SciELO - Scientific Electronic Library Online

 
vol.91 número3Estenosis congénita de venas pulmonares y malformación vascular broncopulmonarMixoma de atrio izquierdo sobre el ligamento de Marshall: un representativo inusual o infrecuente índice de autoresíndice de materiabúsqueda de artículos
Home Pagelista alfabética de revistas  

Servicios Personalizados

Revista

Articulo

Indicadores

Links relacionados

  • No hay artículos similaresSimilares en SciELO

Compartir


Archivos de cardiología de México

versión On-line ISSN 1665-1731versión impresa ISSN 1405-9940

Arch. Cardiol. Méx. vol.91 no.3 Ciudad de México jul./sep. 2021  Epub 13-Sep-2021

https://doi.org/10.24875/acm.20000172 

Imágenes en cardiología

Cor Triatriatum Dexter: an unusual cause of neonatal cyanosis

Cor Triatriatum Dexter: una causa infrecuente de cianosis neonatal

Daniel Hurtado-Sierra1  * 

Oscar Fernández-Gómez1 

Francisco Manrique-Rincón1 

Alfonso Buendía-Hernández2 

Clara A. Vázquez-Antona3 

1Servicio de cardiología pediátrica, Instituto del Corazón de Bucaramanga, Colombia

2Departamento de cardiología pediátrica, Instituto Nacional de Cardiología Ignacio Chávez, Mexico City, Mexico

3Departamento de ecocardiografía pediátrica, Instituto Nacional de Cardiología Ignacio Chávez, Mexico City, Mexico


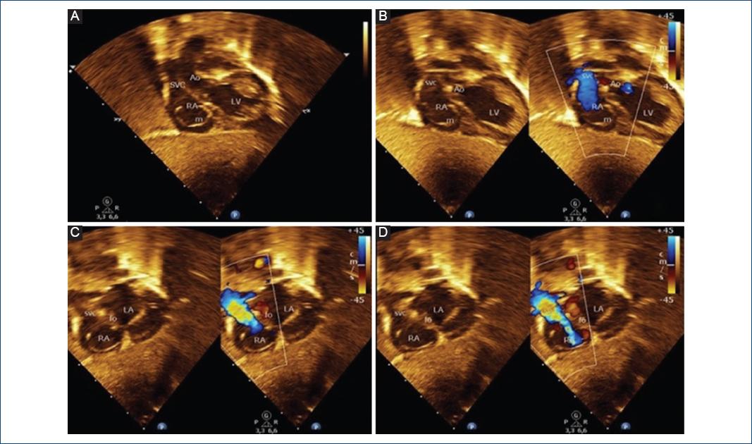
We present the case of a term newborn, with no significant perinatal history, who was taken to the emergency room at 18 days old for intermittent episodes of cyanosis, with no signs of respiratory distress, oxygen saturation of 85%, arterial gases with moderate hypoxemia, and normal chest X-ray. The transthoracic echocardiogram (TTE) revealed a large undulating membrane that divided the right atrium into two chambers and partially prolapsing through the tricuspid valve (Fig. 1A-D and Video 1). The caval veins drain into the posteromedial chamber, with part of its flow redirected by the membrane to the left atrium through the foramen ovale (Fig. 2A-D and Video 2). Contrast with an agitated saline solution was performed, observing initial accumulation of microbubbles in the posteromedial chamber (Fig. 3A-B).

Figure 1 Apical four-chamber transthoracic echocardiographic images. A-C: Illustrating a membrane (m) that divides the right atrium into two chambers and partially prolapsing through the tricuspid valve. D: Echocardiographic image with color Doppler shows eccentric flow through the tricuspid valve from the outer part of the right atrium to right ventricle (with no significant gradient). RA: right atrium; LA: left atrium; RV: right ventricle; LV: left ventricle; M: membrane; FO: foramen ovale; SVC: Superior vena cava. 

Figure 2 A: Two-dimensional and B-D: Two-dimensional color Flow Doppler echocardiography images from the subcostal window. A: The Cor-Triatriatum Dexter membrane (m) that separates the right atrium into two chambers. B-D: The inner part of right atrium receives the systemic venous blood from superior vena cava which is directed by the Cor-triatriatum membrane to the left atrium through the foramen ovale. 

Figure 3 A-B: Contrast echocardiography showing the initial accumulation of microbubbles in the posteromedial chamber. 

Cor triatriatum dexter is a rare congenital heart disease (0.025% of all congenital heart defects) characterized by the presence of a large membrane that divides the right atrium into two chambers: an posteromedial chamber that receives the flow of the caval veins, and an anterolateral chamber related to the tricuspid valve and right atrial appendage. This membrane represents the persistence of the right valve of sinus venosus, an early embryonic structure that involutes between the 9th and 15th weeks of gestation. The diagnosis can be properly established with a detailed TTE, observing a large linear echogenic structure that divides the right atrium into two chambers, with insertion to the roof of the atrium (crista terminalis) and systemic venous flow partial obstruction. The differential diagnosis must be established with the Chiari network, which has the echocardiographic appearance of a floating network of fibers, with multiple insertions in the upper part of the right atrium, and with the eustachian valve located at the orifice of the inferior vena cava, with little mobility1-3.

References

1. Alghamdi MH. Cor triatriatum dexter:a rare cause of cyanosis during neonatal period. Ann Pediatr Cardiol. 2016;9:46-8. [ Links ]

2. Galli MA, Galletti L, Schena F, Salvini L, Mosca F, Danzi GB. A rare case of neonatal cyanosis due cor triatriatum dexter and a review of the literature. J Cardiovasc Med (Hagerstown). 2009;10:535-8. [ Links ]

3. Moral S, Ballesteros E, Huguet M, Panaro A, Palet J, Evangelista A. Differential diagnosis and clinical implications of remnants of the right valve of the sinus venosus. J Am Soc Echocardiogr. 2016;29:183-94. [ Links ]

FundingThis research has received no specific grant from public agencies, commercial, or non-profit.

Ethical disclosures

Protection of human and animal subjects. The authors declare that no experiments were performed on humans or animals for this study.

Confidentiality of data. The authors declare that they have followed the protocols of their work center on the publication of patient data.

Right to privacy and informed consent. The authors declare that no patient data appear in this article.

Received: April 21, 2020; Accepted: July 17, 2020

* Correspondence: Daniel Hurtado-Sierra E-mail: meddani@hotmail.com

Conflicts of Interest

None.

Creative Commons License Instituto Nacional de Cardiología Ignacio Chávez. Published by Permanyer. This is an open ccess article under the CC BY-NC-ND license