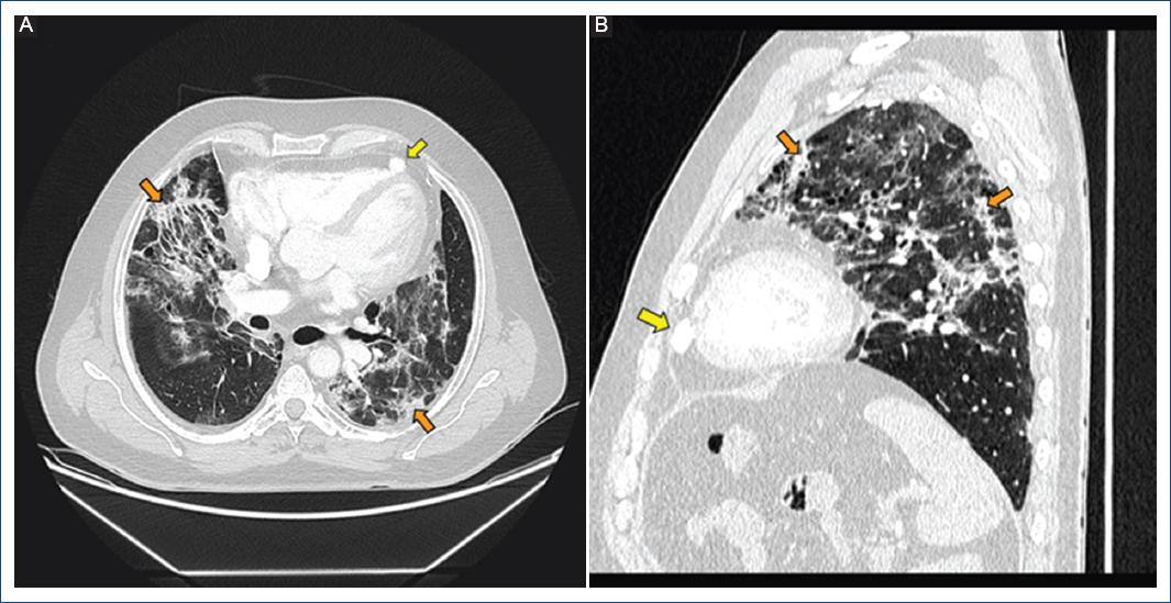
Varón de 56 años con enfisema pulmonar y episodios previos de neumotórax espontáneos secundarios a bullas subpleurales. Acude a nuestro centro por clínica de fiebre 38.5 °C, disnea de reposo y tos seca. En la radiografía de tórax se observa patrón intersticial bilateral, por lo que ingresa con sospecha de neumonía bilateral por COVID-19, posteriormente confirmada con PCR positiva. Se completa el estudio con tomografía computarizada pulmonar (Fig. 1), en la que se objetivan infiltrados pulmonares en vidrio deslustrado y consolidaciones de distribución periféricas en relación con neumonía por COVID-19. Incidentalmente se evidencia una imagen sacular pediculada de 19 × 12 mm en el ápex del ventrículo derecho sugestiva de divertículo. Ante la presencia de disfunción ventricular izquierda en la ecocardiografía, se completa el estudio con tomografía computarizada cardiaca (Fig. 2 A y B), excluyendo cardiopatía isquémica y confirmando el diagnóstico incidental de divertículo apical de ventrículo derecho. Finalmente, se lleva a cabo una resonancia magnética cardiaca (Fig. 2 C y D) para descartar una miocardiopatía, valorando igualmente el divertículo y el comportamiento funcional del flujo a su través mediante técnica 4DFlow (Vid. 1-2) (Fig. 2 D. Respecto a la disfunción ventricular izquierda, se instauró tratamiento farmacológico con un betabloqueante y un inhibidor del sistema renina angiotensina aldosterona, con mejoría de la función ventricular en el seguimiento realizado. Por otro lado, respecto al divertículo, por tratarse de un hallazgo incidental y ante la ausencia de eventos embólicos y taquiarritmias, se adoptó un manejo conservador, sin complicaciones hasta el momento actual.

Figura 1 Infiltrados pulmonares en vidrio deslustrado y consolidaciones de distribución periféricas (flecha naranja) en relación con neumonía por COVID-19. Se evidencia una imagen sacular pediculada de 19 × 12 mm en el ápex del ventrículo derecho sugestiva de divertículo (flecha amarilla).

Figura 2 A y B: Estudio con tomografía computarizada cardiaca, excluyendo cardiopatía isquémica y confirmando el diagnóstico incidental de divertículo apical de ventrículo derecho (flecha amarilla). C y D: resonancia magnética cardiaca para descartar una miocardiopatía, valorando igualmente el divertículo y el comportamiento funcional del flujo a su través mediante técnica 4DFlow (Vid. 1-2) (flecha amarilla).VD: ventrículo derecho; VI: ventrículo izquierdo.
El divertículo ventricular es una malformación congénita cardiaca de escasa frecuencia (0.6% en el ventrículo derecho)1, caracterizada por una protrusión localizada de la pared ventricular. Su localización más frecuente es en el ápex del ventrículo izquierdo2,3, y en la edad adulta su diagnóstico suele ser incidental. Consiste en una cavidad que comunica con la cámara ventricular a través de un cuello estrecho, de morfología circular y tamaño variable (0.5-9 cm)2. Suele presentarse de forma aislada, en el 30% de los casos, mientras que en el 70% restante se asocia con otras anomalías congénitas3. Característicamente compromete todas las capas del corazón (miocardio, endocardio y pericardio) y se contrae de manera sincrónica en sístole con la cámara cardiaca correspondiente3. Si bien se han reportado casos de complicaciones, en general presenta un curso benigno, y en los casos asintomáticos la tendencia es un tratamiento conservador.










nueva página del texto (beta)


