiones localizadas en un segmento del tubo digestivo (estómago11, intestino delgado3,4 o colon5,7), en dos segmentos (duodeno y colon6, íleon y colon9,10,16) o en íleon, apéndice y colon12, a diferencia de la lesión con extensión total presente en el caso aquí descrito. Una posible causa puede ser que, al tratarse de un caso de autopsia, se estudió el tubo digestivo en su totalidad; sin embargo, no puede dejar de considerarse como una presentación inusual no asociada con ningún síndrome.

Finalmente, la ausencia de manifestaciones gastrointestinales asociadas con la ganglioneuromatosis pudo corresponder a un estado presintomático, o bien las manifestaciones estuvieron oscurecidas por la atresia esofágica de la paciente, además de las complicaciones quirúrgicas e infecciosas.

Agradecimientos

A los servicios de patología clínica y experimental, y de cirugía general, del Hospital Infantil de México Federico Gómez.

Bibliografía

1. Montgomery EA. Ganglioneuroma. En:Greenson JK, Lauwers GY, Polydorides AD, Montgomery EA, Srivastaba A, Owens SR, editores. Diagnostic pathology:gastrointestinal. Philadelphia:Elsevier;2016. p. 450-5. [ Links ]

2. Donk W, Poyck P, Westenend P, Lesterhuis W, Hesp F. Recurrent abdominal complaints caused by a cecal neurofibroma:a case report. World J Gastroenterol. 2011;17:3953-6. [ Links ]

3. Mitra S, Mukherjee S, Chakraborty H. Isolated ileal ganglioneuromatosis in a 11-year-old boy:case report and review of literature. Indian J Pathol Microbiol. 2016;59:365-7. [ Links ]

4. Badrinath M, Mandru R, Lowe D, Manocha D, Achufusi T. Isolated intestinal ganglioneuroma mimicking small bowel Crohn's disease. ACG Case Rep J. 2019;6:e00114. [ Links ]

5. Iwamuro M, Omote R, Tanaka T, Sunada N, Nada T, Kondo Y, et al. Diffuse intestinal ganglioneuromatosis showing multiple large bowel ulcers in a patient with neurofibromatosis type 1. Intern Med. 2017;56:3287-91. [ Links ]

6. Ortiz-Rivera CJ, Romero-Álvarez MR, Villalpando-Carrión S, Valencia Mayoral PF. Ganglioneuromatosis intestinal en un niño. Patología Rev Latinoam. 2016;54:96-105. [ Links ]

7. Herranz Bachiller M, Barrio Andrés J, Pons F, Alcaide Suárez N, Ruiz-Zorrilla R, Sancho del Val L, et al. Diffuse intestinal ganglioneuromatosis:an uncommon manifestation of Cowden syndrome. World J Gastrointest Oncol. 2013;5:34-7. [ Links ]

8. Moore S. Neurocistophaties and particular associations with Hirschsprung's disease. En:Holschneider A, Puri P, editores. Hirschsprung's disease and allied disorders. New York:Springer;2008. 253-67. [ Links ]

9. Ahmad Z, Khan R, Barakzai A, Ahmed A, Qureshi A. Diffuse ganglioneuromatosis of intestine in a 15-year-old girl. BMJ Case Rep. 2011;2011:bcr0420114151. [ Links ]

10. Ledwidge S, Moorghen M, Longman R, Thomas M. Adult transmural intestinal ganglioneuromatosis is not always associated with multiple endocrine neoplasia or neurofibromatosis:a case report. J Clin Pathol. 2007;60:222-3. [ Links ]

11. Williams A, Doherty E, Hart M, Grider D. Diffuse gastric ganglioneuromatosis:novel presentation of PTEN hamartoma syndrome —case report and review of gastric ganglioneuromatous proliferations and a novel PTEN gene mutation. Case Rep Med. 2018;2018:4319818. [ Links ]

12. Matthews M, Adler B, Arnold M, Kuman S, Carvalho R, Besner GE. Diffuse intestinal ganglioneuromatosis in a child. J Pediatr Surg. 2013;48:1129-33. [ Links ]

13. Martucciello G, Lerone M, Bricco L, Tonini GP, Lombardi L, Del Rossi CG, et al. Multiple endocrine neoplasia type 2b and RET proto-oncogene. Ital J Pediatr. 2012;38:9. [ Links ]

14. Agaimy A, Vassos N, Croner R. Gastrointestinal manifestations of neurofibromatosis type 1 (Recklinghausen's disease):clinicopathological spectrum with pathogenetic considerations. Int J Clin Exp Pathol. 2012;5:852-62. [ Links ]

15. Carter JE, Laurini JA. Isolated intestinal neurofibromatous proliferations in the absence of associated systemic syndromes. World J Gastroenterol. 2008;14:6569-71. [ Links ]

16. Leites M, Arriola A, Pontét Y, Trochansky I, Otero M, Olano C. Una patología muy infrecuente:ganglioneuromatosis intestinal. Reporte de un caso. Acta Gastroenterol Latinoam. 2020;50:205-9. [ Links ]

Responsabilidades éticas

Protección de personas y animales. Los autores declaran que para esta investigación no se han realizado experimentos en seres humanos ni en animales.

Confidencialidad de los datos. Los autores declaran que han seguido los protocolos de su centro de trabajo sobre la publicación de datos de pacientes.

Derecho a la privacidad y consentimiento informado. Los autores han obtenido el consentimiento informado de los pacientes o sujetos referidos en el artículo. Este documento obra en poder del autor de correspondencia.

FinanciamientoNo se recibió financiamiento externo.

Recibido: 02 de Noviembre de 2021; Aprobado: 02 de Enero de 2022

* Correspondencia: Pedro Valencia-Mayoral E-mail: vamp_48@yahoo.com

Conflicto de intereses

Los autores declaran no tener ningún conflicto de intereses.

Creative Commons License Instituto Nacional de Cardiología Ignacio Chávez. Published by Permanyer. This is an open access article under the CC BY-NC-ND license